| Western blot (WB): | 1:1000-5000 |
| Immunohistochemistry (IHC): | 1:50-400 |
| Immunocytochemistry/Immunofluorescence (ICC/IF): | 1:50-400 |
| Immunofluorescence (IF): | 1:50-400 |
| (Boiling the paraffin sections in 10mM citrate buffer,pH6.0,or PH8.0 EDTA repair liquid for 20 mins is required for the staining of formalin/paraffin sections.) Optimal working dilutions must be determined by end user. | |

Western blot analysis of anti-P62/SQSTM1 antibody (PB0458). The sample well of each lane was loaded with 30 ug of sample under reducing conditions.
Lane 1: human Hela whole cell lysates,
Lane 2: human 293T whole cell lysates,
Lane 3: human MCF-7 whole cell lysates,
Lane 4: human Jurkat whole cell lysates,
Lane 5: rat liver tissue lysates,
Lane 6: rat brain tissue lysates,
Lane 7: mouse liver tissue lysates.
After electrophoresis, proteins were transferred to a membrane. Then the membrane was incubated with rabbit anti-P62/SQSTM1 antigen affinity purified polyclonal antibody (PB0458) and probed with a goat anti-rabbit IgG-HRP secondary antibody (Catalog # BA1054). The signal is developed using ECL Plus Western Blotting Substrate (Catalog # AR1197). A specific band was detected for P62/SQSTM1 at approximately 62 kDa. The expected band size for P62/SQSTM1 is at 48 kDa.

IHC analysis of P62/SQSTM1 using anti-P62/SQSTM1 antibody (PB0458).
P62/SQSTM1 was detected in frozen section of human placenta tissue. Biotinylated goat anti-rabbit IgG was used as secondary antibody. The tissue section was incubated with rabbit anti-P62/SQSTM1 Antibody (PB0458) at a dilution of 1:200 and developed using Strepavidin-Biotin-Complex (SABC) (Catalog # SA1022) with DAB (Catalog # AR1027) as the chromogen.

IHC analysis of P62/SQSTM1 using anti-P62/SQSTM1 antibody (PB0458).
P62/SQSTM1 was detected in a paraffin-embedded section of rat small intestine tissue. Biotinylated goat anti-rabbit IgG was used as secondary antibody. The tissue section was incubated with rabbit anti-P62/SQSTM1 Antibody (PB0458) at a dilution of 1:200 and developed using Strepavidin-Biotin-Complex (SABC) (Catalog # SA1022) with DAB (Catalog # AR1027) as the chromogen.

IHC analysis of P62/SQSTM1 using anti-P62/SQSTM1 antibody (PB0458).
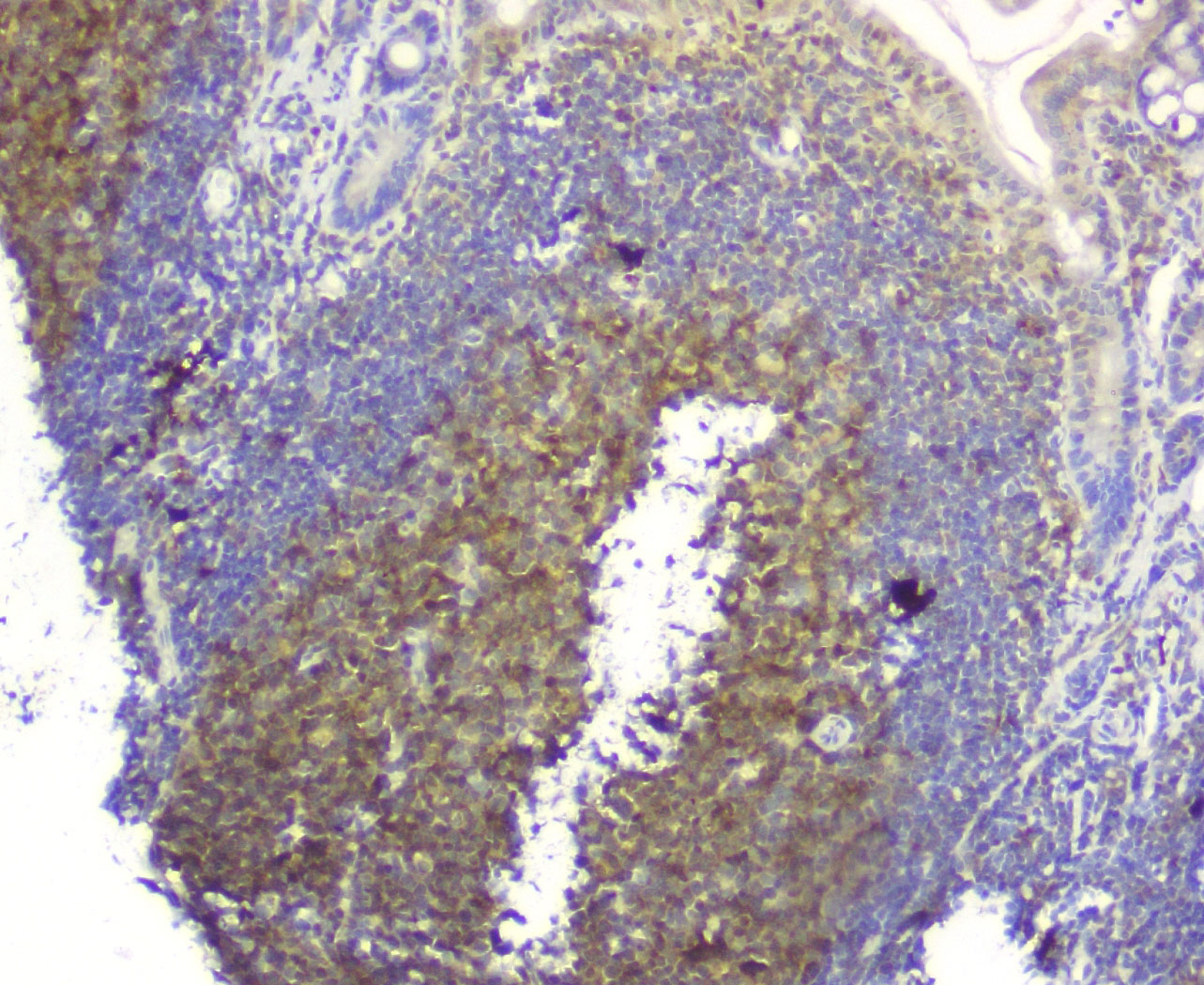
P62/SQSTM1 was detected in a paraffin-embedded section of human intestinal cancer tissue. Biotinylated goat anti-rabbit IgG was used as secondary antibody. The tissue section was incubated with rabbit anti-P62/SQSTM1 Antibody (PB0458) at a dilution of 1:200 and developed using Strepavidin-Biotin-Complex (SABC) (Catalog # SA1022) with DAB (Catalog # AR1027) as the chromogen.

