欢迎访问博士德生物官网! 服务热线:027-67845390 |
您当前的位置: 首页 > 产品列表

筛选项

  • 检验物种

  • 应用范围

  • 宿主

  • 发货周期

  • 研究领域

  • 产品形态

共有 1663 条产品信息

    • (11)

    Anti-14-3-3 Epsilon/YWHAE Antibody (Clone#3G11G2)

    货号:M01687-2

    描述:Mouse monoclonal antibody

    检验物种: human, mouse, rat

    应用范围: WB, IHC, FCM, ICC/IF

    货期:现货

    说明书 一键复制产品信息

    加入购物车
  • Anti-14-3-3 Epsilon/YWHAE Antibody (Clone#3G11G2)

    筛选器: All WB IHC FCM ICC/IF

    • Western blot analysis of 14-3-3 Epsilon/YWHAE using anti-14-3-3 Epsilon/YWHAE antibody (M01687-2). The sample well of each lane was loaded with 30 ug of sample under reducing conditions.
      Lane 1: Hela whole cell lysates,
      Lane 2: SH-SY5Y whole cell lysates,
      Lane 3: SW620 whole cell lysates,
      Lane 4: Raji whole cell lysates,
      Lane 5: rat brain tissue lysates,
      Lane 6: PC-12 whole cell lysates,
      Lane 7: mouse brain tissue lysates,
      Lane 8: NIH/3T3 whole cell lysates.
      After electrophoresis, proteins were transferred to a membrane. Then the membrane was incubated with mouse anti-14-3-3 Epsilon/YWHAE antigen affinity purified monoclonal antibody (M01687-2) at a dilution of 1:1000 and probed with a goat anti-mouse IgG-HRP secondary antibody (Catalog # BA1050). The signal is developed using ECL Plus Western Blotting Substrate (Catalog # AR1197). A specific band was detected for 14-3-3 Epsilon/YWHAE at approximately 29 kDa. The expected band size for 14-3-3 Epsilon/YWHAE is at 29 kDa.

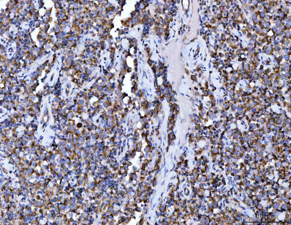
    • IHC analysis of 14-3-3 Epsilon/YWHAE using anti-14-3-3 Epsilon/YWHAE antibody (M01687-2).
      14-3-3 Epsilon/YWHAE was detected in a paraffin-embedded section of human Colorectal adenocarcinoma tissue. Biotinylated goat anti-mouse IgG was used as secondary antibody. The tissue section was incubated with mouse anti-14-3-3 Epsilon/YWHAE Antibody (M01687-2) at a dilution of 1:200 and developed using Strepavidin-Biotin-Complex (SABC) (Catalog # SA1021) with DAB (Catalog # AR1027) as the chromogen.

    • IHC analysis of 14-3-3 Epsilon/YWHAE using anti-14-3-3 Epsilon/YWHAE antibody (M01687-2).
      14-3-3 Epsilon/YWHAE was detected in a paraffin-embedded section of human liver cancer tissue. Biotinylated goat anti-mouse IgG was used as secondary antibody. The tissue section was incubated with mouse anti-14-3-3 Epsilon/YWHAE Antibody (M01687-2) at a dilution of 1:200 and developed using Strepavidin-Biotin-Complex (SABC) (Catalog # SA1021) with DAB (Catalog # AR1027) as the chromogen.

    • IHC analysis of 14-3-3 Epsilon/YWHAE using anti-14-3-3 Epsilon/YWHAE antibody (M01687-2).
      14-3-3 Epsilon/YWHAE was detected in a paraffin-embedded section of human tonsil tissue. Biotinylated goat anti-mouse IgG was used as secondary antibody. The tissue section was incubated with mouse anti-14-3-3 Epsilon/YWHAE Antibody (M01687-2) at a dilution of 1:200 and developed using Strepavidin-Biotin-Complex (SABC) (Catalog # SA1021) with DAB (Catalog # AR1027) as the chromogen.

    • IHC analysis of 14-3-3 Epsilon/YWHAE using anti-14-3-3 Epsilon/YWHAE antibody (M01687-2).
      14-3-3 Epsilon/YWHAE was detected in a paraffin-embedded section of human endometrial cancer tissue. Biotinylated goat anti-mouse IgG was used as secondary antibody. The tissue section was incubated with mouse anti-14-3-3 Epsilon/YWHAE Antibody (M01687-2) at a dilution of 1:200 and developed using Strepavidin-Biotin-Complex (SABC) (Catalog # SA1021) with DAB (Catalog # AR1027) as the chromogen.

    • IHC analysis of 14-3-3 Epsilon/YWHAE using anti-14-3-3 Epsilon/YWHAE antibody (M01687-2).
      14-3-3 Epsilon/YWHAE was detected in a paraffin-embedded section of human placenta tissue. Biotinylated goat anti-mouse IgG was used as secondary antibody. The tissue section was incubated with mouse anti-14-3-3 Epsilon/YWHAE Antibody (M01687-2) at a dilution of 1:200 and developed using Strepavidin-Biotin-Complex (SABC) (Catalog # SA1021) with DAB (Catalog # AR1027) as the chromogen.

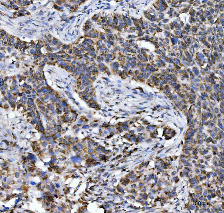
    • IHC analysis of 14-3-3 Epsilon/YWHAE using anti-14-3-3 Epsilon/YWHAE antibody (M01687-2).
      14-3-3 Epsilon/YWHAE was detected in a paraffin-embedded section of human Bladder epithelial carcinoma tissue. Biotinylated goat anti-mouse IgG was used as secondary antibody. The tissue section was incubated with mouse anti-14-3-3 Epsilon/YWHAE Antibody (M01687-2) at a dilution of 1:200 and developed using Strepavidin-Biotin-Complex (SABC) (Catalog # SA1021) with DAB (Catalog # AR1027) as the chromogen.

    • IHC analysis of 14-3-3 Epsilon/YWHAE using anti-14-3-3 Epsilon/YWHAE antibody (M01687-2).
      14-3-3 Epsilon/YWHAE was detected in a paraffin-embedded section of human Laryngeal squamous cell carcinoma tissue. Biotinylated goat anti-mouse IgG was used as secondary antibody. The tissue section was incubated with mouse anti-14-3-3 Epsilon/YWHAE Antibody (M01687-2) at a dilution of 1:200 and developed using Strepavidin-Biotin-Complex (SABC) (Catalog # SA1021) with DAB (Catalog # AR1027) as the chromogen.

