| Western blot (WB): | 1:1000-5000 |
| Immunohistochemistry (IHC): | 1:50-200 |
| Immunocytochemistry/Immunofluorescence (ICC/IF): | 1:50-200 |
| ImmunoPrecipitation (IP): | 1:20 |

Western blot analysis of anti-Beta Catenin/CTNNB1 antibody (BM3905). The sample well of each lane was loaded with 30 ug of sample under reducing conditions.
Lane 1: human HepG2 whole cell lysates,
Lane 2: human MCF-7 whole cell lysates,
Lane 3: rat PC-12 whole cell lysates,
Lane 4: rat RH-35 whole cell lysates,
Lane 5: mouse NIH/3T3 whole cell lysates.
After electrophoresis, proteins were transferred to a membrane. Then the membrane was incubated with rabbit anti-Beta Catenin/CTNNB1 antigen affinity purified monoclonal antibody (BM3905) at a dilution of 1:1000 and probed with a goat anti-rabbit IgG-HRP secondary antibody (Catalog # BA1054). The signal is developed using ECL Plus Western Blotting Substrate (Catalog # AR1197). A specific band was detected for Beta Catenin/CTNNB1 at approximately 95 kDa. The expected band size for Beta Catenin/CTNNB1 is at 85 kDa.

IHC analysis of Beta Catenin/CTNNB1 using anti-Beta Catenin/CTNNB1 antibody (BM3905) .
Beta Catenin/CTNNB1 was detected in a paraffin-embedded section of human bladder squamous cell carcinomar tissue. The tissue section was incubated with rabbit anti-Beta Catenin/CTNNB1 Antibody (BM3905) at a dilution of 1:200 and developed using HRP Conjugated Rabbit IgG Super Vision Assay Kit (Catalog # SV0002) with DAB (Catalog # AR1027) as the chromogen.

IHC analysis of Beta Catenin/CTNNB1 using anti-Beta Catenin/CTNNB1 antibody (BM3905) .
Beta Catenin/CTNNB1 was detected in a paraffin-embedded section of human liver cancer tissue. The tissue section was incubated with rabbit anti-Beta Catenin/CTNNB1 Antibody (BM3905) at a dilution of 1:200 and developed using HRP Conjugated Rabbit IgG Super Vision Assay Kit (Catalog # SV0002) with DAB (Catalog # AR1027) as the chromogen.

IHC analysis of Beta Catenin/CTNNB1 using anti-Beta Catenin/CTNNB1 antibody (BM3905) .
Beta Catenin/CTNNB1 was detected in a paraffin-embedded section of human ovarian cancer tissue. The tissue section was incubated with rabbit anti-Beta Catenin/CTNNB1 Antibody (BM3905) at a dilution of 1:200 and developed using HRP Conjugated Rabbit IgG Super Vision Assay Kit (Catalog # SV0002) with DAB (Catalog # AR1027) as the chromogen.

IHC analysis of Beta Catenin/CTNNB1 using anti-Beta Catenin/CTNNB1 antibody (BM3905) .
Beta Catenin/CTNNB1 was detected in a paraffin-embedded section of human placenta tissue. The tissue section was incubated with rabbit anti-Beta Catenin/CTNNB1 Antibody (BM3905) at a dilution of 1:200 and developed using HRP Conjugated Rabbit IgG Super Vision Assay Kit (Catalog # SV0002) with DAB (Catalog # AR1027) as the chromogen.

IHC analysis of Beta Catenin/CTNNB1 using anti-Beta Catenin/CTNNB1 antibody (BM3905) .
Beta Catenin/CTNNB1 was detected in a paraffin-embedded section of rat intestines tissue. The tissue section was incubated with rabbit anti-Beta Catenin/CTNNB1 Antibody (BM3905) at a dilution of 1:200 and developed using HRP Conjugated Rabbit IgG Super Vision Assay Kit (Catalog # SV0002) with DAB (Catalog # AR1027) as the chromogen.

Western blot analysis of anti-Beta Catenin/CTNNB1 antibody (BM3905). The sample well of each lane was loaded with 30 ug of sample under reducing conditions.
Lane 1: human HepG2 whole cell lysates,
Lane 2: human MCF-7 whole cell lysates,
Lane 3: rat PC-12 whole cell lysates,
Lane 4: rat RH-35 whole cell lysates,
Lane 5: mouse NIH/3T3 whole cell lysates.
After electrophoresis, proteins were transferred to a membrane. Then the membrane was incubated with rabbit anti-Beta Catenin/CTNNB1 antigen affinity purified monoclonal antibody (BM3905) at a dilution of 1:1000 and probed with a goat anti-rabbit IgG-HRP secondary antibody (Catalog # BA1054). The signal is developed using ECL Plus Western Blotting Substrate (Catalog # AR1197). A specific band was detected for Beta Catenin/CTNNB1 at approximately 95 kDa. The expected band size for Beta Catenin/CTNNB1 is at 85 kDa.

