欢迎访问博士德生物官网! 服务热线:027-67845390 |
您当前的位置: 首页 > 产品列表

筛选项

  • 检验物种

  • 应用范围

  • 宿主

  • 发货周期

  • 研究领域

  • 产品形态

共有 16462 条产品信息

    • (4)

    Anti-14-3-3 GAMMA/YWHAG-Specific Antibody

    货号:A04148-2

    描述:Rabbit polyclonal antibody

    检验物种: human, mouse, rat

    应用范围: WB, IHC, FCM, ELISA

    货期:现货

    说明书 一键复制产品信息

    加入购物车
  • Anti-14-3-3 GAMMA/YWHAG-Specific Antibody

    筛选器: All WB IHC FCM ELISA

    • Western blot analysis of 14-3-3 GAMMA/YWHAG-Specific using anti-14-3-3 GAMMA/YWHAG-Specific antibody (A04148-2). The sample well of each lane was loaded with 30 ug of sample under reducing conditions.
      Lane 1: Jurkat whole cell lysates,
      Lane 2: human placenta tissue lysates,
      Lane 3: rat brain tissue lysates,
      Lane 4: rat skeletal muscle tissue lysates,
      Lane 5: mouse brain tissue lysates,
      Lane 6: mouse skeletal muscle tissue lysates.
      After electrophoresis, proteins were transferred to a membrane. Then the membrane was incubated with rabbit anti-14-3-3 GAMMA/YWHAG-Specific antigen affinity purified polyclonal antibody (A04148-2) at a dilution of 1:1000 and probed with a goat anti-rabbit IgG-HRP secondary antibody (Catalog # BA1054). The signal is developed using ECL Plus Western Blotting Substrate (Catalog # AR1197). A specific band was detected for 14-3-3 GAMMA/YWHAG-Specific at approximately 28 kDa. The expected band size for 14-3-3 GAMMA/YWHAG-Specific is at 28 kDa.

    • IHC analysis of 14-3-3 GAMMA/YWHAG-Specific using anti-14-3-3 GAMMA/YWHAG-Specific antibody (A04148-2).14-3-3 GAMMA/YWHAG-Specific was detected in a paraffin-embedded section of human esophageal squamous carcinoma tissue. Biotinylated goat anti-rabbit IgG was used as secondary antibody. The tissue section was incubated with rabbit anti-14-3-3 GAMMA/YWHAG-Specific Antibody (A04148-2) at a dilution of 1:200 and developed using Strepavidin-Biotin-Complex (SABC) (Catalog # SA1022) with DAB (Catalog # AR1027) as the chromogen.

    • Flow Cytometry analysis of U87 cells using anti-14-3-3GAMMA/YWHAG-Specific antibody (A04148-2).
      Overlay histogram showing U87 cells stained with A04148-2 (Blue line). To facilitate intracellular staining, cells were fixed with 4% paraformaldehyde and permeabilized with permeabilization buffer. The cells were blocked with 10% normal goat serum. And then incubated with rabbit anti-14-3-3 GAMMA/YWHAG-Specific Antibody (A04148-2) at 1:100 dilution for 30 min at 20°C. Fluoro488 conjugated goat anti-rabbit IgG (BA1127) was used as secondary antibody at 1:100 dilution for 30 minutes at 20°C. Isotype control antibody (Green line) was rabbit IgG at 1:100 dilution used under the same conditions. Unlabelled sample without incubation with primary antibody and secondary antibody (Red line) was used as a blank control.

    亮暗模式切换
    X
    • (3)

    Anti-Beta Actin/ACTB Antibody

    货号:BA2305

    描述:Rabbit Polyclonal Antibody

    检验物种: human, mouse, rat, monkey, zebrafish, chicken

    应用范围: WB

    货期:现货

    说明书 文献数量(328) 一键复制产品信息

    加入购物车
  • Anti-Beta Actin/ACTB Antibody

    筛选器: All WB

    • Western blot analysis of anti-Beta Actin/ACTB antibody (BA2305). The sample well of each lane was loaded with 30 ug of sample under reducing conditions.
      Lane 1: human Hela whole cell lysates,
      Lane 2: human K562 whole cell lysates,
      Lane 3: human MCF-7 whole cell lysates,
      Lane 4: human Jurkat whole cell lysates,
      Lane 5: rat brain tissue lysates,
      Lane 6: rat kidney tissue lysates,
      Lane 7: mouse brain tissue lysates,
      Lane 8: mouse kidney tissue lysates.
      After electrophoresis, proteins were transferred to a membrane. Then the membrane was incubated with rabbit anti-Beta Actin/ACTB antigen affinity purified polyclonal antibody (BA2305) and probed with a goat anti-rabbit IgG-HRP secondary antibody (Catalog # BA1054). The signal is developed using ECL Plus Western Blotting Substrate (Catalog # AR1197). A specific band was detected for Beta Actin/ACTB at approximately 42 kDa. The expected band size for Beta Actin/ACTB is at 42 kDa.

    • Western blot analysis of anti-Beta Actin/ACTB antibody (BA2305). The sample well of each lane was loaded with 30 ug of sample under reducing conditions.
      Lane 1: zebra fish tissue lysates,
      Lane 2: chicken heart tissue lysates,
      Lane 3: chicken liver tissue lysates,
      Lane 4: chicken brain tissue lysates,
      Lane 5: monkey heart tissue lysates,
      Lane 6: monkey lung tissue lysates,
      Lane 7: monkey kidney tissue lysates,
      Lane 8: monkey liver tissue lysates.
      After electrophoresis, proteins were transferred to a membrane. Then the membrane was incubated with rabbit anti-Beta Actin/ACTB antigen affinity purified polyclonal antibody (BA2305) and probed with a goat anti-rabbit IgG-HRP secondary antibody (Catalog # BA1054). The signal is developed using ECL Plus Western Blotting Substrate (Catalog # AR1197). A specific band was detected for Beta Actin/ACTB at approximately 42 kDa. The expected band size for Beta Actin/ACTB is at 42 kDa.

    • Western blot analysis of Beta Actin/ACTB using anti-Beta Actin/ACTB antibody (BA2305). The sample well of each lane was loaded with 30 ug of sample under reducing conditions.
      Lane 1: human Hela whole cell lysates,
      Lane 2: human THP-1 whole cell lysates,
      Lane 3: rat liver tissue lysates,
      Lane 4: mouse liver tissue lysates,
      Lane 5: human Hela whole cell lysates,
      Lane 6: human THP-1 whole cell lysates,
      Lane 7: rat liver tissue lysates,
      Lane 8: mouse liver tissue lysates.
      After electrophoresis, proteins were transferred to a membrane. Then the membrane was incubated with rabbit anti-Beta Actin/ACTB antigen affinity purified polyclonal antibody (BA2305) at a dilution of 1:50000 (Lane1-4) and 1:100000 (Lane5-8) and probed with a goat anti-rabbit IgG-HRP secondary antibody (Catalog # BA1054). The signal is developed using ECL Plus Western Blotting Substrate (Catalog # AR1197). A specific band was detected for Beta Actin/ACTB at approximately 42 kDa. The expected band size for Beta Actin/ACTB is at 42 kDa.

