| Western blot (WB): | 1:2000 |
| Immunohistochemistry (IHC): | 1:150 |

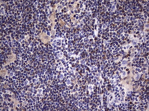
Immunohistochemical staining of paraffin-embedded Human tonsil within the normal limits using anti-BCL2 mouse monoclonal antibody. (Heat-induced epitope retrieval by 1mM EDTA in 10mM Tris, pH8.5, 120°C for 3min, MA00040)

Western blot analysis of extracts (10ug) from 7 different cell lines by using anti-BCL2 monoclonal antibody (1:200).

Immunohistochemical staining of paraffin-embedded Human lymphoma tissue using anti-BCL2 mouse monoclonal antibody. (Heat-induced epitope retrieval by 1mM EDTA in 10mM Tris, pH8.5, 120°C for 3min, MA00040)

HEK293T cells were transfected with the pCMV6-ENTRY control (Left lane) or pCMV6-ENTRY BCL2 (Right lane) cDNA for 48 hrs and lysed. Equivalent amounts of cell lysates (5 ug per lane) were separated by SDS-PAGE and immunoblotted with anti-BCL2.

Western blot analysis of extracts (35ug) from 5 cell lines lysates by using anti-BCL2 monoclonal antibody (1:500).

Immunohistochemical staining of paraffin-embedded Human tonsil within the normal limits using anti-BCL2 mouse monoclonal antibody. (Heat-induced epitope retrieval by 1mM EDTA in 10mM Tris, pH8.5, 120°C for 3min, MA00040)

Western blot analysis of extracts (10ug) from 7 different cell lines by using anti-BCL2 monoclonal antibody (1:200).

Immunohistochemical staining of paraffin-embedded Human lymphoma tissue using anti-BCL2 mouse monoclonal antibody. (Heat-induced epitope retrieval by 1mM EDTA in 10mM Tris, pH8.5, 120°C for 3min, MA00040)

HEK293T cells were transfected with the pCMV6-ENTRY control (Left lane) or pCMV6-ENTRY BCL2 (Right lane) cDNA for 48 hrs and lysed. Equivalent amounts of cell lysates (5 ug per lane) were separated by SDS-PAGE and immunoblotted with anti-BCL2.

Western blot analysis of extracts (35ug) from 5 cell lines lysates by using anti-BCL2 monoclonal antibody (1:500).




