| Western blot (WB): | 1:500-2000 |
| Immunohistochemistry (IHC): | 1:50-400 |
| Immunocytochemistry/Immunofluorescence (ICC/IF): | 1:50-400 |
| Flow Cytometry (Fixed): | 1:50-200 |
| Enzyme linked immunosorbent assay (ELISA): | 1:100-1000 |
| (Boiling the paraffin sections in 10mM citrate buffer,pH6.0,or PH8.0 EDTA repair liquid for 20 mins is required for the staining of formalin/paraffin sections.) Optimal working dilutions must be determined by end user. | |

Western blot analysis of Histone H3 using anti-Histone H3 antibody (A12477-2). The sample well of each lane was loaded with 30 ug of sample under reducing conditions.
Lane 1: human 293T whole cell lysates,
Lane 2: human 22RV1 whole cell lysates,
Lane 3: human Caco-2 whole cell lysates,
Lane 4: human CCRF-CEM whole cell lysates,
Lane 5: human Hela whole cell lysates,
Lane 6: human HepG2 whole cell lysates,
Lane 7: human THP-1 whole cell lysates,
Lane 8: human U2OS whole cell lysates.
After electrophoresis, proteins were transferred to a membrane. Then the membrane was incubated with rabbit anti-Histone H3 antigen affinity purified polyclonal antibody (A12477-2) at a dilution of 1:1000 and probed with a goat anti-rabbit IgG-HRP secondary antibody (Catalog # BA1054). The signal is developed using ECL Plus Western Blotting Substrate (Catalog # AR1197). A specific band was detected for Histone H3 at approximately 17 kDa. The expected band size for Histone H3 is at 15 kDa.

Western blot analysis of Histone H3 using anti-Histone H3 antibody (A12477-2). The sample well of each lane was loaded with 30 ug of sample under reducing conditions.
Lane 1: rat brain tissue lysates,
Lane 2: rat liver tissue lysates,
Lane 3: rat PC-12 whole cell lysates,
Lane 4: rat C6 whole cell lysates,
Lane 5: mouse brain tissue lysates,
Lane 6: mouse liver tissue lysates,
Lane 7: mouse Hepa1-6 whole cell lysates,
Lane 8: mouse RAW264.7 whole cell lysates.
After electrophoresis, proteins were transferred to a membrane. Then the membrane was incubated with rabbit anti-Histone H3 antigen affinity purified polyclonal antibody (A12477-2) at a dilution of 1:1000 and probed with a goat anti-rabbit IgG-HRP secondary antibody (Catalog # BA1054). The signal is developed using ECL Plus Western Blotting Substrate (Catalog # AR1197). A specific band was detected for Histone H3 at approximately 17 kDa. The expected band size for Histone H3 is at 15 kDa.

IHC analysis of Histone H3 using anti-Histone H3 antibody (A12477-2).
Histone H3 was detected in a paraffin-embedded section of human colon adenocarcinoma tissue. The tissue section was incubated with rabbit anti-Histone H3 Antibody (A12477-2) at a dilution of 1:200 and developed using HRP Conjugated Rabbit IgG Super Vision Assay Kit (Catalog # SV0002) with DAB (Catalog # AR1027) as the chromogen.

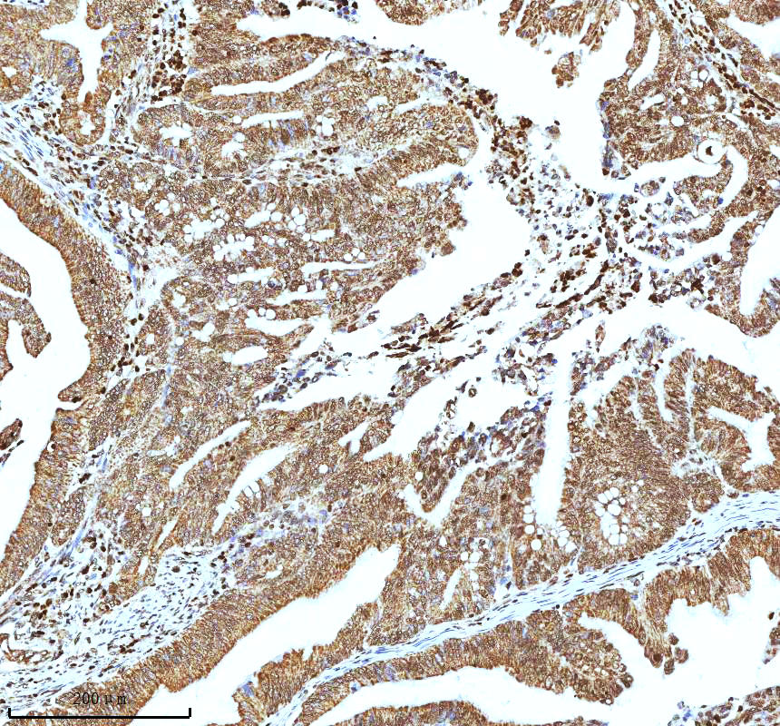
IHC analysis of Histone H3 using anti-Histone H3 antibody (A12477-2).
Histone H3 was detected in a paraffin-embedded section of human colon human colon adenocarcinoma tissue. The tissue section was incubated with rabbit anti-Histone H3 Antibody (A12477-2) at a dilution of 1:200 and developed using HRP Conjugated Rabbit IgG Super Vision Assay Kit (Catalog # SV0002) with DAB (Catalog # AR1027) as the chromogen.