    • Flow Cytometry analysis of ANA-1 cells using anti-14-3-3 Epsilon/YWHAE antibody (M01687-2).
      Overlay histogram showing ANA-1 cells stained with M01687-2 (Blue line). To facilitate intracellular staining, cells were fixed with 4% paraformaldehyde and permeabilized with permeabilization buffer. The cells were blocked with 10% normal goat serum. And then incubated with mouse anti-14-3-3 Epsilon/YWHAE Antibody (M01687-2) at 1:100 dilution for 30 min at 20°C. Fluoro488 conjugated goat anti-mouse IgG (BA1126) was used as secondary antibody at 1:100 dilution for 30 minutes at 20°C. Isotype control antibody (Green line) was mouse IgG at 1:100 dilution used under the same conditions. Unlabelled sample without incubation with primary antibody and secondary antibody (Red line) was used as a blank control.

    • Flow Cytometry analysis of NRK cells using anti-14-3-3 Epsilon/YWHAE antibody (M01687-2).
      Overlay histogram showing NRK cells stained with M01687-2 (Blue line). To facilitate intracellular staining, cells were fixed with 4% paraformaldehyde and permeabilized with permeabilization buffer. The cells were blocked with 10% normal goat serum. And then incubated with mouse anti-14-3-3 Epsilon/YWHAE Antibody (M01687-2) at 1:100 dilution for 30 min at 20°C. Fluoro488 conjugated goat anti-mouse IgG (BA1126) was used as secondary antibody at 1:100 dilution for 30 minutes at 20°C. Isotype control antibody (Green line) was mouse IgG at 1:100 dilution used under the same conditions. Unlabelled sample without incubation with primary antibody and secondary antibody (Red line) was used as a blank control.

    • ICC/IF analysis of 14-3-3 Epsilon/YWHAE using anti-14-3-3 Epsilon/YWHAE antibody (M01687-2).
      14-3-3 Epsilon/YWHAE was detected in an immunocytochemical section of Caco-2 cells. The section was incubated with mouse anti-14-3-3 Epsilon/YWHAE Antibody (M01687-2) at a dilution of 1:100. Fluoro594-conjugated Anti-mouse IgG Secondary Antibody (red)(Catalog#BA1141) was used as secondary antibody. The section was counterstained with DAPI (Catalog # AR1176) (Blue).

    亮暗模式切换
    X
    • (12)

    Anti-a-SMA/ACTA2 Antibody (Clone#1A4)

    货号:BM0002

    描述:Mouse monoclonal antibody

    检验物种: human, mouse, rat

    应用范围: WB, IHC, IF

    货期:现货

    说明书 文献数量(747) 一键复制产品信息

    加入购物车
  • Anti-a-SMA/ACTA2 Antibody (Clone#1A4)

    筛选器: All WB IHC IF

    • Western blot analysis of anti-α-SMA antibody (BM0002). The sample well of each lane was loaded with 30 ug of sample under reducing conditions.
      Lane 1: human placenta tissue lysates,
      Lane 2: rat stomach tissue lysates,
      Lane 3: mouse stomach tissue lysates.
      After electrophoresis, proteins were transferred to a membrane. Then the membrane was incubated with mouse anti-α-SMA antigen affinity purified polyclonal antibody (BM0002) and probed with a goat anti-mouse IgG-HRP secondary antibody (Catalog # BA1050). The signal is developed using ECL Plus Western Blotting Substrate (Catalog # AR1197). A specific band was detected for α-SMA at approximately 42 kDa. The expected band size for α-SMA is at 42 kDa.

    • IHC analysis of α-SMA using anti-α-SMA antibody (BM0002).
      α-SMA was detected in a paraffin-embedded section of human lung cancer tissue. The tissue section was developed using HRP Conjugated Mouse IgG Super Vision Assay Kit (Catalog # SV0001) with DAB (Catalog # AR1027) as the chromogen.

    • IHC analysis of α-SMA using anti-α-SMA antibody (BM0002).
      α-SMA was detected in a paraffin-embedded section of human oesophagus squama cancer tissue. The tissue section was developed using HRP Conjugated Mouse IgG Super Vision Assay Kit (Catalog # SV0001) with DAB (Catalog # AR1027) as the chromogen.

    • IHC analysis of α-SMA using anti-α-SMA antibody (BM0002).
      α-SMA was detected in a paraffin-embedded section of human tonsil tissue. The tissue section was developed using HRP Conjugated Mouse IgG Super Vision Assay Kit (Catalog # SV0001) with DAB (Catalog # AR1027) as the chromogen.

    • IHC analysis of α-SMA using anti-α-SMA antibody (BM0002).
      α-SMA was detected in a paraffin-embedded section of human endometrial carcinoma tissue. The tissue section was developed using HRP Conjugated Mouse IgG Super Vision Assay Kit (Catalog # SV0001) with DAB (Catalog # AR1027) as the chromogen.

    • IHC analysis of α-SMA using anti-α-SMA antibody (BM0002).
      α-SMA was detected in a paraffin-embedded section of human placenta tissue. The tissue section was developed using HRP Conjugated Mouse IgG Super Vision Assay Kit (Catalog # SV0001) with DAB (Catalog # AR1027) as the chromogen.

    • IHC analysis of α-SMA using anti-α-SMA antibody (BM0002).
      α-SMA was detected in a paraffin-embedded section of mouse pancreas tissue. The tissue section was developed using HRP Conjugated Mouse IgG Super Vision Assay Kit (Catalog # SV0001) with DAB (Catalog # AR1027) as the chromogen.

    • IHC analysis of α-SMA using anti-α-SMA antibody (BM0002).
      α-SMA was detected in a paraffin-embedded section of rat heart muscle tissue. The tissue section was developed using HRP Conjugated Mouse IgG Super Vision Assay Kit (Catalog # SV0001) with DAB (Catalog # AR1027) as the chromogen.

    • IHC analysis of α-SMA using anti-α-SMA antibody (BM0002).
      α-SMA was detected in a paraffin-embedded section of rat lung tissue. The tissue section was developed using HRP Conjugated Mouse IgG Super Vision Assay Kit (Catalog # SV0001) with AEC (Catalog # AR1020) as the chromogen.

    • IHC analysis of α-SMA using anti-α-SMA antibody (BM0002).
      α-SMA was detected in a paraffin-embedded section of rat liver tissue. The tissue section was developed using HRP Conjugated Mouse IgG Super Vision Assay Kit (Catalog # SV0001) with DAB (Catalog # AR1027) as the chromogen.

    • IF analysis of α-SMA using anti-α-SMA antibody (BM0002).
      α-SMA was detected in a paraffin-embedded section of rat lung tissue. Fluoro488 conjugated Anti-mouse IgG Secondary Antibody ((green)(Catalog#BA1126) was used as secondary antibody. The section was counterstained with DAPI (Catalog # AR1176) (Blue).

    • IF analysis of α-SMA using anti-α-SMA antibody (BM0002) and anti Anti-PECAM-1/CD31 antibody.
      α-SMA was detected in a paraffin-embedded section of human placenta tissue. Fluoro488 conjugated Anti-mouse IgG Secondary Antibody ((green)(Catalog#BA1126) and Cy3-conjugated Anti-rabbit IgG Secondary Antibody (red)(Catalog#BA1032) were used as secondary antibody. The section was counterstained with DAPI (Catalog # AR1176) (Blue).

