欢迎访问博士德生物官网! 服务热线:027-67845390 |
您当前的位置: 首页 > 产品列表

筛选项

  • 检验物种

  • 应用范围

  • 宿主

  • 发货周期

  • 研究领域

  • 产品形态

共有 34 条产品信息

    • (3)

    Anti-Beta Actin/ACTB Antibody

    货号:BA2305

    描述:Rabbit Polyclonal Antibody

    检验物种: human, mouse, rat, monkey, zebrafish, chicken

    应用范围: WB

    货期:现货

    说明书 文献数量(328) 一键复制产品信息

    加入购物车
  • Anti-Beta Actin/ACTB Antibody

    筛选器: All WB

    • Western blot analysis of anti-Beta Actin/ACTB antibody (BA2305). The sample well of each lane was loaded with 30 ug of sample under reducing conditions.
      Lane 1: human Hela whole cell lysates,
      Lane 2: human K562 whole cell lysates,
      Lane 3: human MCF-7 whole cell lysates,
      Lane 4: human Jurkat whole cell lysates,
      Lane 5: rat brain tissue lysates,
      Lane 6: rat kidney tissue lysates,
      Lane 7: mouse brain tissue lysates,
      Lane 8: mouse kidney tissue lysates.
      After electrophoresis, proteins were transferred to a membrane. Then the membrane was incubated with rabbit anti-Beta Actin/ACTB antigen affinity purified polyclonal antibody (BA2305) and probed with a goat anti-rabbit IgG-HRP secondary antibody (Catalog # BA1054). The signal is developed using ECL Plus Western Blotting Substrate (Catalog # AR1197). A specific band was detected for Beta Actin/ACTB at approximately 42 kDa. The expected band size for Beta Actin/ACTB is at 42 kDa.

    • Western blot analysis of anti-Beta Actin/ACTB antibody (BA2305). The sample well of each lane was loaded with 30 ug of sample under reducing conditions.
      Lane 1: zebra fish tissue lysates,
      Lane 2: chicken heart tissue lysates,
      Lane 3: chicken liver tissue lysates,
      Lane 4: chicken brain tissue lysates,
      Lane 5: monkey heart tissue lysates,
      Lane 6: monkey lung tissue lysates,
      Lane 7: monkey kidney tissue lysates,
      Lane 8: monkey liver tissue lysates.
      After electrophoresis, proteins were transferred to a membrane. Then the membrane was incubated with rabbit anti-Beta Actin/ACTB antigen affinity purified polyclonal antibody (BA2305) and probed with a goat anti-rabbit IgG-HRP secondary antibody (Catalog # BA1054). The signal is developed using ECL Plus Western Blotting Substrate (Catalog # AR1197). A specific band was detected for Beta Actin/ACTB at approximately 42 kDa. The expected band size for Beta Actin/ACTB is at 42 kDa.

    • Western blot analysis of Beta Actin/ACTB using anti-Beta Actin/ACTB antibody (BA2305). The sample well of each lane was loaded with 30 ug of sample under reducing conditions.
      Lane 1: human Hela whole cell lysates,
      Lane 2: human THP-1 whole cell lysates,
      Lane 3: rat liver tissue lysates,
      Lane 4: mouse liver tissue lysates,
      Lane 5: human Hela whole cell lysates,
      Lane 6: human THP-1 whole cell lysates,
      Lane 7: rat liver tissue lysates,
      Lane 8: mouse liver tissue lysates.
      After electrophoresis, proteins were transferred to a membrane. Then the membrane was incubated with rabbit anti-Beta Actin/ACTB antigen affinity purified polyclonal antibody (BA2305) at a dilution of 1:50000 (Lane1-4) and 1:100000 (Lane5-8) and probed with a goat anti-rabbit IgG-HRP secondary antibody (Catalog # BA1054). The signal is developed using ECL Plus Western Blotting Substrate (Catalog # AR1197). A specific band was detected for Beta Actin/ACTB at approximately 42 kDa. The expected band size for Beta Actin/ACTB is at 42 kDa.

    亮暗模式切换
    X
    • (6)

    Anti-Beta Actin/ACTB Antibody

    货号:BM0627

    描述:Mouse Monoclonal Antibody

    检验物种: human, mouse, rat, chicken, monkey, pig, rabbit

    应用范围: WB, IHC

    货期:现货

    说明书 文献数量(1524) 一键复制产品信息

    加入购物车
  • Anti-Beta Actin/ACTB Antibody

    筛选器: All WB IHC

    • Western blot analysis of anti- β-Actin antibody (BM0627).The sample well of each lane was loaded with 50ug of sample under reducing conditions.Lane 1: Human HELA whole cell lysates,Lane 2: Human HepG2 whole cell lysates,Lane 3: Monkey kidney tissue lysates,Lane 4: Monkey liver tissue lysates,Lane 5: Rat brain tissue lysates,Lane 6: Rat PC-12 whole cell lysates,Lane 7: Mouse brain tissue lysates,Lane 8: Mouse ANA-1 whole cell lysates,Lane 9: Rabbit intestines tissue lysates,Lane 10: Rabbit intestines tissue lysates,Lane 11: Pig intestines tissue lysates.Use rabbit anti- β-Actin 1:5000, probed with a goat anti-mouse IgG-HRP secondary antibody. The signal is developed using an Enhanced Chemiluminescent detection (ECL) kit (Catalog # EK1002). A specific band was detected for β-Actin at approximately 42KD. The expected band size for β-Actin is at 42KD.

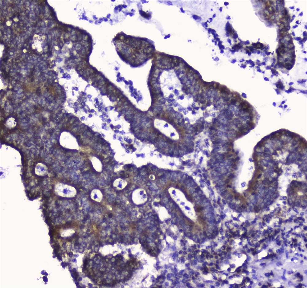
    • IHC analysis using anti- β-Actin antibody (BM0627).detected in paraffin-embedded section of Mouse Intestine tissue. Biotinylated goat anti-mouse IgG was used as secondary antibody. The tissue section was developed using Strepavidin-Biotin-Complex (SABC) (Catalog # SA1021) with DAB as the chromogen.

    • IHC analysis using anti- β-Actin antibody (BM0627).detected in paraffin-embedded section of Rat Intestine tissue. Biotinylated goat anti-mouse IgG was used as secondary antibody. The tissue section was developed using Strepavidin-Biotin-Complex (SABC) (Catalog # SA1021) with DAB as the chromogen.

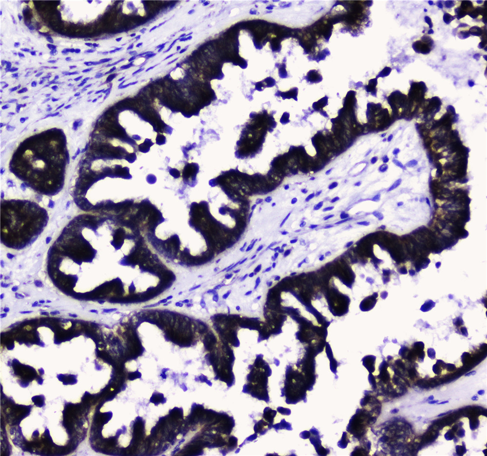
    • IHC analysis using anti- β-Actin antibody (BM0627).detected in paraffin-embedded section of Human Intestinal Cancer tissue. Biotinylated goat anti-mouse IgG was used as secondary antibody. The tissue section was developed using Strepavidin-Biotin-Complex (SABC) (Catalog # SA1021) with DAB as the chromogen.

    • IHC analysis using anti- β-Actin antibody (BM0627).detected in paraffin-embedded section of Human Lung Cancer tissue. Biotinylated goat anti-mouse IgG was used as secondary antibody. The tissue section was developed using Strepavidin-Biotin-Complex (SABC) (Catalog # SA1021) with DAB as the chromogen.

    • IHC analysis using anti- β-Actin antibody (BM0627).detected in paraffin-embedded section of Human Mammary Cancer tissue. Biotinylated goat anti-mouse IgG was used as secondary antibody. The tissue section was developed using Strepavidin-Biotin-Complex (SABC) (Catalog # SA1021) with DAB as the chromogen.

