| Western blot (WB): | 1:500-2000 |
| Immunohistochemistry (IHC): | 1:1000-5000 |
| Immunofluorescence (IF): | 1:1000-5000 |
| (Boiling the paraffin sections in 10mM citrate buffer,pH6.0,or PH8.0 EDTA repair liquid for 20 mins is required for the staining of formalin/paraffin sections.) Optimal working dilutions must be determined by end user. | |

Western blot analysis of anti-α-SMA antibody (BM0002). The sample well of each lane was loaded with 30 ug of sample under reducing conditions.
Lane 1: human placenta tissue lysates,
Lane 2: rat stomach tissue lysates,
Lane 3: mouse stomach tissue lysates.
After electrophoresis, proteins were transferred to a membrane. Then the membrane was incubated with mouse anti-α-SMA antigen affinity purified polyclonal antibody (BM0002) and probed with a goat anti-mouse IgG-HRP secondary antibody (Catalog # BA1050). The signal is developed using ECL Plus Western Blotting Substrate (Catalog # AR1197). A specific band was detected for α-SMA at approximately 42 kDa. The expected band size for α-SMA is at 42 kDa.

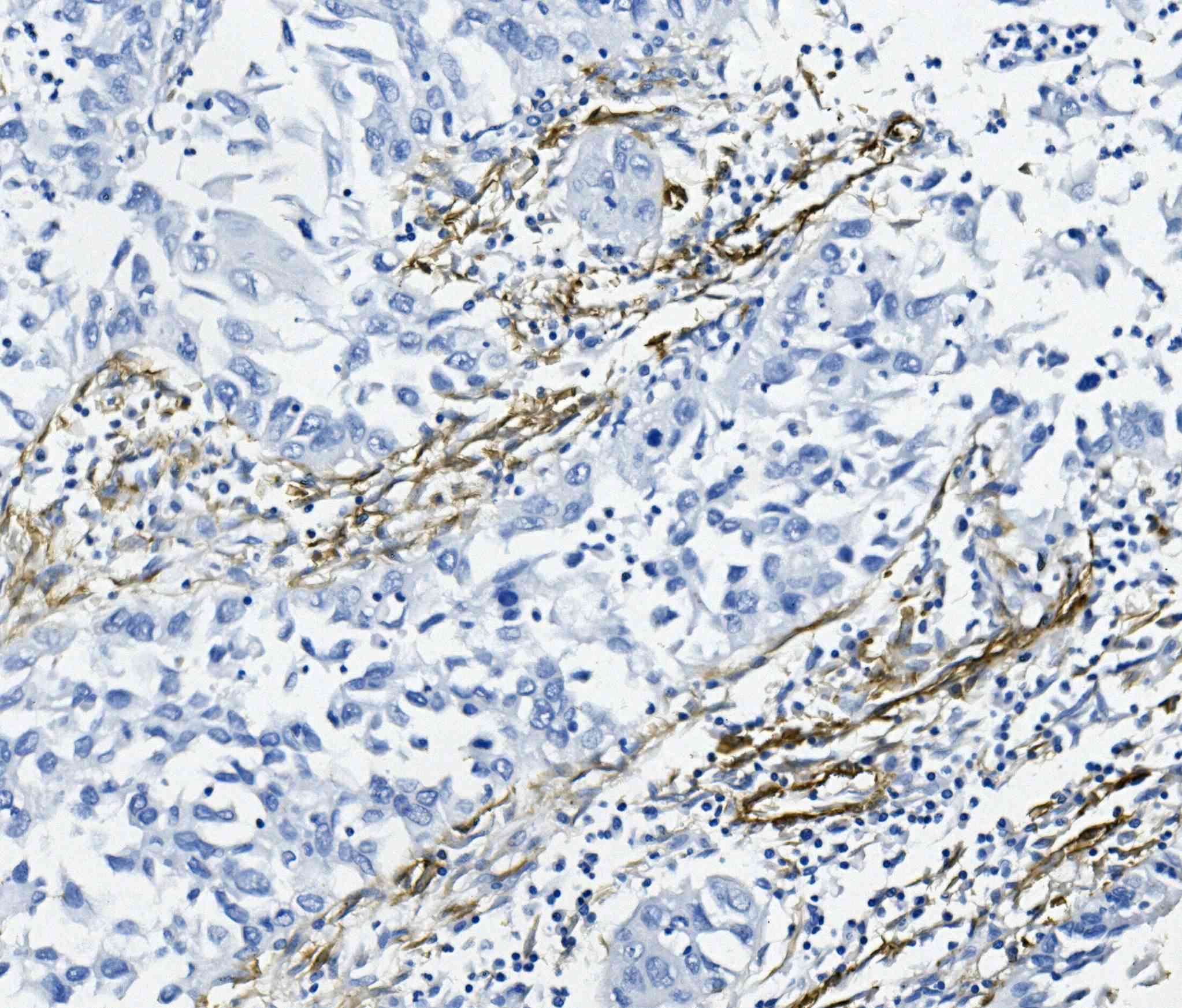
IHC analysis of α-SMA using anti-α-SMA antibody (BM0002).
α-SMA was detected in a paraffin-embedded section of human lung cancer tissue. The tissue section was developed using HRP Conjugated Mouse IgG Super Vision Assay Kit (Catalog # SV0001) with DAB (Catalog # AR1027) as the chromogen.