    亮暗模式切换
    X
    • (1)

    Anti-A26C2/POTEG Antibody (Clone#OTI2B5)

    货号:M18084-1

    描述:Mouse monoclonal antibody

    检验物种: human

    应用范围: WB

    货期:5-7天

    说明书 一键复制产品信息

    加入购物车
  • Anti-A26C2/POTEG Antibody (Clone#OTI2B5)

    筛选器: All WB

    • HEK293T cells were transfected with the pCMV6-ENTRY control (Left lane) or pCMV6-ENTRY POTEG (Right lane) cDNA for 48 hrs and lysed. Equivalent amounts of cell lysates (5 ug per lane) were separated by SDS-PAGE and immunoblotted with anti-POTEG (1:2000).

    亮暗模式切换
    X
    • (1)

    Anti-A2BP1/RBFOX1 Antibody (Clone#OTI1F2)

    货号:M04462-1

    描述:Mouse monoclonal antibody

    检验物种: human, mouse, rat

    应用范围: WB

    货期:5-7天

    说明书 一键复制产品信息

    加入购物车
  • Anti-A2BP1/RBFOX1 Antibody (Clone#OTI1F2)

    筛选器: All WB

    • HEK293T cells were transfected with the pCMV6-ENTRY control (Left lane) or pCMV6-ENTRY RBFOX1 (Right lane) cDNA for 48 hrs and lysed. Equivalent amounts of cell lysates (5 ug per lane) were separated by SDS-PAGE and immunoblotted with anti-RBFOX1.

    亮暗模式切换
    X
    • (1)

    Anti-AANAT Antibody (Clone#OTI6E1)

    货号:M03784

    描述:Mouse monoclonal antibody

    检验物种: human

    应用范围: WB

    货期:5-7天

    说明书 一键复制产品信息

    加入购物车
  • Anti-AANAT Antibody (Clone#OTI6E1)

    筛选器: All WB

    • HEK293T cells were transfected with the pCMV6-ENTRY control (Left lane) or pCMV6-ENTRY AANAT (Right lane) cDNA for 48 hrs and lysed. Equivalent amounts of cell lysates (5 ug per lane) were separated by SDS-PAGE and immunoblotted with anti-AANAT (1:2000).

    亮暗模式切换
    X
    • (3)

    Anti-ABAT Antibody (Clone#OTI3D2)

    货号:M07133-3

    描述:Mouse monoclonal antibody

    检验物种: human, mouse, rat

    应用范围: WB, IHC

    货期:5-7天

    说明书 一键复制产品信息

    加入购物车
  • Anti-ABAT Antibody (Clone#OTI3D2)

    筛选器: All WB IHC

    • HEK293T cells were transfected with the pCMV6-ENTRY control (Left lane) or pCMV6-ENTRY ABAT (Right lane) cDNA for 48 hrs and lysed. Equivalent amounts of cell lysates (5 ug per lane) were separated by SDS-PAGE and immunoblotted with anti-ABAT.

    • Immunohistochemical staining of paraffin-embedded Carcinoma of Human liver tissue using anti-ABAT mouse monoclonal antibody. (Heat-induced epitope retrieval by 1mM EDTA in 10mM Tris, pH8.5, 120°C for 3min, M07133-3)

    • Immunohistochemical staining of paraffin-embedded Human liver tissue within the normal limits using anti-ABAT mouse monoclonal antibody. (Heat-induced epitope retrieval by 1mM EDTA in 10mM Tris, pH8.5, 120°C for 3min, M07133-3)

    亮暗模式切换
    X
    • (6)

    Anti-ABCF2 Antibody (Clone#OTI8F4)

    货号:M10873

    描述:Mouse monoclonal antibody

    检验物种: human, mouse

    应用范围: WB, IHC

    货期:5-7天

    说明书 一键复制产品信息

    加入购物车
  • Anti-ABCF2 Antibody (Clone#OTI8F4)

    筛选器: All WB IHC

    • Equivalent amounts of cell lysates (10 ug per lane) of wild-type 293T cells (WT) and ABCF2-Knockout 293T cells (KO) were separated by SDS-PAGE and immunoblotted with anti-ABCF2 monoclonal antibody M10873, (1:500). Then the blotted membrane was stripped and reprobed with anti-b-actin antibody ([MA01263]) as a loading control.

    • Immunohistochemical staining of paraffin-embedded Human tonsil within the normal limits using anti-ABCF2 mouse monoclonal antibody. (Heat-induced epitope retrieval by 1mM EDTA in 10mM Tris buffer (pH8.5) at 120°C for 3min, M10873) (1:500)

    • Immunohistochemical staining of paraffin-embedded Human lymphoma tissue using anti-ABCF2 mouse monoclonal antibody. (Heat-induced epitope retrieval by 1mM EDTA in 10mM Tris buffer (pH8.5) at 120°C for 3min, M10873) (1:500)

    • Immunohistochemical staining of paraffin-embedded Human breast tissue within the normal limits using anti-ABCF2 mouse monoclonal antibody. (Heat-induced epitope retrieval by 1mM EDTA in 10mM Tris buffer (pH8.5) at 120°C for 3min, M10873) (1:500)

    • Western blot analysis of extracts (35ug) from 3 different cell lines by using anti-ABCF2 monoclonal antibody (1:500).

    • HEK293T cells were transfected with the pCMV6-ENTRY control (Left lane) or pCMV6-ENTRY ABCF2 (Right lane) cDNA for 48 hrs and lysed. Equivalent amounts of cell lysates (5 ug per lane) were separated by SDS-PAGE and immunoblotted with anti-ABCF2 (Cat# M10873)(1:2000).

    亮暗模式切换
    X
    • (8)

    Anti-ACAA2 Antibody (Clone#OTI1D3)

    货号:M08341-2

    描述:Mouse monoclonal antibody

    检验物种: human, mouse, rat

    应用范围: WB, IHC, ICC/IF

    货期:5-7天

    说明书 一键复制产品信息

    加入购物车
  • Anti-ACAA2 Antibody (Clone#OTI1D3)

    筛选器: All WB IHC ICC/IF

    • HEK293T cells were transfected with the pCMV6-ENTRY control (Left lane) or pCMV6-ENTRY ACAA2 (Right lane) cDNA for 48 hrs and lysed. Equivalent amounts of cell lysates (5 ug per lane) were separated by SDS-PAGE and immunoblotted with anti-ACAA2.

