| Western blot (WB): | 1:500-2000 |
| Immunohistochemistry (IHC): | 1:50-400 |
| Immunofluorescence (IF): | 1:50-400 |
| Flow Cytometry (Fixed): | 1:50-200 |
| (Boiling the paraffin sections in 10mM citrate buffer,pH6.0,or PH8.0 EDTA repair liquid for 20 mins is required for the staining of formalin/paraffin sections.) Optimal working dilutions must be determined by end user. | |

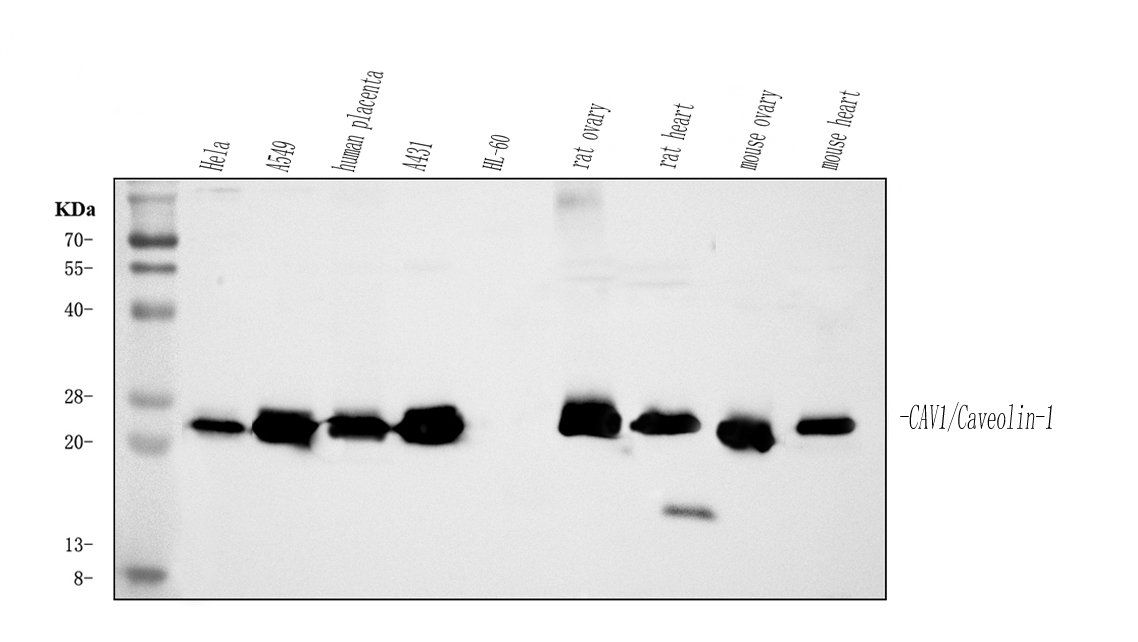
Western blot analysis of anti-Caveolin-1/CAV1 antibody (PB9165). The sample well of each lane was loaded with 30 ug of sample under reducing conditions.
Lane 1: human Hela whole cell lysates,
Lane 2: human A549 whole cell lysates,
Lane 3: human placenta tissue lysates,
Lane 4: human A431 whole cell lysates,
Lane 5: human HL-60 whole cell lysates,
Lane 6: rat ovary tissue lysates,
Lane 7: rat heart tissue lysates,
Lane 8: mouse ovary tissue lysates,
Lane 9: mouse heart tissue lysates.
After electrophoresis, proteins were transferred to a membrane. Then the membrane was incubated with rabbit anti-Caveolin-1/CAV1 antigen affinity purified polyclonal antibody (PB9165) and probed with a goat anti-rabbit IgG-HRP secondary antibody (Catalog # BA1054). The signal is developed using ECL Plus Western Blotting Substrate (Catalog # AR1197). A specific band was detected for Caveolin-1/CAV1 at approximately 22 kDa. The expected band size for Caveolin-1/CAV1 is at 20 kDa.

