| Western blot (WB): | 1:500-2000 |
| Immunohistochemistry (IHC): | 1:50-400 |
| Immunofluorescence (IF): | 1:50-400 |
| Immunocytochemistry/Immunofluorescence(ICC/IF): | 1:50-400 |
| Flow Cytometry (Fixed): | 1:50-200 |
| (Boiling the paraffin sections in 10mM citrate buffer,pH6.0,or PH8.0 EDTA repair liquid for 20 mins is required for the staining of formalin/paraffin sections.) Optimal working dilutions must be determined by end user. | |

Western blot analysis of anti- Lamin A/C antibody (PB9280). The sample well of each lane was loaded with 30ug of sample under reducing conditions.
Lane 1: human placenta tissue lysates,
Lane 2: human PC-3 whole cell lysates,
Lane 3: human Hela whole cell lysates,
Lane 4: human HepG2 whole cell lysates.
Use rabbit anti- Lamin A/C 1:1000, probed with a goat anti-rabbit IgG-HRP secondary antibody. The signal is developed using an Enhanced Chemiluminescent detection (ECL) kit (Catalog#EK1002). A specific band was detected for Lamin A/C at approximately 74KD, 63KD. The expected band size for Lamin A/C is at 74KD.

IHC analysis of Lamin A/C using anti-Lamin A/C antibody (PB9280).
Lamin A/C was detected in a paraffin-embedded section of mouse intestine tissue. Biotinylated goat anti-rabbit IgG was used as secondary antibody. The tissue section was incubated with rabbit anti-Lamin A/C Antibody (PB9280) at a dilution of 1:200 and developed using Strepavidin-Biotin-Complex (SABC) (Catalog # SA1022) with DAB (Catalog # AR1027) as the chromogen.

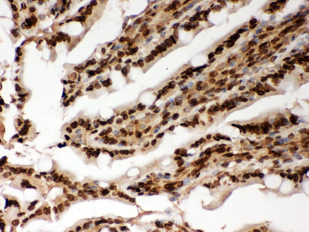
IHC analysis of Lamin A/C using anti-Lamin A/C antibody (PB9280).
Lamin A/C was detected in a paraffin-embedded section of rat intestine tissue. Biotinylated goat anti-rabbit IgG was used as secondary antibody. The tissue section was incubated with rabbit anti-Lamin A/C Antibody (PB9280) at a dilution of 1:200 and developed using Strepavidin-Biotin-Complex (SABC) (Catalog # SA1022) with DAB (Catalog # AR1027) as the chromogen.

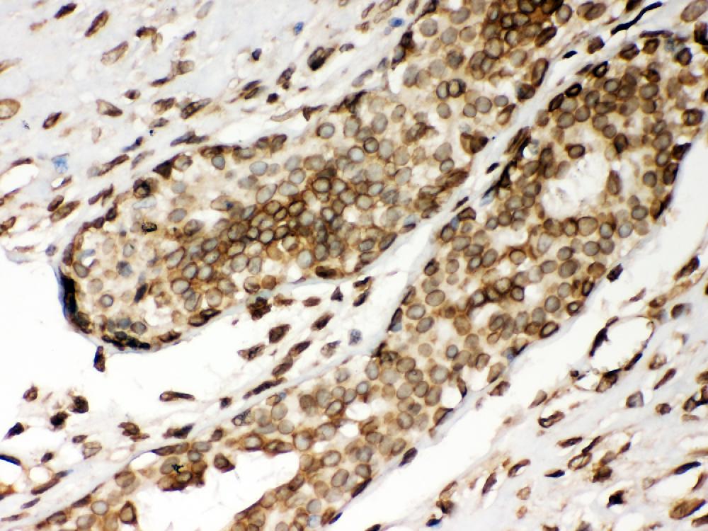
IHC analysis of Lamin A/C using anti-Lamin A/C antibody (PB9280).
Lamin A/C was detected in a paraffin-embedded section of human mammary cancer tissue. Biotinylated goat anti-rabbit IgG was used as secondary antibody. The tissue section was incubated with rabbit anti-Lamin A/C Antibody (PB9280) at a dilution of 1:200 and developed using Strepavidin-Biotin-Complex (SABC) (Catalog # SA1022) with DAB (Catalog # AR1027) as the chromogen.

ICC analysis of Lamin A/C using anti-Lamin A/C antibody (PB9280).
Lamin A/C was detected in an immunocytochemical section of A549 cells. The section was incubated with rabbit anti-Lamin A/C Antibody (PB9280) at a dilution of 1:100. Biotinylated goat anti-rabbit IgG was used as secondary antibody. The section was developed using Strepavidin-Biotin-Complex (SABC)(Catalog # SA1022) with DAB (Catalog # AR1027) as the chromogen.

IF analysis using anti- LMNA antibody (PB9280). detected in paraffin-embedded section of rat intestine tissues. The tissue section were stained using the Fluoro488 conjugated Anti-rabbit IgG Secondary Antibody (greeen)(Catalog # BA1127) and counterstained with DAPI (blue).

Flow cytometry analysis of THP-1 cell(1:100) Fluoro488 conjugated goat anti-rabbit IgG(blue) was used as secondary antibody. Isotype control antibody (Green line) was rabbit IgG Fluoro488. Unlabelled sample (Red line).