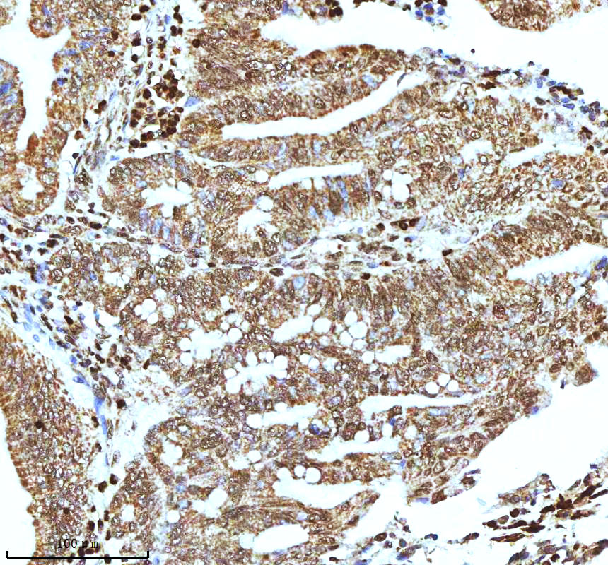
IHC analysis of Histone H3 using anti-Histone H3 antibody (A12477-2).
Histone H3 was detected in a paraffin-embedded section of human esophageal squamous carcinoma tissue. The tissue section was incubated with rabbit anti-Histone H3 Antibody (A12477-2) at a dilution of 1:200 and developed using HRP Conjugated Rabbit IgG Super Vision Assay Kit (Catalog # SV0002) with DAB (Catalog # AR1027) as the chromogen.

IHC analysis of Histone H3 using anti-Histone H3 antibody (A12477-2).
Histone H3 was detected in a paraffin-embedded section of human esophageal squamous carcinoma tissue. The tissue section was incubated with rabbit anti-Histone H3 Antibody (A12477-2) at a dilution of 1:200 and developed using HRP Conjugated Rabbit IgG Super Vision Assay Kit (Catalog # SV0002) with DAB (Catalog # AR1027) as the chromogen.

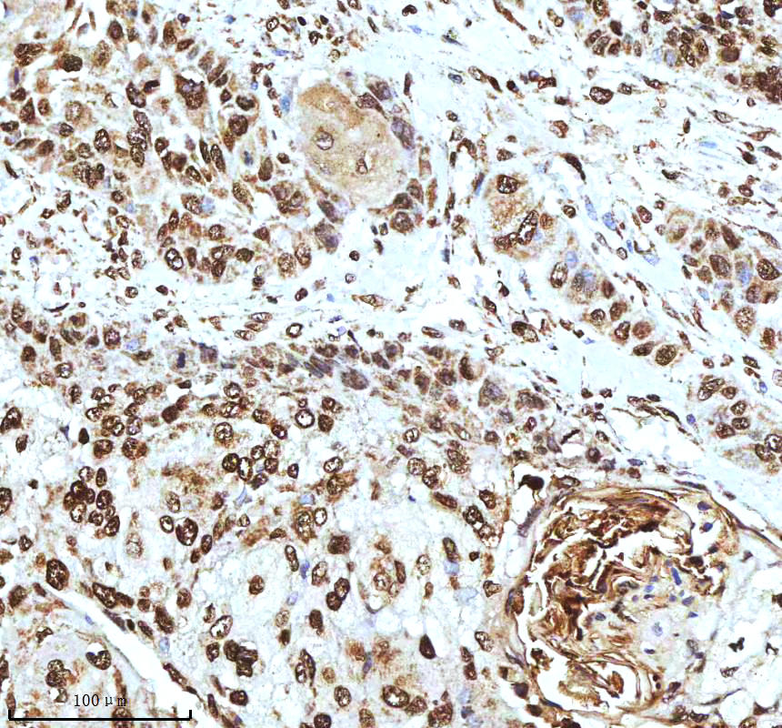
IHC analysis of Histone H3 using anti-Histone H3 antibody (A12477-2).
Histone H3 was detected in a paraffin-embedded section of human lung cancer tissue. The tissue section was incubated with rabbit anti-Histone H3 Antibody (A12477-2) at a dilution of 1:200 and developed using HRP Conjugated Rabbit IgG Super Vision Assay Kit (Catalog # SV0002) with DAB (Catalog # AR1027) as the chromogen.