    亮暗模式切换
    X
    • (6)

    Anti-Beta Actin/ACTB Antibody

    货号:BM0627

    描述:Mouse Monoclonal Antibody

    检验物种: human, mouse, rat, chicken, monkey, pig, rabbit

    应用范围: WB, IHC

    货期:现货

    说明书 文献数量(1530) 一键复制产品信息

    加入购物车
  • Anti-Beta Actin/ACTB Antibody

    筛选器: All WB IHC

    • Western blot analysis of anti- β-Actin antibody (BM0627).The sample well of each lane was loaded with 50ug of sample under reducing conditions.Lane 1: Human HELA whole cell lysates,Lane 2: Human HepG2 whole cell lysates,Lane 3: Monkey kidney tissue lysates,Lane 4: Monkey liver tissue lysates,Lane 5: Rat brain tissue lysates,Lane 6: Rat PC-12 whole cell lysates,Lane 7: Mouse brain tissue lysates,Lane 8: Mouse ANA-1 whole cell lysates,Lane 9: Rabbit intestines tissue lysates,Lane 10: Rabbit intestines tissue lysates,Lane 11: Pig intestines tissue lysates.Use rabbit anti- β-Actin 1:5000, probed with a goat anti-mouse IgG-HRP secondary antibody. The signal is developed using an Enhanced Chemiluminescent detection (ECL) kit (Catalog # EK1002). A specific band was detected for β-Actin at approximately 42KD. The expected band size for β-Actin is at 42KD.

    • IHC analysis using anti- β-Actin antibody (BM0627).detected in paraffin-embedded section of Mouse Intestine tissue. Biotinylated goat anti-mouse IgG was used as secondary antibody. The tissue section was developed using Strepavidin-Biotin-Complex (SABC) (Catalog # SA1021) with DAB as the chromogen.

    • IHC analysis using anti- β-Actin antibody (BM0627).detected in paraffin-embedded section of Rat Intestine tissue. Biotinylated goat anti-mouse IgG was used as secondary antibody. The tissue section was developed using Strepavidin-Biotin-Complex (SABC) (Catalog # SA1021) with DAB as the chromogen.

    • IHC analysis using anti- β-Actin antibody (BM0627).detected in paraffin-embedded section of Human Intestinal Cancer tissue. Biotinylated goat anti-mouse IgG was used as secondary antibody. The tissue section was developed using Strepavidin-Biotin-Complex (SABC) (Catalog # SA1021) with DAB as the chromogen.

    • IHC analysis using anti- β-Actin antibody (BM0627).detected in paraffin-embedded section of Human Lung Cancer tissue. Biotinylated goat anti-mouse IgG was used as secondary antibody. The tissue section was developed using Strepavidin-Biotin-Complex (SABC) (Catalog # SA1021) with DAB as the chromogen.

    • IHC analysis using anti- β-Actin antibody (BM0627).detected in paraffin-embedded section of Human Mammary Cancer tissue. Biotinylated goat anti-mouse IgG was used as secondary antibody. The tissue section was developed using Strepavidin-Biotin-Complex (SABC) (Catalog # SA1021) with DAB as the chromogen.

    亮暗模式切换
    X
    • (3)

    Anti-Beta Actin/ACTB Antibody (Clone#BF-1)

    货号:BM3873

    描述:Rabbit Monoclonal Antibody

    检验物种: human, mouse, rat, monkey, zebrafish

    应用范围: WB, IHC, ICC/IF

    货期:现货

    说明书 文献数量(223) 一键复制产品信息

    加入购物车
  • Anti-Beta Actin/ACTB Antibody (Clone#BF-1)

    筛选器: All WB IHC ICC/IF

    • Western blot analysis of anti-Beta Actin/ACTB antibody (BM3873). The sample well of each lane was loaded with 30 ug of sample under reducing conditions.
      Lane 1: human GES-1 whole cell lysates,
      Lane 2: human Hela whole cell lysates,
      Lane 3: human A431 whole cell lysates,
      Lane 4: human K562 whole cell lysates,
      Lane 5: rat C6 whole cell lysates,
      Lane 6: mouse PC-12 whole cell lysates,
      Lane 7: mouse Neuro-2a whole cell lysates.
      After electrophoresis, proteins were transferred to a membrane. Then the membrane was incubated with rabbit anti-Beta Actin/ACTB antigen affinity purified monoclonal antibody (BM3873) at a dilution of 1:1000 and probed with a goat anti-rabbit IgG-HRP secondary antibody (Catalog # BA1054). The signal is developed using ECL Plus Western Blotting Substrate (Catalog # AR1197). A specific band was detected for Beta Actin/ACTB at approximately 42 kDa. The expected band size for Beta Actin/ACTB is at 42 kDa.

    亮暗模式切换
    X
    • (6)

    Anti-GAPDH Antibody

    货号:A00227-1

    描述:Rabbit Polyclonal Antibody

    检验物种: human, mouse, rat, chicken, monkey, zebrafish

    应用范围: WB, IHC, ICC/IF, FCM

    货期:现货

    说明书 文献数量(124) 一键复制产品信息

    加入购物车
  • Anti-GAPDH Antibody

    筛选器: All WB IHC ICC/IF FCM

    • Western blot analysis of GAPDH using anti-GAPDH antibody (A00227-1). The sample well of each lane was loaded with 30 ug of sample under reducing conditions.
      Lane 1: Hela whole cell lysates,
      Lane 2: Caco-2 whole cell lysates,
      Lane 3: CCRF-CEM whole cell lysates,
      Lane 4: rat brain tissue lysates,
      Lane 5: rat liver tissue lysates,
      Lane 6: mouse brain tissue lysates,
      Lane 7: mouse liver tissue lysates.
      After electrophoresis, proteins were transferred to a membrane. Then the membrane was incubated with rabbit anti-GAPDH antigen affinity purified polyclonal antibody (A00227-1) at a dilution of 1:50000 and probed with a goat anti-rabbit IgG-HRP secondary antibody (Catalog # BA1054). The signal is developed using ECL Plus Western Blotting Substrate (Catalog # AR1197). A specific band was detected for GAPDH at approximately 36 kDa. The expected band size for GAPDH is at 36 kDa.

    • Western blot analysis of GAPDH using anti-GAPDH antibody (A00227-1). The sample well of each lane was loaded with 30 ug of sample under reducing conditions.
      Lane 1: human Hela whole cell lysates,
      Lane 2: human THP-1 whole cell lysates,
      Lane 3: rat liver tissue lysates,
      Lane 4: mouse liver tissue lysates,
      Lane 5: human Hela whole cell lysates,
      Lane 6: human THP-1 whole cell lysates,
      Lane 7: rat liver tissue lysates,
      Lane 8: mouse liver tissue lysates.
      After electrophoresis, proteins were transferred to a membrane. Then the membrane was incubated with rabbit anti-GAPDH antigen affinity purified polyclonal antibody (A00227-1) at a dilution of 1:50000 (Lane1-4) and 1:100000 (Lane5-8) and probed with a goat anti-rabbit IgG-HRP secondary antibody (Catalog # BA1054). The signal is developed using ECL Plus Western Blotting Substrate (Catalog # AR1197). A specific band was detected for GAPDH at approximately 36 kDa. The expected band size for GAPDH is at 36 kDa.