    • Immunohistochemical staining of paraffin-embedded Human liver tissue within the normal limits using anti-ACAA2 mouse monoclonal antibody. (Heat-induced epitope retrieval by 10mM citric buffer, pH6.0, 120°C for 3min, M08341-2)

    • Immunohistochemical staining of paraffin-embedded Carcinoma of Human kidney tissue using anti-ACAA2 mouse monoclonal antibody. (Heat-induced epitope retrieval by 10mM citric buffer, pH6.0, 120°C for 3min, M08341-2)

    • Immunohistochemical staining of paraffin-embedded Human Kidney tissue within the normal limits using anti-ACAA2 mouse monoclonal antibody. (Heat-induced epitope retrieval by 10mM citric buffer, pH6.0, 120°C for 3min, M08341-2)

    • Immunohistochemical staining of paraffin-embedded Carcinoma of Human pancreas tissue using anti-ACAA2 mouse monoclonal antibody. (Heat-induced epitope retrieval by 10mM citric buffer, pH6.0, 120°C for 3min, M08341-2)

    • Immunohistochemical staining of paraffin-embedded Adenocarcinoma of Human ovary tissue using anti-ACAA2 mouse monoclonal antibody. (Heat-induced epitope retrieval by 10mM citric buffer, pH6.0, 120°C for 3min, M08341-2)

    • Immunofluorescent staining of HeLa cells using anti-ACAA2 mouse monoclonal antibody.

    • Anti-ACAA2 mouse monoclonal antibody immunofluorescent staining of COS7 cells transiently transfected by pCMV6-ENTRY ACAA2 .

    亮暗模式切换
    X
    • (8)

    Anti-ACADM Antibody (Clone#OTI2G7)

    货号:M02383-1

    描述:Mouse monoclonal antibody

    检验物种: human, mouse, rat

    应用范围: WB, IHC

    货期:5-7天

    说明书 一键复制产品信息

    加入购物车
  • Anti-ACADM Antibody (Clone#OTI2G7)

    筛选器: All WB IHC

    • HEK293T cells were transfected with the pCMV6-ENTRY control (Left lane) or pCMV6-ENTRY ACADM (Right lane) cDNA for 48 hrs and lysed. Equivalent amounts of cell lysates (5 ug per lane) were separated by SDS-PAGE and immunoblotted with anti-ACADM (Cat# M02383-1)(1:2000).

    • Immunohistochemical staining of paraffin-embedded Human liver tissue within the normal limits using anti-ACADM mouse monoclonal antibody. (Heat-induced epitope retrieval by 1mM EDTA in 10mM Tris buffer (pH8.5) at 120°C for 3min, M02383-1) (1:500)

    • Immunohistochemical staining of paraffin-embedded Human Kidney tissue within the normal limits using anti-ACADM mouse monoclonal antibody. (Heat-induced epitope retrieval by 1mM EDTA in 10mM Tris buffer (pH8.5) at 120°C for 3min, M02383-1) (1:500)

    • Immunohistochemical staining of paraffin-embedded Human tonsil within the normal limits using anti-ACADM mouse monoclonal antibody. (Heat-induced epitope retrieval by 1mM EDTA in 10mM Tris buffer (pH8.5) at 120°C for 3min, M02383-1) (1:500)

    • Immunohistochemical staining of paraffin-embedded Adenocarcinoma of Human breast tissue tissue using anti-ACADM mouse monoclonal antibody. (Heat-induced epitope retrieval by 1mM EDTA in 10mM Tris buffer (pH8.5) at 120°C for 3min, M02383-1) (1:500)

    • Immunohistochemical staining of paraffin-embedded Human spleen tissue within the normal limits using anti-ACADM mouse monoclonal antibody. (Heat-induced epitope retrieval by 1mM EDTA in 10mM Tris buffer (pH8.5) at 120°C for 3min, M02383-1) (1:500)

    • Immunohistochemical staining of paraffin-embedded Carcinoma of Human prostate tissue using anti-ACADM mouse monoclonal antibody. (Heat-induced epitope retrieval by 1mM EDTA in 10mM Tris buffer (pH8.5) at 120°C for 3min, M02383-1) (1:500)

    • Immunohistochemical staining of paraffin-embedded Human gastric tissue within the normal limits using anti-ACADM mouse monoclonal antibody. (Heat-induced epitope retrieval by 1mM EDTA in 10mM Tris buffer (pH8.5) at 120°C for 3min, M02383-1) (1:500)

    亮暗模式切换
    X
    • (7)

    Anti-ACAT2 Antibody (Clone#OTI3A11)

    货号:M03245-3

    描述:Mouse monoclonal antibody

    检验物种: human, mouse, rat

    应用范围: WB, IHC, ICC/IF, FCM

    货期:5-7天

    说明书 一键复制产品信息

    加入购物车
  • Anti-ACAT2 Antibody (Clone#OTI3A11)

    筛选器: All WB IHC ICC/IF FCM

    • Western blot analysis of anti-ACAT2 antibody (M03245-3). The sample well of each lane was loaded with 30 ug of sample under reducing conditions.
      Lane 1: human HepG2 whole cell lysates,
      Lane 2: human Hela whole cell lysates,
      Lane 3: human HT-29 whole cell lysates,
      Lane 4: human A549 whole cell lysates,
      Lane 5: human Jurkat whole cell lysates,
      Lane 6: human MCF-7 whole cell lysates.
      After electrophoresis, proteins were transferred to a membrane. Then the membrane was incubated with mouse anti-ACAT2 antigen affinity purified monoclonal antibody (M03245-3) at a dilution of 1:1000 and probed with a goat anti-mouse IgG-HRP secondary antibody (Catalog # BA1050). The signal is developed using ECL Plus Western Blotting Substrate (Catalog # AR1197). A specific band was detected for ACAT2 at approximately 41 kDa. The expected band size for ACAT2 is at 41 kDa.

    • Immunohistochemical staining of paraffin-embedded Human prostate tissue within the normal limits using anti-ACAT2 mouse monoclonal antibody. (Heat-induced epitope retrieval by 10mM citric buffer, pH6.0, 100°C for 10min, M03245-3, Dilution 1:50)

    • Immunohistochemical staining of paraffin-embedded Human Kidney tissue within the normal limits using anti-ACAT2 mouse monoclonal antibody. (Heat-induced epitope retrieval by 10mM citric buffer, pH6.0, 100°C for 10min, M03245-3, Dilution 1:50)

    • Immunohistochemical staining of paraffin-embedded Adenocarcinoma of Human ovary tissue using anti-ACAT2 mouse monoclonal antibody. (Heat-induced epitope retrieval by 10mM citric buffer, pH6.0, 100°C for 10min, M03245-3, Dilution 1:50)

    • Immunofluorescent staining of HT29 cells using anti-ACAT2 mouse monoclonal antibody.

    • Anti-ACAT2 mouse monoclonal antibody immunofluorescent staining of COS7 cells transiently transfected by pCMV6-ENTRY ACAT2 .

    • HEK293T cells transfected with either overexpress plasmid (Red) or empty vector control plasmid (Blue) were immunostained by anti-ACAT2 antibody, and then analyzed by flow cytometry.

    亮暗模式切换
    X
    • (14)

    Anti-ACBD3 Antibody (Clone#OTI1G2)

    货号:M05645

    描述:Mouse monoclonal antibody

    检验物种: human, mouse, rat, dog, monkey

    应用范围: WB, IHC, FCM

    货期:3-4周

    说明书 一键复制产品信息

    加入购物车
  • Anti-ACBD3 Antibody (Clone#OTI1G2)

    筛选器: All WB IHC FCM

    • HEK293T cells were transfected with the pCMV6-ENTRY control (Left lane) or pCMV6-ENTRY ACBD3 (Right lane) cDNA for 48 hrs and lysed. Equivalent amounts of cell lysates (5 ug per lane) were separated by SDS-PAGE and immunoblotted with anti-ACBD3.

