| Western blot (WB): | 1:500-2000 |
| Immunohistochemistry (IHC): | 1:50-400 |
| (Boiling the paraffin sections in 10mM citrate buffer,pH6.0,or PH8.0 EDTA repair liquid for 20 mins is required for the staining of formalin/paraffin sections.) Optimal working dilutions must be determined by end user. | |

Western blot analysis of Lamin A/C using anti-Lamin A/C antibody (M00438-6). The sample well of each lane was loaded with 30 ug of sample under reducing conditions.
Lane 1: human placenta tissue lysates,
Lane 2: human Hela whole cell lysates,
Lane 3: human A431 whole cell lysates,
Lane 4: rat lung tissue lysates,
Lane 5: mouse lung tissue lysates,
Lane 6: mouse small intestine tissue lysates.
After electrophoresis, proteins were transferred to a membrane. Then the membrane was incubated with mouse anti-Lamin A/C antigen affinity purified monoclonal antibody (M00438-6) at a dilution of 1:1000 and probed with a goat anti-mouse IgG-HRP secondary antibody (Catalog # BA1050). The signal is developed using ECL Plus Western Blotting Substrate (Catalog # AR1197). A specific band was detected for Lamin A/C at approximately 74 kDa. The expected band size for Lamin A/C is at 74 kDa.

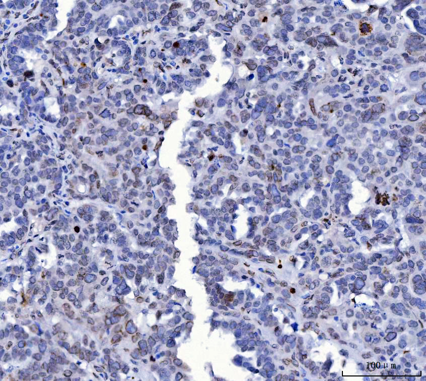
IHC analysis of Lamin A/C using anti-Lamin A/C antibody (M00438-6).
Lamin A/C was detected in a paraffin-embedded section of human laryngeal squamous cell carcinoma tissue. The tissue section was incubated with mouse anti-Lamin A/C Antibody (M00438-6) at a dilution of 1:200 and developed using HRP Conjugated mouse IgG Super Vision Assay Kit (Catalog # SV0001) with DAB (Catalog # AR1027) as the chromogen.

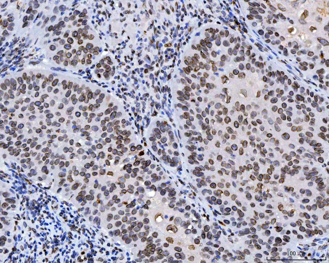
IHC analysis of Lamin A/C using anti-Lamin A/C antibody (M00438-6).
Lamin A/C was detected in a paraffin-embedded section of human ovarian cancer tissue. The tissue section was incubated with mouse anti-Lamin A/C Antibody (M00438-6) at a dilution of 1:200 and developed using HRP Conjugated mouse IgG Super Vision Assay Kit (Catalog # SV0001) with DAB (Catalog # AR1027) as the chromogen.

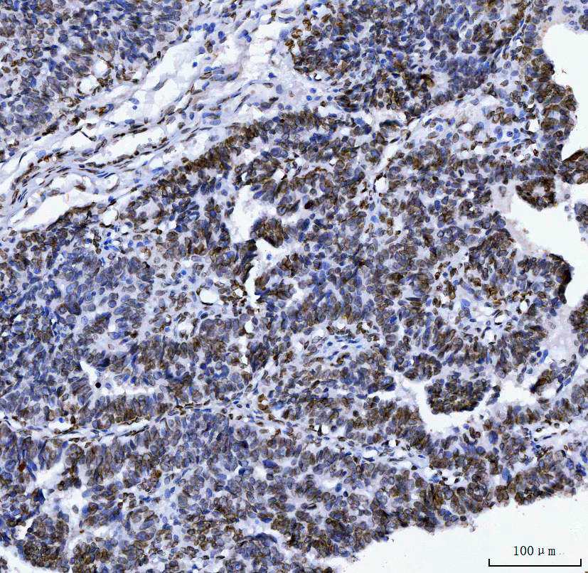
IHC analysis of Lamin A/C using anti-Lamin A/C antibody (M00438-6).
Lamin A/C was detected in a paraffin-embedded section of human Bladder epithelial carcinoma tissue. The tissue section was incubated with mouse anti-Lamin A/C Antibody (M00438-6) at a dilution of 1:200 and developed using HRP Conjugated mouse IgG Super Vision Assay Kit (Catalog # SV0001) with DAB (Catalog # AR1027) as the chromogen.