    亮暗模式切换
    X
    • (3)

    Anti-Beta Actin/ACTB Antibody (Clone#BF-1)

    货号:BM3873

    描述:Rabbit Monoclonal Antibody

    检验物种: human, mouse, rat, monkey, zebrafish

    应用范围: WB, IHC, ICC/IF

    货期:现货

    说明书 文献数量(221) 一键复制产品信息

    加入购物车
  • Anti-Beta Actin/ACTB Antibody (Clone#BF-1)

    筛选器: All WB IHC ICC/IF

    • Western blot analysis of anti-Beta Actin/ACTB antibody (BM3873). The sample well of each lane was loaded with 30 ug of sample under reducing conditions.
      Lane 1: human GES-1 whole cell lysates,
      Lane 2: human Hela whole cell lysates,
      Lane 3: human A431 whole cell lysates,
      Lane 4: human K562 whole cell lysates,
      Lane 5: rat C6 whole cell lysates,
      Lane 6: mouse PC-12 whole cell lysates,
      Lane 7: mouse Neuro-2a whole cell lysates.
      After electrophoresis, proteins were transferred to a membrane. Then the membrane was incubated with rabbit anti-Beta Actin/ACTB antigen affinity purified monoclonal antibody (BM3873) at a dilution of 1:1000 and probed with a goat anti-rabbit IgG-HRP secondary antibody (Catalog # BA1054). The signal is developed using ECL Plus Western Blotting Substrate (Catalog # AR1197). A specific band was detected for Beta Actin/ACTB at approximately 42 kDa. The expected band size for Beta Actin/ACTB is at 42 kDa.

    亮暗模式切换
    X
    • (6)

    Anti-GAPDH Antibody

    货号:A00227-1

    描述:Rabbit Polyclonal Antibody

    检验物种: human, mouse, rat, chicken, monkey, zebrafish

    应用范围: WB, IHC, ICC/IF, FCM

    货期:现货

    说明书 文献数量(124) 一键复制产品信息

    加入购物车
  • Anti-GAPDH Antibody

    筛选器: All WB IHC ICC/IF FCM

    • Western blot analysis of GAPDH using anti-GAPDH antibody (A00227-1). The sample well of each lane was loaded with 30 ug of sample under reducing conditions.
      Lane 1: Hela whole cell lysates,
      Lane 2: Caco-2 whole cell lysates,
      Lane 3: CCRF-CEM whole cell lysates,
      Lane 4: rat brain tissue lysates,
      Lane 5: rat liver tissue lysates,
      Lane 6: mouse brain tissue lysates,
      Lane 7: mouse liver tissue lysates.
      After electrophoresis, proteins were transferred to a membrane. Then the membrane was incubated with rabbit anti-GAPDH antigen affinity purified polyclonal antibody (A00227-1) at a dilution of 1:50000 and probed with a goat anti-rabbit IgG-HRP secondary antibody (Catalog # BA1054). The signal is developed using ECL Plus Western Blotting Substrate (Catalog # AR1197). A specific band was detected for GAPDH at approximately 36 kDa. The expected band size for GAPDH is at 36 kDa.

    • Western blot analysis of GAPDH using anti-GAPDH antibody (A00227-1). The sample well of each lane was loaded with 30 ug of sample under reducing conditions.
      Lane 1: human Hela whole cell lysates,
      Lane 2: human THP-1 whole cell lysates,
      Lane 3: rat liver tissue lysates,
      Lane 4: mouse liver tissue lysates,
      Lane 5: human Hela whole cell lysates,
      Lane 6: human THP-1 whole cell lysates,
      Lane 7: rat liver tissue lysates,
      Lane 8: mouse liver tissue lysates.
      After electrophoresis, proteins were transferred to a membrane. Then the membrane was incubated with rabbit anti-GAPDH antigen affinity purified polyclonal antibody (A00227-1) at a dilution of 1:50000 (Lane1-4) and 1:100000 (Lane5-8) and probed with a goat anti-rabbit IgG-HRP secondary antibody (Catalog # BA1054). The signal is developed using ECL Plus Western Blotting Substrate (Catalog # AR1197). A specific band was detected for GAPDH at approximately 36 kDa. The expected band size for GAPDH is at 36 kDa.

    • IHC analysis of GAPDH using anti-GAPDH antibody (A00227-1).
      GAPDH was detected in a paraffin-embedded section of human Laryngeal squamous cell carcinoma tissue. Biotinylated goat anti-rabbit IgG was used as secondary antibody. The tissue section was incubated with rabbit anti-GAPDH Antibody (A00227-1) at a dilution of 1:200 and developed using Strepavidin-Biotin-Complex (SABC) (Catalog # SA1022) with DAB (Catalog # AR1027) as the chromogen.

    • IHC analysis of GAPDH using anti-GAPDH antibody (A00227-1).
      GAPDH was detected in a paraffin-embedded section of human renal clear cell carcinoma tissue. Biotinylated goat anti-rabbit IgG was used as secondary antibody. The tissue section was incubated with rabbit anti-GAPDH Antibody (A00227-1) at a dilution of 1:200 and developed using Strepavidin-Biotin-Complex (SABC) (Catalog # SA1022) with DAB (Catalog # AR1027) as the chromogen.

    • ICC/IF analysis of GAPDH using anti-GAPDH antibody (A00227-1).
      GAPDH was detected in an immunocytochemical section of A549 cells. The section was incubated with rabbit anti-GAPDH Antibody (A00227-1) at a dilution of 1:100. Fluoro488 Conjugated Goat Anti-Rabbit IgG (Green) (Catalog # BA1127) was used as secondary antibody. The section was counterstained with DAPI (Catalog # AR1176) (Blue).

    • Flow Cytometry analysis of Hela cells using anti-GAPDH antibody (A00227-1).
      Overlay histogram showing Hela cells stained with A00227-1 (Blue line). To facilitate intracellular staining, cells were fixed with 4% paraformaldehyde and permeabilized with permeabilization buffer. The cells were blocked with 10% normal goat serum. And then incubated with rabbit anti-GAPDH Antibody (A00227-1) at 1:100 dilution for 30 min at 20°C. Fluoro488 conjugated goat anti-rabbit IgG (BA1127) was used as secondary antibody at 1:100 dilution for 30 minutes at 20°C. Isotype control antibody (Green line) was rabbit IgG at 1:100 dilution used under the same conditions. Unlabelled sample without incubation with primary antibody and secondary antibody (Red line) was used as a blank control.

    亮暗模式切换
    X
    • (3)

    Anti-GAPDH Antibody (Clone#5A12)

    货号:BM1623

    描述:Mouse Monoclonal Antibody

    检验物种: human, mouse, rat, monkey, zebrafish, chicken, rabbit, pig

    应用范围: WB, ICC/IF, IP

    货期:现货

    说明书 文献数量(498) 一键复制产品信息

    加入购物车
  • Anti-GAPDH Antibody (Clone#5A12)

    筛选器: All WB ICC/IF IP

    • Western blot analysis of anti-GAPDH antibody (BM1623). The sample well of each lane was loaded with 30 ug of sample under reducing conditions.
      Lane 1: human SW480 whole cell lysates,
      Lane 2: human MC38 whole cell lysates,
      Lane 3: human MDA-MB-231 whole cell lysates,
      Lane 4: mouse 4T1 whole cell lysates,
      Lane 5: human RD whole cell lysates,
      Lane 6: human T98G whole cell lysates,
      Lane 7: human U87MG whole cell lysates,
      Lane 8: monkey COS-7 whole cell lysates,
      After electrophoresis, proteins were transferred to a membrane. Then the membrane was incubated with mouse anti-GAPDH antigen affinity purified monoclonal antibody (BM1623) at a dilution of 1:10000 and probed with a goat anti-mouse IgG-HRP secondary antibody (Catalog # BA1050). The signal is developed using ECL Plus Western Blotting Substrate (Catalog # AR1197). A specific band was detected for GAPDH at approximately 36 kDa. The expected band size for GAPDH is at 36 kDa.