    • Western blot analysis of extracts (35ug) from 9 different cell lines by usin g anti-ACBD3 monoclonal antibody (HepG2: human; HeLa: human; SVT2: mouse; A549: human; COS7: monkey; Jurkat: human; MDCK: canine; PC12: rat; MCF7: human).

    • Immunohistochemical staining of paraffin-embedded Carcinoma of Human lung tissue using anti-ACBD3 mouse monoclonal antibody. (Heat-induced epitope retrieval by 10mM citric buffer

    • Immunohistochemical staining of paraffin-embedded Adenocarcinoma of Human ovary tissue using anti-ACBD3 mouse monoclonal antibody. (Heat-induced epitope retrieval by 10mM citric buffer

    • Immunohistochemical staining of paraffin-embedded Human pancreas tissue within the normal limits using anti-ACBD3 mouse monoclonal antibody. (Heat-induced epitope retrieval by 10mM citric buffer

    • Immunohistochemical staining of paraffin-embedded Human endometrium tissue within the normal limits using anti-ACBD3 mouse monoclonal antibody. (Heat-induced epitope retrieval by 10mM citric buffer

    • Immunohistochemical staining of paraffin-embedded Adenocarcinoma of Human endometrium tissue using anti-ACBD3 mouse monoclonal antibody. (Heat-induced epitope retrieval by 10mM citric buffer

    • Immunohistochemical staining of paraffin-embedded Human prostate tissue within the normal limits using anti-ACBD3 mouse monoclonal antibody. (Heat-induced epitope retrieval by 10mM citric buffer

    • Immunohistochemical staining of paraffin-embedded Human breast tissue within the normal limits using anti-ACBD3 mouse monoclonal antibody. (Heat-induced epitope retrieval by 10mM citric buffer

    • Immunohistochemical staining of paraffin-embedded Adenocarcinoma of Human breast tissue using anti-ACBD3 mouse monoclonal antibody. (Heat-induced epitope retrieval by 10mM citric buffer

    • Immunohistochemical staining of paraffin-embedded Human colon tissue within the normal limits using anti-ACBD3 mouse monoclonal antibody. (Heat-induced epitope retrieval by 10mM citric buffer

    • Immunohistochemical staining of paraffin-embedded Human Kidney tissue within the normal limits using anti-ACBD3 mouse monoclonal antibody. (Heat-induced epitope retrieval by 10mM citric buffer

    • Immunohistochemical staining of paraffin-embedded Human liver tissue within the normal limits using anti-ACBD3 mouse monoclonal antibody. (Heat-induced epitope retrieval by 10mM citric buffer

    • HEK293T cells transfected with either ACBD3 (Myc-DDK-tagged) overexpress plasmid (Red) or empty vector control plasmid (Blue) were immunostained by anti-ACBD3 antibody (M05645)

    亮暗模式切换
    X
    • (3)

    Anti-ACE2 Antibody (Clone#OTI4C5)

    货号:MA00756

    描述:Mouse monoclonal antibody

    检验物种: human

    应用范围: WB, IHC

    货期:5-7天

    说明书 文献数量(1) 一键复制产品信息

    加入购物车
  • Anti-ACE2 Antibody (Clone#OTI4C5)

    筛选器: All WB IHC

    • HEK293T cells were transfected with the pCMV6-ENTRY control (Left lane) or pCMV6-ENTRY ACE2 (Right lane) cDNA for 48 hrs and lysed. Equivalent amounts of cell lysates (5 ug per lane) were separated by SDS-PAGE and immunoblotted with anti-ACE2 (MA00756). (1:500)

    • IHC analysis of ACE2 using anti-ACE2 antibody (MA00756).
      ACE2 was detected in a paraffin-embedded section of human renal cancer tissue. The tissue section was incubated with mouse anti-ACE2 Antibody (MA00756) at a dilution of 1:200 and developed using HRP Conjugated mouse IgG Super Vision Assay Kit (Catalog # SV0001) with DAB (Catalog # AR1027) as the chromogen.

    亮暗模式切换
    X
    • (2)

    Anti-Acetyl CoA synthetase/ACSS2 Antibody (Clone#OTI3A8)

    货号:M02809-2

    描述:Mouse monoclonal antibody

    检验物种: human, mouse, rat

    应用范围: IHC, WB

    货期:5-7天

    说明书 一键复制产品信息

    加入购物车
  • Anti-Acetyl CoA synthetase/ACSS2 Antibody (Clone#OTI3A8)

    筛选器: All IHC WB

    • Immunohistochemical staining of paraffin-embedded Human tonsil within the normal limits using anti-ACSS2 mouse monoclonal antibody. (Heat-induced epitope retrieval by 10mM citric buffer, pH6.0, 100°C for 10min, M02809-2)

    • HEK293T cells were transfected with the pCMV6-ENTRY control (Left lane) or pCMV6-ENTRY ACSS2 (Right lane) cDNA for 48 hrs and lysed. Equivalent amounts of cell lysates (5 ug per lane) were separated by SDS-PAGE and immunoblotted with anti-ACSS2.

    亮暗模式切换
    X
    • (1)

    Anti-Acetyl-Alpha Tubulin/TUBA1B (Lys40) Antibody (Clone#OTI3H2)

    货号:M08382-5

    描述:Mouse monoclonal antibody

    检验物种: human, mouse

    应用范围: WB

    货期:5-7天

    说明书 一键复制产品信息

    加入购物车
  • Anti-Acetyl-Alpha Tubulin/TUBA1B (Lys40) Antibody (Clone#OTI3H2)

    筛选器: All WB

    • HEK293T cells were transfected with the pCMV6-ENTRY control (Left lane) or pCMV6-ENTRY TUBA1B (Right lane) cDNA for 48 hrs and lysed. Equivalent amounts of cell lysates (5 ug per lane) were separated by SDS-PAGE and immunoblotted with anti-TUBA1B.

