| Western blot (WB): | 1:500-2000 |
| Immunohistochemistry (IHC): | 1:50-200 |
| Immunocytochemistry/Immunofluorescence (ICC/IF): | 1:50-200 |
| ImmunoPrecipitation (IP): | 1:20 |

Western blot analysis of anti-Histone H3 (acetyl K14) antibody (BM4151). The sample well of each lane was loaded with 30 ug of sample under reducing conditions.
Lane 1: human 293T whole cell lysates,
Lane 2: human U2OS whole cell lysates,
Lane 3: human A549 whole cell lysates,
Lane 4: human HepG2 whole cell lysates,
Lane 5: rat heart tissue lysates,
Lane 6: mouse brain tissue lysates,
Lane 7: mouse heart tissue lysates.
After electrophoresis, proteins were transferred to a membrane. Then the membrane was incubated with rabbit anti-Histone H3 (acetyl K14) antigen affinity purified monoclonal antibody (BM4151) at a dilution of 1:1000 and probed with a goat anti-rabbit IgG-HRP secondary antibody (Catalog # BA1054). The signal is developed using ECL Plus Western Blotting Substrate (Catalog # AR1197). A specific band was detected for Histone H3 (acetyl K14) at approximately 17 kDa. The expected band size for Histone H3 (acetyl K14) is at 15 kDa.

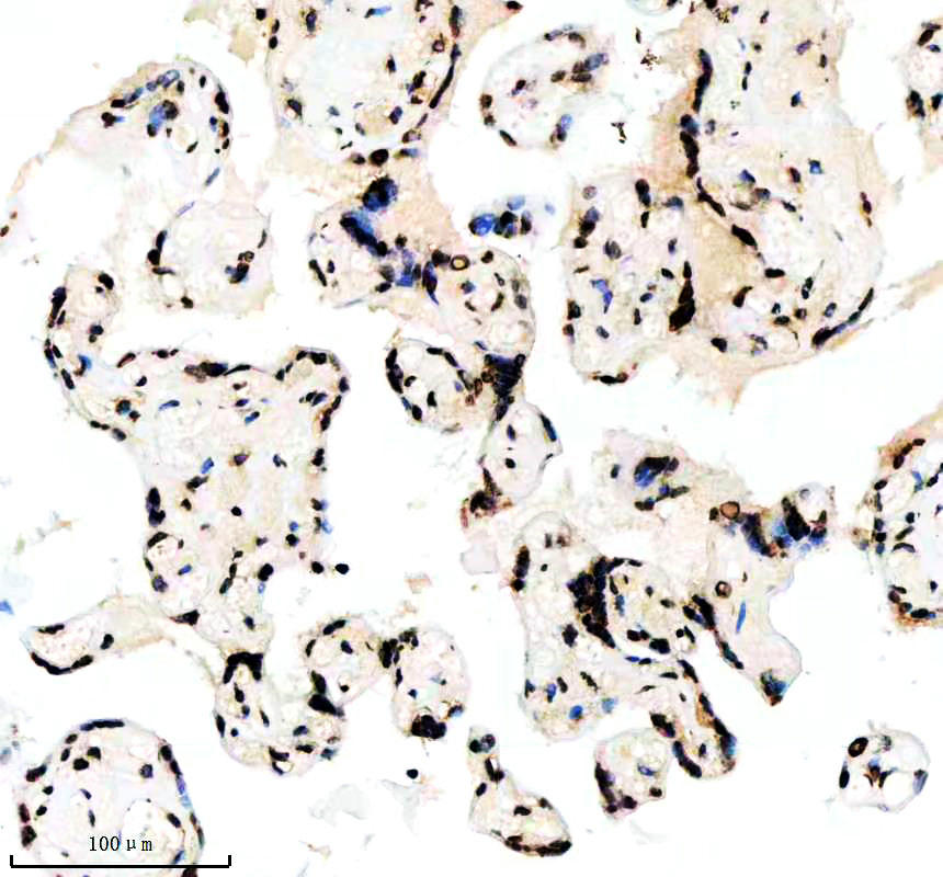
IHC analysis of Histone H3 (acetyl K14) using anti-Histone H3 (acetyl K14) antibody (BM4151) .
Histone H3 (acetyl K14) was detected in a paraffin-embedded section of human placenta tissue. The tissue section was incubated with rabbit anti-Histone H3 (acetyl K14) Antibody (BM4151) at a dilution of 1:200 and developed using HRP Conjugated Rabbit IgG Super Vision Assay Kit (Catalog # SV0002) with DAB (Catalog # AR1027) as the chromogen.

