| Western blot (WB): | 1:500-2000 |
| Immunohistochemistry (IHC): | 1:50-400 |
| Immunocytochemistry/Immunofluorescence (ICC/IF): | 1:50-400 |
| (Boiling the paraffin sections in 10mM citrate buffer,pH6.0,or PH8.0 EDTA repair liquid for 20 mins is required for the staining of formalin/paraffin sections.) Optimal working dilutions must be determined by end user. | |

Western blot analysis of P-Cadherin/CDH3 using anti-P-Cadherin/CDH3 antibody (BA0674). The sample well of each lane was loaded with 30 ug of sample under reducing conditions.
Lane 1: human Hacat whole cell lysates,
Lane 2: human A431 whole cell lysates.
After electrophoresis, proteins were transferred to a membrane. Then the membrane was incubated with rabbit anti-P-Cadherin/CDH3 antigen affinity purified polyclonal antibody (BA0674) at a dilution of 1:1000 and probed with a goat anti-rabbit IgG-HRP secondary antibody (Catalog # BA1054). The signal is developed using ECL Plus Western Blotting Substrate (Catalog # AR1197). A specific band was detected for P-Cadherin/CDH3 at approximately 120 kDa. The expected band size for P-Cadherin/CDH3 is at 91 kDa.

IHC analysis of P-Cadherin/CDH3 using anti-P-Cadherin/CDH3 antibody (BA0674).
P-Cadherin/CDH3 was detected in a paraffin-embedded section of human placenta tissue. Biotinylated goat anti-rabbit IgG was used as secondary antibody. The tissue section was incubated with rabbit anti-P-Cadherin/CDH3 Antibody (BA0674) at a dilution of 1:200 and developed using Strepavidin-Biotin-Complex (SABC) (Catalog # SA1022) with DAB (Catalog # AR1027) as the chromogen.

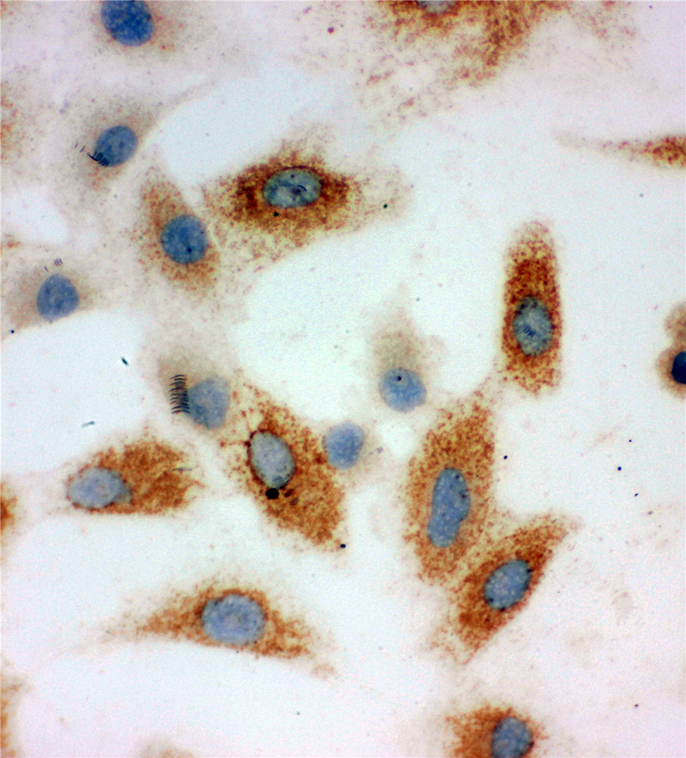
ICC analysis of P-Cadherin/CDH3 using anti- P-Cadherin/CDH3 antibody (BA0674).
P-Cadherin/CDH3 was detected in an immunocytochemical section of A549 cells. The section was incubated with rabbit anti-P-Cadherin/CDH3 Antibody (BA0674) at a dilution of 1:100. Biotinylated goat anti-rabbit IgG was used as secondary antibody. The section was developed using Strepavidin-Biotin-Complex (SABC)(Catalog # SA1022) with DAB (Catalog # AR1027) as the chromogen.

Western blot analysis of P-Cadherin/CDH3 using anti-P-Cadherin/CDH3 antibody (BA0674). The sample well of each lane was loaded with 30 ug of sample under reducing conditions.
Lane 1: human Hacat whole cell lysates,
Lane 2: human A431 whole cell lysates.
After electrophoresis, proteins were transferred to a membrane. Then the membrane was incubated with rabbit anti-P-Cadherin/CDH3 antigen affinity purified polyclonal antibody (BA0674) at a dilution of 1:1000 and probed with a goat anti-rabbit IgG-HRP secondary antibody (Catalog # BA1054). The signal is developed using ECL Plus Western Blotting Substrate (Catalog # AR1197). A specific band was detected for P-Cadherin/CDH3 at approximately 120 kDa. The expected band size for P-Cadherin/CDH3 is at 91 kDa.

IHC analysis of P-Cadherin/CDH3 using anti-P-Cadherin/CDH3 antibody (BA0674).
P-Cadherin/CDH3 was detected in a paraffin-embedded section of human placenta tissue. Biotinylated goat anti-rabbit IgG was used as secondary antibody. The tissue section was incubated with rabbit anti-P-Cadherin/CDH3 Antibody (BA0674) at a dilution of 1:200 and developed using Strepavidin-Biotin-Complex (SABC) (Catalog # SA1022) with DAB (Catalog # AR1027) as the chromogen.

ICC analysis of P-Cadherin/CDH3 using anti- P-Cadherin/CDH3 antibody (BA0674).
P-Cadherin/CDH3 was detected in an immunocytochemical section of A549 cells. The section was incubated with rabbit anti-P-Cadherin/CDH3 Antibody (BA0674) at a dilution of 1:100. Biotinylated goat anti-rabbit IgG was used as secondary antibody. The section was developed using Strepavidin-Biotin-Complex (SABC)(Catalog # SA1022) with DAB (Catalog # AR1027) as the chromogen.