    亮暗模式切换
    X
    • (4)

    Anti-Acetylated Lysine Antibody

    货号:M34043

    描述:Mouse monoclonal antibody

    检验物种: All species

    应用范围: WB, IHC, ICC/IF, IP

    货期:现货

    说明书 一键复制产品信息

    加入购物车
  • Anti-Acetylated Lysine Antibody

    筛选器: All WB IHC ICC/IF IP

    亮暗模式切换
    X
    • (8)

    Anti-ACLY Antibody (Clone#5I2)

    货号:M02372-1

    描述:Mouse monoclonal antibody

    检验物种: human, mouse, rat

    应用范围: WB, IHC, FCM, ICC/IF

    货期:现货

    说明书 一键复制产品信息

    加入购物车
  • Anti-ACLY Antibody (Clone#5I2)

    筛选器: All WB IHC FCM ICC/IF

    • Western blot analysis of ACLY using anti-ACLY antibody (M02372-1). The sample well of each lane was loaded with 30 ug of sample under reducing conditions.
      Lane 1: Human placenta tissue lysates,
      Lane 2: U-87MG whole cell lysates,
      Lane 3: HEK293 whole cell lysates,
      Lane 4: Caco-2 whole cell lysates,
      Lane 5: HL-60 whole cell lysates,
      Lane 6: Raji whole cell lysates,
      Lane 7: THP-1 whole cell lysates,
      Lane 8: PANC-1 whole cell lysates.
      After electrophoresis, proteins were transferred to a membrane. Then the membrane was incubated with mouse anti-ACLY antigen affinity purified monoclonal antibody (M02372-1) at a dilution of 1:1000 and probed with a goat anti-mouse IgG-HRP secondary antibody (Catalog # BA1050). The signal is developed using ECL Plus Western Blotting Substrate (Catalog # AR1197). A specific band was detected for ACLY at approximately 121 kDa. The expected band size for ACLY is at 121 kDa.

    • Western blot analysis of ACLY using anti-ACLY antibody (M02372-1). The sample well of each lane was loaded with 30 ug of sample under reducing conditions.
      Lane 1: Rat lung tissue lysates,
      Lane 2: Rat testicular tissue lysates,
      Lane 3: Rat kidney tissue lysates,
      Lane 4: Rat brain tissue lysates,
      Lane 5: Mouse lung tissue lysates,
      Lane 6: Mouse testicular tissue lysates,
      Lane 7: Mouse kidney tissue lysates.
      After electrophoresis, proteins were transferred to a membrane. Then the membrane was incubated with mouse anti-ACLY antigen affinity purified monoclonal antibody (M02372-1) at a dilution of 1:1000 and probed with a goat anti-mouse IgG-HRP secondary antibody (Catalog # BA1050). The signal is developed using ECL Plus Western Blotting Substrate (Catalog # AR1197). A specific band was detected for ACLY at approximately 121 kDa. The expected band size for ACLY is at 121 kDa.

    • IHC analysis of ACLY using anti-ACLY antibody (M02372-1).
      ACLY was detected in a paraffin-embedded section of human pancreatic cancer tissue. Biotinylated goat anti-mouse IgG was used as secondary antibody. The tissue section was incubated with mouse anti-ACLY Antibody (M02372-1) at a dilution of 1:200 and developed using Strepavidin-Biotin-Complex (SABC) (Catalog # SA1021) with DAB (Catalog # AR1027) as the chromogen.

    • IHC analysis of ACLY using anti-ACLY antibody (M02372-1).
      ACLY was detected in a paraffin-embedded section of human testis cancer tissue. Biotinylated goat anti-mouse IgG was used as secondary antibody. The tissue section was incubated with mouse anti-ACLY Antibody (M02372-1) at a dilution of 1:200 and developed using Strepavidin-Biotin-Complex (SABC) (Catalog # SA1021) with DAB (Catalog # AR1027) as the chromogen.

    • IHC analysis of ACLY using anti-ACLY antibody (M02372-1).
      ACLY was detected in a paraffin-embedded section of mouse pancreas tissue. Biotinylated goat anti-mouse IgG was used as secondary antibody. The tissue section was incubated with mouse anti-ACLY Antibody (M02372-1) at a dilution of 1:200 and developed using Strepavidin-Biotin-Complex (SABC) (Catalog # SA1021) with DAB (Catalog # AR1027) as the chromogen.

    • IHC analysis of ACLY using anti-ACLY antibody (M02372-1).
      ACLY was detected in a paraffin-embedded section of rat pancreas tissue. Biotinylated goat anti-mouse IgG was used as secondary antibody. The tissue section was incubated with mouse anti-ACLY Antibody (M02372-1) at a dilution of 1:200 and developed using Strepavidin-Biotin-Complex (SABC) (Catalog # SA1021) with DAB (Catalog # AR1027) as the chromogen.

    • Flow cytometry analysis of A549 cell(1:100) Fluoro 488 conjugated goat anti-mouse IgG(blue) was used as secondary antibody. Isotype control antibody (Green line) was mouse IgG Fluoro 488. Unlabelled sample (Red line).

    • ICC/IF analysis of ACLY using anti-ACLY antibody (M02372-1).
      ACLY was detected in an immunocytochemical section of MCF-7 cells. The section was incubated with mouse anti-ACLY Antibody (M02372-1) at a dilution of 1:100. Fluoro488-conjugated Anti-mouse IgG Secondary Antibody (green)(Catalog#BA1126) was used as secondary antibody. The section was counterstained with DAPI (Catalog # AR1176) (Blue).

    亮暗模式切换
    X
    • (19)

    Anti-ACLY Antibody (Clone#OTI3G8)

    货号:M02372-2

    描述:Mouse monoclonal antibody

    检验物种: human, mouse, rat

    应用范围: WB, IHC, ICC/IF

    货期:5-7天

    说明书 一键复制产品信息

    加入购物车
  • Anti-ACLY Antibody (Clone#OTI3G8)

    筛选器: All WB IHC ICC/IF

    • Western blot analysis of extracts (10ug) from 6 different cell lines by using anti-ACLY monoclonal antibody (1:200).

    • HEK293T cells were transfected with the pCMV6-ENTRY control (Left lane) or pCMV6-ENTRY ACLY (Right lane) cDNA for 48 hrs and lysed. Equivalent amounts of cell lysates (5 ug per lane) were separated by SDS-PAGE and immunoblotted with anti-ACLY(Cat# M02372-2).

    • Immunohistochemical staining of paraffin-embedded Carcinoma of pancreas tissue using anti-ACLY mouse monoclonal antibody. (Heat-induced epitope retrieval by 10mM citric buffer, pH6.0, 100°C for 10min, M02372-2, Dilution 1:50)

    • Immunohistochemical staining of paraffin-embedded lung tissue within the normal limits using anti-ACLY mouse monoclonal antibody. (Heat-induced epitope retrieval by 10mM citric buffer, pH6.0, 100°C for 10min, M02372-2, Dilution 1:50)

    • Immunohistochemical staining of paraffin-embedded Kidney tissue within the normal limits using anti-ACLY mouse monoclonal antibody. (Heat-induced epitope retrieval by 10mM citric buffer, pH6.0, 100°C for 10min, M02372-2, Dilution 1:50)

    • Immunohistochemical staining of paraffin-embedded Adenocarcinoma of colon tissue using anti-ACLY mouse monoclonal antibody. (Heat-induced epitope retrieval by 10mM citric buffer, pH6.0, 100°C for 10min, M02372-2, Dilution 1:50)

    • Immunohistochemical staining of paraffin-embedded Carcinoma of thyroid tissue using anti-ACLY mouse monoclonal antibody. (Heat-induced epitope retrieval by 10mM citric buffer, pH6.0, 100°C for 10min, M02372-2, Dilution 1:50)