IHC analysis of Histone H3 (acetyl K14) using anti-Histone H3 (acetyl K14) antibody (BM4151) .
Histone H3 (acetyl K14) was detected in a paraffin-embedded section of human liver cancer tissue. The tissue section was incubated with rabbit anti-Histone H3 (acetyl K14) Antibody (BM4151) at a dilution of 1:200 and developed using HRP Conjugated Rabbit IgG Super Vision Assay Kit (Catalog # SV0002) with DAB (Catalog # AR1027) as the chromogen.

IHC analysis of Histone H3 (acetyl K14) using anti-Histone H3 (acetyl K14) antibody (BM4151) .
Histone H3 (acetyl K14) was detected in a paraffin-embedded section of human rectal cancer tissue. The tissue section was incubated with rabbit anti-Histone H3 (acetyl K14) Antibody (BM4151) at a dilution of 1:200 and developed using HRP Conjugated Rabbit IgG Super Vision Assay Kit (Catalog # SV0002) with DAB (Catalog # AR1027) as the chromogen.

IHC analysis of Histone H3 (acetyl K14) using anti-Histone H3 (acetyl K14) antibody (BM4151) .
Histone H3 (acetyl K14) was detected in a paraffin-embedded section of human lymphoma tissue. The tissue section was incubated with rabbit anti-Histone H3 (acetyl K14) Antibody (BM4151) at a dilution of 1:200 and developed using HRP Conjugated Rabbit IgG Super Vision Assay Kit (Catalog # SV0002) with DAB (Catalog # AR1027) as the chromogen.

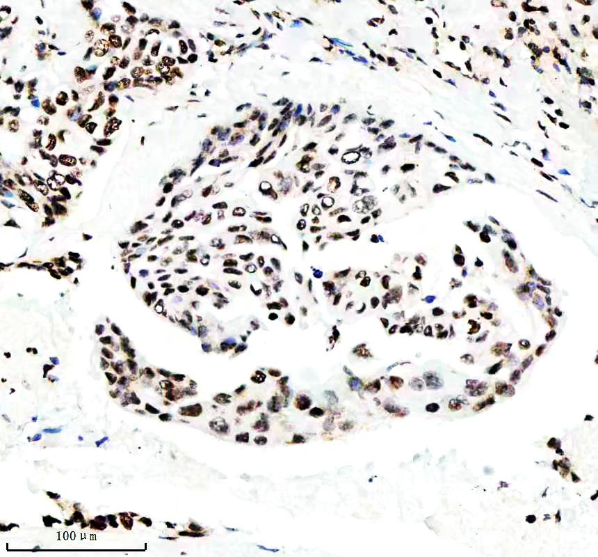
IHC analysis of Histone H3 (acetyl K14) using anti-Histone H3 (acetyl K14) antibody (BM4151) .
Histone H3 (acetyl K14) was detected in a paraffin-embedded section of human tonsil tissue. The tissue section was incubated with rabbit anti-Histone H3 (acetyl K14) Antibody (BM4151) at a dilution of 1:200 and developed using HRP Conjugated Rabbit IgG Super Vision Assay Kit (Catalog # SV0002) with DAB (Catalog # AR1027) as the chromogen.

IHC analysis of Histone H3 (acetyl K14) using anti-Histone H3 (acetyl K14) antibody (BM4151) .
Histone H3 (acetyl K14) was detected in a paraffin-embedded section of human clear cell renal cell carcinoma tissue. The tissue section was incubated with rabbit anti-Histone H3 (acetyl K14) Antibody (BM4151) at a dilution of 1:200 and developed using HRP Conjugated Rabbit IgG Super Vision Assay Kit (Catalog # SV0002) with DAB (Catalog # AR1027) as the chromogen.