IHC analysis of P62/SQSTM1 using anti-P62/SQSTM1 antibody (PB0458).
P62/SQSTM1 was detected in a paraffin-embedded section of mouse small intestine tissue. Biotinylated goat anti-rabbit IgG was used as secondary antibody. The tissue section was incubated with rabbit anti-P62/SQSTM1 Antibody (PB0458) at a dilution of 1:200 and developed using Strepavidin-Biotin-Complex (SABC) (Catalog # SA1022) with DAB (Catalog # AR1027) as the chromogen.

ICC analysis of P62/SQSTM1 using anti- P62/SQSTM1 antibody (PB0458).
P62/SQSTM1 was detected in an immunocytochemical section of A549 cells. The section was incubated with rabbit anti-P62/SQSTM1 Antibody (PB0458) at a dilution of 1:100. Biotinylated goat anti-rabbit IgG was used as secondary antibody. The section was developed using Strepavidin-Biotin-Complex (SABC)(Catalog # SA1022) with DAB (Catalog # AR1027) as the chromogen.

ICC/IF analysis of SQSTM1 using anti- SQSTM1 antibody (PB0458).SQSTM1 was detected in immunocytochemical section of A431 cell. Enzyme antigen retrieval was performed using IHC enzyme antigen retrieval reagent (AR0022) for 15 mins. The cells were blocked with 10% goat serum. And then incubated with 2μg/mL rabbit anti- SQSTM1 Antibody (PB0458) overnight at 4°C. Fluoro488 Conjugated Goat Anti-Rabbit IgG (BA1127) was used as secondary antibody at 1:100 dilution and incubated for 30 minutes at 37°C. The section was counterstained with DAPI. Visualize using a fluorescence microscope and filter sets appropriate for the label used.

IF analysis of SQSTM1/p62 using anti- SQSTM1/p62 antibody (PB0458)SQSTM1/p62 was detected in paraffin-embedded section of human lung cancer tissues. Heat mediated antigen retrieval was performed in citrate buffer (pH6, epitope retrieval solution ) for 20 mins. The tissue section was blocked with 10% goat serum. The tissue section was then incubated with 1μg/mL rabbit anti- SQSTM1/p62 Antibody (PB0458) overnight at 4°C. Cy3 Conjugated Goat Anti-Rabbit IgG (BA1032) was used as secondary antibody at 1:100 dilution and incubated for 30 minutes at 37°C. The section was counterstained with DAPI. Visualize using a fluorescence microscope and filter sets appropriate for the label used.

