| Western blot (WB): | 1:500-2000 |
| Immunohistochemistry (IHC): | 1:50-400 |
| Immunocytochemistry/Immunofluorescence (ICC/IF): | 1:50-400 |
| Flow Cytometry (Fixed): | 1:50-200 |
| (Boiling the paraffin sections in 10mM citrate buffer,pH6.0,or PH8.0 EDTA repair liquid for 20 mins is required for the staining of formalin/paraffin sections.) Optimal working dilutions must be determined by end user. | |

Western blot analysis of anti-Beta Catenin/CTNNB1 antibody (M00004-2). The sample well of each lane was loaded with 30 ug of sample under reducing conditions.
Lane 1: human Hela whole cell lysates,
Lane 2: human HepG2 whole cell lysates,
Lane 3: human MCF-7 whole cell lysates,
Lane 4: human A431 whole cell lysates,
Lane 5: human RT4 whole cell lysates,
Lane 6: human T-47D whole cell lysates.
After electrophoresis, proteins were transferred to a membrane. Then the membrane was incubated with mouse anti-Beta Catenin/CTNNB1 antigen affinity purified monoclonal antibody (M00004-2) at a dilution of 1:1000 and probed with a goat anti-mouse IgG-HRP secondary antibody (Catalog # BA1050). The signal is developed using ECL Plus Western Blotting Substrate (Catalog # AR1197). A specific band was detected for Beta Catenin/CTNNB1 at approximately 95 kDa. The expected band size for Beta Catenin/CTNNB1 is at 85 kDa.

IHC analysis of Beta Catenin/CTNNB1 using anti-Beta Catenin/CTNNB1 antibody (M00004-2).
Beta Catenin/CTNNB1 was detected in a paraffin-embedded section of human mammary cancer tissue. Biotinylated goat anti-mouse IgG was used as secondary antibody. The tissue section was incubated with mouse anti-Beta Catenin/CTNNB1 Antibody (M00004-2) at a dilution of 1:200 and developed using Strepavidin-Biotin-Complex (SABC) (Catalog # SA1021) with DAB (Catalog # AR1027) as the chromogen.

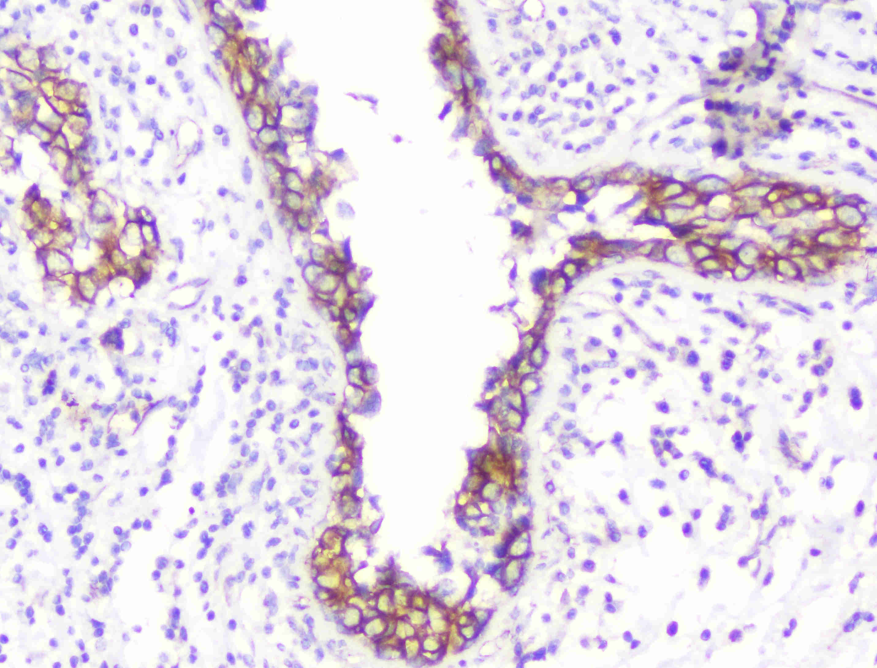
IHC analysis of Beta Catenin/CTNNB1 using anti-Beta Catenin/CTNNB1 antibody (M00004-2).
Beta Catenin/CTNNB1 was detected in a paraffin-embedded section of human mammary cancer tissue. Biotinylated goat anti-mouse IgG was used as secondary antibody. The tissue section was incubated with mouse anti-Beta Catenin/CTNNB1 Antibody (M00004-2) at a dilution of 1:200 and developed using Strepavidin-Biotin-Complex (SABC) (Catalog # SA1021) with DAB (Catalog # AR1027) as the chromogen.

