| Western blot (WB): | 1:500-2000 |
| Immunohistochemistry (IHC): | 1:50-400 |
| Immunocytochemistry/Immunofluorescence (ICC/IF): | 1:50-400 |
| Enzyme linked immunosorbent assay (ELISA): | 1:100-1000 |
| (Boiling the paraffin sections in 10mM citrate buffer,pH6.0,or PH8.0 EDTA repair liquid for 20 mins is required for the staining of formalin/paraffin sections.) Optimal working dilutions must be determined by end user. | |

Western blot analysis of anti-P21/CDKN1A antibody (A00145-1). The sample well of each lane was loaded with 30 ug of sample under reducing conditions.
Lane 1: human Hela whole cell lysates,
Lane 2: human HepG2 whole cell lysates,
Lane 3: human MCF-7 whole cell lysates,
Lane 4: human U2OS whole cell lysates,
Lane 5: human SiHa whole cell lysates.
After electrophoresis, proteins were transferred to a membrane. Then the membrane was incubated with rabbit anti-P21/CDKN1A antigen affinity purified polyclonal antibody (A00145-1) and probed with a goat anti-rabbit IgG-HRP secondary antibody (Catalog # BA1054). The signal is developed using ECL Plus Western Blotting Substrate (Catalog # AR1197). A specific band was detected for P21/CDKN1A at approximately 21 kDa. The expected band size for P21/CDKN1A is at 21 kDa.

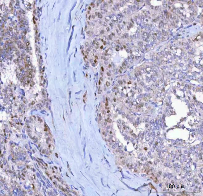
IHC analysis of P21/CDKN1A using anti-P21/CDKN1A antibody (A00145-1).
P21/CDKN1A was detected in a paraffin-embedded section of human thyroid cancer tissue. The tissue section was developed using HRP Conjugated Rabbit IgG Super Vision Assay Kit (Catalog # SV0002) with DAB (Catalog # AR1027) as the chromogen.

IHC analysis of P21/CDKN1A using anti-P21/CDKN1A antibody (A00145-1).
P21/CDKN1A was detected in a paraffin-embedded section of human ovarian cancer tissue. The tissue section was developed using HRP Conjugated Rabbit IgG Super Vision Assay Kit (Catalog # SV0002) with DAB (Catalog # AR1027) as the chromogen.

ICC/IF analysis of P21/CDKN1A using anti-P21/CDKN1A antibody (A00145-1) and anti-Beta Tubulin antibody (M01857-3).
P21/CDKN1A was detected in an immunocytochemical section of Hela cells. Fluoro488-conjugated Anti-rabbit IgG Secondary Antibody (green)(Catalog#BA1127) and Fluoro550-conjugated Anti-mouse IgG Secondary Antibody (red)(Catalog#BA1133) were used as secondary antibody.

Western blot analysis of anti-P21/CDKN1A antibody (A00145-1). The sample well of each lane was loaded with 30 ug of sample under reducing conditions.
Lane 1: human Hela whole cell lysates,
Lane 2: human HepG2 whole cell lysates,
Lane 3: human MCF-7 whole cell lysates,
Lane 4: human U2OS whole cell lysates,
Lane 5: human SiHa whole cell lysates.
After electrophoresis, proteins were transferred to a membrane. Then the membrane was incubated with rabbit anti-P21/CDKN1A antigen affinity purified polyclonal antibody (A00145-1) and probed with a goat anti-rabbit IgG-HRP secondary antibody (Catalog # BA1054). The signal is developed using ECL Plus Western Blotting Substrate (Catalog # AR1197). A specific band was detected for P21/CDKN1A at approximately 21 kDa. The expected band size for P21/CDKN1A is at 21 kDa.

IHC analysis of P21/CDKN1A using anti-P21/CDKN1A antibody (A00145-1).
P21/CDKN1A was detected in a paraffin-embedded section of human thyroid cancer tissue. The tissue section was developed using HRP Conjugated Rabbit IgG Super Vision Assay Kit (Catalog # SV0002) with DAB (Catalog # AR1027) as the chromogen.

IHC analysis of P21/CDKN1A using anti-P21/CDKN1A antibody (A00145-1).
P21/CDKN1A was detected in a paraffin-embedded section of human ovarian cancer tissue. The tissue section was developed using HRP Conjugated Rabbit IgG Super Vision Assay Kit (Catalog # SV0002) with DAB (Catalog # AR1027) as the chromogen.

ICC/IF analysis of P21/CDKN1A using anti-P21/CDKN1A antibody (A00145-1) and anti-Beta Tubulin antibody (M01857-3).
P21/CDKN1A was detected in an immunocytochemical section of Hela cells. Fluoro488-conjugated Anti-rabbit IgG Secondary Antibody (green)(Catalog#BA1127) and Fluoro550-conjugated Anti-mouse IgG Secondary Antibody (red)(Catalog#BA1133) were used as secondary antibody.