    亮暗模式切换
    X
    • (4)

    Anti-GAPDH Antibody (Clone#BG-7)

    货号:BM3874

    描述:Rabbit monoclonal antibody

    检验物种: human, mouse, rat, chicken, monkey

    应用范围: WB, IHC, ICC/IF

    货期:现货

    说明书 文献数量(70) 一键复制产品信息

    加入购物车
  • Anti-GAPDH Antibody (Clone#BG-7)

    筛选器: All WB IHC ICC/IF

    • Western blot analysis of anti-GAPDH antibody (BM3874). The sample well of each lane was loaded with 30 ug of sample under reducing conditions.
      Lane 1: human Hela whole cell lysates,
      Lane 2: human K562 whole cell lysates,
      Lane 3: human MCF-7 whole cell lysates,
      Lane 4: human A549 whole cell lysates,
      Lane 5: human PC-3 whole cell lysates,
      Lane 6: monkey COS-7 whole cell lysates.
      After electrophoresis, proteins were transferred to a membrane. Then the membrane was incubated with rabbit anti-GAPDH antigen affinity purified monoclonal antibody (BM3874) at a dilution of 1:5000 and probed with a goat anti-rabbit IgG-HRP secondary antibody (Catalog # BA1054). The signal is developed using ECL Plus Western Blotting Substrate (Catalog # AR1197). A specific band was detected for GAPDH at approximately 36 kDa. The expected band size for GAPDH is at 36 kDa.

    • Western blot analysis of anti-GAPDH antibody (BM3874). The sample well of each lane was loaded with 30 ug of sample under reducing conditions.
      Lane 1: rat liver tissue lysates,
      Lane 2: rat brain tissue lysates,
      Lane 3: rat RH-35 whole cell lysates,
      Lane 4: mouse liver tissue lysates,
      Lane 5: mouse brain tissue lysates,
      Lane 6: mouse NIH/3T3 whole cell lysates.
      After electrophoresis, proteins were transferred to a membrane. Then the membrane was incubated with rabbit anti-GAPDH antigen affinity purified monoclonal antibody (BM3874) at a dilution of 1:5000 and probed with a goat anti-rabbit IgG-HRP secondary antibody (Catalog # BA1054). The signal is developed using ECL Plus Western Blotting Substrate (Catalog # AR1197). A specific band was detected for GAPDH at approximately 36 kDa. The expected band size for GAPDH is at 36 kDa.

    • Immunohistochemical analysis of paraffin-embedded human bladder cancer, using GAPDH Antibody.

    亮暗模式切换
    X
    • (2)

    Anti-Alpha Tubulin/TUBA1B Antibody

    货号:BM1452

    描述:Mouse Monoclonal Antibody

    检验物种: human, mouse, rat, chicken

    应用范围: WB, IHC

    货期:现货

    说明书 文献数量(62) 一键复制产品信息

    加入购物车
  • Anti-Alpha Tubulin/TUBA1B Antibody

    筛选器: All WB IHC

    • Western blot analysis of anti- alpha Tubulin antibody (BM1452). The sample well of each lane was loaded with 50ug of sample under reducing conditions.
      Lane 1: SH-SY5Y whole cell lysates,
      Lane 2: Jurkat whole cell lysates,
      Lane 3: A549 whole cell lysates,
      Lane 4: rat brain tissue lysates,
      Lane 5: mouse brain tissue lysates,
      Lane 6: mouse thymus tissue lysates.
      Use mouse anti- alpha Tubulin 1:1000, probed with a goat anti-mouse IgG-HRP secondary antibody. The signal is developed using an Enhanced Chemiluminescent detection (ECL) kit (Catalog # EK1001). A specific band was detected for alpha Tubulin at approximately 55KD. The expected band size for alpha Tubulin is at 50KD.

    • IHC analysis using anti- alpha Tubulin antibody (BM1452). detected in paraffin-embedded section of Human Mammary Cancer tissue. Biotinylated goat anti-mouse IgG was used as secondary antibody. The tissue section was developed using Strepavidin-Biotin-Complex (SABC) (Catalog # SA1022) with DAB as the chromogen.

    亮暗模式切换
    X
    • (5)

    Anti-Alpha Tubulin/TUBA1B Antibody (Clone#CG-20)

    货号:BM3885

    描述:Rabbit Monoclonal Antibody

    检验物种: human, mouse, rat

    应用范围: WB, IHC, ICC/IF, IP, FCM

    货期:现货

    说明书 文献数量(3) 一键复制产品信息

    加入购物车
  • Anti-Alpha Tubulin/TUBA1B Antibody (Clone#CG-20)

    筛选器: All WB IHC ICC/IF IP FCM

    • Western blot analysis of anti-Alpha Tubulin/TUBA1B antibody (BM3885). The sample well of each lane was loaded with 30 ug of sample under reducing conditions.
      Lane 1: human Hela whole cell lysates,
      Lane 2: human A549 whole cell lysates,
      Lane 3: human K562 whole cell lysates,
      Lane 4: rat brain tissue lysates,
      Lane 5: rat liver tissue lysates,
      Lane 6: mouse brain tissue lysates,
      Lane 7: mouse liver tissue lysates.
      After electrophoresis, proteins were transferred to a membrane. Then the membrane was incubated with rabbit anti-Alpha Tubulin/TUBA1B antigen affinity purified monoclonal antibody (BM3885) at a dilution of 1:1000 and probed with a goat anti-rabbit IgG-HRP secondary antibody (Catalog # BA1054). The signal is developed using ECL Plus Western Blotting Substrate (Catalog # AR1197). A specific band was detected for Alpha Tubulin/TUBA1B at approximately 55 kDa. The expected band size for Alpha Tubulin/TUBA1B is at 50 kDa.

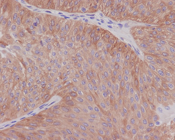
    • Immunohistochemical analysis of paraffin-embedded human bladder, using alpha Tubulin Antibody.

    亮暗模式切换
    X
    • (11)

    Anti-ATP1A1 Antibody

    货号:PB0504

    描述:Rabbit Polyclonal Antibody

    检验物种: human, mouse, rat

    应用范围: WB, IHC, IF

    货期:现货

    说明书 文献数量(4) 一键复制产品信息

    加入购物车
  • Anti-ATP1A1 Antibody

    筛选器: All WB IHC IF

    • Western blot analysis of ATP1A1 using anti-ATP1A1 antibody (PB0504). The sample well of each lane was loaded with 30 ug of sample under reducing conditions.
      Lane 1: rat brain tissue (37℃) lysates,
      Lane 2: rat brain tissue (100℃) lysates,
      Lane 3: mouse brain tissue (37℃) lysates,
      Lane 4: mouse brain tissue (100℃) lysates.
      After electrophoresis, proteins were transferred to a membrane. Then the membrane was incubated with rabbit anti-ATP1A1 antigen affinity purified polyclonal antibody (PB0504) at a dilution of 1:1000 and probed with a goat anti-rabbit IgG-HRP secondary antibody (Catalog # BA1054). The signal is developed using ECL Plus Western Blotting Substrate (Catalog # AR1197). A specific band was detected for ATP1A1 at approximately 100 kDa. The expected band size for ATP1A1 is at 113 kDa.

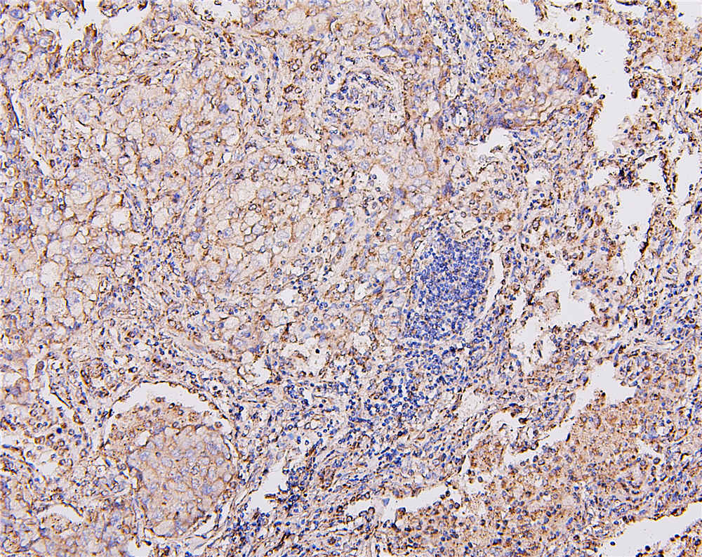
    • IHC analysis of ATP1A1 using anti-ATP1A1 antibody (PB0504) .
      ATP1A1 was detected in a paraffin-embedded section of human colon cancer tissue. The tissue section was incubated with rabbit anti-ATP1A1 Antibody (PB0504) at a dilution of 1:200 and developed using HRP Conjugated Rabbit IgG Super Vision Assay Kit (Catalog # SV0002) with DAB (Catalog # AR1027) as the chromogen.

