| Western blot (WB): | 1:500-2000 |
| Immunohistochemistry (IHC): | 1:50-400 |
| Immunocytochemistry/Immunofluorescence (ICC/IF): | 1:50-400 |
| (Boiling the paraffin sections in 10mM citrate buffer,pH6.0,or PH8.0 EDTA repair liquid for 20 mins is required for the staining of formalin/paraffin sections.) Optimal working dilutions must be determined by end user. | |

Western blot analysis of Beta Catenin/CTNNB1 using anti-Beta Catenin/CTNNB1 antibody (PA1212). The sample well of each lane was loaded with 30 ug of sample under reducing conditions.
Lane 1: MM453 whole cell lysates ,
Lane 2: MCF-7 whole cell lysates ,
Lane 3: HELA whole cell lysates.
After electrophoresis, proteins were transferred to a membrane. Then the membrane was incubated with rabbit anti-Beta Catenin/CTNNB1 antigen affinity purified polyclonal antibody (PA1212) at a dilution of 1:1000 and probed with a goat anti-rabbit IgG-HRP secondary antibody (Catalog # BA1054). The signal is developed using ECL Plus Western Blotting Substrate (Catalog # AR1197). A specific band was detected for Beta Catenin/CTNNB1 at approximately 95 kDa. The expected band size for Beta Catenin/CTNNB1 is at 85 kDa.

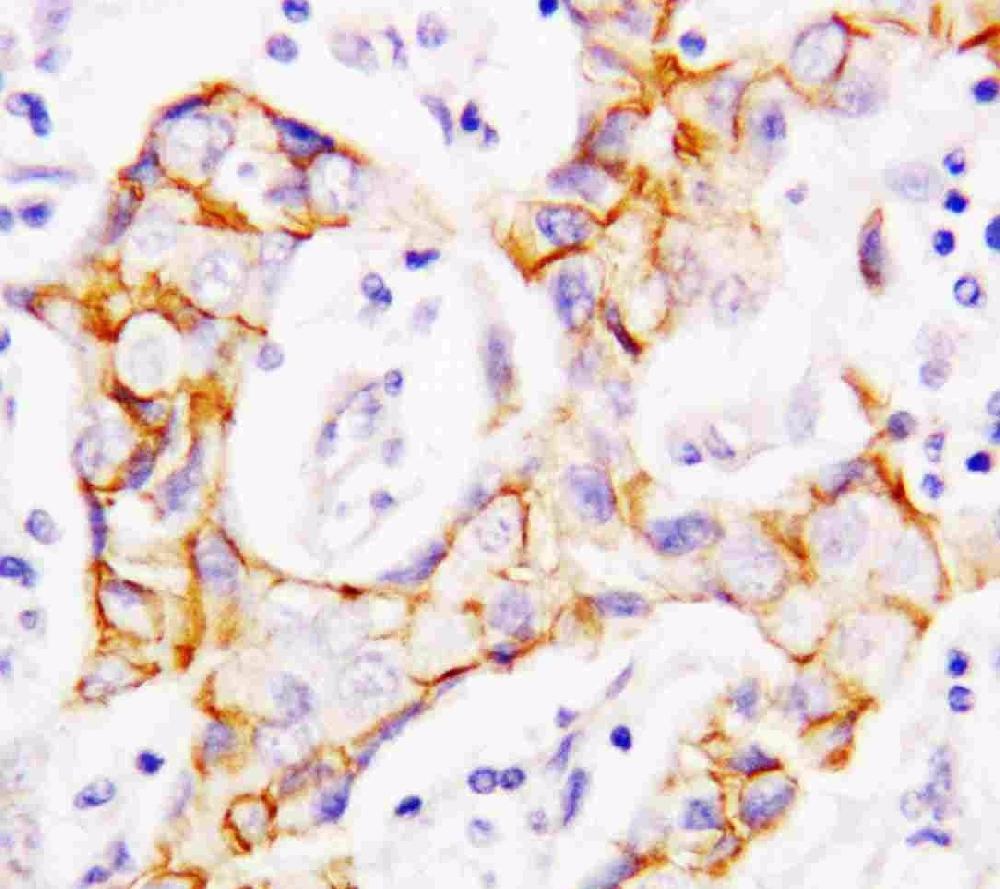
IHC analysis of Beta Catenin/CTNNB1 using anti-Beta Catenin/CTNNB1 antibody (PA1212).
Beta Catenin/CTNNB1 was detected in a paraffin-embedded section of human mammary cancer tissue. The tissue section was incubated with rabbit anti-Beta Catenin/CTNNB1 Antibody (PA1212) at a dilution of 1:200 and developed using HRP Conjugated Rabbit IgG Super Vision Assay Kit (Catalog # SV0002) with DAB (Catalog # AR1027) as the chromogen.