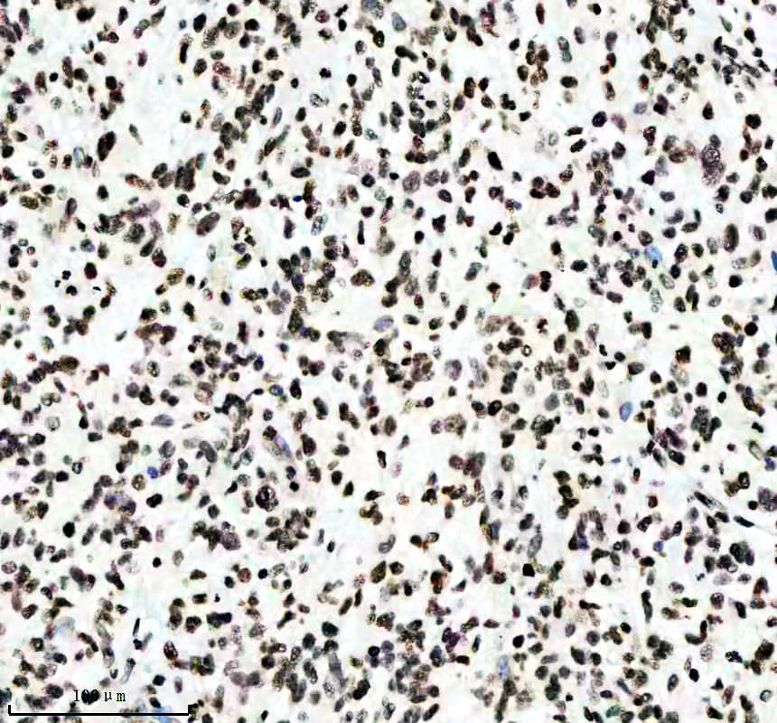
IHC analysis of Histone H3 (acetyl K14) using anti-Histone H3 (acetyl K14) antibody (BM4151) .
Histone H3 (acetyl K14) was detected in a paraffin-embedded section of human glioma tissue. The tissue section was incubated with rabbit anti-Histone H3 (acetyl K14) Antibody (BM4151) at a dilution of 1:200 and developed using HRP Conjugated Rabbit IgG Super Vision Assay Kit (Catalog # SV0002) with DAB (Catalog # AR1027) as the chromogen.

IHC analysis of Histone H3 (acetyl K14) using anti-Histone H3 (acetyl K14) antibody (BM4151) .
Histone H3 (acetyl K14) was detected in a paraffin-embedded section of human ovarian cancer tissue. The tissue section was incubated with rabbit anti-Histone H3 (acetyl K14) Antibody (BM4151) at a dilution of 1:200 and developed using HRP Conjugated Rabbit IgG Super Vision Assay Kit (Catalog # SV0002) with DAB (Catalog # AR1027) as the chromogen.

IHC analysis of Histone H3 (acetyl K14) using anti-Histone H3 (acetyl K14) antibody (BM4151) .
Histone H3 (acetyl K14) was detected in a paraffin-embedded section of human bladder cancer tissue. The tissue section was incubated with rabbit anti-Histone H3 (acetyl K14) Antibody (BM4151) at a dilution of 1:200 and developed using HRP Conjugated Rabbit IgG Super Vision Assay Kit (Catalog # SV0002) with DAB (Catalog # AR1027) as the chromogen.

IHC analysis of Histone H3 (acetyl K14) using anti-Histone H3 (acetyl K14) antibody (BM4151) .
Histone H3 (acetyl K14) was detected in a paraffin-embedded section of human lung cancer tissue. The tissue section was incubated with rabbit anti-Histone H3 (acetyl K14) Antibody (BM4151) at a dilution of 1:200 and developed using HRP Conjugated Rabbit IgG Super Vision Assay Kit (Catalog # SV0002) with DAB (Catalog # AR1027) as the chromogen.