    • IHC analysis of ATP1A1 using anti-ATP1A1 antibody (PB0504) .
      ATP1A1 was detected in a paraffin-embedded section of human endometrioid adenocarcinoma tissue. The tissue section was incubated with rabbit anti-ATP1A1 Antibody (PB0504) at a dilution of 1:200 and developed using HRP Conjugated Rabbit IgG Super Vision Assay Kit (Catalog # SV0002) with DAB (Catalog # AR1027) as the chromogen.

    • IHC analysis of ATP1A1 using anti-ATP1A1 antibody (PB0504) .
      ATP1A1 was detected in a paraffin-embedded section of human liver cancer tissue. The tissue section was incubated with rabbit anti-ATP1A1 Antibody (PB0504) at a dilution of 1:200 and developed using HRP Conjugated Rabbit IgG Super Vision Assay Kit (Catalog # SV0002) with DAB (Catalog # AR1027) as the chromogen.

    • IHC analysis of ATP1A1 using anti-ATP1A1 antibody (PB0504) .
      ATP1A1 was detected in a paraffin-embedded section of human ovarian cancer tissue. The tissue section was incubated with rabbit anti-ATP1A1 Antibody (PB0504) at a dilution of 1:200 and developed using HRP Conjugated Rabbit IgG Super Vision Assay Kit (Catalog # SV0002) with DAB (Catalog # AR1027) as the chromogen.

    • IHC analysis of ATP1A1 using anti-ATP1A1 antibody (PB0504) .
      ATP1A1 was detected in a paraffin-embedded section of human spleen tissue. The tissue section was incubated with rabbit anti-ATP1A1 Antibody (PB0504) at a dilution of 1:200 and developed using HRP Conjugated Rabbit IgG Super Vision Assay Kit (Catalog # SV0002) with DAB (Catalog # AR1027) as the chromogen.

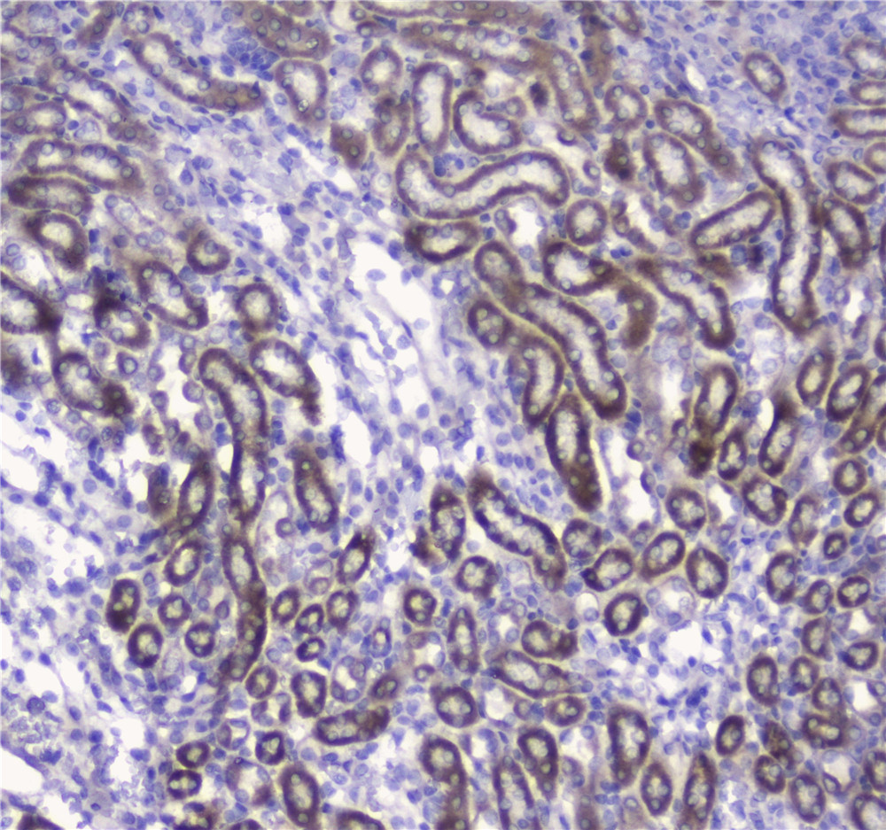
    • IHC analysis of ATP1A1 using anti-ATP1A1 antibody (PB0504) .
      ATP1A1 was detected in a paraffin-embedded section of mouse kidney tissue. The tissue section was incubated with rabbit anti-ATP1A1 Antibody (PB0504) at a dilution of 1:200 and developed using HRP Conjugated Rabbit IgG Super Vision Assay Kit (Catalog # SV0002) with DAB (Catalog # AR1027) as the chromogen.

    • IHC analysis of ATP1A1 using anti-ATP1A1 antibody (PB0504) .
      ATP1A1 was detected in a paraffin-embedded section of mouse kidney tissue. The tissue section was incubated with rabbit anti-ATP1A1 Antibody (PB0504) at a dilution of 1:200 and developed using HRP Conjugated Rabbit IgG Super Vision Assay Kit (Catalog # SV0002) with DAB (Catalog # AR1027) as the chromogen.

    • IHC analysis of ATP1A1 using anti-ATP1A1 antibody (PB0504) .
      ATP1A1 was detected in a paraffin-embedded section of rat kidney tissue. The tissue section was incubated with rabbit anti-ATP1A1 Antibody (PB0504) at a dilution of 1:200 and developed using HRP Conjugated Rabbit IgG Super Vision Assay Kit (Catalog # SV0002) with DAB (Catalog # AR1027) as the chromogen.

    • IF analysis of ATP1A1 using anti-ATP1A1 antibody (PB0504).
      ATP1A1 was detected in a paraffin-embedded section of human colon cancer tissue. The tissue section was incubated with rabbit anti-ATP1A1 Antibody (PB0504) at a dilution of 1:100. Fluoro488-conjugated Anti-rabbit IgG Secondary Antibody (green) (Catalog # BA1127) was used as secondary antibody. The section was counterstained with DAPI (Catalog # AR1176) (Blue).

    • IF analysis of ATP1A1 using anti-ATP1A1 antibody (PB0504).
      ATP1A1 was detected in a paraffin-embedded section of rat kidney tissue. The tissue section was incubated with rabbit anti-ATP1A1 Antibody (PB0504) at a dilution of 1:100. Fluoro488-conjugated Anti-rabbit IgG Secondary Antibody (green) (Catalog # BA1127) was used as secondary antibody. The section was counterstained with DAPI (Catalog # AR1176) (Blue).

    亮暗模式切换
    X
    • (11)

    Anti-ATP1A1 Antibody (Clone#AID-1)

    货号:BM4048

    描述:Rabbit Monoclonal Antibody

    检验物种: human, mouse, rat

    应用范围: WB, IHC, ICC/IF, FCM

    货期:现货

    说明书 文献数量(1) 一键复制产品信息

    加入购物车
  • Anti-ATP1A1 Antibody (Clone#AID-1)

    筛选器: All WB IHC ICC/IF FCM

    • All lanes use the Antibody for 1 hour at room temperature.

    • All lanes use the Antibody for 1 hour at room temperature.

    • All lanes use the Antibody for 1 hour at room temperature.

    • Immunohistochemical analysis of paraffin-embedded Rat heart, using the Antibody.

    • Immunohistochemical analysis of paraffin-embedded Rat cerebral cortex, using the Antibody.

    • Immunohistochemical analysis of paraffin-embedded Mouse skeletal muscle - gastrocnemius , using the Antibody.

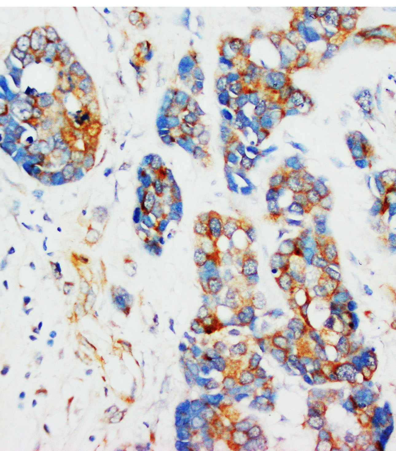
    • Immunohistochemical analysis of paraffin-embedded human thyroid carcinoma, using Sodium Potassium ATPase Antibody.