    • Immunohistochemical staining of paraffin-embedded bladder tissue within the normal limits using anti-ACLY mouse monoclonal antibody. (Heat-induced epitope retrieval by 10mM citric buffer, pH6.0, 100°C for 10min, M02372-2, Dilution 1:50)

    • Immunohistochemical staining of paraffin-embedded liver tissue within the normal limits using anti-ACLY mouse monoclonal antibody. (Heat-induced epitope retrieval by 10mM citric buffer, pH6.0, 100°C for 10min, M02372-2, Dilution 1:50)

    • Immunohistochemical staining of paraffin-embedded Adenocarcinoma of ovary tissue using anti-ACLY mouse monoclonal antibody. (Heat-induced epitope retrieval by 10mM citric buffer, pH6.0, 100°C for 10min, M02372-2, Dilution 1:50)

    • Immunohistochemical staining of paraffin-embedded Carcinoma of prostate tissue using anti-ACLY mouse monoclonal antibody. (Heat-induced epitope retrieval by 10mM citric buffer, pH6.0, 100°C for 10min, M02372-2, Dilution 1:50)

    • Immunohistochemical staining of paraffin-embedded colon tissue within the normal limits using anti-ACLY mouse monoclonal antibody. (Heat-induced epitope retrieval by 10mM citric buffer, pH6.0, 100°C for 10min, M02372-2, Dilution 1:50)

    • Immunohistochemical staining of paraffin-embedded Adenocarcinoma of endometrium tissue using anti-ACLY mouse monoclonal antibody. (Heat-induced epitope retrieval by 10mM citric buffer, pH6.0, 100°C for 10min, M02372-2, Dilution 1:50)

    • Immunohistochemical staining of paraffin-embedded Adenocarcinoma of breast tissue using anti-ACLY mouse monoclonal antibody. (Heat-induced epitope retrieval by 10mM citric buffer, pH6.0, 100°C for 10min, M02372-2, Dilution 1:50)

    • Immunohistochemical staining of paraffin-embedded endometrium tissue within the normal limits using anti-ACLY mouse monoclonal antibody. (Heat-induced epitope retrieval by 10mM citric buffer, pH6.0, 100°C for 10min, M02372-2, Dilution 1:50)

    • Immunohistochemical staining of paraffin-embedded pancreas tissue within the normal limits using anti-ACLY mouse monoclonal antibody. (Heat-induced epitope retrieval by 10mM citric buffer, pH6.0, 100°C for 10min, M02372-2, Dilution 1:50)

    • Immunohistochemical staining of paraffin-embedded Carcinoma of liver tissue using anti-ACLY mouse monoclonal antibody. (Heat-induced epitope retrieval by 10mM citric buffer, pH6.0, 100°C for 10min, M02372-2, Dilution 1:50)

    • Immunohistochemical staining of paraffin-embedded prostate tissue within the normal limits using anti-ACLY mouse monoclonal antibody. (Heat-induced epitope retrieval by 10mM citric buffer, pH6.0, 100°C for 10min, M02372-2, Dilution 1:50)

    • Anti-ACLY mouse monoclonal antibody immunofluorescent staining of COS7 cells transiently transfected by pCMV6-ENTRY ACLY .

    亮暗模式切换
    X
    • (8)

    Anti-Aconitase 2/ACO2 Antibody (Clone#4C12D1)

    货号:M03096-3

    描述:Mouse monoclonal antibody

    检验物种: human, mouse, rat

    应用范围: WB, IHC

    货期:现货

    说明书 一键复制产品信息

    加入购物车
  • Anti-Aconitase 2/ACO2 Antibody (Clone#4C12D1)

    筛选器: All WB IHC

    • Western blot analysis of Aconitase 2/ACO2 using anti-Aconitase 2/ACO2 antibody (M03096-3). The sample well of each lane was loaded with 30 ug of sample under reducing conditions.
      Lane 1: Hela whole cell lysates,
      Lane 2: U-87MG whole cell lysates,
      Lane 3: Jurkat whole cell lysates,
      Lane 4: SH-SY5Y whole cell lysates,
      Lane 5: rat skeletal muscle tissue lysates,
      Lane 6: rat brain tissue lysates,
      Lane 7: mouse skeletal muscle tissue lysates,
      Lane 8: mouse brain tissue lysates.
      After electrophoresis, proteins were transferred to a membrane. Then the membrane was incubated with mouse anti-Aconitase 2/ACO2 antigen affinity purified monoclonal antibody (M03096-3) at a dilution of 1:1000 and probed with a goat anti-mouse IgG-HRP secondary antibody (Catalog # BA1050). The signal is developed using ECL Plus Western Blotting Substrate (Catalog # AR1197). A specific band was detected for Aconitase 2/ACO2 at approximately 85 kDa. The expected band size for Aconitase 2/ACO2 is at 85 kDa.

    • IHC analysis of Aconitase 2/ACO2 using anti-Aconitase 2/ACO2 antibody (M03096-3).
      Aconitase 2/ACO2 was detected in a paraffin-embedded section of human breast cancer tissue. Biotinylated goat anti-mouse IgG was used as secondary antibody. The tissue section was incubated with mouse anti-Aconitase 2/ACO2 Antibody (M03096-3) at a dilution of 1:200 and developed using Strepavidin-Biotin-Complex (SABC) (Catalog # SA1021) with DAB (Catalog # AR1027) as the chromogen.

    • IHC analysis of Aconitase 2/ACO2 using anti-Aconitase 2/ACO2 antibody (M03096-3).
      Aconitase 2/ACO2 was detected in a paraffin-embedded section of human hepatocellular carcinoma tissue. Biotinylated goat anti-mouse IgG was used as secondary antibody. The tissue section was incubated with mouse anti-Aconitase 2/ACO2 Antibody (M03096-3) at a dilution of 1:200 and developed using Strepavidin-Biotin-Complex (SABC) (Catalog # SA1021) with DAB (Catalog # AR1027) as the chromogen.

    • IHC analysis of Aconitase 2/ACO2 using anti-Aconitase 2/ACO2 antibody (M03096-3).
      Aconitase 2/ACO2 was detected in a paraffin-embedded section of human laryngeal squamous cell carcinoma tissue. Biotinylated goat anti-mouse IgG was used as secondary antibody. The tissue section was incubated with mouse anti-Aconitase 2/ACO2 Antibody (M03096-3) at a dilution of 1:200 and developed using Strepavidin-Biotin-Complex (SABC) (Catalog # SA1021) with DAB (Catalog # AR1027) as the chromogen.

    • IHC analysis of Aconitase 2/ACO2 using anti-Aconitase 2/ACO2 antibody (M03096-3).
      Aconitase 2/ACO2 was detected in a paraffin-embedded section of human Lung adenocarcinoma tissue. Biotinylated goat anti-mouse IgG was used as secondary antibody. The tissue section was incubated with mouse anti-Aconitase 2/ACO2 Antibody (M03096-3) at a dilution of 1:200 and developed using Strepavidin-Biotin-Complex (SABC) (Catalog # SA1021) with DAB (Catalog # AR1027) as the chromogen.