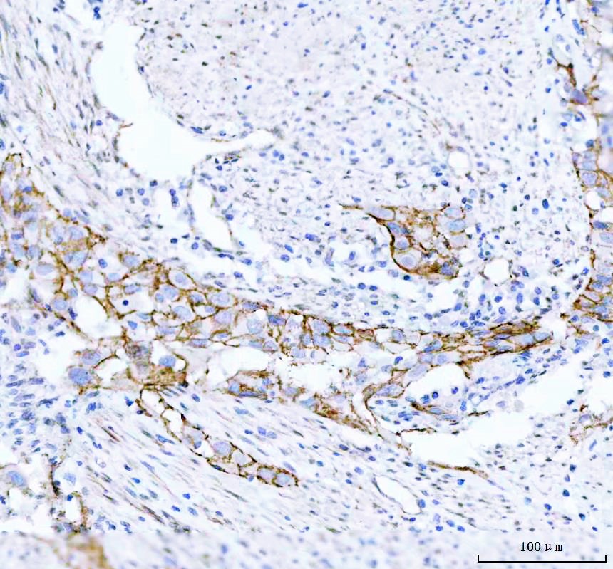
IHC analysis of Beta Catenin/CTNNB1 using anti-Beta Catenin/CTNNB1 antibody (BM3905) .
Beta Catenin/CTNNB1 was detected in a paraffin-embedded section of human bladder squamous cell carcinomar tissue. The tissue section was incubated with rabbit anti-Beta Catenin/CTNNB1 Antibody (BM3905) at a dilution of 1:200 and developed using HRP Conjugated Rabbit IgG Super Vision Assay Kit (Catalog # SV0002) with DAB (Catalog # AR1027) as the chromogen.

IHC analysis of Beta Catenin/CTNNB1 using anti-Beta Catenin/CTNNB1 antibody (BM3905) .
Beta Catenin/CTNNB1 was detected in a paraffin-embedded section of human liver cancer tissue. The tissue section was incubated with rabbit anti-Beta Catenin/CTNNB1 Antibody (BM3905) at a dilution of 1:200 and developed using HRP Conjugated Rabbit IgG Super Vision Assay Kit (Catalog # SV0002) with DAB (Catalog # AR1027) as the chromogen.

IHC analysis of Beta Catenin/CTNNB1 using anti-Beta Catenin/CTNNB1 antibody (BM3905) .
Beta Catenin/CTNNB1 was detected in a paraffin-embedded section of human ovarian cancer tissue. The tissue section was incubated with rabbit anti-Beta Catenin/CTNNB1 Antibody (BM3905) at a dilution of 1:200 and developed using HRP Conjugated Rabbit IgG Super Vision Assay Kit (Catalog # SV0002) with DAB (Catalog # AR1027) as the chromogen.

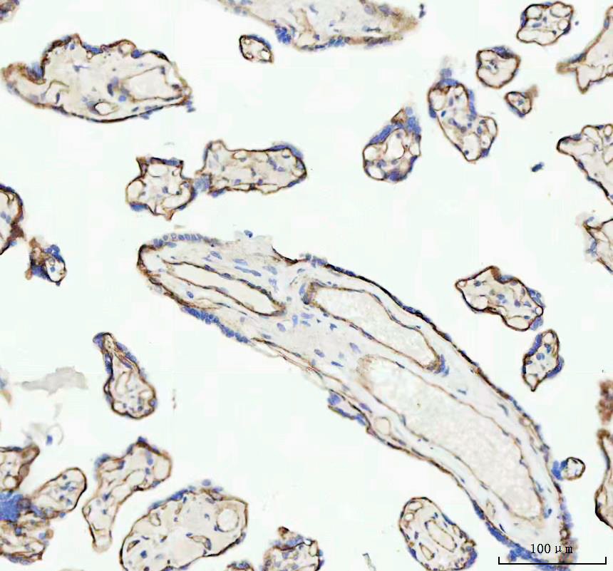
IHC analysis of Beta Catenin/CTNNB1 using anti-Beta Catenin/CTNNB1 antibody (BM3905) .
Beta Catenin/CTNNB1 was detected in a paraffin-embedded section of human placenta tissue. The tissue section was incubated with rabbit anti-Beta Catenin/CTNNB1 Antibody (BM3905) at a dilution of 1:200 and developed using HRP Conjugated Rabbit IgG Super Vision Assay Kit (Catalog # SV0002) with DAB (Catalog # AR1027) as the chromogen.

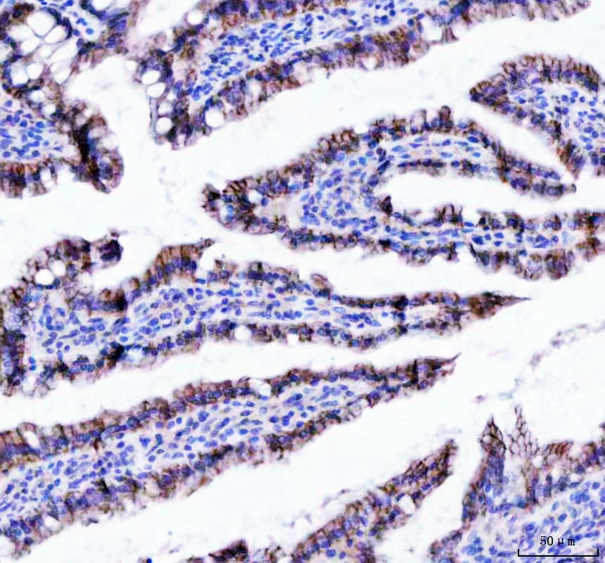
IHC analysis of Beta Catenin/CTNNB1 using anti-Beta Catenin/CTNNB1 antibody (BM3905) .
Beta Catenin/CTNNB1 was detected in a paraffin-embedded section of rat intestines tissue. The tissue section was incubated with rabbit anti-Beta Catenin/CTNNB1 Antibody (BM3905) at a dilution of 1:200 and developed using HRP Conjugated Rabbit IgG Super Vision Assay Kit (Catalog # SV0002) with DAB (Catalog # AR1027) as the chromogen.









