欢迎访问博士德生物官网! 服务热线:027-67845390 |
您当前的位置: 首页 > 产品中心 > 一抗 > 重组兔单抗

Anti-Histone H3 (mono+di+tri methyl K79) Antibody (Clone#H-8)

Rabbit Monoclonal Antibody

说明书 一键复制产品信息

筛选器: All WB IHC

BM4322

  • 50μl ¥1280 100μl ¥2180 150μl ¥2800
  • 货期: 5-7天
  • Western blot analysis of Histone H3 (mono+di+tri methyl K79) expression in (1) NIH/3T3 cell lysate; (2) A549 cell lysate.

    all(2)
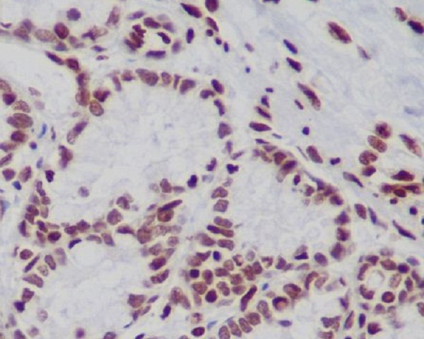
  • Immunohistochemical analysis of paraffin-embedded rat colon, using Histone H3 (mono+di+tri methyl K79) Antibody.

    all(2)

产品简介 实验方案 引用文献 相关产品

产品简介>

产品名称
Anti-Histone H3 (mono+di+tri methyl K79) Antibody (Clone#H-8)
规格/价格
50μl|1280 100μl|2180 150μl|2800
指标别称
H3/b; H3FA; H3FB; H3FC; H3FD; H3FF; H3FH; H3FI; H3FJ; H3FK; H3FL; HIST1H3A; HIST1H3B; HIST1H3C; HIST1H3D; HIST1H3E; HIST1H3F; HIST1H3G; HIST1H3H; HIST1H3I; HIST1H3J; histone cluster 1; H3d; Histone H3.1; Histone H3/a; Histone H3/b; Histone H3/c; Histone H3/d; Histone H3/f; Histone H3/h; Histone H3/i; Histone H3/j; Histone H3/k; Histone H3/l
产品类型
Monoclonal
检验物种
human, mouse, rat
应用范围
WB, IHC
基因名称
H3C1/H3C2/H3C3/H3C4/H3C6/H3C7/H3C8/H3C10/H3C11/H3C12
克隆号
H-8
宿主
Rabbit
抗体亚型
IgG
免疫原
A synthesized peptide derived from human Histone H3 (mono+di+tri methyl K79)
计算分子量
15 kDa
实际分子量
15-17 kDa
成分
500 ug/ml; Rabbit IgG in phosphate buffered saline, pH 7.4, 150mM NaCl, 0.02% sodium azide, 0.4-0.5 mg/ml BSA and 50% glycerol.
纯化方式
Affinity-chromatography
产品形态
Liquid
保存条件
12 months from date of receipt,-20℃ as supplied.
背景资料
Histones are the main constituents of the protein part of chromosomes of eukaryotic cells. They are rich in the amino acids arginine and lysine and have been greatly conserved during evolution. Histones pack the DNA into tight masses of chromatin. Two core histones of each class H2A, H2B, H3 and H4 assemble and are wrapped by 146 base pairs of DNA to form one octameric nucleosome. Histone tails undergo numerous post-translational modifications, which either directly or indirectly alter chromatin structure to facilitate transcriptional activation or repression or other nuclear processes. In addition to the genetic code, combinations of the different histone modifications reveal the so-called "histone code". Histone methylation and demethylation is dynamically regulated by respectively histone methyl transferases and histone demethylases.
Uniprot ID
P68431  
文献引用格式
Histone H3 (mono+di+tri methyl K79) Antibody (Clone#H-8) (Boster Biological Technology, Wuhan, China. Catalog#BM4322)
应用释义
WB-蛋白质免疫印迹法; IHC- 免疫组织化学法; ICC/IF-免疫细胞荧光和免疫细胞化学; FCM-流式细胞术; ELISA-酶联免疫吸附测定; IP-免疫沉淀法; IF-免疫组织荧光法; ChIP-染色质免疫沉淀法;
基因名全称
Histone H3.1
推荐稀释比
Western blot (WB):1:500-2000
Immunohistochemistry (IHC):1:50-200

实验方案>

实验步骤

引用文献(0)>

    相关产品>

    成功添加到购物车

    查看购物车 继续购物

    Anti-Histone H3 (mono+di+tri methyl K79) Antibody (Clone#H-8)

    筛选器: All WB IHC

    亮暗模式切换
    X
    亮暗模式切换
    X

    在线
    客服

    在线客服
    服务时间:08:30 - 17:30

    点击下列客服在线咨询:

    服务热线

    服务
    热线

    客服服务热线

    027-67845390
    客服服务热线

    扫码

    扫码
    咨询

    微信二维码 微信扫一扫立即咨询
    返回顶部 顶部