IHC analysis of Histone H3 using anti-Histone H3 antibody (A12477-2).
Histone H3 was detected in a paraffin-embedded section of human lung cancer tissue. The tissue section was incubated with rabbit anti-Histone H3 Antibody (A12477-2) at a dilution of 1:200 and developed using HRP Conjugated Rabbit IgG Super Vision Assay Kit (Catalog # SV0002) with DAB (Catalog # AR1027) as the chromogen.

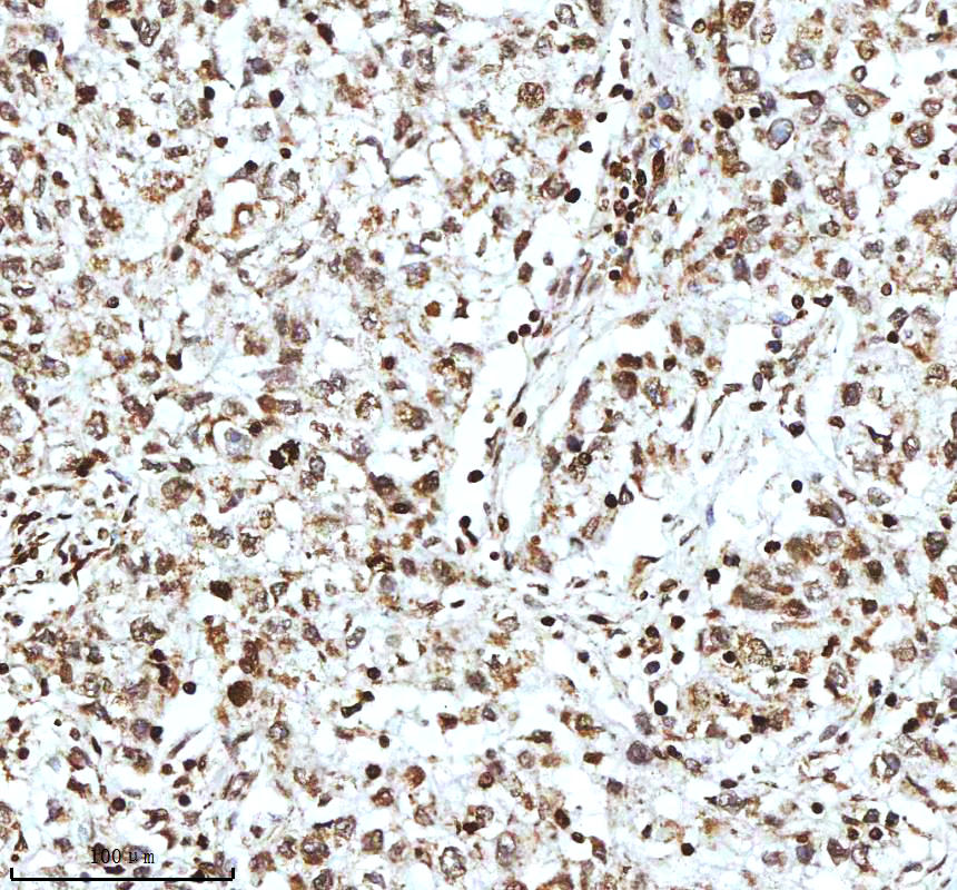
IHC analysis of Histone H3 using anti-Histone H3 antibody (A12477-2).
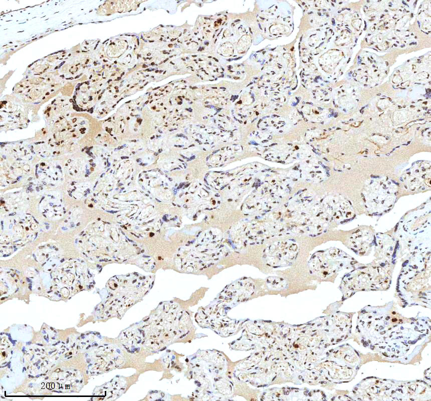
Histone H3 was detected in a paraffin-embedded section of human placenta tissue. The tissue section was incubated with rabbit anti-Histone H3 Antibody (A12477-2) at a dilution of 1:200 and developed using HRP Conjugated Rabbit IgG Super Vision Assay Kit (Catalog # SV0002) with DAB (Catalog # AR1027) as the chromogen.