    • IHC analysis of Aconitase 2/ACO2 using anti-Aconitase 2/ACO2 antibody (M03096-3).
      Aconitase 2/ACO2 was detected in a paraffin-embedded section of human testicular germ cell tumors tissue. Biotinylated goat anti-mouse IgG was used as secondary antibody. The tissue section was incubated with mouse anti-Aconitase 2/ACO2 Antibody (M03096-3) at a dilution of 1:200 and developed using Strepavidin-Biotin-Complex (SABC) (Catalog # SA1021) with DAB (Catalog # AR1027) as the chromogen.

    • IHC analysis of Aconitase 2/ACO2 using anti-Aconitase 2/ACO2 antibody (M03096-3).
      Aconitase 2/ACO2 was detected in a paraffin-embedded section of rat heart tissue. Biotinylated goat anti-mouse IgG was used as secondary antibody. The tissue section was incubated with mouse anti-Aconitase 2/ACO2 Antibody (M03096-3) at a dilution of 1:200 and developed using Strepavidin-Biotin-Complex (SABC) (Catalog # SA1021) with DAB (Catalog # AR1027) as the chromogen.

    • IHC analysis of Aconitase 2/ACO2 using anti-Aconitase 2/ACO2 antibody (M03096-3).
      Aconitase 2/ACO2 was detected in a paraffin-embedded section of mouse heart tissue. Biotinylated goat anti-mouse IgG was used as secondary antibody. The tissue section was incubated with mouse anti-Aconitase 2/ACO2 Antibody (M03096-3) at a dilution of 1:200 and developed using Strepavidin-Biotin-Complex (SABC) (Catalog # SA1021) with DAB (Catalog # AR1027) as the chromogen.

    亮暗模式切换
    X
    • (7)

    Anti-Aconitase 2/ACO2 Antibody (Clone#OTI3G8)

    货号:M03096

    描述:Mouse monoclonal antibody

    检验物种: human, mouse, rat

    应用范围: IHC, ICC/IF, WB

    货期:5-7天

    说明书 一键复制产品信息

    加入购物车
  • Anti-Aconitase 2/ACO2 Antibody (Clone#OTI3G8)

    筛选器: All IHC ICC/IF WB

    • Immunohistochemical staining of paraffin-embedded Ovary tissue within the normal limits using anti-ACO2mouse monoclonal antibody. (Heat-induced epitope retrieval by 10mM citric buffer, pH6.0, 100°C for 10min, M03096, Dilution 1:50)

    • Immunohistochemical staining of paraffin-embedded Kidney tissue within the normal limits using anti-ACO2mouse monoclonal antibody. (Heat-induced epitope retrieval by 10mM citric buffer, pH6.0, 100°C for 10min, M03096, Dilution 1:50)

    • Anti-ACO2 mouse monoclonal antibody immunofluorescent staining of COS7 cells transiently transfected by pCMV6-ENTRY ACO2 .

    • Immunohistochemical staining of paraffin-embedded Adenocarcinoma of breast tissue using anti-ACO2 mouse monoclonal antibody. (Heat-induced epitope retrieval by 10mM citric buffer, pH6.0, 100°C for 10min, M03096, Dilution 1:50)

    • Western blot analysis of extracts (10ug) from 10 Human tissue by using anti-ACO2 monoclonal antibody at 1:200 (1: Testis; 2: Omentum; 3: Uterus; 4: Breast; 5: Brain; 6: Liver; 7: Ovary; 8: Thyroid gland; 9: colon;10: spleen).

    • Immunofluorescent staining of HepG2 cells using anti-ACO2 mouse monoclonal antibody.

    • HEK293T cells were transfected with the pCMV6-ENTRY control (Left lane) or pCMV6-ENTRY ACO2 (Right lane) cDNA for 48 hrs and lysed. Equivalent amounts of cell lysates (5 ug per lane) were separated by SDS-PAGE and immunoblotted with anti-ACO2(Cat# M03096).

    亮暗模式切换
    X
    • (9)

    Anti-ACOT12 Antibody (Clone#OTI1A11)

    货号:MA11589

    描述:Mouse monoclonal antibody

    检验物种: human

    应用范围: WB, IHC, FCM

    货期:5-7天

    说明书 一键复制产品信息

    加入购物车
  • Anti-ACOT12 Antibody (Clone#OTI1A11)

    • Immunohistochemical staining of paraffin-embedded Human liver tissue within the normal limits using anti-ACOT12 mouse monoclonal antibody. (Heat-induced epitope retrieval by 10mM citric buffer, pH6.0, 100°C for 10min, MA11589)

    • Immunohistochemical staining of paraffin-embedded Adenocarcinoma of Human endometrium tissue using anti-ACOT12 mouse monoclonal antibody. (Heat-induced epitope retrieval by 10mM citric buffer, pH6.0, 100°C for 10min, MA11589)

    • Immunohistochemical staining of paraffin-embedded Human endometrium tissue within the normal limits using anti-ACOT12 mouse monoclonal antibody. (Heat-induced epitope retrieval by 10mM citric buffer, pH6.0, 100°C for 10min, MA11589)

    • HEK293T cells transfected with either overexpress plasmid (Red) or empty vector control plasmid (Blue) were immunostained by anti-ACOT12 antibody, and then analyzed by flow cytometry.

    • Flow cytometric Analysis of Hela cells, using anti-ACOT12 antibody, (Red), compared to a nonspecific negative control antibody, (Blue).

    • Immunohistochemical staining of paraffin-embedded Human pancreas tissue within the normal limits using anti-ACOT12 mouse monoclonal antibody. (Heat-induced epitope retrieval by 10mM citric buffer, pH6.0, 100°C for 10min, MA11589)

    • Immunohistochemical staining of paraffin-embedded Carcinoma of Human bladder tissue using anti-ACOT12 mouse monoclonal antibody. (Heat-induced epitope retrieval by 10mM citric buffer, pH6.0, 100°C for 10min, MA11589)

    • Immunohistochemical staining of paraffin-embedded Carcinoma of Human lung tissue using anti-ACOT12 mouse monoclonal antibody. (Heat-induced epitope retrieval by 10mM citric buffer, pH6.0, 100°C for 10min, MA11589)

    • HEK293T cells were transfected with the pCMV6-ENTRY control (Left lane) or pCMV6-ENTRY ACOT12 (Right lane) cDNA for 48 hrs and lysed. Equivalent amounts of cell lysates (5 ug per lane) were separated by SDS-PAGE and immunoblotted with anti-ACOT12(Cat# MA11589).

    亮暗模式切换
    X
查看更多

成功添加到购物车

查看购物车 继续购物

在线
客服

在线客服
服务时间:08:30 - 17:30

点击下列客服在线咨询:

服务热线

服务
热线

客服服务热线

027-67845390
客服服务热线

扫码

扫码
咨询

微信二维码 微信扫一扫立即咨询
返回顶部 顶部