| Western blot (WB): | 1:500-2000 |
| Immunohistochemistry (IHC): | 1:50-200 |
| Immunocytochemistry/Immunofluorescence (ICC/IF): | 1:50-200 |
| ImmunoPrecipitation (IP): | 1:50 |
| Flow Cytometry (FCM): | 1:50 |

Western blot analysis of anti-P62/SQSTM1 antibody (M00300-3). The sample well of each lane was loaded with 30 ug of sample under reducing conditions.
Lane 1: human HepG2 whole cell lysates,
Lane 2: human 293T whole cell lysates,
Lane 3: human MCF-7 whole cell lysates,
Lane 4: human K562 whole cell lysates,
Lane 5: human A549 whole cell lysates,
Lane 6: human RT4 whole cell lysates,
Lane 7: human A431 whole cell lysates.
After electrophoresis, proteins were transferred to a membrane. Then the membrane was incubated with rabbit anti-P62/SQSTM1 antigen affinity purified monoclonal antibody (M00300-3) at a dilution of 1:1000 and probed with a goat anti-rabbit IgG-HRP secondary antibody (Catalog # BA1054). The signal is developed using ECL Plus Western Blotting Substrate (Catalog # AR1197). A specific band was detected for P62/SQSTM1 at approximately 62 kDa. The expected band size for P62/SQSTM1 is at 48 kDa.

IHC analysis of P62/SQSTM1 using anti-P62/SQSTM1 antibody (M00300-3) .
P62/SQSTM1 was detected in a paraffin-embedded section of human liver tissue. The tissue section was incubated with rabbit anti-P62/SQSTM1 Antibody (M00300-3) at a dilution of 1:200 and developed using HRP Conjugated Rabbit IgG Super Vision Assay Kit (Catalog # SV0002) with DAB (Catalog # AR1027) as the chromogen.

IHC analysis of P62/SQSTM1 using anti-P62/SQSTM1 antibody (M00300-3) .
P62/SQSTM1 was detected in a paraffin-embedded section of human liver cancer tissue. The tissue section was incubated with rabbit anti-P62/SQSTM1 Antibody (M00300-3) at a dilution of 1:200 and developed using HRP Conjugated Rabbit IgG Super Vision Assay Kit (Catalog # SV0002) with DAB (Catalog # AR1027) as the chromogen.

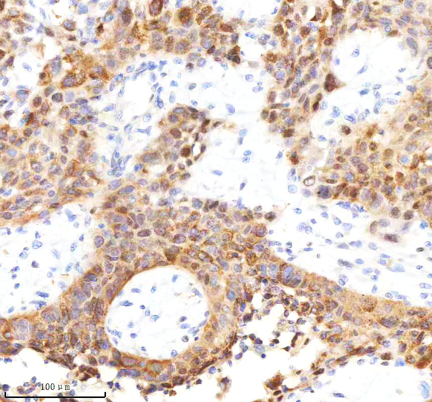
IHC analysis of P62/SQSTM1 using anti-P62/SQSTM1 antibody (M00300-3) .
P62/SQSTM1 was detected in a paraffin-embedded section of human lung cancer tissue. The tissue section was incubated with rabbit anti-P62/SQSTM1 Antibody (M00300-3) at a dilution of 1:200 and developed using HRP Conjugated Rabbit IgG Super Vision Assay Kit (Catalog # SV0002) with DAB (Catalog # AR1027) as the chromogen.

Western blot analysis of anti-P62/SQSTM1 antibody (M00300-3). The sample well of each lane was loaded with 30 ug of sample under reducing conditions.
Lane 1: human HepG2 whole cell lysates,
Lane 2: human 293T whole cell lysates,
Lane 3: human MCF-7 whole cell lysates,
Lane 4: human K562 whole cell lysates,
Lane 5: human A549 whole cell lysates,
Lane 6: human RT4 whole cell lysates,
Lane 7: human A431 whole cell lysates.
After electrophoresis, proteins were transferred to a membrane. Then the membrane was incubated with rabbit anti-P62/SQSTM1 antigen affinity purified monoclonal antibody (M00300-3) at a dilution of 1:1000 and probed with a goat anti-rabbit IgG-HRP secondary antibody (Catalog # BA1054). The signal is developed using ECL Plus Western Blotting Substrate (Catalog # AR1197). A specific band was detected for P62/SQSTM1 at approximately 62 kDa. The expected band size for P62/SQSTM1 is at 48 kDa.

IHC analysis of P62/SQSTM1 using anti-P62/SQSTM1 antibody (M00300-3) .
P62/SQSTM1 was detected in a paraffin-embedded section of human liver tissue. The tissue section was incubated with rabbit anti-P62/SQSTM1 Antibody (M00300-3) at a dilution of 1:200 and developed using HRP Conjugated Rabbit IgG Super Vision Assay Kit (Catalog # SV0002) with DAB (Catalog # AR1027) as the chromogen.

IHC analysis of P62/SQSTM1 using anti-P62/SQSTM1 antibody (M00300-3) .
P62/SQSTM1 was detected in a paraffin-embedded section of human liver cancer tissue. The tissue section was incubated with rabbit anti-P62/SQSTM1 Antibody (M00300-3) at a dilution of 1:200 and developed using HRP Conjugated Rabbit IgG Super Vision Assay Kit (Catalog # SV0002) with DAB (Catalog # AR1027) as the chromogen.

IHC analysis of P62/SQSTM1 using anti-P62/SQSTM1 antibody (M00300-3) .
P62/SQSTM1 was detected in a paraffin-embedded section of human lung cancer tissue. The tissue section was incubated with rabbit anti-P62/SQSTM1 Antibody (M00300-3) at a dilution of 1:200 and developed using HRP Conjugated Rabbit IgG Super Vision Assay Kit (Catalog # SV0002) with DAB (Catalog # AR1027) as the chromogen.