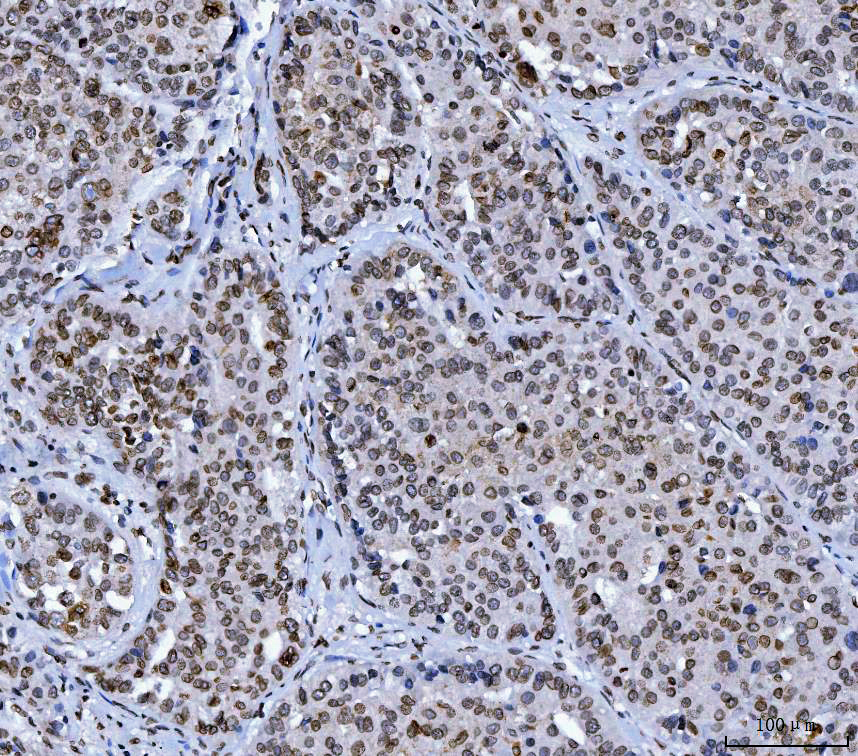
IHC analysis of Lamin A/C using anti-Lamin A/C antibody (M00438-6).
Lamin A/C was detected in a paraffin-embedded section of human liver cancer tissue. The tissue section was incubated with mouse anti-Lamin A/C Antibody (M00438-6) at a dilution of 1:200 and developed using HRP Conjugated mouse IgG Super Vision Assay Kit (Catalog # SV0001) with DAB (Catalog # AR1027) as the chromogen.

Western blot analysis of Lamin A/C using anti-Lamin A/C antibody (M00438-6). The sample well of each lane was loaded with 30 ug of sample under reducing conditions.
Lane 1: human placenta tissue lysates,
Lane 2: human Hela whole cell lysates,
Lane 3: human A431 whole cell lysates,
Lane 4: rat lung tissue lysates,
Lane 5: mouse lung tissue lysates,
Lane 6: mouse small intestine tissue lysates.
After electrophoresis, proteins were transferred to a membrane. Then the membrane was incubated with mouse anti-Lamin A/C antigen affinity purified monoclonal antibody (M00438-6) at a dilution of 1:1000 and probed with a goat anti-mouse IgG-HRP secondary antibody (Catalog # BA1050). The signal is developed using ECL Plus Western Blotting Substrate (Catalog # AR1197). A specific band was detected for Lamin A/C at approximately 74 kDa. The expected band size for Lamin A/C is at 74 kDa.

IHC analysis of Lamin A/C using anti-Lamin A/C antibody (M00438-6).
Lamin A/C was detected in a paraffin-embedded section of human laryngeal squamous cell carcinoma tissue. The tissue section was incubated with mouse anti-Lamin A/C Antibody (M00438-6) at a dilution of 1:200 and developed using HRP Conjugated mouse IgG Super Vision Assay Kit (Catalog # SV0001) with DAB (Catalog # AR1027) as the chromogen.

IHC analysis of Lamin A/C using anti-Lamin A/C antibody (M00438-6).
Lamin A/C was detected in a paraffin-embedded section of human ovarian cancer tissue. The tissue section was incubated with mouse anti-Lamin A/C Antibody (M00438-6) at a dilution of 1:200 and developed using HRP Conjugated mouse IgG Super Vision Assay Kit (Catalog # SV0001) with DAB (Catalog # AR1027) as the chromogen.

IHC analysis of Lamin A/C using anti-Lamin A/C antibody (M00438-6).
Lamin A/C was detected in a paraffin-embedded section of human Bladder epithelial carcinoma tissue. The tissue section was incubated with mouse anti-Lamin A/C Antibody (M00438-6) at a dilution of 1:200 and developed using HRP Conjugated mouse IgG Super Vision Assay Kit (Catalog # SV0001) with DAB (Catalog # AR1027) as the chromogen.

IHC analysis of Lamin A/C using anti-Lamin A/C antibody (M00438-6).
Lamin A/C was detected in a paraffin-embedded section of human liver cancer tissue. The tissue section was incubated with mouse anti-Lamin A/C Antibody (M00438-6) at a dilution of 1:200 and developed using HRP Conjugated mouse IgG Super Vision Assay Kit (Catalog # SV0001) with DAB (Catalog # AR1027) as the chromogen.