IHC analysis of Caveolin-1/CAV1 using anti-Caveolin-1/CAV1 antibody (PB9165).
Caveolin-1/CAV1 was detected in a paraffin-embedded section of human glioma tissue. The tissue section was developed using HRP Conjugated Rabbit IgG Super Vision Assay Kit (Catalog # SV0002) with DAB (Catalog # AR1027) as the chromogen.

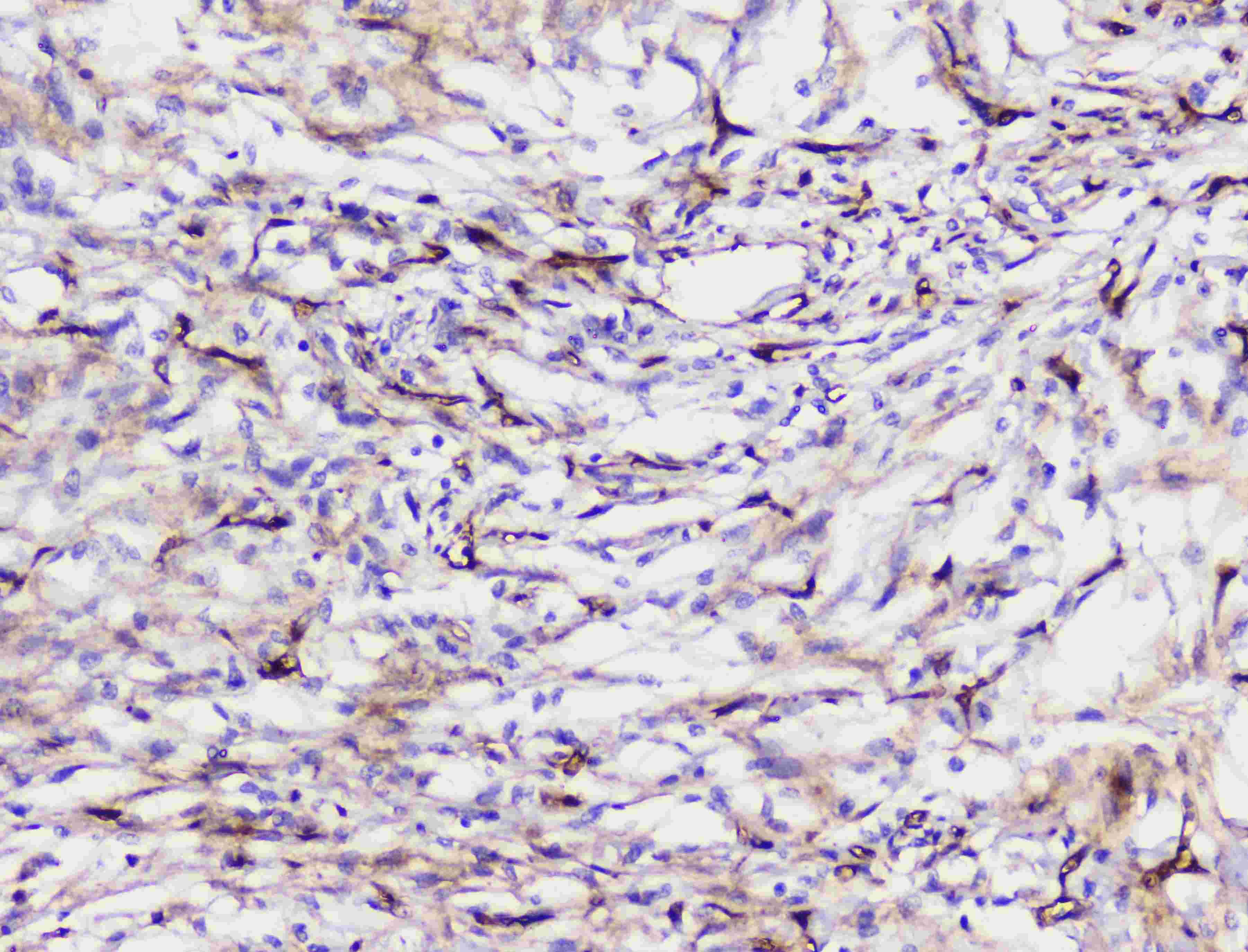
IHC analysis of Caveolin-1/CAV1 using anti-Caveolin-1/CAV1 antibody (PB9165).
Caveolin-1/CAV1 was detected in a paraffin-embedded section of human meningeoma tissue. The tissue section was developed using HRP Conjugated Rabbit IgG Super Vision Assay Kit (Catalog # SV0002) with DAB (Catalog # AR1027) as the chromogen.