    • IHC analysis of GAPDH using anti-GAPDH antibody (A00227-1).
      GAPDH was detected in a paraffin-embedded section of human Laryngeal squamous cell carcinoma tissue. Biotinylated goat anti-rabbit IgG was used as secondary antibody. The tissue section was incubated with rabbit anti-GAPDH Antibody (A00227-1) at a dilution of 1:200 and developed using Strepavidin-Biotin-Complex (SABC) (Catalog # SA1022) with DAB (Catalog # AR1027) as the chromogen.

    • IHC analysis of GAPDH using anti-GAPDH antibody (A00227-1).
      GAPDH was detected in a paraffin-embedded section of human renal clear cell carcinoma tissue. Biotinylated goat anti-rabbit IgG was used as secondary antibody. The tissue section was incubated with rabbit anti-GAPDH Antibody (A00227-1) at a dilution of 1:200 and developed using Strepavidin-Biotin-Complex (SABC) (Catalog # SA1022) with DAB (Catalog # AR1027) as the chromogen.

    • ICC/IF analysis of GAPDH using anti-GAPDH antibody (A00227-1).
      GAPDH was detected in an immunocytochemical section of A549 cells. The section was incubated with rabbit anti-GAPDH Antibody (A00227-1) at a dilution of 1:100. Fluoro488 Conjugated Goat Anti-Rabbit IgG (Green) (Catalog # BA1127) was used as secondary antibody. The section was counterstained with DAPI (Catalog # AR1176) (Blue).

    • Flow Cytometry analysis of Hela cells using anti-GAPDH antibody (A00227-1).
      Overlay histogram showing Hela cells stained with A00227-1 (Blue line). To facilitate intracellular staining, cells were fixed with 4% paraformaldehyde and permeabilized with permeabilization buffer. The cells were blocked with 10% normal goat serum. And then incubated with rabbit anti-GAPDH Antibody (A00227-1) at 1:100 dilution for 30 min at 20°C. Fluoro488 conjugated goat anti-rabbit IgG (BA1127) was used as secondary antibody at 1:100 dilution for 30 minutes at 20°C. Isotype control antibody (Green line) was rabbit IgG at 1:100 dilution used under the same conditions. Unlabelled sample without incubation with primary antibody and secondary antibody (Red line) was used as a blank control.

    亮暗模式切换
    X
    • (3)

    Anti-GAPDH Antibody (Clone#5A12)

    货号:BM1623

    描述:Mouse Monoclonal Antibody

    检验物种: human, mouse, rat, monkey, zebrafish, chicken, rabbit, pig

    应用范围: WB, ICC/IF, IP

    货期:现货

    说明书 文献数量(501) 一键复制产品信息

    加入购物车
  • Anti-GAPDH Antibody (Clone#5A12)

    筛选器: All WB ICC/IF IP

    • Western blot analysis of anti-GAPDH antibody (BM1623). The sample well of each lane was loaded with 30 ug of sample under reducing conditions.
      Lane 1: human SW480 whole cell lysates,
      Lane 2: human MC38 whole cell lysates,
      Lane 3: human MDA-MB-231 whole cell lysates,
      Lane 4: mouse 4T1 whole cell lysates,
      Lane 5: human RD whole cell lysates,
      Lane 6: human T98G whole cell lysates,
      Lane 7: human U87MG whole cell lysates,
      Lane 8: monkey COS-7 whole cell lysates,
      After electrophoresis, proteins were transferred to a membrane. Then the membrane was incubated with mouse anti-GAPDH antigen affinity purified monoclonal antibody (BM1623) at a dilution of 1:10000 and probed with a goat anti-mouse IgG-HRP secondary antibody (Catalog # BA1050). The signal is developed using ECL Plus Western Blotting Substrate (Catalog # AR1197). A specific band was detected for GAPDH at approximately 36 kDa. The expected band size for GAPDH is at 36 kDa.

    亮暗模式切换
    X
    • (4)

    Anti-GAPDH Antibody (Clone#BG-7)

    货号:BM3874

    描述:Rabbit monoclonal antibody

    检验物种: human, mouse, rat, chicken, monkey

    应用范围: WB, IHC, ICC/IF

    货期:现货

    说明书 文献数量(71) 一键复制产品信息

    加入购物车
  • Anti-GAPDH Antibody (Clone#BG-7)

    筛选器: All WB IHC ICC/IF

    • Western blot analysis of anti-GAPDH antibody (BM3874). The sample well of each lane was loaded with 30 ug of sample under reducing conditions.
      Lane 1: human Hela whole cell lysates,
      Lane 2: human K562 whole cell lysates,
      Lane 3: human MCF-7 whole cell lysates,
      Lane 4: human A549 whole cell lysates,
      Lane 5: human PC-3 whole cell lysates,
      Lane 6: monkey COS-7 whole cell lysates.
      After electrophoresis, proteins were transferred to a membrane. Then the membrane was incubated with rabbit anti-GAPDH antigen affinity purified monoclonal antibody (BM3874) at a dilution of 1:5000 and probed with a goat anti-rabbit IgG-HRP secondary antibody (Catalog # BA1054). The signal is developed using ECL Plus Western Blotting Substrate (Catalog # AR1197). A specific band was detected for GAPDH at approximately 36 kDa. The expected band size for GAPDH is at 36 kDa.

    • Western blot analysis of anti-GAPDH antibody (BM3874). The sample well of each lane was loaded with 30 ug of sample under reducing conditions.
      Lane 1: rat liver tissue lysates,
      Lane 2: rat brain tissue lysates,
      Lane 3: rat RH-35 whole cell lysates,
      Lane 4: mouse liver tissue lysates,
      Lane 5: mouse brain tissue lysates,
      Lane 6: mouse NIH/3T3 whole cell lysates.
      After electrophoresis, proteins were transferred to a membrane. Then the membrane was incubated with rabbit anti-GAPDH antigen affinity purified monoclonal antibody (BM3874) at a dilution of 1:5000 and probed with a goat anti-rabbit IgG-HRP secondary antibody (Catalog # BA1054). The signal is developed using ECL Plus Western Blotting Substrate (Catalog # AR1197). A specific band was detected for GAPDH at approximately 36 kDa. The expected band size for GAPDH is at 36 kDa.

    • Immunohistochemical analysis of paraffin-embedded human bladder cancer, using GAPDH Antibody.

    亮暗模式切换
    X
    • (4)

    Anti- pro Caspase 3/CASP3 Antibody (Clone#30C96)

    货号:M00334-9

    描述:Rabbit monoclonal antibody

    检验物种: human, mouse, rat

    应用范围: WB, IHC, IP

    货期:现货

    说明书 文献数量(34) 一键复制产品信息

    加入购物车
  • Anti- pro Caspase 3/CASP3 Antibody (Clone#30C96)

    筛选器: All WB IHC IP

    • Western blot analysis of anti-Caspase 1/CASP1 antibody (M00334-9). The sample well of each lane was loaded with 30 ug of sample under reducing conditions.
      Lane 1: human Hela whole cell lysates,
      Lane 2: human Hela whole cell lysates,
      Lane 3: human Jurkat whole cell lysates,
      Lane 4: human Jurkat whole cell lysates,
      Lane 5: human HepG2 whole cell lysates,
      Lane 6: human 293T whole cell lysates,
      Lane 7: mouse NIH/3T3 whole cell lysates,
      Lane 8: mouse NIH/3T3 whole cell lysates.
      After electrophoresis, proteins were transferred to a membrane. Then the membrane was incubated with rabbit anti-Caspase 1/CASP1 antigen affinity purified monoclonal antibody (M00334-9) at a dilution of 1:1000 and probed with a goat anti-rabbit IgG-HRP secondary antibody (Catalog # BA1054). The signal is developed using ECL Plus Western Blotting Substrate (Catalog # AR1197). A specific band was detected for Caspase 1/CASP1 at approximately 32 kDa. The expected band size for Caspase 1/CASP1 is at 32 kDa.