    • Immunohistochemical analysis of paraffin-embedded Human thyroid cancer, using the Antibody.

    • Immunohistochemical analysis of paraffin-embedded Human cervical cancer, using the Antibody.

    • Immunofluorescent analysis using the Antibody.

    亮暗模式切换
    X
    • (2)

    Anti-Beta Actin/ACTB HRP conjugated Antibody

    货号:A01263-HRP

    描述:Rabbit polyclonal antibody

    检验物种: human, mouse, rat, chicken, monkey, zebrafish

    应用范围: WB

    货期:现货

    说明书 一键复制产品信息

    加入购物车
  • Anti-Beta Actin/ACTB HRP conjugated Antibody

    筛选器: All WB

    • Western blot analysis of anti-Beta Actin/ACTB antibody (A01263-HRP). The sample well of each lane was loaded with 30 ug of sample under reducing conditions.
      Lane 1: human Hela whole cell lysates,
      Lane 2: human HepG2 whole cell lysates,
      Lane 3: human MCF-7 whole cell lysates,
      Lane 4: human K562 whole cell lysates,
      Lane 5: human A549 whole cell lysates,
      Lane 6: human A431 whole cell lysates,
      Lane 7: human U87 whole cell lysates,
      Lane 8: monkey COS-7 whole cell lysates.
      After electrophoresis, proteins were transferred to a membrane. Then the membrane was incubated with rabbit anti-Beta Actin/ACTB antigen affinity purified polyclonal antibody (A01263-HRP). The signal is developed using ECL Plus Western Blotting Substrate (Catalog # AR1197). A specific band was detected for Beta Actin/ACTB at approximately 42 kDa. The expected band size for Beta Actin/ACTB is at 42 kDa.

    • Western blot analysis of anti-Beta Actin/ACTB antibody (A01263-HRP). The sample well of each lane was loaded with 30 ug of sample under reducing conditions.
      Lane 1: rat heart tissue lysates,
      Lane 2: rat skeletal muscle tissue lysates,
      Lane 3: rat brain tissue lysates,
      Lane 4: rat PC-12 whole cell lysates,
      Lane 5: mouse heart tissue lysates,
      Lane 6: mouse skeletal tissue lysates,
      Lane 7: mouse brain tissue lysates,
      Lane 8: mouse NIH/3T3 whole cell lysates.
      After electrophoresis, proteins were transferred to a membrane. Then the membrane was incubated with rabbit anti-Beta Actin/ACTB antigen affinity purified polyclonal antibody (A01263-HRP). The signal is developed using ECL Plus Western Blotting Substrate (Catalog # AR1197). A specific band was detected for Beta Actin/ACTB at approximately 42 kDa. The expected band size for Beta Actin/ACTB is at 42 kDa.

    亮暗模式切换
    X
    • (1)

    Anti-Beta Actin/ACTB HRP Conjugated Antibody (Clone#B2001)

    货号:BM5180

    描述:Mouse Monoclonal Antibody

    检验物种: human, mouse, rat, hamster, monkey

    应用范围: WB

    货期:现货

    说明书 文献数量(14) 一键复制产品信息

    加入购物车
  • Anti-Beta Actin/ACTB HRP Conjugated Antibody (Clone#B2001)

    筛选器: All WB

    • Western blot analysis of beta Actin expression in (1) Hela cell lysate, (2) Human liver lysate, (3) 3T3 cell lysate, (4) Mouse brain lysate, (5) PC12 cell lysate, (6) Rat heart lysate.

    亮暗模式切换
    X
    • (5)

    Anti-Beta Tubulin/TUBB Antibody

    货号:A01857-1

    描述:Rabbit Polyclonal Antibody

    检验物种: human, mouse, rat, monkey, chicken

    应用范围: WB, IHC, ICC/IF, FCM

    货期:现货

    说明书 文献数量(32) 一键复制产品信息

    加入购物车
  • Anti-Beta Tubulin/TUBB Antibody

    筛选器: All WB IHC ICC/IF FCM

    • Western blot analysis of Beta Tubulin/TUBB using anti-Beta Tubulin/TUBB antibody (A01857-1). The sample well of each lane was loaded with 30 ug of sample under reducing conditions.
      Lane 1: human SiHa whole cell lysates,
      Lane 2: human 293T whole cell lysates,
      Lane 3: human HepG2 whole cell lysates,
      Lane 4: monkey COS-7 whole cell lysates,
      Lane 5: chicken heart tissue lysates,
      Lane 6: rat brain tissue lysates,
      Lane 7: rat PC-12 whole cell lysates,
      Lane 8: mouse brain tissue lysates,
      Lane 9: mouse NIH/3T3 whole cell lysates.
      After electrophoresis, proteins were transferred to a membrane. Then the membrane was incubated with rabbit anti-Beta Tubulin/TUBB antigen affinity purified polyclonal antibody (A01857-1) at a dilution of 1:1000 and probed with a goat anti-rabbit IgG-HRP secondary antibody (Catalog # BA1054). The signal is developed using ECL Plus Western Blotting Substrate (Catalog # AR1197). A specific band was detected for Beta Tubulin/TUBB at approximately 50 kDa. The expected band size for Beta Tubulin/TUBB is at 50 kDa.

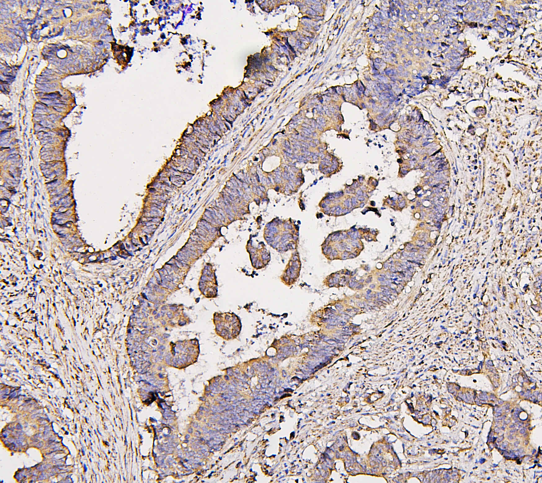
    • IHC analysis of Beta Tubulin/TUBB using anti-Beta Tubulin/TUBB antibody (A01857-1) .
      Beta Tubulin/TUBB was detected in a paraffin-embedded section of human liver cancer tissue. The tissue section was incubated with rabbit anti-Beta Tubulin/TUBB Antibody (A01857-1) at a dilution of 1:200 and developed using HRP Conjugated Rabbit IgG Super Vision Assay Kit (Catalog # SV0002) with DAB (Catalog # AR1027) as the chromogen.

    • IHC analysis of Beta Tubulin/TUBB using anti-Beta Tubulin/TUBB antibody (A01857-1) .
      Beta Tubulin/TUBB was detected in a paraffin-embedded section of human testicular germ cell tumors tissue. The tissue section was incubated with rabbit anti-Beta Tubulin/TUBB Antibody (A01857-1) at a dilution of 1:200 and developed using HRP Conjugated Rabbit IgG Super Vision Assay Kit (Catalog # SV0002) with DAB (Catalog # AR1027) as the chromogen.

    • ICC/IF analysis of Beta Tubulin/TUBB using anti-Beta Tubulin/TUBB antibody (A01857-1).
      Beta Tubulin/TUBB was detected in an immunocytochemical section of U2OS cells. Cy3 Conjugated Goat Anti-Rabbit IgG (Red) (Catalog # BA1032) was used as secondary antibody. The section was counterstained with DAPI (Catalog # AR1176) (Blue).

    • Flow Cytometry analysis of SiHa cells using anti-Beta Tubulin/TUBB antibody (A01857-1).
      Overlay histogram showing SiHa cells stained with A01857-1 (Blue line). To facilitate intracellular staining, cells were fixed with 4% paraformaldehyde and permeabilized with permeabilization buffer. The cells were blocked with 10% normal goat serum. And then incubated with rabbit anti-Beta Tubulin/TUBB Antibody (A01857-1) at 1:100 dilution for 30 min at 20°C. Fluoro488 conjugated goat anti-rabbit IgG (BA1127) was used as secondary antibody at 1:100 dilution for 30 minutes at 20°C. Isotype control antibody (Green line) was rabbit IgG at 1:100 dilution used under the same conditions. Unlabelled sample (Red line) was also used as a control.

