| Western blot (WB): | 1:500-2000 |
| Immunohistochemistry (IHC): | 1:50-200 |
| Immunocytochemistry/Immunofluorescence (ICC/IF): | 1:50-200 |

Western blot analysis of anti-Histone H3 antibody (BM4715). The sample well of each lane was loaded with 30 ug of sample under reducing conditions.
Lane 1: human Hela whole cell lysates,
Lane 2: human Jurkat whole cell lysates,
Lane 3: human HepG2 whole cell lysates,
Lane 4: human 293T whole cell lysates,
Lane 5: rat heart tissue lysates,
Lane 6: rat liver tissue lysates,
Lane 7: mouse heart tissue lysates,
Lane 8: mouse liver tissue lysates.
After electrophoresis, proteins were transferred to a membrane. Then the membrane was incubated with rabbit anti-Histone H3 antigen affinity purified monoclonal antibody (BM4715) at a dilution of 1:2000 and probed with a goat anti-rabbit IgG-HRP secondary antibody (Catalog # BA1054). The signal is developed using ECL Plus Western Blotting Substrate (Catalog # AR1197). A specific band was detected for Histone H3 at approximately 15 kDa. The expected band size for Histone H3 is at 15 kDa.

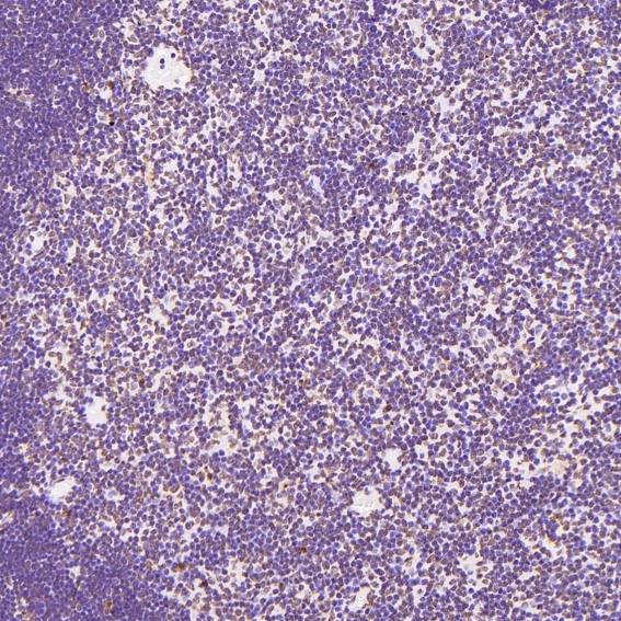
Immunohistochemical analysis of paraffin-embedded Rat thymus, using the Antibody.

Immunohistochemical analysis of paraffin-embedded Mouse spleen, using the Antibody.

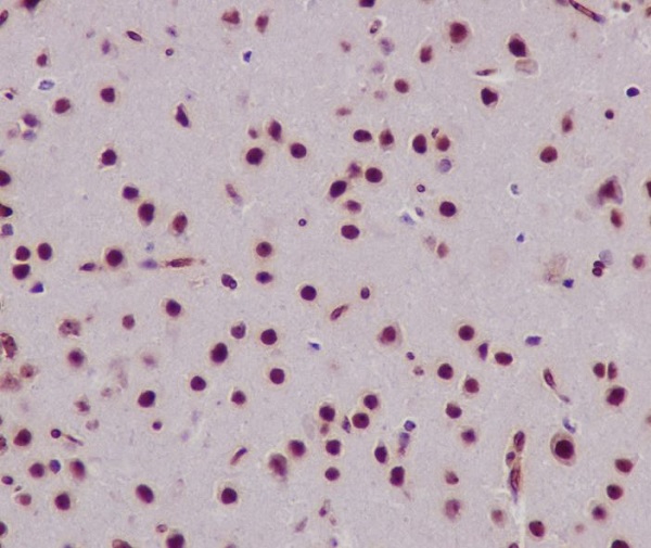
Immunohistochemical analysis of paraffin-embedded mouse brain, using Histone H3 Antibody.

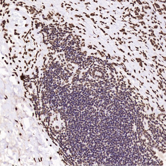
Immunohistochemical analysis of paraffin-embedded Human tonsil, using the Antibody.

Immunohistochemical analysis of paraffin-embedded Human esophageal carcinoma, using the Antibody.

Immunohistochemical analysis of paraffin-embedded Human colon cancer, using the Antibody.

Immunofluorescent analysis of Hela cells, using Histone H3 Antibody.

Western blot analysis of anti-Histone H3 antibody (BM4715). The sample well of each lane was loaded with 30 ug of sample under reducing conditions.
Lane 1: human Hela whole cell lysates,
Lane 2: human Jurkat whole cell lysates,
Lane 3: human HepG2 whole cell lysates,
Lane 4: human 293T whole cell lysates,
Lane 5: rat heart tissue lysates,
Lane 6: rat liver tissue lysates,
Lane 7: mouse heart tissue lysates,
Lane 8: mouse liver tissue lysates.
After electrophoresis, proteins were transferred to a membrane. Then the membrane was incubated with rabbit anti-Histone H3 antigen affinity purified monoclonal antibody (BM4715) at a dilution of 1:2000 and probed with a goat anti-rabbit IgG-HRP secondary antibody (Catalog # BA1054). The signal is developed using ECL Plus Western Blotting Substrate (Catalog # AR1197). A specific band was detected for Histone H3 at approximately 15 kDa. The expected band size for Histone H3 is at 15 kDa.

Immunohistochemical analysis of paraffin-embedded Rat thymus, using the Antibody.

Immunohistochemical analysis of paraffin-embedded Mouse spleen, using the Antibody.

Immunohistochemical analysis of paraffin-embedded mouse brain, using Histone H3 Antibody.

Immunohistochemical analysis of paraffin-embedded Human tonsil, using the Antibody.

Immunohistochemical analysis of paraffin-embedded Human esophageal carcinoma, using the Antibody.

Immunohistochemical analysis of paraffin-embedded Human colon cancer, using the Antibody.

Immunofluorescent analysis of Hela cells, using Histone H3 Antibody.