    • IHC analysis of Caspase 3/CASP3 using anti-Caspase 3/CASP3 antibody (M00334-9) .
      Caspase 3/CASP3 was detected in a paraffin-embedded section of human tonsil tissue. The tissue section was incubated with rabbit anti-Caspase 3/CASP3 Antibody (M00334-9) at a dilution of 1:200 and developed using HRP Conjugated Rabbit IgG Super Vision Assay Kit (Catalog # SV0002) with DAB (Catalog # AR1027) as the chromogen.

    • IHC analysis of Caspase 3/CASP3 using anti-Caspase 3/CASP3 antibody (M00334-9) .
      Caspase 3/CASP3 was detected in a paraffin-embedded section of human tonsil tissue. The tissue section was incubated with rabbit anti-Caspase 3/CASP3 Antibody (M00334-9) at a dilution of 1:200 and developed using HRP Conjugated Rabbit IgG Super Vision Assay Kit (Catalog # SV0002) with DAB (Catalog # AR1027) as the chromogen.

    亮暗模式切换
    X
    • (5)

    Anti-14-3-3 alpha/beta Antibody (Clone#HHA-25)

    货号:BM4752

    描述:Rabbit monoclonal antibody

    检验物种: human, mouse, rat

    应用范围: WB, IHC, ICC/IF, IP, FCM

    货期:现货

    说明书 一键复制产品信息

    加入购物车
  • Anti-14-3-3 alpha/beta Antibody (Clone#HHA-25)

    筛选器: All WB IHC ICC/IF IP FCM

    • Western blot analysis of anti-14-3-3 alpha/beta antibody (BM4752). The sample well of each lane was loaded with 30 ug of sample under reducing conditions.
      Lane 1: human Hela whole cell lysates,
      Lane 2: human Caco-2 whole cell lysates,
      Lane 3: human SiHa whole cell lysates,
      Lane 4: human Hacat whole cell lysates,
      Lane 5: rat brain tissue lysates,
      Lane 6: rat lung tissue lysates,
      Lane 7: mouse brain tissue lysates,
      Lane 8: mouse lung tissue lysates.
      After electrophoresis, proteins were transferred to a membrane. Then the membrane was incubated with rabbit anti-14-3-3 alpha/beta antigen affinity purified monoclonal antibody (BM4752) at a dilution of 1:1000 and probed with a goat anti-rabbit IgG-HRP secondary antibody (Catalog # BA1054). The signal is developed using ECL Plus Western Blotting Substrate (Catalog # AR1197). A specific band was detected for 14-3-3 alpha/beta at approximately 28 kDa. The expected band size for 14-3-3 alpha/beta is at 28 kDa.

    亮暗模式切换
    X
    • (6)

    Anti-14-3-3 Epsilon/YWHAE Antibody

    货号:A01687-4

    描述:Rabbit polyclonal antibody

    检验物种: human, mouse, rat

    应用范围: WB, IHC, ICC/IF, FCM, ELISA

    货期:现货

    说明书 一键复制产品信息

    加入购物车
  • Anti-14-3-3 Epsilon/YWHAE Antibody

    筛选器: All WB IHC ICC/IF FCM ELISA

    • Western blot analysis of 14-3-3 Epsilon/YWHAE using anti-14-3-3 Epsilon/YWHAE antibody (A01687-4). The sample well of each lane was loaded with 30 ug of sample under reducing conditions.
      Lane 1: human hela whole cell lysates,
      Lane 2: human Jurkat whole cell lysates,
      Lane 3: human hepg2 whole cell lysates,
      Lane 4: human SH-SY5Y whole cell lysates,
      Lane 5: human HEK293 whole cell lysates,
      Lane 6: human SW620 whole cell lysates,
      Lane 7: human A549 whole cell lysates,
      Lane 8: human Raji whole cell lysates,
      Lane 9: Rat brain tissue lysates,
      Lane 10: Mouse brain tissue lysates,
      Lane 11: Mouse NIH/3T3 whole cell lysates,
      Lane 12: Mouse RAW264.7 whole cell lysates.
      After electrophoresis, proteins were transferred to a membrane. Then the membrane was incubated with rabbit anti-14-3-3 Epsilon/YWHAE antigen affinity purified polyclonal antibody (A01687-4) at a dilution of 1:1000 and probed with a goat anti-rabbit IgG-HRP secondary antibody (Catalog # BA1054). The signal is developed using ECL Plus Western Blotting Substrate (Catalog # AR1197). A specific band was detected for 14-3-3 Epsilon/YWHAE at approximately 29 kDa. The expected band size for 14-3-3 Epsilon/YWHAE is at 29 kDa.

    • IHC analysis of 14-3-3 Epsilon/YWHAE using anti-14-3-3 Epsilon/YWHAE antibody (A01687-4).
      14-3-3 Epsilon/YWHAE was detected in a paraffin-embedded section of rat brain tissue. Biotinylated goat anti-rabbit IgG was used as secondary antibody. The tissue section was incubated with rabbit anti-14-3-3 Epsilon/YWHAE Antibody (A01687-4) at a dilution of 1:200 and developed using Strepavidin-Biotin-Complex (SABC) (Catalog # SA1022) with DAB (Catalog # AR1027) as the chromogen.

    • IHC analysis of 14-3-3 Epsilon/YWHAE using anti-14-3-3 Epsilon/YWHAE antibody (A01687-4).
      14-3-3 Epsilon/YWHAE was detected in a paraffin-embedded section of human ovarian cancer tissue. The tissue section was incubated with rabbit anti-14-3-3 Epsilon/YWHAE Antibody (A01687-4) at a dilution of 1:200 and developed using HRP Conjugated Rabbit IgG Super Vision Assay Kit (Catalog # SV0002) with DAB (Catalog # AR1027) as the chromogen.

    • ICC/IF analysis of 14-3-3 Epsilon/YWHAE using anti-14-3-3 Epsilon/YWHAE antibody (A01687-4).
      14-3-3 Epsilon/YWHAE was detected in an immunocytochemical section of MCF-7 cells. The section was incubated with rabbit anti-14-3-3 Epsilon/YWHAE Antibody (A01687-4) at a dilution of 1:100. Fluoro488 Conjugated Goat Anti-Rabbit IgG (Green) (Catalog # BA1127) was used as secondary antibody. The section was counterstained with DAPI (Catalog # AR1176) (Blue).

    • Flow Cytometry analysis of A549 cells using anti-14-3-3 Epsilon/YWHAE antibody (A01687-4).
      Overlay histogram showing A549 cells stained with A01687-4 (Blue line). To facilitate intracellular staining, cells were fixed with 4% paraformaldehyde and permeabilized with permeabilization buffer. The cells were blocked with 10% normal goat serum. And then incubated with rabbit anti-14-3-3 Epsilon/YWHAE Antibody (A01687-4) at 1:100 dilution for 30 min at 20°C. Fluoro488 conjugated goat anti-rabbit IgG (BA1127) was used as secondary antibody at 1:100 dilution for 30 minutes at 20°C. Isotype control antibody (Green line) was rabbit IgG at 1:100 dilution used under the same conditions. Unlabelled sample without incubation with primary antibody and secondary antibody (Red line) was used as a blank control.