    亮暗模式切换
    X
    • (5)

    Anti-Beta Tubulin/TUBB Antibody (Clone#2E11)

    货号:M05613-4

    描述:Mouse Monoclonal Antibody

    检验物种: human, mouse, rat

    应用范围: WB, ICC/IF, FCM

    货期:现货

    说明书 文献数量(6) 一键复制产品信息

    加入购物车
  • Anti-Beta Tubulin/TUBB Antibody (Clone#2E11)

    筛选器: All WB ICC/IF FCM

    • Western blot analysis of anti-Beta Tubulin/TUBB antibody (M05613-4). The sample well of each lane was loaded with 30 ug of sample under reducing conditions.
      Lane 1: human Hela whole cell lysates,
      Lane 2: human HepG2 whole cell lysates,
      Lane 3: human K562 whole cell lysates,
      Lane 4: human Raji whole cell lysates,
      Lane 5: rat brain tissue lysates,
      Lane 6: rat lung tissue lysates,
      Lane 7: mouse brain tissue lysates,
      Lane 8: mouse lung tissue lysates.
      After electrophoresis, proteins were transferred to a membrane. Then the membrane was incubated with mouse anti-Beta Tubulin/TUBB antigen affinity purified monoclonal antibody (M05613-4) at a dilution of 1:1000 and probed with a goat anti-mouse IgG-HRP secondary antibody (Catalog # BA1050). The signal is developed using ECL Plus Western Blotting Substrate (Catalog # AR1197). A specific band was detected for Beta Tubulin/TUBB at approximately 55 kDa. The expected band size for Beta Tubulin/TUBB is at 50 kDa.

    • Western blot analysis of Beta Tubulin/TUBB using anti-Beta Tubulin/TUBB antibody (M05613-4). The sample well of each lane was loaded with 30 ug of sample under reducing conditions.
      Lane 1: human Hela whole cell lysates,
      Lane 2: human HepG2 whole cell lysates,
      Lane 3: human K562 whole cell lysates,
      Lane 4: human Raji whole cell lysates,
      Lane 5: rat brain tissue lysates,
      Lane 6: rat lung tissue lysates,
      Lane 7: mouse brain tissue lysates,
      Lane 8: mouse lung tissue lysates.
      After electrophoresis, proteins were transferred to a membrane. Then the membrane was incubated with mouse anti-Beta Tubulin/TUBB antigen affinity purified monoclonal antibody (M05613-4) at a dilution of 1:1000 and probed with a Fluoro 647 Conjugated AffiniPure Goat Anti-mouse IgG (H+L) secondary antibody (Catalog # BA1151). A specific band was detected for Beta Tubulin/TUBB at approximately 50 kDa. The expected band size for Beta Tubulin/TUBB is at 50 kDa.

    • ICC/IF analysis of Beta Tubulin/TUBB using anti-Beta Tubulin/TUBB antibody (M05613-4).
      Beta Tubulin/TUBB was detected in an immunocytochemical section of U2OS cells. The section was incubated with mouse anti-Beta Tubulin/TUBB Antibody (M05613-4) at a dilution of 1:100. Fluoro488-conjugated Anti-mouse IgG Secondary Antibody (green)(Catalog#BA1126) was used as secondary antibody. The section was counterstained with DAPI (Catalog # AR1176) (Blue).

    • ICC/IF analysis of Beta Tubulin/TUBB using anti-Beta Tubulin/TUBB antibody (M05613-4).
      Beta Tubulin/TUBB was detected in an immunocytochemical section of U2OS cells. The section was incubated with mouse anti-Beta Tubulin/TUBB Antibody (M05613-4) at a dilution of 1:100. Fluoro488-conjugated Anti-mouse IgG Secondary Antibody (green)(Catalog#BA1126) was used as secondary antibody. The section was counterstained with DAPI (Catalog # AR1176) (Blue).

    • Flow Cytometry analysis of U937 cells using anti-Beta Tubulin/TUBB antibody (M05613-4).
      Overlay histogram showing U937 cells stained with M05613-4 (Blue line). To facilitate intracellular staining, cells were fixed with 4% paraformaldehyde and permeabilized with permeabilization buffer. The cells were blocked with 10% normal goat serum. And then incubated with mouse anti-Beta Tubulin/TUBB Antibody (M05613-4) at 1:100 dilution for 30 min at 20°C. Fluoro488 conjugated goat anti-mouse IgG (BA1126) was used as secondary antibody at 1:100 dilution for 30 minutes at 20°C. Isotype control antibody (Green line) was mouse IgG at 1:100 dilution used under the same conditions. Unlabelled sample without incubation with primary antibody and secondary antibody (Red line) was used as a blank control.

    亮暗模式切换
    X
    • (1)

    Anti-BrdU Antibody

    货号:BM0201

    描述:Mouse Monoclonal Antibody

    检验物种: human, mouse, rat, rabbit

    应用范围: IHC

    货期:现货

    说明书 文献数量(72) 一键复制产品信息

    加入购物车
  • Anti-BrdU Antibody

    筛选器: All IHC

    • IHC analysis using anti-BrdU antibody (BM0201). detected in paraffin-embedded section of HELA cells. Biotinylated goat anti-mouse IgG was used as secondary antibody. The tissue section was developed using Strepavidin-Biotin-Complex (SABC) (Catalog # SA1022) with DAB as the chromogen.

    亮暗模式切换
    X
    • (11)

    Anti-COX4I1 Antibody

    货号:A05442-1

    描述:Rabbit Polyclonal Antibody

    检验物种: human, mouse, rat

    应用范围: WB, IHC, ICC/IF, FCM

    货期:现货

    说明书 文献数量(1) 一键复制产品信息

    加入购物车
  • Anti-COX4I1 Antibody

    筛选器: All WB IHC ICC/IF FCM

    • Western blot analysis of COX4I1 using anti-COX4I1 antibody (A05442-1). The sample well of each lane was loaded with 30 ug of sample under reducing conditions.
      Lane 1: human Caco-2 whole cell lysates,
      Lane 2: human SiHa whole cell lysates,
      Lane 3: human MCF-7 whole cell lysates,
      Lane 4: human HepG2 whole cell lysates,
      Lane 5: rat brain tissue lysates,
      Lane 6: rat PC-12 whole cell lysates,
      Lane 7: mouse brain tissue lysates,
      Lane 8: mouse NIH/3T3 whole cell lysates.
      After electrophoresis, proteins were transferred to a membrane. Then the membrane was incubated with rabbit anti-COX4I1 antigen affinity purified polyclonal antibody (A05442-1) at a dilution of 1:1000 and probed with a goat anti-rabbit IgG-HRP secondary antibody (Catalog # BA1054). The signal is developed using ECL Plus Western Blotting Substrate (Catalog # AR1197). A specific band was detected for COX4I1 at approximately 17 kDa. The expected band size for COX4I1 is at 20 kDa.

    • IHC analysis of COX4I1 using anti-COX4I1 antibody (A05442-1).
      COX4I1 was detected in a paraffin-embedded section of mouse small intestine tissue. Biotinylated goat anti-rabbit IgG was used as secondary antibody. The tissue section was incubated with rabbit anti-COX4I1 Antibody (A05442-1) at a dilution of 1:200 and developed using Strepavidin-Biotin-Complex (SABC) (Catalog # SA1022) with DAB (Catalog # AR1027) as the chromogen.

    • IHC analysis of COX4I1 using anti-COX4I1 antibody (A05442-1).
      COX4I1 was detected in a paraffin-embedded section of rat liver tissue. Biotinylated goat anti-rabbit IgG was used as secondary antibody. The tissue section was incubated with rabbit anti-COX4I1 Antibody (A05442-1) at a dilution of 1:200 and developed using Strepavidin-Biotin-Complex (SABC) (Catalog # SA1022) with DAB (Catalog # AR1027) as the chromogen.

    • IHC analysis of COX4I1 using anti-COX4I1 antibody (A05442-1).
      COX4I1 was detected in a paraffin-embedded section of rat lung tissue. Biotinylated goat anti-rabbit IgG was used as secondary antibody. The tissue section was incubated with rabbit anti-COX4I1 Antibody (A05442-1) at a dilution of 1:200 and developed using Strepavidin-Biotin-Complex (SABC) (Catalog # SA1022) with DAB (Catalog # AR1027) as the chromogen.