ICC analysis of Beta Catenin/CTNNB1 using anti- Beta Catenin/CTNNB1 antibody (M00004-2).
Beta Catenin/CTNNB1 was detected in an immunocytochemical section of A549 cells. The section was incubated with mouse anti-Beta Catenin/CTNNB1 Antibody (M00004-2) at a dilution of 1:100. Biotinylated goat anti-mouse IgG was used as secondary antibody. The section was developed using Strepavidin-Biotin-Complex (SABC)(Catalog # SA1021) with DAB (Catalog # AR1027) as the chromogen.

ICC/IF analysis of beta Catenin using anti- beta Catenin antibody (M00004-2)
beta Catenin was detected in immunocytochemical section of A431 cell. Enzyme antigen retrieval was performed using IHC enzyme antigen retrieval reagent (AR0022) for 15 mins. The tissue section was blocked with 10% goat serum. The tissue section was then incubated with 2μg/mL mouse anti- beta Catenin Antibody (M00004-2) overnight at 4°C. Fluoro488 Conjugated Goat Anti-Mouse IgG (BA1126) was used as secondary antibody at 1:100 dilution and incubated for 30 minutes at 37°C. The section was counterstained with DAPI. Visualize using a fluorescence microscope and filter sets appropriate for the label used.

Flow Cytometry analysis of SiHa cells using anti-beta Catenin antibody (M00004-2).Overlay histogram showing SiHa cells stained with M00004-2 (Blue line).The cells were blocked with 10% normal goat serum. And then incubated with mouse anti-beta Catenin Antibody (M00004-2, 1:100) for 30 min at 20°C. Fluoro®488 conjugated goat anti-mouse IgG (BA1126, 1:100) was used as secondary antibody for 30 minutes at 20°C. Isotype control antibody (Green line) was mouse IgG (1:100) used under the same conditions. Unlabelled sample (Red line) was also used as a control.

Western blot analysis of anti-Beta Catenin/CTNNB1 antibody (M00004-2). The sample well of each lane was loaded with 30 ug of sample under reducing conditions.
Lane 1: human Hela whole cell lysates,
Lane 2: human HepG2 whole cell lysates,
Lane 3: human MCF-7 whole cell lysates,
Lane 4: human A431 whole cell lysates,
Lane 5: human RT4 whole cell lysates,
Lane 6: human T-47D whole cell lysates.
After electrophoresis, proteins were transferred to a membrane. Then the membrane was incubated with mouse anti-Beta Catenin/CTNNB1 antigen affinity purified monoclonal antibody (M00004-2) at a dilution of 1:1000 and probed with a goat anti-mouse IgG-HRP secondary antibody (Catalog # BA1050). The signal is developed using ECL Plus Western Blotting Substrate (Catalog # AR1197). A specific band was detected for Beta Catenin/CTNNB1 at approximately 95 kDa. The expected band size for Beta Catenin/CTNNB1 is at 85 kDa.