ICC/IF analysis of Lamin A/C using anti-Lamin A/C antibody (PB9280).
Lamin A/C was detected in an immunocytochemical section of A431 cells. The section was incubated with rabbit anti-Lamin A/C Antibody (PB9280) at a dilution of 1:100. Fluoro488 Conjugated Goat Anti-Rabbit IgG (Green) (Catalog # BA1127) was used as secondary antibody. The section was counterstained with DAPI (Catalog # AR1176) (Blue).

ICC/IF analysis of Lamin A/C using anti-Lamin A/C antibody (PB9280).
Lamin A/C was detected in an immunocytochemical section of NIH/3T3 cells. The section was incubated with rabbit anti-Lamin A/C Antibody (PB9280) at a dilution of 1:100. Fluoro594-conjugated Anti-rabbit IgG Secondary Antibody (red)(Catalog#BA1142) was used as secondary antibody. The section was counterstained with DAPI (Catalog # AR1176) (Blue).

Western blot analysis of anti- Lamin A/C antibody (PB9280). The sample well of each lane was loaded with 30ug of sample under reducing conditions.
Lane 1: human placenta tissue lysates,
Lane 2: human PC-3 whole cell lysates,
Lane 3: human Hela whole cell lysates,
Lane 4: human HepG2 whole cell lysates.
Use rabbit anti- Lamin A/C 1:1000, probed with a goat anti-rabbit IgG-HRP secondary antibody. The signal is developed using an Enhanced Chemiluminescent detection (ECL) kit (Catalog#EK1002). A specific band was detected for Lamin A/C at approximately 74KD, 63KD. The expected band size for Lamin A/C is at 74KD.

IHC analysis of Lamin A/C using anti-Lamin A/C antibody (PB9280).
Lamin A/C was detected in a paraffin-embedded section of mouse intestine tissue. Biotinylated goat anti-rabbit IgG was used as secondary antibody. The tissue section was incubated with rabbit anti-Lamin A/C Antibody (PB9280) at a dilution of 1:200 and developed using Strepavidin-Biotin-Complex (SABC) (Catalog # SA1022) with DAB (Catalog # AR1027) as the chromogen.

IHC analysis of Lamin A/C using anti-Lamin A/C antibody (PB9280).
Lamin A/C was detected in a paraffin-embedded section of rat intestine tissue. Biotinylated goat anti-rabbit IgG was used as secondary antibody. The tissue section was incubated with rabbit anti-Lamin A/C Antibody (PB9280) at a dilution of 1:200 and developed using Strepavidin-Biotin-Complex (SABC) (Catalog # SA1022) with DAB (Catalog # AR1027) as the chromogen.

IHC analysis of Lamin A/C using anti-Lamin A/C antibody (PB9280).
Lamin A/C was detected in a paraffin-embedded section of human mammary cancer tissue. Biotinylated goat anti-rabbit IgG was used as secondary antibody. The tissue section was incubated with rabbit anti-Lamin A/C Antibody (PB9280) at a dilution of 1:200 and developed using Strepavidin-Biotin-Complex (SABC) (Catalog # SA1022) with DAB (Catalog # AR1027) as the chromogen.

ICC analysis of Lamin A/C using anti-Lamin A/C antibody (PB9280).
Lamin A/C was detected in an immunocytochemical section of A549 cells. The section was incubated with rabbit anti-Lamin A/C Antibody (PB9280) at a dilution of 1:100. Biotinylated goat anti-rabbit IgG was used as secondary antibody. The section was developed using Strepavidin-Biotin-Complex (SABC)(Catalog # SA1022) with DAB (Catalog # AR1027) as the chromogen.

IF analysis using anti- LMNA antibody (PB9280). detected in paraffin-embedded section of rat intestine tissues. The tissue section were stained using the Fluoro488 conjugated Anti-rabbit IgG Secondary Antibody (greeen)(Catalog # BA1127) and counterstained with DAPI (blue).

Flow cytometry analysis of THP-1 cell(1:100) Fluoro488 conjugated goat anti-rabbit IgG(blue) was used as secondary antibody. Isotype control antibody (Green line) was rabbit IgG Fluoro488. Unlabelled sample (Red line).

ICC/IF analysis of Lamin A/C using anti-Lamin A/C antibody (PB9280).
Lamin A/C was detected in an immunocytochemical section of A431 cells. The section was incubated with rabbit anti-Lamin A/C Antibody (PB9280) at a dilution of 1:100. Fluoro488 Conjugated Goat Anti-Rabbit IgG (Green) (Catalog # BA1127) was used as secondary antibody. The section was counterstained with DAPI (Catalog # AR1176) (Blue).

ICC/IF analysis of Lamin A/C using anti-Lamin A/C antibody (PB9280).
Lamin A/C was detected in an immunocytochemical section of NIH/3T3 cells. The section was incubated with rabbit anti-Lamin A/C Antibody (PB9280) at a dilution of 1:100. Fluoro594-conjugated Anti-rabbit IgG Secondary Antibody (red)(Catalog#BA1142) was used as secondary antibody. The section was counterstained with DAPI (Catalog # AR1176) (Blue).