IHC analysis of Histone H3 using anti-Histone H3 antibody (A12477-2).
Histone H3 was detected in a paraffin-embedded section of human placenta tissue. The tissue section was incubated with rabbit anti-Histone H3 Antibody (A12477-2) at a dilution of 1:200 and developed using HRP Conjugated Rabbit IgG Super Vision Assay Kit (Catalog # SV0002) with DAB (Catalog # AR1027) as the chromogen.

IHC analysis of Histone H3 using anti-Histone H3 antibody (A12477-2).
Histone H3 was detected in a paraffin-embedded section of human spleen tissue. The tissue section was incubated with rabbit anti-Histone H3 Antibody (A12477-2) at a dilution of 1:200 and developed using HRP Conjugated Rabbit IgG Super Vision Assay Kit (Catalog # SV0002) with DAB (Catalog # AR1027) as the chromogen.

IHC analysis of Histone H3 using anti-Histone H3 antibody (A12477-2).
Histone H3 was detected in a paraffin-embedded section of human spleen tissue. The tissue section was incubated with rabbit anti-Histone H3 Antibody (A12477-2) at a dilution of 1:200 and developed using HRP Conjugated Rabbit IgG Super Vision Assay Kit (Catalog # SV0002) with DAB (Catalog # AR1027) as the chromogen.

IHC analysis of Histone H3 using anti-Histone H3 antibody (A12477-2).
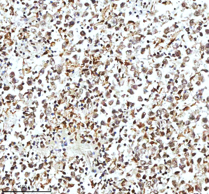
Histone H3 was detected in a paraffin-embedded section of human testicular seminoma tissue. The tissue section was incubated with rabbit anti-Histone H3 Antibody (A12477-2) at a dilution of 1:200 and developed using HRP Conjugated Rabbit IgG Super Vision Assay Kit (Catalog # SV0002) with DAB (Catalog # AR1027) as the chromogen.

IHC analysis of Histone H3 using anti-Histone H3 antibody (A12477-2).
Histone H3 was detected in a paraffin-embedded section of human testicular seminoma tissue. The tissue section was incubated with rabbit anti-Histone H3 Antibody (A12477-2) at a dilution of 1:200 and developed using HRP Conjugated Rabbit IgG Super Vision Assay Kit (Catalog # SV0002) with DAB (Catalog # AR1027) as the chromogen.

IHC analysis of Histone H3 using anti-Histone H3 antibody (A12477-2).
Histone H3 was detected in a paraffin-embedded section of mouse brain tissue. The tissue section was incubated with rabbit anti-Histone H3 Antibody (A12477-2) at a dilution of 1:200 and developed using HRP Conjugated Rabbit IgG Super Vision Assay Kit (Catalog # SV0002) with DAB (Catalog # AR1027) as the chromogen.

IHC analysis of Histone H3 using anti-Histone H3 antibody (A12477-2).
Histone H3 was detected in a paraffin-embedded section of mouse brain tissue. The tissue section was incubated with rabbit anti-Histone H3 Antibody (A12477-2) at a dilution of 1:200 and developed using HRP Conjugated Rabbit IgG Super Vision Assay Kit (Catalog # SV0002) with DAB (Catalog # AR1027) as the chromogen.

IHC analysis of Histone H3 using anti-Histone H3 antibody (A12477-2).
Histone H3 was detected in a paraffin-embedded section of mouse brain tissue. The tissue section was incubated with rabbit anti-Histone H3 Antibody (A12477-2) at a dilution of 1:200 and developed using HRP Conjugated Rabbit IgG Super Vision Assay Kit (Catalog # SV0002) with DAB (Catalog # AR1027) as the chromogen.