IHC analysis of Histone H3 (acetyl K14) using anti-Histone H3 (acetyl K14) antibody (BM4151) .
Histone H3 (acetyl K14) was detected in a paraffin-embedded section of mouse brain tissue. The tissue section was incubated with rabbit anti-Histone H3 (acetyl K14) Antibody (BM4151) at a dilution of 1:200 and developed using HRP Conjugated Rabbit IgG Super Vision Assay Kit (Catalog # SV0002) with DAB (Catalog # AR1027) as the chromogen.

IHC analysis of Histone H3 (acetyl K14) using anti-Histone H3 (acetyl K14) antibody (BM4151) .
Histone H3 (acetyl K14) was detected in a paraffin-embedded section of rat brain tissue. The tissue section was incubated with rabbit anti-Histone H3 (acetyl K14) Antibody (BM4151) at a dilution of 1:200 and developed using HRP Conjugated Rabbit IgG Super Vision Assay Kit (Catalog # SV0002) with DAB (Catalog # AR1027) as the chromogen.

Western blot analysis of anti-Histone H3 (acetyl K14) antibody (BM4151). The sample well of each lane was loaded with 30 ug of sample under reducing conditions.
Lane 1: human 293T whole cell lysates,
Lane 2: human U2OS whole cell lysates,
Lane 3: human A549 whole cell lysates,
Lane 4: human HepG2 whole cell lysates,
Lane 5: rat heart tissue lysates,
Lane 6: mouse brain tissue lysates,
Lane 7: mouse heart tissue lysates.
After electrophoresis, proteins were transferred to a membrane. Then the membrane was incubated with rabbit anti-Histone H3 (acetyl K14) antigen affinity purified monoclonal antibody (BM4151) at a dilution of 1:1000 and probed with a goat anti-rabbit IgG-HRP secondary antibody (Catalog # BA1054). The signal is developed using ECL Plus Western Blotting Substrate (Catalog # AR1197). A specific band was detected for Histone H3 (acetyl K14) at approximately 17 kDa. The expected band size for Histone H3 (acetyl K14) is at 15 kDa.

IHC analysis of Histone H3 (acetyl K14) using anti-Histone H3 (acetyl K14) antibody (BM4151) .
Histone H3 (acetyl K14) was detected in a paraffin-embedded section of human placenta tissue. The tissue section was incubated with rabbit anti-Histone H3 (acetyl K14) Antibody (BM4151) at a dilution of 1:200 and developed using HRP Conjugated Rabbit IgG Super Vision Assay Kit (Catalog # SV0002) with DAB (Catalog # AR1027) as the chromogen.

IHC analysis of Histone H3 (acetyl K14) using anti-Histone H3 (acetyl K14) antibody (BM4151) .
Histone H3 (acetyl K14) was detected in a paraffin-embedded section of human liver cancer tissue. The tissue section was incubated with rabbit anti-Histone H3 (acetyl K14) Antibody (BM4151) at a dilution of 1:200 and developed using HRP Conjugated Rabbit IgG Super Vision Assay Kit (Catalog # SV0002) with DAB (Catalog # AR1027) as the chromogen.

IHC analysis of Histone H3 (acetyl K14) using anti-Histone H3 (acetyl K14) antibody (BM4151) .
Histone H3 (acetyl K14) was detected in a paraffin-embedded section of human rectal cancer tissue. The tissue section was incubated with rabbit anti-Histone H3 (acetyl K14) Antibody (BM4151) at a dilution of 1:200 and developed using HRP Conjugated Rabbit IgG Super Vision Assay Kit (Catalog # SV0002) with DAB (Catalog # AR1027) as the chromogen.

IHC analysis of Histone H3 (acetyl K14) using anti-Histone H3 (acetyl K14) antibody (BM4151) .
Histone H3 (acetyl K14) was detected in a paraffin-embedded section of human lymphoma tissue. The tissue section was incubated with rabbit anti-Histone H3 (acetyl K14) Antibody (BM4151) at a dilution of 1:200 and developed using HRP Conjugated Rabbit IgG Super Vision Assay Kit (Catalog # SV0002) with DAB (Catalog # AR1027) as the chromogen.