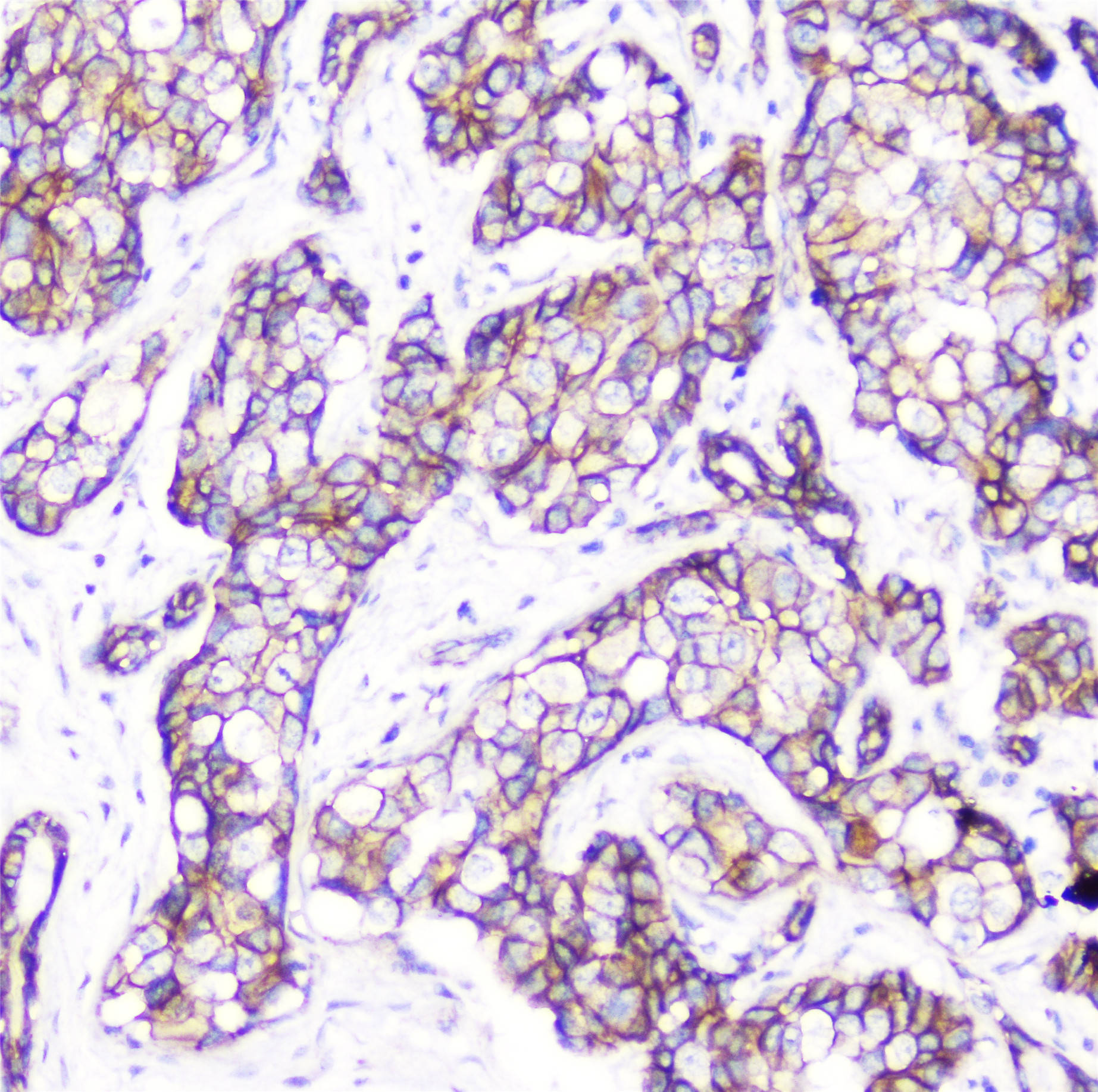
IHC analysis of Beta Catenin/CTNNB1 using anti-Beta Catenin/CTNNB1 antibody (M00004-2).
Beta Catenin/CTNNB1 was detected in a paraffin-embedded section of human mammary cancer tissue. Biotinylated goat anti-mouse IgG was used as secondary antibody. The tissue section was incubated with mouse anti-Beta Catenin/CTNNB1 Antibody (M00004-2) at a dilution of 1:200 and developed using Strepavidin-Biotin-Complex (SABC) (Catalog # SA1021) with DAB (Catalog # AR1027) as the chromogen.

IHC analysis of Beta Catenin/CTNNB1 using anti-Beta Catenin/CTNNB1 antibody (M00004-2).
Beta Catenin/CTNNB1 was detected in a paraffin-embedded section of human mammary cancer tissue. Biotinylated goat anti-mouse IgG was used as secondary antibody. The tissue section was incubated with mouse anti-Beta Catenin/CTNNB1 Antibody (M00004-2) at a dilution of 1:200 and developed using Strepavidin-Biotin-Complex (SABC) (Catalog # SA1021) with DAB (Catalog # AR1027) as the chromogen.

ICC analysis of Beta Catenin/CTNNB1 using anti- Beta Catenin/CTNNB1 antibody (M00004-2).
Beta Catenin/CTNNB1 was detected in an immunocytochemical section of A549 cells. The section was incubated with mouse anti-Beta Catenin/CTNNB1 Antibody (M00004-2) at a dilution of 1:100. Biotinylated goat anti-mouse IgG was used as secondary antibody. The section was developed using Strepavidin-Biotin-Complex (SABC)(Catalog # SA1021) with DAB (Catalog # AR1027) as the chromogen.