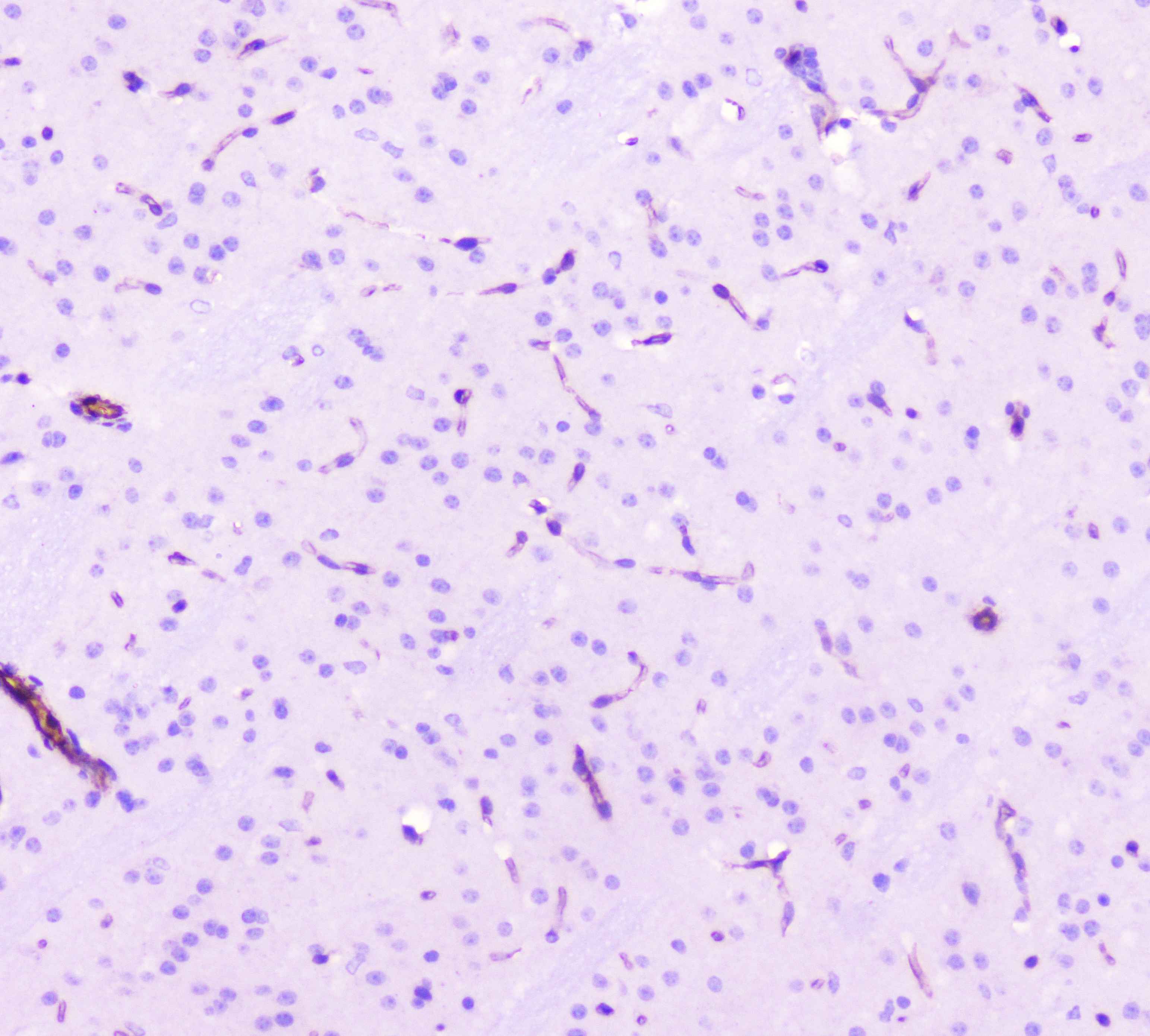
IHC analysis of Caveolin-1/CAV1 using anti-Caveolin-1/CAV1 antibody (PB9165).
Caveolin-1/CAV1 was detected in a paraffin-embedded section of mouse brain tissue. The tissue section was developed using HRP Conjugated Rabbit IgG Super Vision Assay Kit (Catalog # SV0002) with DAB (Catalog # AR1027) as the chromogen.