    亮暗模式切换
    X
    • (7)

    Anti-14-3-3 Epsilon/YWHAE Antibody

    货号:A01687-5

    描述:Rabbit polyclonal antibody

    检验物种: human, mouse, rat

    应用范围: WB, IHC, ICC/IF, ELISA

    货期:现货

    说明书 一键复制产品信息

    加入购物车
  • Anti-14-3-3 Epsilon/YWHAE Antibody

    筛选器: All WB IHC ICC/IF ELISA

    • Western blot analysis of 14-3-3 Epsilon/YWHAE using anti-14-3-3 Epsilon/YWHAE antibody (A01687-5). The sample well of each lane was loaded with 30 ug of sample under reducing conditions.
      Lane 1: Hela whole cell lysates,
      Lane 2: Jurkat whole cell lysates,
      Lane 3: HepG2 whole cell lysates,
      Lane 4: 293T whole cell lysates,
      Lane 5: rat brain tissue lysates,
      Lane 6: rat PC-12 whole cell lysates,
      Lane 7: mouse brain tissue lysates,
      Lane 8: mouse NIH/3T3 whole cell lysates.
      After electrophoresis, proteins were transferred to a membrane. Then the membrane was incubated with rabbit anti-14-3-3 Epsilon/YWHAE antigen affinity purified polyclonal antibody (A01687-5) at a dilution of 1:1000 and probed with a goat anti-rabbit IgG-HRP secondary antibody (Catalog # BA1054). The signal is developed using ECL Plus Western Blotting Substrate (Catalog # AR1197). A specific band was detected for 14-3-3 Epsilon/YWHAE at approximately 29 kDa. The expected band size for 14-3-3 Epsilon/YWHAE is at 29 kDa.

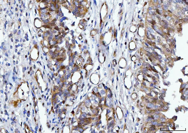
    • IHC analysis of 14-3-3 Epsilon/YWHAE using anti-14-3-3 Epsilon/YWHAE antibody (A01687-5).
      14-3-3 Epsilon/YWHAE was detected in a paraffin-embedded section of human lung cancer tissue. Biotinylated goat anti-rabbit IgG was used as secondary antibody. The tissue section was incubated with rabbit anti-14-3-3 Epsilon/YWHAE Antibody (A01687-5) at a dilution of 1:200 and developed using Strepavidin-Biotin-Complex (SABC) (Catalog # SA1022) with DAB (Catalog # AR1027) as the chromogen.

    • IHC analysis of 14-3-3 Epsilon/YWHAE using anti-14-3-3 Epsilon/YWHAE antibody (A01687-5).
      14-3-3 Epsilon/YWHAE was detected in a paraffin-embedded section of human prostate cancer tissue. Biotinylated goat anti-rabbit IgG was used as secondary antibody. The tissue section was incubated with rabbit anti-14-3-3 Epsilon/YWHAE Antibody (A01687-5) at a dilution of 1:200 and developed using Strepavidin-Biotin-Complex (SABC) (Catalog # SA1022) with DAB (Catalog # AR1027) as the chromogen.

    • IHC analysis of 14-3-3 Epsilon/YWHAE using anti-14-3-3 Epsilon/YWHAE antibody (A01687-5).
      14-3-3 Epsilon/YWHAE was detected in a paraffin-embedded section of mouse brain tissue. Biotinylated goat anti-rabbit IgG was used as secondary antibody. The tissue section was incubated with rabbit anti-14-3-3 Epsilon/YWHAE Antibody (A01687-5) at a dilution of 1:200 and developed using Strepavidin-Biotin-Complex (SABC) (Catalog # SA1022) with DAB (Catalog # AR1027) as the chromogen.

    • IHC analysis of 14-3-3 Epsilon/YWHAE using anti-14-3-3 Epsilon/YWHAE antibody (A01687-5).
      14-3-3 Epsilon/YWHAE was detected in a paraffin-embedded section of rat brain tissue. Biotinylated goat anti-rabbit IgG was used as secondary antibody. The tissue section was incubated with rabbit anti-14-3-3 Epsilon/YWHAE Antibody (A01687-5) at a dilution of 1:200 and developed using Strepavidin-Biotin-Complex (SABC) (Catalog # SA1022) with DAB (Catalog # AR1027) as the chromogen.

    • ICC/IF analysis of 14-3-3 Epsilon/YWHAE using anti-14-3-3 Epsilon/YWHAE antibody (A01687-5).
      14-3-3 Epsilon/YWHAE was detected in an immunocytochemical section of A549 cells. Fluoro488 Conjugated Goat Anti-Rabbit IgG (Green) (Catalog # BA1127) was used as secondary antibody. The section was counterstained with DAPI (Catalog # AR1176) (Blue).

    亮暗模式切换
    X
    • (11)

    Anti-14-3-3 Epsilon/YWHAE Antibody (Clone#3G11G2)

    货号:M01687-2

    描述:Mouse monoclonal antibody

    检验物种: human, mouse, rat

    应用范围: WB, IHC, FCM, ICC/IF

    货期:现货

    说明书 一键复制产品信息

    加入购物车
  • Anti-14-3-3 Epsilon/YWHAE Antibody (Clone#3G11G2)

    筛选器: All WB IHC FCM ICC/IF

    • Western blot analysis of 14-3-3 Epsilon/YWHAE using anti-14-3-3 Epsilon/YWHAE antibody (M01687-2). The sample well of each lane was loaded with 30 ug of sample under reducing conditions.
      Lane 1: Hela whole cell lysates,
      Lane 2: SH-SY5Y whole cell lysates,
      Lane 3: SW620 whole cell lysates,
      Lane 4: Raji whole cell lysates,
      Lane 5: rat brain tissue lysates,
      Lane 6: PC-12 whole cell lysates,
      Lane 7: mouse brain tissue lysates,
      Lane 8: NIH/3T3 whole cell lysates.
      After electrophoresis, proteins were transferred to a membrane. Then the membrane was incubated with mouse anti-14-3-3 Epsilon/YWHAE antigen affinity purified monoclonal antibody (M01687-2) at a dilution of 1:1000 and probed with a goat anti-mouse IgG-HRP secondary antibody (Catalog # BA1050). The signal is developed using ECL Plus Western Blotting Substrate (Catalog # AR1197). A specific band was detected for 14-3-3 Epsilon/YWHAE at approximately 29 kDa. The expected band size for 14-3-3 Epsilon/YWHAE is at 29 kDa.

    • IHC analysis of 14-3-3 Epsilon/YWHAE using anti-14-3-3 Epsilon/YWHAE antibody (M01687-2).
      14-3-3 Epsilon/YWHAE was detected in a paraffin-embedded section of human Colorectal adenocarcinoma tissue. Biotinylated goat anti-mouse IgG was used as secondary antibody. The tissue section was incubated with mouse anti-14-3-3 Epsilon/YWHAE Antibody (M01687-2) at a dilution of 1:200 and developed using Strepavidin-Biotin-Complex (SABC) (Catalog # SA1021) with DAB (Catalog # AR1027) as the chromogen.

