| Western blot (WB): | 1:2000 |
| Immunohistochemistry (IHC): | 1:150 |

Immunohistochemical staining of paraffin-embedded Carcinoma of Human liver tissue using anti-PCNA mouse monoclonal antibody. (Heat-induced epitope retrieval by 10mM citric buffer, pH6.0, 120°C for 3min, M00125-4)

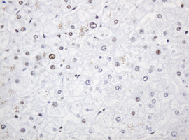
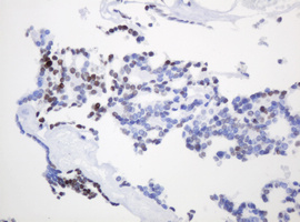
Immunohistochemical staining of paraffin-embedded Human liver tissue within the normal limits using anti-PCNA mouse monoclonal antibody. (Heat-induced epitope retrieval by 10mM citric buffer, pH6.0, 120°C for 3min, M00125-4)

Immunohistochemical staining of paraffin-embedded Carcinoma of Human kidney tissue using anti-PCNA mouse monoclonal antibody. (Heat-induced epitope retrieval by 10mM citric buffer, pH6.0, 120°C for 3min, M00125-4)

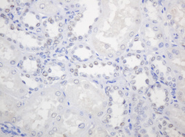
Immunohistochemical staining of paraffin-embedded Human Kidney tissue within the normal limits using anti-PCNA mouse monoclonal antibody. (Heat-induced epitope retrieval by 10mM citric buffer, pH6.0, 120°C for 3min, M00125-4)

Immunohistochemical staining of paraffin-embedded Adenocarcinoma of Human colon tissue using anti-PCNA mouse monoclonal antibody. (Heat-induced epitope retrieval by 10mM citric buffer, pH6.0, 120°C for 3min, M00125-4)

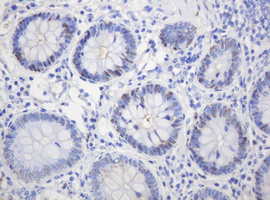
Immunohistochemical staining of paraffin-embedded Human colon tissue within the normal limits using anti-PCNA mouse monoclonal antibody. (Heat-induced epitope retrieval by 10mM citric buffer, pH6.0, 120°C for 3min, M00125-4)

Immunohistochemical staining of paraffin-embedded Adenocarcinoma of Human endometrium tissue using anti-PCNA mouse monoclonal antibody. (Heat-induced epitope retrieval by 10mM citric buffer, pH6.0, 120°C for 3min, M00125-4)

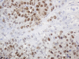
Immunohistochemical staining of paraffin-embedded Carcinoma of Human thyroid tissue using anti-PCNA mouse monoclonal antibody. (Heat-induced epitope retrieval by 10mM citric buffer, pH6.0, 120°C for 3min, M00125-4)

Immunohistochemical staining of paraffin-embedded Human thyroid tissue within the normal limits using anti-PCNA mouse monoclonal antibody. (Heat-induced epitope retrieval by 10mM citric buffer, pH6.0, 120°C for 3min, M00125-4)

Immunohistochemical staining of paraffin-embedded Adenocarcinoma of Human ovary tissue using anti-PCNA mouse monoclonal antibody. (Heat-induced epitope retrieval by 10mM citric buffer, pH6.0, 120°C for 3min, M00125-4)

Immunohistochemical staining of paraffin-embedded Carcinoma of Human lung tissue using anti-PCNA mouse monoclonal antibody. (Heat-induced epitope retrieval by 10mM citric buffer, pH6.0, 120°C for 3min, M00125-4)

Western blot analysis of extracts (15ug) from 2 different cell lines by using anti-PCNA monoclonal antibody (293T, lefe lane; Hela, right lane). Dilution: 1:2000

HEK293T cells were transfected with the pCMV6-ENTRY control (Left lane) or pCMV6-ENTRY PCNA (Right lane) cDNA for 48 hrs and lysed. Equivalent amounts of cell lysates (5 ug per lane) were separated by SDS-PAGE and immunoblotted with anti-PCNA.

Immunohistochemical staining of paraffin-embedded Carcinoma of Human liver tissue using anti-PCNA mouse monoclonal antibody. (Heat-induced epitope retrieval by 10mM citric buffer, pH6.0, 120°C for 3min, M00125-4)

Immunohistochemical staining of paraffin-embedded Human liver tissue within the normal limits using anti-PCNA mouse monoclonal antibody. (Heat-induced epitope retrieval by 10mM citric buffer, pH6.0, 120°C for 3min, M00125-4)

Immunohistochemical staining of paraffin-embedded Carcinoma of Human kidney tissue using anti-PCNA mouse monoclonal antibody. (Heat-induced epitope retrieval by 10mM citric buffer, pH6.0, 120°C for 3min, M00125-4)

Immunohistochemical staining of paraffin-embedded Human Kidney tissue within the normal limits using anti-PCNA mouse monoclonal antibody. (Heat-induced epitope retrieval by 10mM citric buffer, pH6.0, 120°C for 3min, M00125-4)

Immunohistochemical staining of paraffin-embedded Adenocarcinoma of Human colon tissue using anti-PCNA mouse monoclonal antibody. (Heat-induced epitope retrieval by 10mM citric buffer, pH6.0, 120°C for 3min, M00125-4)

Immunohistochemical staining of paraffin-embedded Human colon tissue within the normal limits using anti-PCNA mouse monoclonal antibody. (Heat-induced epitope retrieval by 10mM citric buffer, pH6.0, 120°C for 3min, M00125-4)

Immunohistochemical staining of paraffin-embedded Adenocarcinoma of Human endometrium tissue using anti-PCNA mouse monoclonal antibody. (Heat-induced epitope retrieval by 10mM citric buffer, pH6.0, 120°C for 3min, M00125-4)

Immunohistochemical staining of paraffin-embedded Carcinoma of Human thyroid tissue using anti-PCNA mouse monoclonal antibody. (Heat-induced epitope retrieval by 10mM citric buffer, pH6.0, 120°C for 3min, M00125-4)

Immunohistochemical staining of paraffin-embedded Human thyroid tissue within the normal limits using anti-PCNA mouse monoclonal antibody. (Heat-induced epitope retrieval by 10mM citric buffer, pH6.0, 120°C for 3min, M00125-4)

Immunohistochemical staining of paraffin-embedded Adenocarcinoma of Human ovary tissue using anti-PCNA mouse monoclonal antibody. (Heat-induced epitope retrieval by 10mM citric buffer, pH6.0, 120°C for 3min, M00125-4)

Immunohistochemical staining of paraffin-embedded Carcinoma of Human lung tissue using anti-PCNA mouse monoclonal antibody. (Heat-induced epitope retrieval by 10mM citric buffer, pH6.0, 120°C for 3min, M00125-4)

Western blot analysis of extracts (15ug) from 2 different cell lines by using anti-PCNA monoclonal antibody (293T, lefe lane; Hela, right lane). Dilution: 1:2000

HEK293T cells were transfected with the pCMV6-ENTRY control (Left lane) or pCMV6-ENTRY PCNA (Right lane) cDNA for 48 hrs and lysed. Equivalent amounts of cell lysates (5 ug per lane) were separated by SDS-PAGE and immunoblotted with anti-PCNA.