IHC analysis of Histone H3 using anti-Histone H3 antibody (A12477-2).
Histone H3 was detected in a paraffin-embedded section of mouse brain tissue. The tissue section was incubated with rabbit anti-Histone H3 Antibody (A12477-2) at a dilution of 1:200 and developed using HRP Conjugated Rabbit IgG Super Vision Assay Kit (Catalog # SV0002) with DAB (Catalog # AR1027) as the chromogen.

IHC analysis of Histone H3 using anti-Histone H3 antibody (A12477-2).
Histone H3 was detected in a paraffin-embedded section of rat brain tissue. The tissue section was incubated with rabbit anti-Histone H3 Antibody (A12477-2) at a dilution of 1:200 and developed using HRP Conjugated Rabbit IgG Super Vision Assay Kit (Catalog # SV0002) with DAB (Catalog # AR1027) as the chromogen.

IHC analysis of Histone H3 using anti-Histone H3 antibody (A12477-2).
Histone H3 was detected in a paraffin-embedded section of rat brain tissue. The tissue section was incubated with rabbit anti-Histone H3 Antibody (A12477-2) at a dilution of 1:200 and developed using HRP Conjugated Rabbit IgG Super Vision Assay Kit (Catalog # SV0002) with DAB (Catalog # AR1027) as the chromogen.

IHC analysis of Histone H3 using anti-Histone H3 antibody (A12477-2).
Histone H3 was detected in a paraffin-embedded section of rat brain tissue. The tissue section was incubated with rabbit anti-Histone H3 Antibody (A12477-2) at a dilution of 1:200 and developed using HRP Conjugated Rabbit IgG Super Vision Assay Kit (Catalog # SV0002) with DAB (Catalog # AR1027) as the chromogen.

IHC analysis of Histone H3 using anti-Histone H3 antibody (A12477-2).
Histone H3 was detected in a paraffin-embedded section of rat brain tissue. The tissue section was incubated with rabbit anti-Histone H3 Antibody (A12477-2) at a dilution of 1:200 and developed using HRP Conjugated Rabbit IgG Super Vision Assay Kit (Catalog # SV0002) with DAB (Catalog # AR1027) as the chromogen.

ICC/IF analysis of Histone H3 using anti-Histone H3 antibody (A12477-2) and anti-Beta Tubulin antibody (M01857-3).
Histone H3 was detected in an immunocytochemical section of U2OS cells. The section was incubated with rabbit anti-Histone H3 Antibody (A12477-2) at a dilution of 1:100. Fluoro488-conjugated Anti-rabbit IgG Secondary Antibody (green)(Catalog#BA1127) and Cy3-conjugated Anti-mouse IgG Secondary Antibody (red)(Catalog#BA1031) were used as secondary antibody.

Flow Cytometry analysis of C6 cells using anti-Histone H3 antibody (A12477-2).
Overlay histogram showing C6 cells stained with A12477-2 (Blue line). To facilitate intracellular staining, cells were fixed with 4% paraformaldehyde and permeabilized with permeabilization buffer. The cells were blocked with 10% normal goat serum. And then incubated with rabbit anti-Histone H3 Antibody (A12477-2) at 1:100 dilution for 30 min at 20°C. Fluoro488 conjugated goat anti-rabbit IgG (BA1127) was used as secondary antibody at 1:100 dilution for 30 minutes at 20°C. Isotype control antibody (Green line) was rabbit IgG at 1:100 dilution used under the same conditions. Unlabelled sample without incubation with primary antibody and secondary antibody (Red line) was used as a blank control.

Flow Cytometry analysis of RAW264.7 cells using anti-Histone H3 antibody (A12477-2).
Overlay histogram showing RAW264.7 cells stained with A12477-2 (Blue line). To facilitate intracellular staining, cells were fixed with 4% paraformaldehyde and permeabilized with permeabilization buffer. The cells were blocked with 10% normal goat serum. And then incubated with rabbit anti-Histone H3 Antibody (A12477-2) at 1:100 dilution for 30 min at 20°C. Fluoro488 conjugated goat anti-rabbit IgG (BA1127) was used as secondary antibody at 1:100 dilution for 30 minutes at 20°C. Isotype control antibody (Green line) was rabbit IgG at 1:100 dilution used under the same conditions. Unlabelled sample without incubation with primary antibody and secondary antibody (Red line) was used as a blank control.