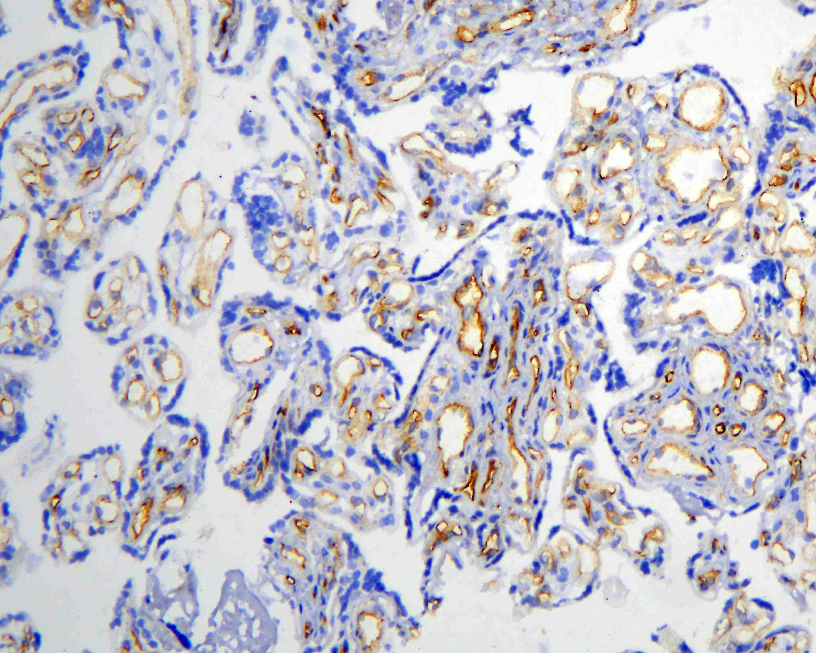
IHC analysis of Caveolin-1/CAV1 using anti-Caveolin-1/CAV1 antibody (PB9165).
Caveolin-1/CAV1 was detected in frozen section of human placenta tissue. The tissue section was developed using HRP Conjugated Rabbit IgG Super Vision Assay Kit (Catalog # SV0002) with DAB (Catalog # AR1027) as the chromogen.

IF analysis of Caveolin-1/CAV1 using anti-Caveolin-1/CAV1 antibody (PB9165).
Caveolin-1/CAV1 was detected in a paraffin-embedded section of human glioma tissue. Cy3-conjugated Anti-rabbit IgG Secondary Antibody (red)(Catalog#BA1032) was used as secondary antibody. The section was counterstained with DAPI (Catalog # AR1176) (Blue).

Flow Cytometry analysis of U87 cells using anti-Caveolin-1/CAV1 antibody (PB9165).
Overlay histogram showing U87 cells stained with PB9165 (Blue line). To facilitate intracellular staining, cells were fixed with 4% paraformaldehyde and permeabilized with permeabilization buffer. The cells were blocked with 10% normal goat serum. And then incubated with rabbit anti-Caveolin-1/CAV1 Antibody (PB9165, 1:100). Fluoro488 conjugated goat anti-rabbit IgG (BA1127, 1:100) was used as secondary antibody. Isotype control antibody (Green line) was rabbit IgG (Catalog # BA1045) (1:100) used under the same conditions. Unlabelled sample (Red line) was also used as a control.