    • IHC analysis of 14-3-3 Epsilon/YWHAE using anti-14-3-3 Epsilon/YWHAE antibody (M01687-2).
      14-3-3 Epsilon/YWHAE was detected in a paraffin-embedded section of human liver cancer tissue. Biotinylated goat anti-mouse IgG was used as secondary antibody. The tissue section was incubated with mouse anti-14-3-3 Epsilon/YWHAE Antibody (M01687-2) at a dilution of 1:200 and developed using Strepavidin-Biotin-Complex (SABC) (Catalog # SA1021) with DAB (Catalog # AR1027) as the chromogen.

    • IHC analysis of 14-3-3 Epsilon/YWHAE using anti-14-3-3 Epsilon/YWHAE antibody (M01687-2).
      14-3-3 Epsilon/YWHAE was detected in a paraffin-embedded section of human tonsil tissue. Biotinylated goat anti-mouse IgG was used as secondary antibody. The tissue section was incubated with mouse anti-14-3-3 Epsilon/YWHAE Antibody (M01687-2) at a dilution of 1:200 and developed using Strepavidin-Biotin-Complex (SABC) (Catalog # SA1021) with DAB (Catalog # AR1027) as the chromogen.

    • IHC analysis of 14-3-3 Epsilon/YWHAE using anti-14-3-3 Epsilon/YWHAE antibody (M01687-2).
      14-3-3 Epsilon/YWHAE was detected in a paraffin-embedded section of human endometrial cancer tissue. Biotinylated goat anti-mouse IgG was used as secondary antibody. The tissue section was incubated with mouse anti-14-3-3 Epsilon/YWHAE Antibody (M01687-2) at a dilution of 1:200 and developed using Strepavidin-Biotin-Complex (SABC) (Catalog # SA1021) with DAB (Catalog # AR1027) as the chromogen.

    • IHC analysis of 14-3-3 Epsilon/YWHAE using anti-14-3-3 Epsilon/YWHAE antibody (M01687-2).
      14-3-3 Epsilon/YWHAE was detected in a paraffin-embedded section of human placenta tissue. Biotinylated goat anti-mouse IgG was used as secondary antibody. The tissue section was incubated with mouse anti-14-3-3 Epsilon/YWHAE Antibody (M01687-2) at a dilution of 1:200 and developed using Strepavidin-Biotin-Complex (SABC) (Catalog # SA1021) with DAB (Catalog # AR1027) as the chromogen.

    • IHC analysis of 14-3-3 Epsilon/YWHAE using anti-14-3-3 Epsilon/YWHAE antibody (M01687-2).
      14-3-3 Epsilon/YWHAE was detected in a paraffin-embedded section of human Bladder epithelial carcinoma tissue. Biotinylated goat anti-mouse IgG was used as secondary antibody. The tissue section was incubated with mouse anti-14-3-3 Epsilon/YWHAE Antibody (M01687-2) at a dilution of 1:200 and developed using Strepavidin-Biotin-Complex (SABC) (Catalog # SA1021) with DAB (Catalog # AR1027) as the chromogen.

    • IHC analysis of 14-3-3 Epsilon/YWHAE using anti-14-3-3 Epsilon/YWHAE antibody (M01687-2).
      14-3-3 Epsilon/YWHAE was detected in a paraffin-embedded section of human Laryngeal squamous cell carcinoma tissue. Biotinylated goat anti-mouse IgG was used as secondary antibody. The tissue section was incubated with mouse anti-14-3-3 Epsilon/YWHAE Antibody (M01687-2) at a dilution of 1:200 and developed using Strepavidin-Biotin-Complex (SABC) (Catalog # SA1021) with DAB (Catalog # AR1027) as the chromogen.

    • Flow Cytometry analysis of ANA-1 cells using anti-14-3-3 Epsilon/YWHAE antibody (M01687-2).
      Overlay histogram showing ANA-1 cells stained with M01687-2 (Blue line). To facilitate intracellular staining, cells were fixed with 4% paraformaldehyde and permeabilized with permeabilization buffer. The cells were blocked with 10% normal goat serum. And then incubated with mouse anti-14-3-3 Epsilon/YWHAE Antibody (M01687-2) at 1:100 dilution for 30 min at 20°C. Fluoro488 conjugated goat anti-mouse IgG (BA1126) was used as secondary antibody at 1:100 dilution for 30 minutes at 20°C. Isotype control antibody (Green line) was mouse IgG at 1:100 dilution used under the same conditions. Unlabelled sample without incubation with primary antibody and secondary antibody (Red line) was used as a blank control.

    • Flow Cytometry analysis of NRK cells using anti-14-3-3 Epsilon/YWHAE antibody (M01687-2).
      Overlay histogram showing NRK cells stained with M01687-2 (Blue line). To facilitate intracellular staining, cells were fixed with 4% paraformaldehyde and permeabilized with permeabilization buffer. The cells were blocked with 10% normal goat serum. And then incubated with mouse anti-14-3-3 Epsilon/YWHAE Antibody (M01687-2) at 1:100 dilution for 30 min at 20°C. Fluoro488 conjugated goat anti-mouse IgG (BA1126) was used as secondary antibody at 1:100 dilution for 30 minutes at 20°C. Isotype control antibody (Green line) was mouse IgG at 1:100 dilution used under the same conditions. Unlabelled sample without incubation with primary antibody and secondary antibody (Red line) was used as a blank control.

    • ICC/IF analysis of 14-3-3 Epsilon/YWHAE using anti-14-3-3 Epsilon/YWHAE antibody (M01687-2).
      14-3-3 Epsilon/YWHAE was detected in an immunocytochemical section of Caco-2 cells. The section was incubated with mouse anti-14-3-3 Epsilon/YWHAE Antibody (M01687-2) at a dilution of 1:100. Fluoro594-conjugated Anti-mouse IgG Secondary Antibody (red)(Catalog#BA1141) was used as secondary antibody. The section was counterstained with DAPI (Catalog # AR1176) (Blue).

    亮暗模式切换
    X
    • (4)

    Anti-14-3-3 Epsilon/YWHAE Antibody (Clone#HHD-25)

    货号:BM4755

    描述:Rabbit monoclonal antibody

    检验物种: human, mouse, rat

    应用范围: WB, IHC, ICC/IF, FCM

    货期:5-7天

    说明书 一键复制产品信息

    加入购物车
  • Anti-14-3-3 Epsilon/YWHAE Antibody (Clone#HHD-25)

    筛选器: All WB IHC ICC/IF FCM

    • Western blot analysis of 14-3-3 epsilon expression in 293T cell lysate.

    亮暗模式切换
    X
    • (3)

    Anti-14-3-3 GAMMA/YWHAG-Specific Antibody

    货号:A04148-1

    描述:Rabbit polyclonal antibody

    检验物种: human, mouse, rat

    应用范围: WB, FCM, ELISA

    货期:现货

    说明书 一键复制产品信息

    加入购物车
  • Anti-14-3-3 GAMMA/YWHAG-Specific Antibody

    筛选器: All WB FCM ELISA

    • Western blot analysis of 14-3-3 GAMMA/YWHAG-Specific using anti-14-3-3 GAMMA/YWHAG-Specific antibody (A04148-1). The sample well of each lane was loaded with 30 ug of sample under reducing conditions.
      Lane 1: rat brain tissue lysates,
      Lane 2: Mouse brain tissue lysates.
      After electrophoresis, proteins were transferred to a membrane. Then the membrane was incubated with rabbit anti-14-3-3 GAMMA/YWHAG-Specific antigen affinity purified polyclonal antibody (A04148-1) at a dilution of 1:1000 and probed with a goat anti-rabbit IgG-HRP secondary antibody (Catalog # BA1054). The signal is developed using ECL Plus Western Blotting Substrate (Catalog # AR1197). A specific band was detected for 14-3-3 GAMMA/YWHAG-Specific at approximately 28 kDa. The expected band size for 14-3-3 GAMMA/YWHAG-Specific is at 28 kDa.