IHC analysis of α-SMA using anti-α-SMA antibody (BM0002).
α-SMA was detected in a paraffin-embedded section of human oesophagus squama cancer tissue. The tissue section was developed using HRP Conjugated Mouse IgG Super Vision Assay Kit (Catalog # SV0001) with DAB (Catalog # AR1027) as the chromogen.

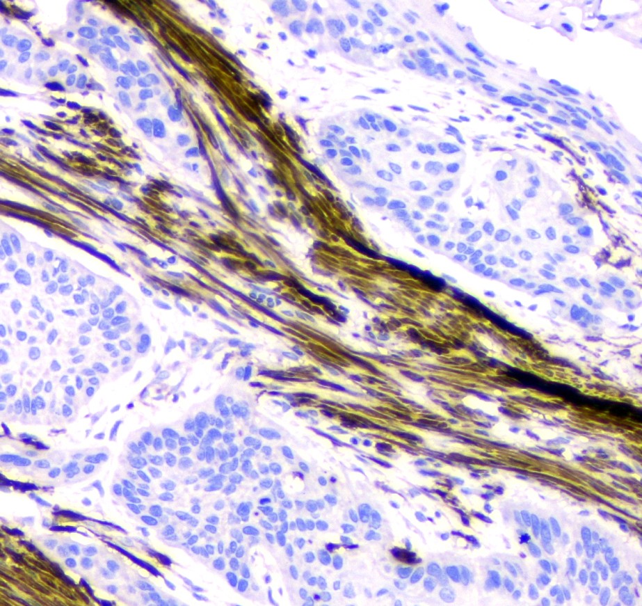
IHC analysis of α-SMA using anti-α-SMA antibody (BM0002).
α-SMA was detected in a paraffin-embedded section of human tonsil tissue. The tissue section was developed using HRP Conjugated Mouse IgG Super Vision Assay Kit (Catalog # SV0001) with DAB (Catalog # AR1027) as the chromogen.

IHC analysis of α-SMA using anti-α-SMA antibody (BM0002).
α-SMA was detected in a paraffin-embedded section of human endometrial carcinoma tissue. The tissue section was developed using HRP Conjugated Mouse IgG Super Vision Assay Kit (Catalog # SV0001) with DAB (Catalog # AR1027) as the chromogen.