Western blot analysis of anti-Caveolin-1/CAV1 antibody (PB9165). The sample well of each lane was loaded with 30 ug of sample under reducing conditions.
Lane 1: human Hela whole cell lysates,
Lane 2: human A549 whole cell lysates,
Lane 3: human placenta tissue lysates,
Lane 4: human A431 whole cell lysates,
Lane 5: human HL-60 whole cell lysates,
Lane 6: rat ovary tissue lysates,
Lane 7: rat heart tissue lysates,
Lane 8: mouse ovary tissue lysates,
Lane 9: mouse heart tissue lysates.
After electrophoresis, proteins were transferred to a membrane. Then the membrane was incubated with rabbit anti-Caveolin-1/CAV1 antigen affinity purified polyclonal antibody (PB9165) and probed with a goat anti-rabbit IgG-HRP secondary antibody (Catalog # BA1054). The signal is developed using ECL Plus Western Blotting Substrate (Catalog # AR1197). A specific band was detected for Caveolin-1/CAV1 at approximately 22 kDa. The expected band size for Caveolin-1/CAV1 is at 20 kDa.

IHC analysis of Caveolin-1/CAV1 using anti-Caveolin-1/CAV1 antibody (PB9165).
Caveolin-1/CAV1 was detected in a paraffin-embedded section of human glioma tissue. The tissue section was developed using HRP Conjugated Rabbit IgG Super Vision Assay Kit (Catalog # SV0002) with DAB (Catalog # AR1027) as the chromogen.

IHC analysis of Caveolin-1/CAV1 using anti-Caveolin-1/CAV1 antibody (PB9165).
Caveolin-1/CAV1 was detected in a paraffin-embedded section of human meningeoma tissue. The tissue section was developed using HRP Conjugated Rabbit IgG Super Vision Assay Kit (Catalog # SV0002) with DAB (Catalog # AR1027) as the chromogen.

IHC analysis of Caveolin-1/CAV1 using anti-Caveolin-1/CAV1 antibody (PB9165).
Caveolin-1/CAV1 was detected in a paraffin-embedded section of mouse brain tissue. The tissue section was developed using HRP Conjugated Rabbit IgG Super Vision Assay Kit (Catalog # SV0002) with DAB (Catalog # AR1027) as the chromogen.

IHC analysis of Caveolin-1/CAV1 using anti-Caveolin-1/CAV1 antibody (PB9165).
Caveolin-1/CAV1 was detected in frozen section of human placenta tissue. The tissue section was developed using HRP Conjugated Rabbit IgG Super Vision Assay Kit (Catalog # SV0002) with DAB (Catalog # AR1027) as the chromogen.

IF analysis of Caveolin-1/CAV1 using anti-Caveolin-1/CAV1 antibody (PB9165).
Caveolin-1/CAV1 was detected in a paraffin-embedded section of human glioma tissue. Cy3-conjugated Anti-rabbit IgG Secondary Antibody (red)(Catalog#BA1032) was used as secondary antibody. The section was counterstained with DAPI (Catalog # AR1176) (Blue).

Flow Cytometry analysis of U87 cells using anti-Caveolin-1/CAV1 antibody (PB9165).
Overlay histogram showing U87 cells stained with PB9165 (Blue line). To facilitate intracellular staining, cells were fixed with 4% paraformaldehyde and permeabilized with permeabilization buffer. The cells were blocked with 10% normal goat serum. And then incubated with rabbit anti-Caveolin-1/CAV1 Antibody (PB9165, 1:100). Fluoro488 conjugated goat anti-rabbit IgG (BA1127, 1:100) was used as secondary antibody. Isotype control antibody (Green line) was rabbit IgG (Catalog # BA1045) (1:100) used under the same conditions. Unlabelled sample (Red line) was also used as a control.