Western blot analysis of Histone H3 using anti-Histone H3 antibody (A12477-2). The sample well of each lane was loaded with 30 ug of sample under reducing conditions.
Lane 1: human 293T whole cell lysates,
Lane 2: human 22RV1 whole cell lysates,
Lane 3: human Caco-2 whole cell lysates,
Lane 4: human CCRF-CEM whole cell lysates,
Lane 5: human Hela whole cell lysates,
Lane 6: human HepG2 whole cell lysates,
Lane 7: human THP-1 whole cell lysates,
Lane 8: human U2OS whole cell lysates.
After electrophoresis, proteins were transferred to a membrane. Then the membrane was incubated with rabbit anti-Histone H3 antigen affinity purified polyclonal antibody (A12477-2) at a dilution of 1:1000 and probed with a goat anti-rabbit IgG-HRP secondary antibody (Catalog # BA1054). The signal is developed using ECL Plus Western Blotting Substrate (Catalog # AR1197). A specific band was detected for Histone H3 at approximately 17 kDa. The expected band size for Histone H3 is at 15 kDa.

Western blot analysis of Histone H3 using anti-Histone H3 antibody (A12477-2). The sample well of each lane was loaded with 30 ug of sample under reducing conditions.
Lane 1: rat brain tissue lysates,
Lane 2: rat liver tissue lysates,
Lane 3: rat PC-12 whole cell lysates,
Lane 4: rat C6 whole cell lysates,
Lane 5: mouse brain tissue lysates,
Lane 6: mouse liver tissue lysates,
Lane 7: mouse Hepa1-6 whole cell lysates,
Lane 8: mouse RAW264.7 whole cell lysates.
After electrophoresis, proteins were transferred to a membrane. Then the membrane was incubated with rabbit anti-Histone H3 antigen affinity purified polyclonal antibody (A12477-2) at a dilution of 1:1000 and probed with a goat anti-rabbit IgG-HRP secondary antibody (Catalog # BA1054). The signal is developed using ECL Plus Western Blotting Substrate (Catalog # AR1197). A specific band was detected for Histone H3 at approximately 17 kDa. The expected band size for Histone H3 is at 15 kDa.

IHC analysis of Histone H3 using anti-Histone H3 antibody (A12477-2).
Histone H3 was detected in a paraffin-embedded section of human colon adenocarcinoma tissue. The tissue section was incubated with rabbit anti-Histone H3 Antibody (A12477-2) at a dilution of 1:200 and developed using HRP Conjugated Rabbit IgG Super Vision Assay Kit (Catalog # SV0002) with DAB (Catalog # AR1027) as the chromogen.

IHC analysis of Histone H3 using anti-Histone H3 antibody (A12477-2).
Histone H3 was detected in a paraffin-embedded section of human colon human colon adenocarcinoma tissue. The tissue section was incubated with rabbit anti-Histone H3 Antibody (A12477-2) at a dilution of 1:200 and developed using HRP Conjugated Rabbit IgG Super Vision Assay Kit (Catalog # SV0002) with DAB (Catalog # AR1027) as the chromogen.

IHC analysis of Histone H3 using anti-Histone H3 antibody (A12477-2).
Histone H3 was detected in a paraffin-embedded section of human esophageal squamous carcinoma tissue. The tissue section was incubated with rabbit anti-Histone H3 Antibody (A12477-2) at a dilution of 1:200 and developed using HRP Conjugated Rabbit IgG Super Vision Assay Kit (Catalog # SV0002) with DAB (Catalog # AR1027) as the chromogen.

IHC analysis of Histone H3 using anti-Histone H3 antibody (A12477-2).
Histone H3 was detected in a paraffin-embedded section of human esophageal squamous carcinoma tissue. The tissue section was incubated with rabbit anti-Histone H3 Antibody (A12477-2) at a dilution of 1:200 and developed using HRP Conjugated Rabbit IgG Super Vision Assay Kit (Catalog # SV0002) with DAB (Catalog # AR1027) as the chromogen.

IHC analysis of Histone H3 using anti-Histone H3 antibody (A12477-2).
Histone H3 was detected in a paraffin-embedded section of human lung cancer tissue. The tissue section was incubated with rabbit anti-Histone H3 Antibody (A12477-2) at a dilution of 1:200 and developed using HRP Conjugated Rabbit IgG Super Vision Assay Kit (Catalog # SV0002) with DAB (Catalog # AR1027) as the chromogen.

