| Western blot (WB): | 1:2000 |
| Immunohistochemistry (IHC): | 1:150 |

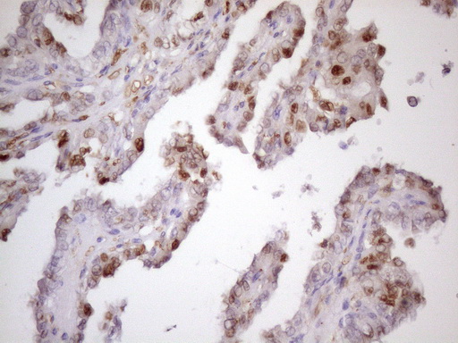
Immunohistochemical staining of paraffin-embedded Carcinoma of Human kidney tissue using anti-CDKN1A mouse monoclonal antibody. (Heat-induced epitope retrieval by 1mM EDTA in 10mM Tris, pH8.5, 120°C for 3min, M00145-4) (1:150)

Immunohistochemical staining of paraffin-embedded Carcinoma of Human thyroid tissue using anti-CDKN1A mouse monoclonal antibody. (Heat-induced epitope retrieval by 1mM EDTA in 10mM Tris, pH8.5, 120°C for 3min, M00145-4) (1:150)

Western blot analysis of extracts (10ug) from 1 cell line by using anti-CDKN1A monoclonal antibody (1:200).

Western blot analysis of extracts (35ug) from 8 cell lines by using anti-CDKN1A monoclonal antibody (1:250).

HEK293T cells were transfected with the pCMV6-ENTRY control (Left lane) or pCMV6-ENTRY CDKN1A (Right lane) cDNA for 48 hrs and lysed. Equivalent amounts of cell lysates (5 ug per lane) were separated by SDS-PAGE and immunoblotted with anti-CDKN1A (1:2000).

Immunohistochemical staining of paraffin-embedded Carcinoma of Human kidney tissue using anti-CDKN1A mouse monoclonal antibody. (Heat-induced epitope retrieval by 1mM EDTA in 10mM Tris, pH8.5, 120°C for 3min, M00145-4) (1:150)

Immunohistochemical staining of paraffin-embedded Carcinoma of Human thyroid tissue using anti-CDKN1A mouse monoclonal antibody. (Heat-induced epitope retrieval by 1mM EDTA in 10mM Tris, pH8.5, 120°C for 3min, M00145-4) (1:150)

Western blot analysis of extracts (10ug) from 1 cell line by using anti-CDKN1A monoclonal antibody (1:200).

Western blot analysis of extracts (35ug) from 8 cell lines by using anti-CDKN1A monoclonal antibody (1:250).

HEK293T cells were transfected with the pCMV6-ENTRY control (Left lane) or pCMV6-ENTRY CDKN1A (Right lane) cDNA for 48 hrs and lysed. Equivalent amounts of cell lysates (5 ug per lane) were separated by SDS-PAGE and immunoblotted with anti-CDKN1A (1:2000).




