| Western blot (WB): | 1:500-2000 |
| Immunohistochemistry (IHC): | 1:50-400 |
| Flow Cytometry (Fixed): | 1:50-200 |
| (Boiling the paraffin sections in 10mM citrate buffer,pH6.0,or PH8.0 EDTA repair liquid for 20 mins is required for the staining of formalin/paraffin sections.) Optimal working dilutions must be determined by end user. | |

Western blot analysis of BCL2 using anti-BCL2 antibody (A00040-1). The sample well of each lane was loaded with 30 ug of sample under reducing conditions.
Lane 1: rat liver tissue lysates,
Lane 2: mouse thymus tissue lysates,
Lane 3: human MCF-7 whole cell lysates,
Lane 4: human 22RV1 whole cell lysates.
After electrophoresis, proteins were transferred to a membrane. Then the membrane was incubated with rabbit anti-BCL2 antigen affinity purified polyclonal antibody (A00040-1) at a dilution of 1:1000 and probed with a goat anti-rabbit IgG-HRP secondary antibody (Catalog # BA1054). The signal is developed using ECL Plus Western Blotting Substrate (Catalog # AR1197). A specific band was detected for BCL2 at approximately 26 kDa. The expected band size for BCL2 is at 26 kDa.

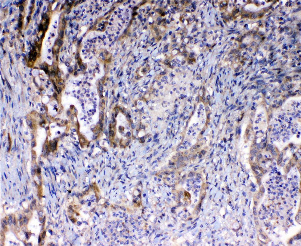
IHC analysis of BCL2 using anti-BCL2 antibody (A00040-1).
BCL2 was detected in a paraffin-embedded section of human intestinal tissue. Biotinylated goat anti-rabbit IgG was used as secondary antibody. The tissue section was incubated with rabbit anti-BCL2 Antibody (A00040-1) at a dilution of 1:200 and developed using Strepavidin-Biotin-Complex (SABC) (Catalog # SA1022) with DAB (Catalog # AR1027) as the chromogen.

Flow Cytometry analysis of U937 cells using anti- Bcl-2 antibody (A00040-1).
Overlay histogram showing U937 cells stained with A00040-1 (Blue line).. Fluoro488 conjugated goat anti-rabbit IgG (BA1127, 1:100) was used as secondary antibody . Isotype control antibody (Green line) was rabbit IgG (1:100) used under the same conditions. Unlabelled sample (Red line) was also used as a control.

Western blot analysis of BCL2 using anti-BCL2 antibody (A00040-1). The sample well of each lane was loaded with 30 ug of sample under reducing conditions.
Lane 1: rat liver tissue lysates,
Lane 2: mouse thymus tissue lysates,
Lane 3: human MCF-7 whole cell lysates,
Lane 4: human 22RV1 whole cell lysates.
After electrophoresis, proteins were transferred to a membrane. Then the membrane was incubated with rabbit anti-BCL2 antigen affinity purified polyclonal antibody (A00040-1) at a dilution of 1:1000 and probed with a goat anti-rabbit IgG-HRP secondary antibody (Catalog # BA1054). The signal is developed using ECL Plus Western Blotting Substrate (Catalog # AR1197). A specific band was detected for BCL2 at approximately 26 kDa. The expected band size for BCL2 is at 26 kDa.

IHC analysis of BCL2 using anti-BCL2 antibody (A00040-1).
BCL2 was detected in a paraffin-embedded section of human intestinal tissue. Biotinylated goat anti-rabbit IgG was used as secondary antibody. The tissue section was incubated with rabbit anti-BCL2 Antibody (A00040-1) at a dilution of 1:200 and developed using Strepavidin-Biotin-Complex (SABC) (Catalog # SA1022) with DAB (Catalog # AR1027) as the chromogen.

Flow Cytometry analysis of U937 cells using anti- Bcl-2 antibody (A00040-1).
Overlay histogram showing U937 cells stained with A00040-1 (Blue line).. Fluoro488 conjugated goat anti-rabbit IgG (BA1127, 1:100) was used as secondary antibody . Isotype control antibody (Green line) was rabbit IgG (1:100) used under the same conditions. Unlabelled sample (Red line) was also used as a control.