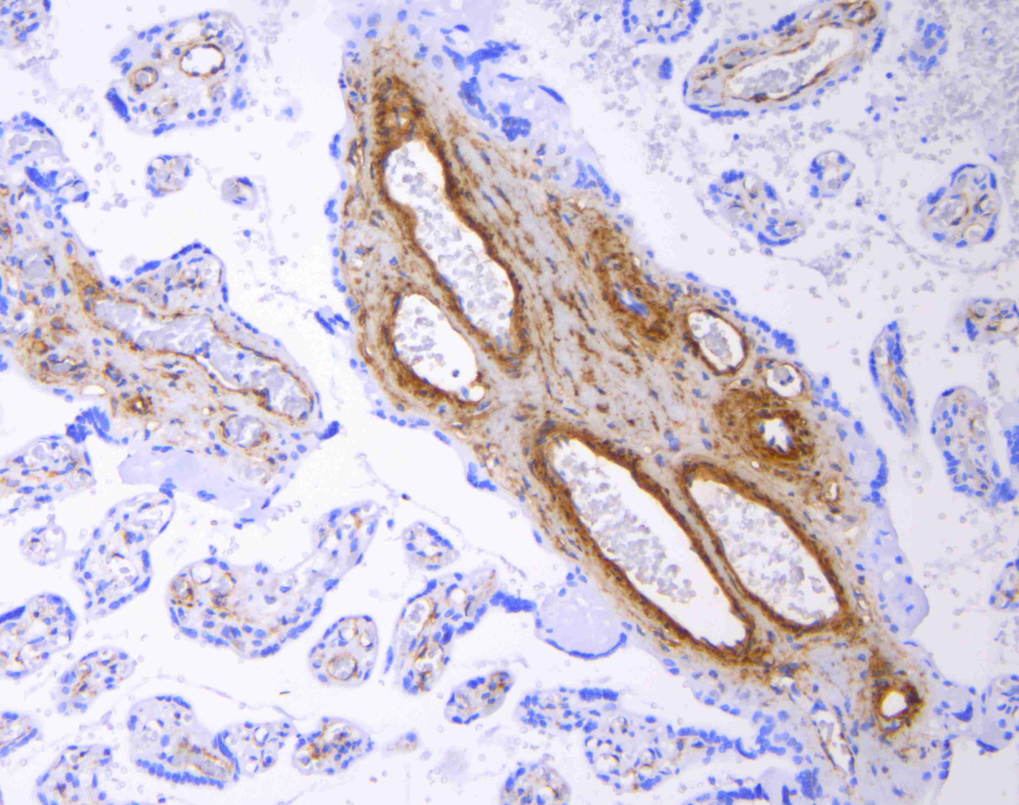
IHC analysis of α-SMA using anti-α-SMA antibody (BM0002).
α-SMA was detected in a paraffin-embedded section of human placenta tissue. The tissue section was developed using HRP Conjugated Mouse IgG Super Vision Assay Kit (Catalog # SV0001) with DAB (Catalog # AR1027) as the chromogen.

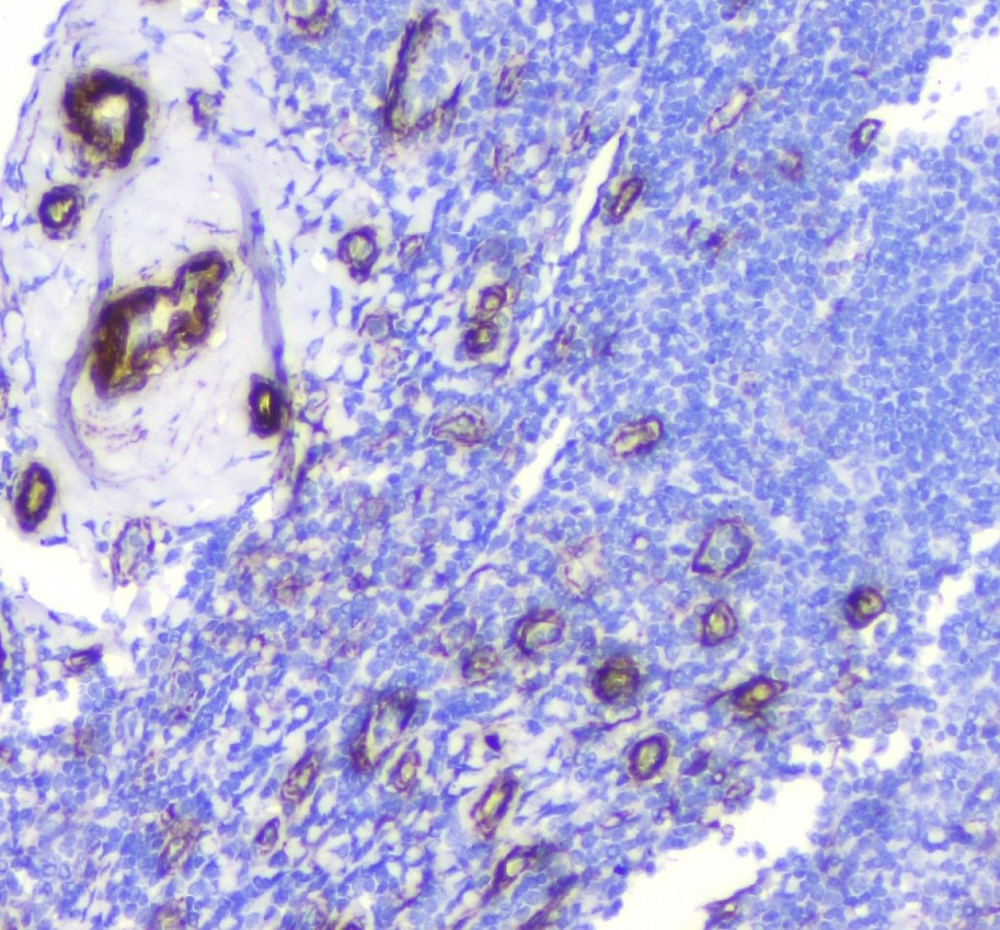
IHC analysis of α-SMA using anti-α-SMA antibody (BM0002).
α-SMA was detected in a paraffin-embedded section of mouse pancreas tissue. The tissue section was developed using HRP Conjugated Mouse IgG Super Vision Assay Kit (Catalog # SV0001) with DAB (Catalog # AR1027) as the chromogen.