IHC analysis of Histone H3 using anti-Histone H3 antibody (A12477-2).
Histone H3 was detected in a paraffin-embedded section of human lung cancer tissue. The tissue section was incubated with rabbit anti-Histone H3 Antibody (A12477-2) at a dilution of 1:200 and developed using HRP Conjugated Rabbit IgG Super Vision Assay Kit (Catalog # SV0002) with DAB (Catalog # AR1027) as the chromogen.

IHC analysis of Histone H3 using anti-Histone H3 antibody (A12477-2).
Histone H3 was detected in a paraffin-embedded section of human placenta tissue. The tissue section was incubated with rabbit anti-Histone H3 Antibody (A12477-2) at a dilution of 1:200 and developed using HRP Conjugated Rabbit IgG Super Vision Assay Kit (Catalog # SV0002) with DAB (Catalog # AR1027) as the chromogen.

IHC analysis of Histone H3 using anti-Histone H3 antibody (A12477-2).
Histone H3 was detected in a paraffin-embedded section of human placenta tissue. The tissue section was incubated with rabbit anti-Histone H3 Antibody (A12477-2) at a dilution of 1:200 and developed using HRP Conjugated Rabbit IgG Super Vision Assay Kit (Catalog # SV0002) with DAB (Catalog # AR1027) as the chromogen.

IHC analysis of Histone H3 using anti-Histone H3 antibody (A12477-2).
Histone H3 was detected in a paraffin-embedded section of human spleen tissue. The tissue section was incubated with rabbit anti-Histone H3 Antibody (A12477-2) at a dilution of 1:200 and developed using HRP Conjugated Rabbit IgG Super Vision Assay Kit (Catalog # SV0002) with DAB (Catalog # AR1027) as the chromogen.

IHC analysis of Histone H3 using anti-Histone H3 antibody (A12477-2).
Histone H3 was detected in a paraffin-embedded section of human spleen tissue. The tissue section was incubated with rabbit anti-Histone H3 Antibody (A12477-2) at a dilution of 1:200 and developed using HRP Conjugated Rabbit IgG Super Vision Assay Kit (Catalog # SV0002) with DAB (Catalog # AR1027) as the chromogen.

IHC analysis of Histone H3 using anti-Histone H3 antibody (A12477-2).
Histone H3 was detected in a paraffin-embedded section of human testicular seminoma tissue. The tissue section was incubated with rabbit anti-Histone H3 Antibody (A12477-2) at a dilution of 1:200 and developed using HRP Conjugated Rabbit IgG Super Vision Assay Kit (Catalog # SV0002) with DAB (Catalog # AR1027) as the chromogen.

IHC analysis of Histone H3 using anti-Histone H3 antibody (A12477-2).
Histone H3 was detected in a paraffin-embedded section of human testicular seminoma tissue. The tissue section was incubated with rabbit anti-Histone H3 Antibody (A12477-2) at a dilution of 1:200 and developed using HRP Conjugated Rabbit IgG Super Vision Assay Kit (Catalog # SV0002) with DAB (Catalog # AR1027) as the chromogen.

IHC analysis of Histone H3 using anti-Histone H3 antibody (A12477-2).
Histone H3 was detected in a paraffin-embedded section of mouse brain tissue. The tissue section was incubated with rabbit anti-Histone H3 Antibody (A12477-2) at a dilution of 1:200 and developed using HRP Conjugated Rabbit IgG Super Vision Assay Kit (Catalog # SV0002) with DAB (Catalog # AR1027) as the chromogen.

IHC analysis of Histone H3 using anti-Histone H3 antibody (A12477-2).
Histone H3 was detected in a paraffin-embedded section of mouse brain tissue. The tissue section was incubated with rabbit anti-Histone H3 Antibody (A12477-2) at a dilution of 1:200 and developed using HRP Conjugated Rabbit IgG Super Vision Assay Kit (Catalog # SV0002) with DAB (Catalog # AR1027) as the chromogen.

IHC analysis of Histone H3 using anti-Histone H3 antibody (A12477-2).
Histone H3 was detected in a paraffin-embedded section of mouse brain tissue. The tissue section was incubated with rabbit anti-Histone H3 Antibody (A12477-2) at a dilution of 1:200 and developed using HRP Conjugated Rabbit IgG Super Vision Assay Kit (Catalog # SV0002) with DAB (Catalog # AR1027) as the chromogen.