    • Flow Cytometry analysis of U87 cells using anti-14-3-3 GAMMA/YWHAG-Specific antibody (A04148-1).
      Overlay histogram showing U87 cells stained with A04148-1 (Blue line). To facilitate intracellular staining, cells were fixed with 4% paraformaldehyde and permeabilized with permeabilization buffer. The cells were blocked with 10% normal goat serum. And then incubated with rabbit anti-14-3-3 GAMMA/YWHAG-Specific Antibody (A04148-1) at 1:100 dilution for 30 min at 20°C. Fluoro488 conjugated goat anti-rabbit IgG (BA1127) was used as secondary antibody at 1:100 dilution for 30 minutes at 20°C. Isotype control antibody (Green line) was rabbit IgG at 1:100 dilution used under the same conditions. Unlabelled sample without incubation with primary antibody and secondary antibody (Red line) was used as a blank control.

    亮暗模式切换
    X
    • (2)

    Anti-14-3-3 GAMMA/YWHAG-Specific Antibody (Clone#HAH-25)

    货号:BM4688

    描述:Rabbit monoclonal antibody

    检验物种: human, mouse, rat

    应用范围: WB, FCM

    货期:5-7天

    说明书 一键复制产品信息

    加入购物车
  • Anti-14-3-3 GAMMA/YWHAG-Specific Antibody (Clone#HAH-25)

    筛选器: All WB FCM

    • Western blot analysis of 14-3-3 gamma expression in HeLa cell lysate.

    亮暗模式切换
    X
    • (6)

    Anti-14-3-3 Sigma/SFN Antibody

    货号:A01127

    描述:Rabbit polyclonal antibody

    检验物种: human, mouse, rat

    应用范围: WB, IHC, ICC/IF, FCM, ELISA

    货期:现货

    说明书 一键复制产品信息

    加入购物车
  • Anti-14-3-3 Sigma/SFN Antibody

    筛选器: All WB IHC ICC/IF FCM ELISA

    • Western blot analysis of anti-14-3-3 Sigma/SFN antibody (A01127). The sample well of each lane was loaded with 30 ug of sample under reducing conditions.
      Lane 1: human A431 whole cell lysates,
      Lane 2: human Hela whole cell lysates,
      Lane 3: human MCF-7 whole cell lysates,
      Lane 4: human Hacat whole cell lysates,
      Lane 1: rat skin tissue lysates,
      Lane 2: mouse Hepa1-6 whole cell lysates.
      After electrophoresis, proteins were transferred to a membrane. Then the membrane was incubated with rabbit anti-14-3-3 Sigma/SFN antigen affinity purified polyclonal antibody (A01127) and probed with a goat anti-rabbit IgG-HRP secondary antibody (Catalog # BA1054). The signal is developed using ECL Plus Western Blotting Substrate (Catalog # AR1197). A specific band was detected for 14-3-3 Sigma/SFN at approximately 28 kDa. The expected band size for 14-3-3 Sigma/SFN is at 28 kDa.

    • IHC analysis of 14-3-3 Sigma/SFN using anti-14-3-3 Sigma/SFN antibody (A01127).
      14-3-3 Sigma/SFN was detected in a paraffin-embedded section of human rectal cancer tissue. Biotinylated goat anti-rabbit IgG was used as secondary antibody. The tissue section was incubated with rabbit anti-14-3-3 Sigma/SFN Antibody (A01127) at a dilution of 1:200 and developed using Strepavidin-Biotin-Complex (SABC) (Catalog # SA1022) with DAB (Catalog # AR1027) as the chromogen.

    • ICC/IF analysis of 14-3-3 sigma using anti- 14-3-3 sigma antibody (A01127). 14-3-3 sigma was detected in paraffin-embedded section of A431 cell. Enzyme antigen retrieval was performed using IHC enzyme antigen retrieval reagent (AR0022) The tissue section was blocked with 10% goat serum. The tissue section was then incubated with 2μg/mL rabbit anti- cortactin Antibody (A01127) . Fluoro488 Conjugated Goat Anti-Rabbit IgG (BA1127) was used as secondary antibody Visualize using a fluorescence microscope and filter sets appropriate for the label used.

    • ICC/IF analysis of 14-3-3 sigma using anti- 14-3-3 sigma antibody (A01127). 14-3-3 sigma was detected in paraffin-embedded section of A549 cell. Enzyme antigen retrieval was performed using IHC enzyme antigen retrieval reagent (AR0022) The tissue section was blocked with 10% goat serum. The tissue section was then incubated with 2μg/mL rabbit anti- cortactin Antibody (A01127) . Fluoro488 Conjugated Goat Anti-Rabbit IgG (BA1127) was used as secondary antibody Visualize using a fluorescence microscope and filter sets appropriate for the label used.

    • Flow Cytometry analysis of U2OS cells using anti-14-3-3 Sigma/SFN antibody (A01127).
      Overlay histogram showing U2OS cells stained with A01127 (Blue line). The cells were blocked with 10% normal goat serum. And then incubated with rabbit anti-14-3-3 Sigma/SFN Antibody (A01127) at 1:100 dilution for 30 min at 20°C. Fluoro488 conjugated goat anti-rabbit IgG (BA1127) was used as secondary antibody at 1:100 dilution for 30 minutes at 20°C. Isotype control antibody (Green line) was rabbit IgG at 1:100 dilution used under the same conditions. Unlabelled sample without incubation with primary antibody and secondary antibody (Red line) was used as a blank control.

    亮暗模式切换
    X
    • (7)

    Anti-14-3-3 Sigma/SFN Antibody

    货号:BA3752

    描述:Rabbit polyclonal antibody

    检验物种: human, mouse, rat

    应用范围: WB, IHC, ICC/IF, FCM

    货期:现货

    说明书 文献数量(3) 一键复制产品信息

    加入购物车
  • Anti-14-3-3 Sigma/SFN Antibody

    筛选器: All WB IHC ICC/IF FCM

    • Western blot analysis of 14-3-3 Sigma/SFN using anti-14-3-3 Sigma/SFN antibody (BA3752). The sample well of each lane was loaded with 30 ug of sample under reducing conditions.
      Lane 1: HELA whole cell lysates,
      Lane 2: PC-3 whole cell lysates,
      Lane 3: rat brain tissue lysates,
      Lane 4: mouse brain tissue lysates.
      After electrophoresis, proteins were transferred to a membrane. Then the membrane was incubated with rabbit anti-14-3-3 Sigma/SFN antigen affinity purified polyclonal antibody (BA3752) at a dilution of 1:1000 and probed with a goat anti-rabbit IgG-HRP secondary antibody (Catalog # BA1054). The signal is developed using ECL Plus Western Blotting Substrate (Catalog # AR1197). A specific band was detected for 14-3-3 Sigma/SFN at approximately 28 kDa. The expected band size for 14-3-3 Sigma/SFN is at 28 kDa.