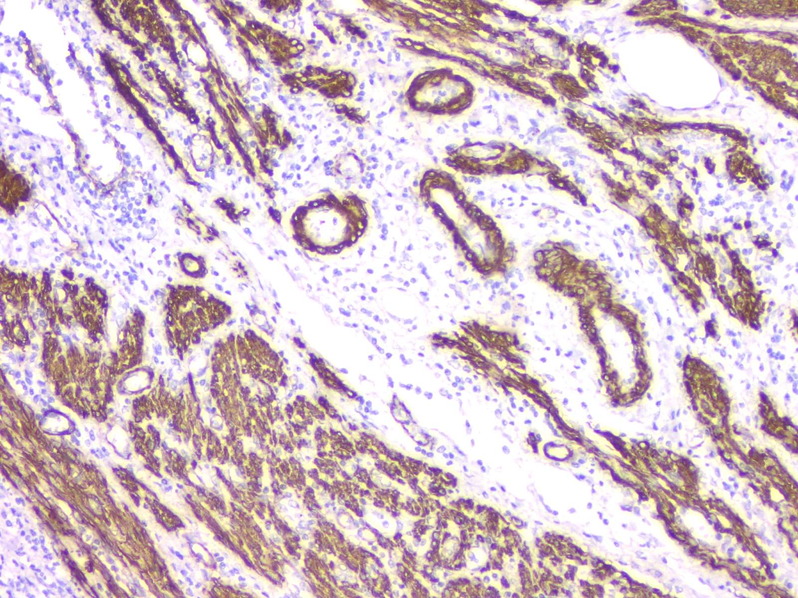
IHC analysis of α-SMA using anti-α-SMA antibody (BM0002).
α-SMA was detected in a paraffin-embedded section of rat heart muscle tissue. The tissue section was developed using HRP Conjugated Mouse IgG Super Vision Assay Kit (Catalog # SV0001) with DAB (Catalog # AR1027) as the chromogen.

IHC analysis of α-SMA using anti-α-SMA antibody (BM0002).
α-SMA was detected in a paraffin-embedded section of rat lung tissue. The tissue section was developed using HRP Conjugated Mouse IgG Super Vision Assay Kit (Catalog # SV0001) with AEC (Catalog # AR1020) as the chromogen.

IHC analysis of α-SMA using anti-α-SMA antibody (BM0002).
α-SMA was detected in a paraffin-embedded section of rat liver tissue. The tissue section was developed using HRP Conjugated Mouse IgG Super Vision Assay Kit (Catalog # SV0001) with DAB (Catalog # AR1027) as the chromogen.

IF analysis of α-SMA using anti-α-SMA antibody (BM0002).
α-SMA was detected in a paraffin-embedded section of rat lung tissue. Fluoro488 conjugated Anti-mouse IgG Secondary Antibody ((green)(Catalog#BA1126) was used as secondary antibody. The section was counterstained with DAPI (Catalog # AR1176) (Blue).

IF analysis of α-SMA using anti-α-SMA antibody (BM0002) and anti Anti-PECAM-1/CD31 antibody.
α-SMA was detected in a paraffin-embedded section of human placenta tissue. Fluoro488 conjugated Anti-mouse IgG Secondary Antibody ((green)(Catalog#BA1126) and Cy3-conjugated Anti-rabbit IgG Secondary Antibody (red)(Catalog#BA1032) were used as secondary antibody. The section was counterstained with DAPI (Catalog # AR1176) (Blue).