Western blot analysis of anti-P62/SQSTM1 antibody (PB0458). The sample well of each lane was loaded with 30 ug of sample under reducing conditions.
Lane 1: human Hela whole cell lysates,
Lane 2: human 293T whole cell lysates,
Lane 3: human MCF-7 whole cell lysates,
Lane 4: human Jurkat whole cell lysates,
Lane 5: rat liver tissue lysates,
Lane 6: rat brain tissue lysates,
Lane 7: mouse liver tissue lysates.
After electrophoresis, proteins were transferred to a membrane. Then the membrane was incubated with rabbit anti-P62/SQSTM1 antigen affinity purified polyclonal antibody (PB0458) and probed with a goat anti-rabbit IgG-HRP secondary antibody (Catalog # BA1054). The signal is developed using ECL Plus Western Blotting Substrate (Catalog # AR1197). A specific band was detected for P62/SQSTM1 at approximately 62 kDa. The expected band size for P62/SQSTM1 is at 48 kDa.

IHC analysis of P62/SQSTM1 using anti-P62/SQSTM1 antibody (PB0458).
P62/SQSTM1 was detected in frozen section of human placenta tissue. Biotinylated goat anti-rabbit IgG was used as secondary antibody. The tissue section was incubated with rabbit anti-P62/SQSTM1 Antibody (PB0458) at a dilution of 1:200 and developed using Strepavidin-Biotin-Complex (SABC) (Catalog # SA1022) with DAB (Catalog # AR1027) as the chromogen.

IHC analysis of P62/SQSTM1 using anti-P62/SQSTM1 antibody (PB0458).
P62/SQSTM1 was detected in a paraffin-embedded section of rat small intestine tissue. Biotinylated goat anti-rabbit IgG was used as secondary antibody. The tissue section was incubated with rabbit anti-P62/SQSTM1 Antibody (PB0458) at a dilution of 1:200 and developed using Strepavidin-Biotin-Complex (SABC) (Catalog # SA1022) with DAB (Catalog # AR1027) as the chromogen.

IHC analysis of P62/SQSTM1 using anti-P62/SQSTM1 antibody (PB0458).
P62/SQSTM1 was detected in a paraffin-embedded section of human intestinal cancer tissue. Biotinylated goat anti-rabbit IgG was used as secondary antibody. The tissue section was incubated with rabbit anti-P62/SQSTM1 Antibody (PB0458) at a dilution of 1:200 and developed using Strepavidin-Biotin-Complex (SABC) (Catalog # SA1022) with DAB (Catalog # AR1027) as the chromogen.

IHC analysis of P62/SQSTM1 using anti-P62/SQSTM1 antibody (PB0458).
P62/SQSTM1 was detected in a paraffin-embedded section of mouse small intestine tissue. Biotinylated goat anti-rabbit IgG was used as secondary antibody. The tissue section was incubated with rabbit anti-P62/SQSTM1 Antibody (PB0458) at a dilution of 1:200 and developed using Strepavidin-Biotin-Complex (SABC) (Catalog # SA1022) with DAB (Catalog # AR1027) as the chromogen.

ICC analysis of P62/SQSTM1 using anti- P62/SQSTM1 antibody (PB0458).
P62/SQSTM1 was detected in an immunocytochemical section of A549 cells. The section was incubated with rabbit anti-P62/SQSTM1 Antibody (PB0458) at a dilution of 1:100. Biotinylated goat anti-rabbit IgG was used as secondary antibody. The section was developed using Strepavidin-Biotin-Complex (SABC)(Catalog # SA1022) with DAB (Catalog # AR1027) as the chromogen.

ICC/IF analysis of SQSTM1 using anti- SQSTM1 antibody (PB0458).SQSTM1 was detected in immunocytochemical section of A431 cell. Enzyme antigen retrieval was performed using IHC enzyme antigen retrieval reagent (AR0022) for 15 mins. The cells were blocked with 10% goat serum. And then incubated with 2μg/mL rabbit anti- SQSTM1 Antibody (PB0458) overnight at 4°C. Fluoro488 Conjugated Goat Anti-Rabbit IgG (BA1127) was used as secondary antibody at 1:100 dilution and incubated for 30 minutes at 37°C. The section was counterstained with DAPI. Visualize using a fluorescence microscope and filter sets appropriate for the label used.

IF analysis of SQSTM1/p62 using anti- SQSTM1/p62 antibody (PB0458)SQSTM1/p62 was detected in paraffin-embedded section of human lung cancer tissues. Heat mediated antigen retrieval was performed in citrate buffer (pH6, epitope retrieval solution ) for 20 mins. The tissue section was blocked with 10% goat serum. The tissue section was then incubated with 1μg/mL rabbit anti- SQSTM1/p62 Antibody (PB0458) overnight at 4°C. Cy3 Conjugated Goat Anti-Rabbit IgG (BA1032) was used as secondary antibody at 1:100 dilution and incubated for 30 minutes at 37°C. The section was counterstained with DAPI. Visualize using a fluorescence microscope and filter sets appropriate for the label used.