    • IHC analysis of COX4I1 using anti-COX4I1 antibody (A05442-1).
      COX4I1 was detected in a paraffin-embedded section of rat small intestine tissue. Biotinylated goat anti-rabbit IgG was used as secondary antibody. The tissue section was incubated with rabbit anti-COX4I1 Antibody (A05442-1) at a dilution of 1:200 and developed using Strepavidin-Biotin-Complex (SABC) (Catalog # SA1022) with DAB (Catalog # AR1027) as the chromogen.

    • IHC analysis of COX4I1 using anti-COX4I1 antibody (A05442-1).
      COX4I1 was detected in a paraffin-embedded section of human intestinal cancer tissue. Biotinylated goat anti-rabbit IgG was used as secondary antibody. The tissue section was incubated with rabbit anti-COX4I1 Antibody (A05442-1) at a dilution of 1:200 and developed using Strepavidin-Biotin-Complex (SABC) (Catalog # SA1022) with DAB (Catalog # AR1027) as the chromogen.

    • IHC analysis of COX4I1 using anti-COX4I1 antibody (A05442-1).
      COX4I1 was detected in a paraffin-embedded section of human placenta tissue. Biotinylated goat anti-rabbit IgG was used as secondary antibody. The tissue section was incubated with rabbit anti-COX4I1 Antibody (A05442-1) at a dilution of 1:200 and developed using Strepavidin-Biotin-Complex (SABC) (Catalog # SA1022) with DAB (Catalog # AR1027) as the chromogen.

    • IHC analysis of COX4I1 using anti-COX4I1 antibody (A05442-1).
      COX4I1 was detected in a paraffin-embedded section of human thyroid cancer tissue. Biotinylated goat anti-rabbit IgG was used as secondary antibody. The tissue section was incubated with rabbit anti-COX4I1 Antibody (A05442-1) at a dilution of 1:200 and developed using Strepavidin-Biotin-Complex (SABC) (Catalog # SA1022) with DAB (Catalog # AR1027) as the chromogen.

    • IHC analysis of COX4I1 using anti-COX4I1 antibody (A05442-1).
      COX4I1 was detected in a paraffin-embedded section of mouse kidney tissue. Biotinylated goat anti-rabbit IgG was used as secondary antibody. The tissue section was incubated with rabbit anti-COX4I1 Antibody (A05442-1) at a dilution of 1:200 and developed using Strepavidin-Biotin-Complex (SABC) (Catalog # SA1022) with DAB (Catalog # AR1027) as the chromogen.

    • ICC/IF analysis of COX4I1 using anti-COX4I1 antibody (A05442-1).
      COX4I1 was detected in an immunocytochemical section of U2OS cells. The section was incubated with rabbit anti-COX4I1 Antibody (A05442-1) at a dilution of 1:100. Fluoro594-conjugated Anti-rabbit IgG Secondary Antibody (red)(Catalog#BA1142) was used as secondary antibody. The section was counterstained with DAPI (Catalog # AR1176) (Blue).

    • Flow Cytometry analysis of U937 cells using anti-COX4I1 antibody (A05442-1).
      Overlay histogram showing U937 cells stained with A05442-1 (Blue line). To facilitate intracellular staining, cells were fixed with 4% paraformaldehyde and permeabilized with permeabilization buffer. The cells were blocked with 10% normal goat serum. And then incubated with rabbit anti-COX4I1 Antibody (A05442-1) at 1:100 dilution for 30 min at 20°C. Fluoro488 conjugated goat anti-rabbit IgG (BA1127) was used as secondary antibody at 1:100 dilution for 30 minutes at 20°C. Isotype control antibody (Green line) was rabbit IgG at 1:100 dilution used under the same conditions. Unlabelled sample without incubation with primary antibody and secondary antibody (Red line) was used as a blank control.

    亮暗模式切换
    X
    • (5)

    Anti-COX4I1 Antibody (Clone#4G11)

    货号:M05442-1

    描述:Mouse Monoclonal Antibody

    检验物种: human, mouse, rat

    应用范围: WB, IHC, FCM

    货期:现货

    说明书 文献数量(4) 一键复制产品信息

    加入购物车
  • Anti-COX4I1 Antibody (Clone#4G11)

    筛选器: All WB IHC FCM

    • Western blot analysis of COX4I1 using anti-COX4I1 antibody (M05442-1). The sample well of each lane was loaded with 30 ug of sample under reducing conditions.
      Lane 1: human HepG2 whole cell lysates,
      Lane 2: human A549 whole cell lysates,
      Lane 3: human HEK293 whole cell lysates,
      Lane 4: human T47D whole cell lysates,
      Lane 5: human Caco-2 whole cell lysates,
      Lane 6: human K562 whole cell lysates,
      Lane 7: human Hela whole cell lysates,
      Lane 8: rat brain tissue lysates,
      Lane 9: mouse brain tissue lysates.
      After electrophoresis, proteins were transferred to a membrane. Then the membrane was incubated with mouse anti-COX4I1 antigen affinity purified monoclonal antibody (M05442-1) at a dilution of 1:1000 and probed with a goat anti-mouse IgG-HRP secondary antibody (Catalog # BA1050). The signal is developed using ECL Plus Western Blotting Substrate (Catalog # AR1197). A specific band was detected for COX4I1 at approximately 17 kDa. The expected band size for COX4I1 is at 20 kDa.

    • IHC analysis of COX4I1 using anti-COX4I1 antibody (M05442-1).
      COX4I1 was detected in a paraffin-embedded section of human colon cancer tissue. The tissue section was incubated with mouse anti-COX4I1 Antibody (M05442-1) at a dilution of 1:200 and developed using HRP Conjugated mouse IgG Super Vision Assay Kit (Catalog # SV0001) with DAB (Catalog # AR1027) as the chromogen.

    • IHC analysis of COX4I1 using anti-COX4I1 antibody (M05442-1).
      COX4I1 was detected in a paraffin-embedded section of human lung cancer tissue. The tissue section was incubated with mouse anti-COX4I1 Antibody (M05442-1) at a dilution of 1:200 and developed using HRP Conjugated mouse IgG Super Vision Assay Kit (Catalog # SV0001) with DAB (Catalog # AR1027) as the chromogen.

    • IHC analysis of COX4I1 using anti-COX4I1 antibody (M05442-1).
      COX4I1 was detected in a paraffin-embedded section of human lung cancer tissue. The tissue section was incubated with mouse anti-COX4I1 Antibody (M05442-1) at a dilution of 1:200 and developed using HRP Conjugated mouse IgG Super Vision Assay Kit (Catalog # SV0001) with DAB (Catalog # AR1027) as the chromogen.

    • Flow Cytometry analysis of U937 cells using anti-COX4I1 antibody (M05442-1).
      Overlay histogram showing U937 cells stained with M05442-1 (Blue line). To facilitate intracellular staining, cells were fixed with 4% paraformaldehyde and permeabilized with permeabilization buffer. The cells were blocked with 10% normal goat serum. And then incubated with mouse anti-COX4I1 Antibody (M05442-1) at 1:100 dilution for 30 min at 20°C. Fluoro488 conjugated goat anti-mouse IgG (BA1126) was used as secondary antibody at 1:100 dilution for 30 minutes at 20°C. Isotype control antibody (Green line) was mouse IgG at 1:100 dilution used under the same conditions. Unlabelled sample without incubation with primary antibody and secondary antibody (Red line) was used as a blank control.

    亮暗模式切换
    X
    • (5)

    Anti-COX4I1 Antibody (Clone#AIC-3)

    货号:BM4046

    描述:Rabbit Monoclonal Antibody

    检验物种: human, mouse, rat

    应用范围: WB, IHC, ICC/IF

    货期:现货

    说明书 文献数量(2) 一键复制产品信息

    加入购物车
  • Anti-COX4I1 Antibody (Clone#AIC-3)

    筛选器: All WB IHC ICC/IF

    • Western blot analysis of anti-COX4I1 antibody (BM4046). The sample well of each lane was loaded with 30 ug of sample under reducing conditions.
      Lane 1: human HepG2 whole cell lysates,
      Lane 2: human Hela whole cell lysates,
      Lane 3: human SW620 whole cell lysates,
      Lane 4: human Caco-2 whole cell lysates,
      Lane 5: rat heart tissue lysates,
      Lane 6: mouse heart tissue lysates.
      After electrophoresis, proteins were transferred to a membrane. Then the membrane was incubated with rabbit anti-COX4I1 antigen affinity purified monoclonal antibody (BM4046) at a dilution of 1:1000 and probed with a goat anti-rabbit IgG-HRP secondary antibody (Catalog # BA1054). The signal is developed using ECL Plus Western Blotting Substrate (Catalog # AR1197). A specific band was detected for COX4I1 at approximately 17 kDa. The expected band size for COX4I1 is at 20 kDa.