IHC analysis of Histone H3 (acetyl K14) using anti-Histone H3 (acetyl K14) antibody (BM4151) .
Histone H3 (acetyl K14) was detected in a paraffin-embedded section of human tonsil tissue. The tissue section was incubated with rabbit anti-Histone H3 (acetyl K14) Antibody (BM4151) at a dilution of 1:200 and developed using HRP Conjugated Rabbit IgG Super Vision Assay Kit (Catalog # SV0002) with DAB (Catalog # AR1027) as the chromogen.

IHC analysis of Histone H3 (acetyl K14) using anti-Histone H3 (acetyl K14) antibody (BM4151) .
Histone H3 (acetyl K14) was detected in a paraffin-embedded section of human clear cell renal cell carcinoma tissue. The tissue section was incubated with rabbit anti-Histone H3 (acetyl K14) Antibody (BM4151) at a dilution of 1:200 and developed using HRP Conjugated Rabbit IgG Super Vision Assay Kit (Catalog # SV0002) with DAB (Catalog # AR1027) as the chromogen.

IHC analysis of Histone H3 (acetyl K14) using anti-Histone H3 (acetyl K14) antibody (BM4151) .
Histone H3 (acetyl K14) was detected in a paraffin-embedded section of human glioma tissue. The tissue section was incubated with rabbit anti-Histone H3 (acetyl K14) Antibody (BM4151) at a dilution of 1:200 and developed using HRP Conjugated Rabbit IgG Super Vision Assay Kit (Catalog # SV0002) with DAB (Catalog # AR1027) as the chromogen.

IHC analysis of Histone H3 (acetyl K14) using anti-Histone H3 (acetyl K14) antibody (BM4151) .
Histone H3 (acetyl K14) was detected in a paraffin-embedded section of human ovarian cancer tissue. The tissue section was incubated with rabbit anti-Histone H3 (acetyl K14) Antibody (BM4151) at a dilution of 1:200 and developed using HRP Conjugated Rabbit IgG Super Vision Assay Kit (Catalog # SV0002) with DAB (Catalog # AR1027) as the chromogen.

IHC analysis of Histone H3 (acetyl K14) using anti-Histone H3 (acetyl K14) antibody (BM4151) .
Histone H3 (acetyl K14) was detected in a paraffin-embedded section of human bladder cancer tissue. The tissue section was incubated with rabbit anti-Histone H3 (acetyl K14) Antibody (BM4151) at a dilution of 1:200 and developed using HRP Conjugated Rabbit IgG Super Vision Assay Kit (Catalog # SV0002) with DAB (Catalog # AR1027) as the chromogen.

IHC analysis of Histone H3 (acetyl K14) using anti-Histone H3 (acetyl K14) antibody (BM4151) .
Histone H3 (acetyl K14) was detected in a paraffin-embedded section of human lung cancer tissue. The tissue section was incubated with rabbit anti-Histone H3 (acetyl K14) Antibody (BM4151) at a dilution of 1:200 and developed using HRP Conjugated Rabbit IgG Super Vision Assay Kit (Catalog # SV0002) with DAB (Catalog # AR1027) as the chromogen.

IHC analysis of Histone H3 (acetyl K14) using anti-Histone H3 (acetyl K14) antibody (BM4151) .
Histone H3 (acetyl K14) was detected in a paraffin-embedded section of mouse brain tissue. The tissue section was incubated with rabbit anti-Histone H3 (acetyl K14) Antibody (BM4151) at a dilution of 1:200 and developed using HRP Conjugated Rabbit IgG Super Vision Assay Kit (Catalog # SV0002) with DAB (Catalog # AR1027) as the chromogen.

IHC analysis of Histone H3 (acetyl K14) using anti-Histone H3 (acetyl K14) antibody (BM4151) .
Histone H3 (acetyl K14) was detected in a paraffin-embedded section of rat brain tissue. The tissue section was incubated with rabbit anti-Histone H3 (acetyl K14) Antibody (BM4151) at a dilution of 1:200 and developed using HRP Conjugated Rabbit IgG Super Vision Assay Kit (Catalog # SV0002) with DAB (Catalog # AR1027) as the chromogen.
