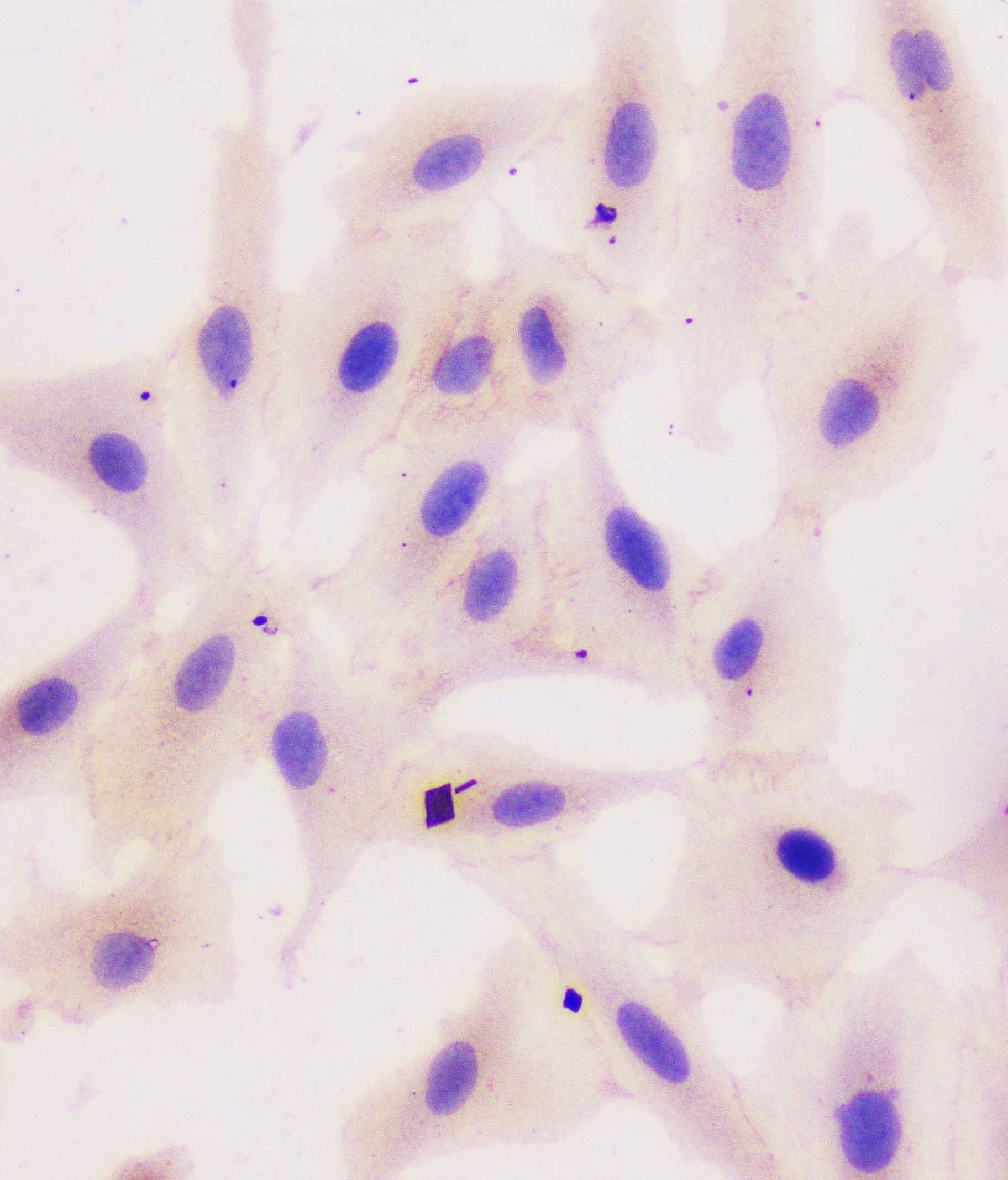
ICC/IF analysis of beta Catenin using anti- beta Catenin antibody (M00004-2)
beta Catenin was detected in immunocytochemical section of A431 cell. Enzyme antigen retrieval was performed using IHC enzyme antigen retrieval reagent (AR0022) for 15 mins. The tissue section was blocked with 10% goat serum. The tissue section was then incubated with 2μg/mL mouse anti- beta Catenin Antibody (M00004-2) overnight at 4°C. Fluoro488 Conjugated Goat Anti-Mouse IgG (BA1126) was used as secondary antibody at 1:100 dilution and incubated for 30 minutes at 37°C. The section was counterstained with DAPI. Visualize using a fluorescence microscope and filter sets appropriate for the label used.

Flow Cytometry analysis of SiHa cells using anti-beta Catenin antibody (M00004-2).Overlay histogram showing SiHa cells stained with M00004-2 (Blue line).The cells were blocked with 10% normal goat serum. And then incubated with mouse anti-beta Catenin Antibody (M00004-2, 1:100) for 30 min at 20°C. Fluoro®488 conjugated goat anti-mouse IgG (BA1126, 1:100) was used as secondary antibody for 30 minutes at 20°C. Isotype control antibody (Green line) was mouse IgG (1:100) used under the same conditions. Unlabelled sample (Red line) was also used as a control.