    • IHC analysis of COX4I1 using anti-COX4I1 antibody (BM4046) .
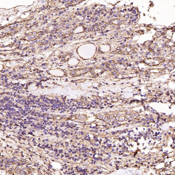
      COX4I1 was detected in a paraffin-embedded section of human cervical cancer tissue. The tissue section was incubated with rabbit anti-COX4I1 Antibody (BM4046) at a dilution of 1:200 and developed using HRP Conjugated Rabbit IgG Super Vision Assay Kit (Catalog # SV0002) with DAB (Catalog # AR1027) as the chromogen.

    • IHC analysis of COX4I1 using anti-COX4I1 antibody (BM4046) .
      COX4I1 was detected in a paraffin-embedded section of human live cancer tissue. The tissue section was incubated with rabbit anti-COX4I1 Antibody (BM4046) at a dilution of 1:200 and developed using HRP Conjugated Rabbit IgG Super Vision Assay Kit (Catalog # SV0002) with DAB (Catalog # AR1027) as the chromogen.

    • IHC analysis of COX4I1 using anti-COX4I1 antibody (BM4046) .
      COX4I1 was detected in a paraffin-embedded section of rat heart tissue. The tissue section was incubated with rabbit anti-COX4I1 Antibody (BM4046) at a dilution of 1:200 and developed using HRP Conjugated Rabbit IgG Super Vision Assay Kit (Catalog # SV0002) with DAB (Catalog # AR1027) as the chromogen.

    亮暗模式切换
    X
    • (9)

    Anti-GAPDH Antibody

    货号:BA2913

    描述:Rabbit Polyclonal Antibody

    检验物种: human, mouse, rat, monkey, chicken

    应用范围: WB, IHC

    货期:现货

    说明书 文献数量(150) 一键复制产品信息

    加入购物车
  • Anti-GAPDH Antibody

    筛选器: All WB IHC

    • Western blot analysis of anti-GAPDH antibody (BA2913). The sample well of each lane was loaded with 30 ug of sample under reducing conditions.
      Lane 1: human Hela whole cell lysates,
      Lane 2: human 293T whole cell lysates,
      Lane 3: human Caco-2 whole cell lysates,
      Lane 4: human CCRF-CEM whole cell lysates,
      Lane 5: rat liver tissue lysates,
      Lane 6: rat smooth muscle tissue lysates,
      Lane 7: mouse liver tissue lysates.
      After electrophoresis, proteins were transferred to a membrane. Then the membrane was incubated with rabbit anti-GAPDH antigen affinity purified polyclonal antibody (BA2913) and probed with a goat anti-rabbit IgG-HRP secondary antibody (Catalog # BA1054). The signal is developed using ECL Plus Western Blotting Substrate (Catalog # AR1197). A specific band was detected for GAPDH at approximately 36 kDa. The expected band size for GAPDH is at 36 kDa.

    • Western blot analysis of anti-GAPDH antibody (BA2913). The sample well of each lane was loaded with 30 ug of sample under reducing conditions.
      Lane 1: chicken heart tissue lysates,
      Lane 2: chicken liver tissue lysates,
      Lane 3: chicken brain tissue lysates,
      Lane 4: monkey heart tissue lysates,
      Lane 5: monkey lung tissue lysates,
      Lane 6: monkey kidney tissue lysates,
      Lane 7: monkey liver tissue lysates.
      After electrophoresis, proteins were transferred to a membrane. Then the membrane was incubated with rabbit anti-GAPDH antigen affinity purified polyclonal antibody (BA2913) and probed with a goat anti-rabbit IgG-HRP secondary antibody (Catalog # BA1054). The signal is developed using ECL Plus Western Blotting Substrate (Catalog # AR1197). A specific band was detected for GAPDH at approximately 36 kDa. The expected band size for GAPDH is at 36 kDa.

    • IHC analysis of GAPDH using anti-GAPDH antibody (BA2913).
      GAPDH was detected in a paraffin-embedded section of human bladder urothelial carcinoma tissue. The tissue section was developed using HRP Conjugated Rabbit IgG Super Vision Assay Kit (Catalog # SV0002) with DAB (Catalog # AR1027) as the chromogen.

    • IHC analysis of GAPDH using anti-GAPDH antibody (BA2913).
      GAPDH was detected in a paraffin-embedded section of human colorectal adenocarcinoma tissue. The tissue section was developed using HRP Conjugated Rabbit IgG Super Vision Assay Kit (Catalog # SV0002) with DAB (Catalog # AR1027) as the chromogen.

    • IHC analysis of GAPDH using anti-GAPDH antibody (BA2913).
      GAPDH was detected in a paraffin-embedded section of human lung cancer tissue. The tissue section was developed using HRP Conjugated Rabbit IgG Super Vision Assay Kit (Catalog # SV0002) with DAB (Catalog # AR1027) as the chromogen.

    • IHC analysis of GAPDH using anti-GAPDH antibody (BA2913).
      GAPDH was detected in a paraffin-embedded section of human testicular cancer tissue. The tissue section was developed using HRP Conjugated Rabbit IgG Super Vision Assay Kit (Catalog # SV0002) with DAB (Catalog # AR1027) as the chromogen.

    • IHC analysis of GAPDH using anti-GAPDH antibody (BA2913).
      GAPDH was detected in a paraffin-embedded section of human tonsil tissue. The tissue section was developed using HRP Conjugated Rabbit IgG Super Vision Assay Kit (Catalog # SV0002) with DAB (Catalog # AR1027) as the chromogen.

    • IHC analysis of GAPDH using anti-GAPDH antibody (BA2913).
      GAPDH was detected in a paraffin-embedded section of mouse brain tissue. The tissue section was developed using HRP Conjugated Rabbit IgG Super Vision Assay Kit (Catalog # SV0002) with DAB (Catalog # AR1027) as the chromogen.

    • IHC analysis of GAPDH using anti-GAPDH antibody (BA2913).
      GAPDH was detected in a paraffin-embedded section of rat brain tissue. The tissue section was developed using HRP Conjugated Rabbit IgG Super Vision Assay Kit (Catalog # SV0002) with DAB (Catalog # AR1027) as the chromogen.

    亮暗模式切换
    X
    • (1)

    Anti-GAPDH HRP conjugated Antibody

    货号:A00227-HRP

    描述:Rabbit polyclonal antibody

    检验物种: human, mouse, rat, chicken, monkey, zebrafish

    应用范围: WB

    货期:现货

    说明书 文献数量(1) 一键复制产品信息

    加入购物车
  • Anti-GAPDH HRP conjugated Antibody

    筛选器: All WB

    • Western blot analysis of anti-GAPDH antibody (A00227-HRP). The sample well of each lane was loaded with 30 ug of sample under reducing conditions.
      Lane 1: human Hela whole cell lysates,
      Lane 2: human A549 whole cell lysates,
      Lane 3: human A562 whole cell lysates,
      Lane 4: human MCF-7 whole cell lysates,
      Lane 5: rat brain tissue lysates,
      Lane 6: rat liver tissue lysates,
      Lane 7: mouse brain tissue lysates,
      Lane 8: mouse liver tissue lysates.
      After electrophoresis, proteins were transferred to a membrane. Then the membrane was incubated with rabbit anti-GAPDH antigen affinity purified polyclonal antibody (A00227-HRP). The signal is developed using ECL Plus Western Blotting Substrate (Catalog # AR1197). A specific band was detected for GAPDH at approximately 36 kDa. The expected band size for GAPDH is at 36 kDa.

    亮暗模式切换
    X
查看更多

成功添加到购物车

查看购物车 继续购物

在线
客服

在线客服
服务时间:08:30 - 17:30

点击下列客服在线咨询:

服务热线

服务
热线

客服服务热线

027-67845390
客服服务热线

扫码

扫码
咨询

微信二维码 微信扫一扫立即咨询
返回顶部 顶部