IHC analysis of Histone H3 using anti-Histone H3 antibody (A12477-2).
Histone H3 was detected in a paraffin-embedded section of mouse brain tissue. The tissue section was incubated with rabbit anti-Histone H3 Antibody (A12477-2) at a dilution of 1:200 and developed using HRP Conjugated Rabbit IgG Super Vision Assay Kit (Catalog # SV0002) with DAB (Catalog # AR1027) as the chromogen.

IHC analysis of Histone H3 using anti-Histone H3 antibody (A12477-2).
Histone H3 was detected in a paraffin-embedded section of rat brain tissue. The tissue section was incubated with rabbit anti-Histone H3 Antibody (A12477-2) at a dilution of 1:200 and developed using HRP Conjugated Rabbit IgG Super Vision Assay Kit (Catalog # SV0002) with DAB (Catalog # AR1027) as the chromogen.

IHC analysis of Histone H3 using anti-Histone H3 antibody (A12477-2).
Histone H3 was detected in a paraffin-embedded section of rat brain tissue. The tissue section was incubated with rabbit anti-Histone H3 Antibody (A12477-2) at a dilution of 1:200 and developed using HRP Conjugated Rabbit IgG Super Vision Assay Kit (Catalog # SV0002) with DAB (Catalog # AR1027) as the chromogen.

IHC analysis of Histone H3 using anti-Histone H3 antibody (A12477-2).
Histone H3 was detected in a paraffin-embedded section of rat brain tissue. The tissue section was incubated with rabbit anti-Histone H3 Antibody (A12477-2) at a dilution of 1:200 and developed using HRP Conjugated Rabbit IgG Super Vision Assay Kit (Catalog # SV0002) with DAB (Catalog # AR1027) as the chromogen.

IHC analysis of Histone H3 using anti-Histone H3 antibody (A12477-2).
Histone H3 was detected in a paraffin-embedded section of rat brain tissue. The tissue section was incubated with rabbit anti-Histone H3 Antibody (A12477-2) at a dilution of 1:200 and developed using HRP Conjugated Rabbit IgG Super Vision Assay Kit (Catalog # SV0002) with DAB (Catalog # AR1027) as the chromogen.

ICC/IF analysis of Histone H3 using anti-Histone H3 antibody (A12477-2) and anti-Beta Tubulin antibody (M01857-3).
Histone H3 was detected in an immunocytochemical section of U2OS cells. The section was incubated with rabbit anti-Histone H3 Antibody (A12477-2) at a dilution of 1:100. Fluoro488-conjugated Anti-rabbit IgG Secondary Antibody (green)(Catalog#BA1127) and Cy3-conjugated Anti-mouse IgG Secondary Antibody (red)(Catalog#BA1031) were used as secondary antibody.

Flow Cytometry analysis of C6 cells using anti-Histone H3 antibody (A12477-2).
Overlay histogram showing C6 cells stained with A12477-2 (Blue line). To facilitate intracellular staining, cells were fixed with 4% paraformaldehyde and permeabilized with permeabilization buffer. The cells were blocked with 10% normal goat serum. And then incubated with rabbit anti-Histone H3 Antibody (A12477-2) at 1:100 dilution for 30 min at 20°C. Fluoro488 conjugated goat anti-rabbit IgG (BA1127) was used as secondary antibody at 1:100 dilution for 30 minutes at 20°C. Isotype control antibody (Green line) was rabbit IgG at 1:100 dilution used under the same conditions. Unlabelled sample without incubation with primary antibody and secondary antibody (Red line) was used as a blank control.

Flow Cytometry analysis of RAW264.7 cells using anti-Histone H3 antibody (A12477-2).
Overlay histogram showing RAW264.7 cells stained with A12477-2 (Blue line). To facilitate intracellular staining, cells were fixed with 4% paraformaldehyde and permeabilized with permeabilization buffer. The cells were blocked with 10% normal goat serum. And then incubated with rabbit anti-Histone H3 Antibody (A12477-2) at 1:100 dilution for 30 min at 20°C. Fluoro488 conjugated goat anti-rabbit IgG (BA1127) was used as secondary antibody at 1:100 dilution for 30 minutes at 20°C. Isotype control antibody (Green line) was rabbit IgG at 1:100 dilution used under the same conditions. Unlabelled sample without incubation with primary antibody and secondary antibody (Red line) was used as a blank control.


