Western blot analysis of anti-α-SMA antibody (BM0002). The sample well of each lane was loaded with 30 ug of sample under reducing conditions.
Lane 1: human placenta tissue lysates,
Lane 2: rat stomach tissue lysates,
Lane 3: mouse stomach tissue lysates.
After electrophoresis, proteins were transferred to a membrane. Then the membrane was incubated with mouse anti-α-SMA antigen affinity purified polyclonal antibody (BM0002) and probed with a goat anti-mouse IgG-HRP secondary antibody (Catalog # BA1050). The signal is developed using ECL Plus Western Blotting Substrate (Catalog # AR1197). A specific band was detected for α-SMA at approximately 42 kDa. The expected band size for α-SMA is at 42 kDa.

IHC analysis of α-SMA using anti-α-SMA antibody (BM0002).
α-SMA was detected in a paraffin-embedded section of human lung cancer tissue. The tissue section was developed using HRP Conjugated Mouse IgG Super Vision Assay Kit (Catalog # SV0001) with DAB (Catalog # AR1027) as the chromogen.

IHC analysis of α-SMA using anti-α-SMA antibody (BM0002).
α-SMA was detected in a paraffin-embedded section of human oesophagus squama cancer tissue. The tissue section was developed using HRP Conjugated Mouse IgG Super Vision Assay Kit (Catalog # SV0001) with DAB (Catalog # AR1027) as the chromogen.

IHC analysis of α-SMA using anti-α-SMA antibody (BM0002).
α-SMA was detected in a paraffin-embedded section of human tonsil tissue. The tissue section was developed using HRP Conjugated Mouse IgG Super Vision Assay Kit (Catalog # SV0001) with DAB (Catalog # AR1027) as the chromogen.

IHC analysis of α-SMA using anti-α-SMA antibody (BM0002).
α-SMA was detected in a paraffin-embedded section of human endometrial carcinoma tissue. The tissue section was developed using HRP Conjugated Mouse IgG Super Vision Assay Kit (Catalog # SV0001) with DAB (Catalog # AR1027) as the chromogen.

IHC analysis of α-SMA using anti-α-SMA antibody (BM0002).
α-SMA was detected in a paraffin-embedded section of human placenta tissue. The tissue section was developed using HRP Conjugated Mouse IgG Super Vision Assay Kit (Catalog # SV0001) with DAB (Catalog # AR1027) as the chromogen.

IHC analysis of α-SMA using anti-α-SMA antibody (BM0002).
α-SMA was detected in a paraffin-embedded section of mouse pancreas tissue. The tissue section was developed using HRP Conjugated Mouse IgG Super Vision Assay Kit (Catalog # SV0001) with DAB (Catalog # AR1027) as the chromogen.

IHC analysis of α-SMA using anti-α-SMA antibody (BM0002).
α-SMA was detected in a paraffin-embedded section of rat heart muscle tissue. The tissue section was developed using HRP Conjugated Mouse IgG Super Vision Assay Kit (Catalog # SV0001) with DAB (Catalog # AR1027) as the chromogen.

IHC analysis of α-SMA using anti-α-SMA antibody (BM0002).
α-SMA was detected in a paraffin-embedded section of rat lung tissue. The tissue section was developed using HRP Conjugated Mouse IgG Super Vision Assay Kit (Catalog # SV0001) with AEC (Catalog # AR1020) as the chromogen.

IHC analysis of α-SMA using anti-α-SMA antibody (BM0002).
α-SMA was detected in a paraffin-embedded section of rat liver tissue. The tissue section was developed using HRP Conjugated Mouse IgG Super Vision Assay Kit (Catalog # SV0001) with DAB (Catalog # AR1027) as the chromogen.

IF analysis of α-SMA using anti-α-SMA antibody (BM0002).
α-SMA was detected in a paraffin-embedded section of rat lung tissue. Fluoro488 conjugated Anti-mouse IgG Secondary Antibody ((green)(Catalog#BA1126) was used as secondary antibody. The section was counterstained with DAPI (Catalog # AR1176) (Blue).

IF analysis of α-SMA using anti-α-SMA antibody (BM0002) and anti Anti-PECAM-1/CD31 antibody.
α-SMA was detected in a paraffin-embedded section of human placenta tissue. Fluoro488 conjugated Anti-mouse IgG Secondary Antibody ((green)(Catalog#BA1126) and Cy3-conjugated Anti-rabbit IgG Secondary Antibody (red)(Catalog#BA1032) were used as secondary antibody. The section was counterstained with DAPI (Catalog # AR1176) (Blue).











