| Western blot (WB): | 1:500-2000 |
| Immunohistochemistry (IHC): | 1:50-400 |
| Immunofluorescence (IF): | 1:50-400 |
| Flow Cytometry (Fixed): | 1:50-200 |
| (Boiling the paraffin sections in 10mM citrate buffer,pH6.0,or PH8.0 EDTA repair liquid for 20 mins is required for the staining of formalin/paraffin sections.) Optimal working dilutions must be determined by end user. | |

Western blot analysis of anti- Caveolin-1/CAV1 antibody (PA1514). The sample well of each lane was loaded with 30ug of sample under reducing conditions.
Lane 1: human A549 whole cell lysates,
Lane 2: human Hela whole cell lysates,
Lane 3: human Hacat whole cell lysates,
Lane 4: human U-87 MG whole cell lysates,
Lane 5: rat lung tissue lysates,
Lane 6: mouse lung tissue lysates.
Use rabbit anti- Caveolin-1/CAV1 1:1000, probed with a goat anti-rabbit IgG-HRP secondary antibody. The signal is developed using an Enhanced Chemiluminescent detection (ECL) kit (Catalog#EK1002). A specific band was detected for Caveolin-1/CAV1 at approximately 22KD. The expected band size for Caveolin-1/CAV1 is at 20KD.

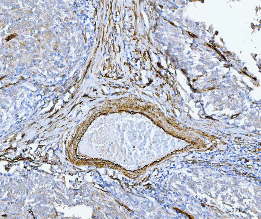
IHC analysis of Caveolin-1/CAV1 using anti-Caveolin-1/CAV1 antibody (PA1514).
Caveolin-1/CAV1 was detected in a paraffin-embedded section of human melanoma tissue. The tissue section was incubated with rabbit anti-Caveolin-1/CAV1 Antibody (PA1514) at a dilution of 1:200 and developed using HRP Conjugated Rabbit IgG Super Vision Assay Kit (Catalog # SV0002) with DAB (Catalog # AR1027) as the chromogen.

IF analysis using anti- Caveolin-1/CAV1 antibody (PA1514). detected in paraffin-embedded section of human glioma tissue. The tissue section were stained using the Fluoro550-conjugated Anti-rabbit IgG Secondary Antibody (red)(Catalog#BA1135) and counterstained with DAPI (blue).

Flow Cytometry analysis of A549 cells using anti-Caveolin-1/CAV1 antibody (PA1514).
Overlay histogram showing A549 cells stained with PA1514 (Blue line). To facilitate intracellular staining, cells were fixed with 4% paraformaldehyde and permeabilized with permeabilization buffer. The cells were blocked with 10% normal goat serum. And then incubated with rabbit anti-Caveolin-1/CAV1 Antibody (PA1514) at 1:100 dilution for 30 min at 20°C. Fluoro488 conjugated goat anti-rabbit IgG (BA1127) was used as secondary antibody at 1:100 dilution for 30 minutes at 20°C. Isotype control antibody (Green line) was rabbit IgG at 1:100 dilution used under the same conditions. Unlabelled sample without incubation with primary antibody and secondary antibody (Red line) was used as a blank control.

Western blot analysis of anti- Caveolin-1/CAV1 antibody (PA1514). The sample well of each lane was loaded with 30ug of sample under reducing conditions.
Lane 1: human A549 whole cell lysates,
Lane 2: human Hela whole cell lysates,
Lane 3: human Hacat whole cell lysates,
Lane 4: human U-87 MG whole cell lysates,
Lane 5: rat lung tissue lysates,
Lane 6: mouse lung tissue lysates.
Use rabbit anti- Caveolin-1/CAV1 1:1000, probed with a goat anti-rabbit IgG-HRP secondary antibody. The signal is developed using an Enhanced Chemiluminescent detection (ECL) kit (Catalog#EK1002). A specific band was detected for Caveolin-1/CAV1 at approximately 22KD. The expected band size for Caveolin-1/CAV1 is at 20KD.

IHC analysis of Caveolin-1/CAV1 using anti-Caveolin-1/CAV1 antibody (PA1514).
Caveolin-1/CAV1 was detected in a paraffin-embedded section of human melanoma tissue. The tissue section was incubated with rabbit anti-Caveolin-1/CAV1 Antibody (PA1514) at a dilution of 1:200 and developed using HRP Conjugated Rabbit IgG Super Vision Assay Kit (Catalog # SV0002) with DAB (Catalog # AR1027) as the chromogen.

IF analysis using anti- Caveolin-1/CAV1 antibody (PA1514). detected in paraffin-embedded section of human glioma tissue. The tissue section were stained using the Fluoro550-conjugated Anti-rabbit IgG Secondary Antibody (red)(Catalog#BA1135) and counterstained with DAPI (blue).

Flow Cytometry analysis of A549 cells using anti-Caveolin-1/CAV1 antibody (PA1514).
Overlay histogram showing A549 cells stained with PA1514 (Blue line). To facilitate intracellular staining, cells were fixed with 4% paraformaldehyde and permeabilized with permeabilization buffer. The cells were blocked with 10% normal goat serum. And then incubated with rabbit anti-Caveolin-1/CAV1 Antibody (PA1514) at 1:100 dilution for 30 min at 20°C. Fluoro488 conjugated goat anti-rabbit IgG (BA1127) was used as secondary antibody at 1:100 dilution for 30 minutes at 20°C. Isotype control antibody (Green line) was rabbit IgG at 1:100 dilution used under the same conditions. Unlabelled sample without incubation with primary antibody and secondary antibody (Red line) was used as a blank control.