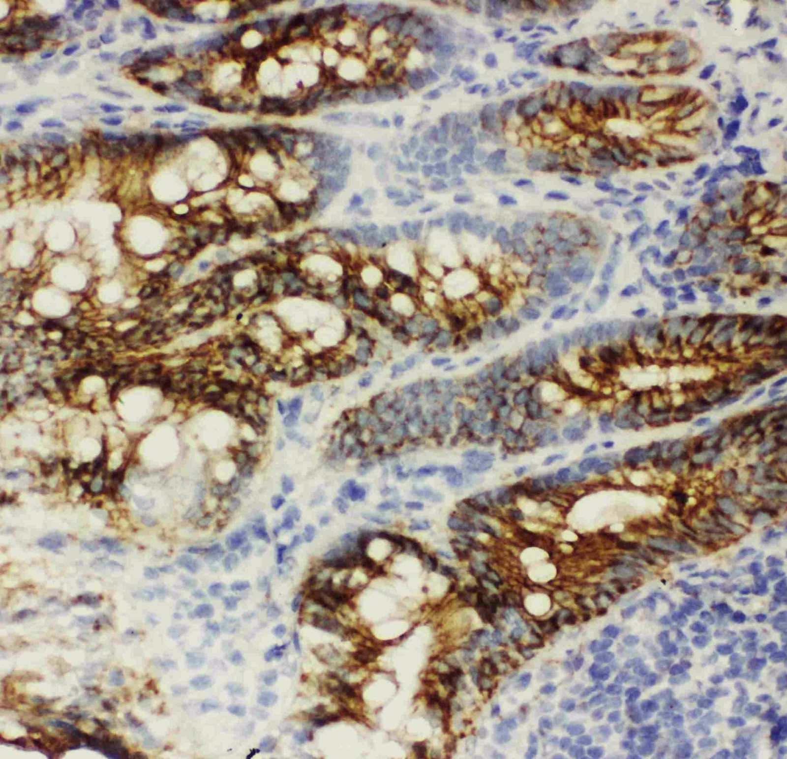
IHC analysis of Beta Catenin/CTNNB1 using anti-Beta Catenin/CTNNB1 antibody (PA1212).
Beta Catenin/CTNNB1 was detected in frozen section of rat intestine tissue. The tissue section was incubated with rabbit anti-Beta Catenin/CTNNB1 Antibody (PA1212) at a dilution of 1:200 and developed using HRP Conjugated Rabbit IgG Super Vision Assay Kit (Catalog # SV0002) with DAB (Catalog # AR1027) as the chromogen.

ICC/IF analysis of Beta Catenin/CTNNB1 using anti-Beta Catenin/CTNNB1 antibody (PA1212).
Beta Catenin/CTNNB1 was detected in an immunocytochemical section of A431 cells. The section was incubated with rabbit anti-Beta Catenin/CTNNB1 Antibody (PA1212) at a dilution of 1:100. Fluoro488 Conjugated Goat Anti-Rabbit IgG (Green) (Catalog # BA1127) was used as secondary antibody. The section was counterstained with DAPI (Catalog # AR1176) (Blue).

Western blot analysis of Beta Catenin/CTNNB1 using anti-Beta Catenin/CTNNB1 antibody (PA1212). The sample well of each lane was loaded with 30 ug of sample under reducing conditions.
Lane 1: MM453 whole cell lysates ,
Lane 2: MCF-7 whole cell lysates ,
Lane 3: HELA whole cell lysates.
After electrophoresis, proteins were transferred to a membrane. Then the membrane was incubated with rabbit anti-Beta Catenin/CTNNB1 antigen affinity purified polyclonal antibody (PA1212) at a dilution of 1:1000 and probed with a goat anti-rabbit IgG-HRP secondary antibody (Catalog # BA1054). The signal is developed using ECL Plus Western Blotting Substrate (Catalog # AR1197). A specific band was detected for Beta Catenin/CTNNB1 at approximately 95 kDa. The expected band size for Beta Catenin/CTNNB1 is at 85 kDa.

IHC analysis of Beta Catenin/CTNNB1 using anti-Beta Catenin/CTNNB1 antibody (PA1212).
Beta Catenin/CTNNB1 was detected in a paraffin-embedded section of human mammary cancer tissue. The tissue section was incubated with rabbit anti-Beta Catenin/CTNNB1 Antibody (PA1212) at a dilution of 1:200 and developed using HRP Conjugated Rabbit IgG Super Vision Assay Kit (Catalog # SV0002) with DAB (Catalog # AR1027) as the chromogen.

IHC analysis of Beta Catenin/CTNNB1 using anti-Beta Catenin/CTNNB1 antibody (PA1212).
Beta Catenin/CTNNB1 was detected in frozen section of rat intestine tissue. The tissue section was incubated with rabbit anti-Beta Catenin/CTNNB1 Antibody (PA1212) at a dilution of 1:200 and developed using HRP Conjugated Rabbit IgG Super Vision Assay Kit (Catalog # SV0002) with DAB (Catalog # AR1027) as the chromogen.

ICC/IF analysis of Beta Catenin/CTNNB1 using anti-Beta Catenin/CTNNB1 antibody (PA1212).
Beta Catenin/CTNNB1 was detected in an immunocytochemical section of A431 cells. The section was incubated with rabbit anti-Beta Catenin/CTNNB1 Antibody (PA1212) at a dilution of 1:100. Fluoro488 Conjugated Goat Anti-Rabbit IgG (Green) (Catalog # BA1127) was used as secondary antibody. The section was counterstained with DAPI (Catalog # AR1176) (Blue).