    • IHC analysis of 14-3-3 Sigma/SFN using anti-14-3-3 Sigma/SFN antibody (BA3752).
      14-3-3 Sigma/SFN was detected in a paraffin-embedded section of human intestinal cancer tissue. Biotinylated goat anti-rabbit IgG was used as secondary antibody. The tissue section was incubated with rabbit anti-14-3-3 Sigma/SFN Antibody (BA3752) at a dilution of 1:200 and developed using Strepavidin-Biotin-Complex (SABC) (Catalog # SA1022) with DAB (Catalog # AR1027) as the chromogen.

    • IHC analysis of 14-3-3 Sigma/SFN using anti-14-3-3 Sigma/SFN antibody (BA3752).
      14-3-3 Sigma/SFN was detected in a paraffin-embedded section of human mammary cancer tissue. Biotinylated goat anti-rabbit IgG was used as secondary antibody. The tissue section was incubated with rabbit anti-14-3-3 Sigma/SFN Antibody (BA3752) at a dilution of 1:200 and developed using Strepavidin-Biotin-Complex (SABC) (Catalog # SA1022) with DAB (Catalog # AR1027) as the chromogen.

    • IHC analysis of 14-3-3 Sigma/SFN using anti-14-3-3 Sigma/SFN antibody (BA3752).
      14-3-3 Sigma/SFN was detected in a paraffin-embedded section of human oesophagus squama cancer tissue. Biotinylated goat anti-rabbit IgG was used as secondary antibody. The tissue section was incubated with rabbit anti-14-3-3 Sigma/SFN Antibody (BA3752) at a dilution of 1:200 and developed using Strepavidin-Biotin-Complex (SABC) (Catalog # SA1022) with DAB (Catalog # AR1027) as the chromogen.

    • ICC/IF analysis of 14-3-3 Sigma/SFN using anti-14-3-3 Sigma/SFN antibody (BA3752).
      14-3-3 Sigma/SFN was detected in an immunocytochemical section of U2OS cells. The section was incubated with rabbit anti-14-3-3 Sigma/SFN Antibody (BA3752) at a dilution of 1:100. Fluoro488 Conjugated Goat Anti-Rabbit IgG (Green) (Catalog # BA1127) was used as secondary antibody. The section was counterstained with DAPI (Catalog # AR1176) (Blue).

    • ICC/IF analysis of 14-3-3 Sigma/SFN using anti-14-3-3 Sigma/SFN antibody (BA3752).
      14-3-3 Sigma/SFN was detected in an immunocytochemical section of U2OS cells. The section was incubated with rabbit anti-14-3-3 Sigma/SFN Antibody (BA3752) at a dilution of 1:100. Fluoro594-conjugated Anti-rabbit IgG Secondary Antibody (red)(Catalog#BA1142) was used as secondary antibody. The section was counterstained with DAPI (Catalog # AR1176) (Blue).

    • Flow Cytometry analysis of A431 cells using anti-14-3-3 Sigma/SFN antibody (BA3752).
      Overlay histogram showing A431 cells stained with BA3752 (Blue line). To facilitate intracellular staining, cells were fixed with 4% paraformaldehyde and permeabilized with permeabilization buffer. The cells were blocked with 10% normal goat serum. And then incubated with rabbit anti-14-3-3 Sigma/SFN Antibody (BA3752) at 1:100 dilution for 30 min at 20°C. Fluoro488 conjugated goat anti-rabbit IgG (BA1127) was used as secondary antibody at 1:100 dilution for 30 minutes at 20°C. Isotype control antibody (Green line) was rabbit IgG at 1:100 dilution used under the same conditions. Unlabelled sample without incubation with primary antibody and secondary antibody (Red line) was used as a blank control.

    亮暗模式切换
    X
    • (4)

    Anti-14-3-3 Sigma/SFN Antibody (Clone#HBB-19)

    货号:BM4692

    描述:Rabbit monoclonal antibody

    检验物种: human, rat

    应用范围: WB, IHC

    货期:5-7天

    说明书 一键复制产品信息

    加入购物车
  • Anti-14-3-3 Sigma/SFN Antibody (Clone#HBB-19)

    筛选器: All WB IHC

    • Western blot analysis of 14-3-3 sigma expression in A431 cell lysate.

    • All lanes use the Antibody for 1 hour at room temperature.

    • All lanes use the Antibody for 1 hour at room temperature.

    亮暗模式切换
    X
    • (4)

    Anti-14-3-3 Theta/YWHAQ Antibody

    货号:A03904-3

    描述:Rabbit polyclonal antibody

    检验物种: human, mouse, rat

    应用范围: WB, IHC, ICC/IF, FCM

    货期:5-7天

    说明书 一键复制产品信息

    加入购物车
  • Anti-14-3-3 Theta/YWHAQ Antibody

    筛选器: All WB IHC ICC/IF FCM

    亮暗模式切换
    X
    • (4)

    Anti-14-3-3 Theta/YWHAQ Antibody (Clone#HHF-25)

    货号:BM4757

    描述:Rabbit monoclonal antibody

    检验物种: human, mouse, rat

    应用范围: WB, IHC, ICC/IF, FCM

    货期:现货

    说明书 一键复制产品信息

    加入购物车
  • Anti-14-3-3 Theta/YWHAQ Antibody (Clone#HHF-25)

    筛选器: All WB IHC ICC/IF FCM

    • Western blot analysis of anti-YWHAQ antibody (BM4757). The sample well of each lane was loaded with 30 ug of sample under reducing conditions.
      Lane 1: human Hela whole cell lysates,
      Lane 2: human A549 whole cell lysates,
      Lane 3: human SH-SY5Y whole cell lysates,
      Lane 4: human U251 whole cell lysates,
      Lane 5: rat brain tissue lysates,
      Lane 6: rat C6 whole cell lysates,
      Lane 7: mouse brain tissue lysates.
      After electrophoresis, proteins were transferred to a membrane. Then the membrane was incubated with rabbit anti-YWHAQ antigen affinity purified monoclonal antibody (BM4757) at a dilution of 1:1000 and probed with a goat anti-rabbit IgG-HRP secondary antibody (Catalog # BA1054). The signal is developed using ECL Plus Western Blotting Substrate (Catalog # AR1197). A specific band was detected for YWHAQ at approximately 28 kDa. The expected band size for YWHAQ is at 28 kDa.

    • IHC analysis of YWHAQ using anti-YWHAQ antibody (BM4757).
      YWHAQ was detected in a paraffin-embedded section of human pancreas cancer tissue. The tissue section was incubated with rabbit anti-YWHAQ Antibody (BM4757) at a dilution of 1:200 and developed using HRP Conjugated Rabbit IgG Super Vision Assay Kit (Catalog # SV0002) with DAB (Catalog # AR1027) as the chromogen.

    亮暗模式切换
    X
查看更多

成功添加到购物车

查看购物车 继续购物

在线
客服

在线客服
服务时间:08:30 - 17:30

点击下列客服在线咨询:

服务热线

服务
热线

客服服务热线

027-67845390
客服服务热线

扫码

扫码
咨询

微信二维码 微信扫一扫立即咨询
返回顶部 顶部