| Western blot (WB): | 1:500-2000 |
| Immunohistochemistry (IHC): | 1:50-400 |
| Immunocytochemistry/Immunofluorescence (ICC/IF): | 1:50-400 |
| (Boiling the paraffin sections in 10mM citrate buffer,pH6.0,or PH8.0 EDTA repair liquid for 20 mins is required for the staining of formalin/paraffin sections.) Optimal working dilutions must be determined by end user. | |

Lane 1: human 22RV1 whole cell lysates,
Lane 2: human Hela whole cell lysates,
Lane 3: human COLO-320 whole cell lysates,
Lane 4: human PANC-1 whole cell lysates,
Lane 5: human Jurkat whole cell lysates.

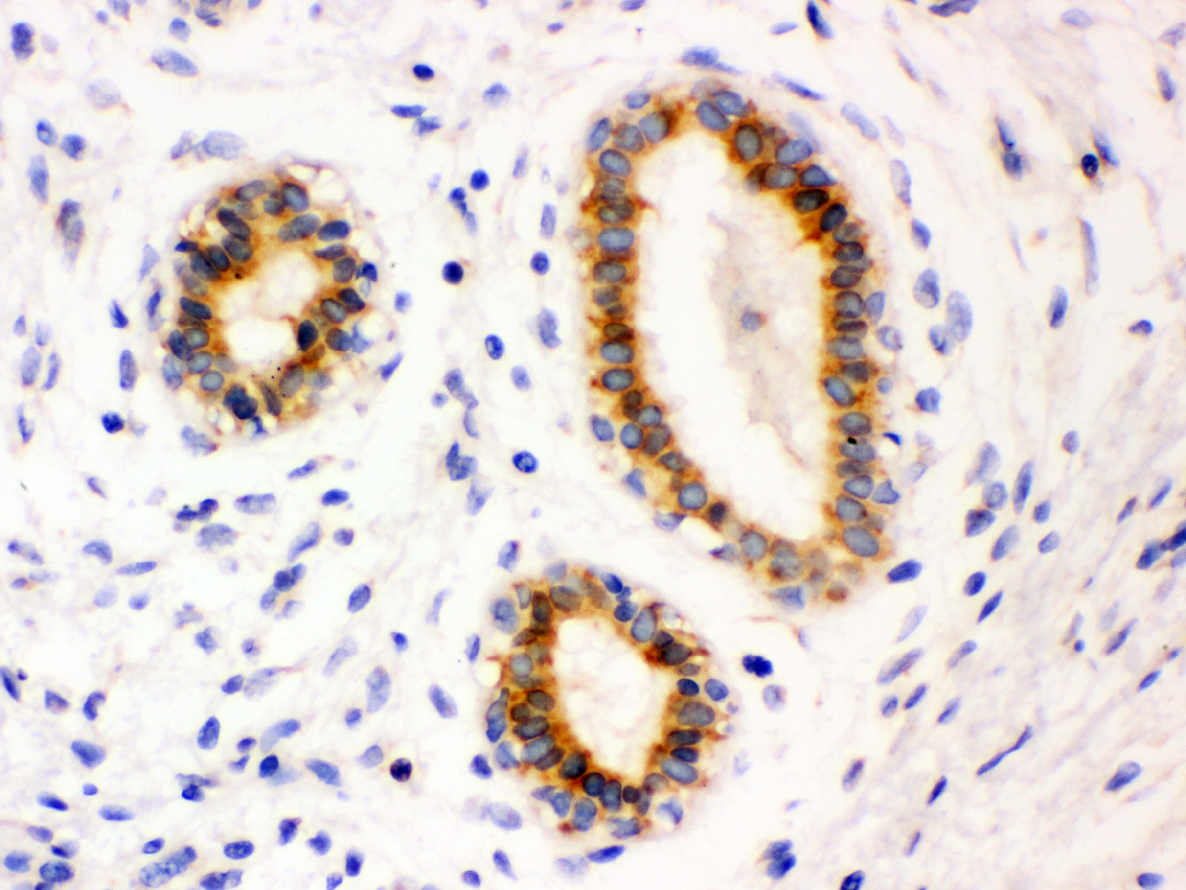
IHC(P): Human Intestinal Cancer Tissue

IHC(P): Human Mammary Cancer Tissue

Lane 1: human 22RV1 whole cell lysates,
Lane 2: human Hela whole cell lysates,
Lane 3: human COLO-320 whole cell lysates,
Lane 4: human PANC-1 whole cell lysates,
Lane 5: human Jurkat whole cell lysates.

IHC(P): Human Intestinal Cancer Tissue

IHC(P): Human Mammary Cancer Tissue




