| Western blot (WB): | 1:1000-5000 |
| Immunohistochemistry (IHC): | 1:50-200 |
| Immunocytochemistry/Immunofluorescence (ICC/IF): | 1:50-200 |
| ImmunoPrecipitation (IP): | 1:20 |
| Flow Cytometry (FCM): | 1:20 |

Western blot analysis of anti- PCNA antibody (BM3888). The sample well of each lane was loaded with 50ug of sample under reducing conditions.
Lane 1: Hela whole cell lysates,
Lane 2: HepG2 whole cell lysates,
Lane 3: U-937 whole cell lysates,
Lane 4: 293T whole cell lysates,
Lane 5: mouse spleen tissue lysates,
Lane 6: rat RAW264.7 tissue lysates.
Use mouse anti- PCNA 1:1000, probed with a goat anti-mouse IgG-HRP secondary antibody. The signal is developed using an Enhanced Chemiluminescent detection (ECL) kit (Catalog # EK1002). A specific band was detected for PCNA at approximately 36KD. The expected band size for PCNA is at 29KD.

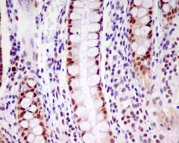
IHC analysis using anti- PCNA antibody (BM3888). detected in paraffin-embedded section of paraffin-embedded human colon tissue. Biotinylated goat anti-mouse IgG was used as secondary antibody. The tissue section was developed using Strepavidin-Biotin-Complex (SABC) (Catalog # SA1022) with DAB as the chromogen.

ICC/IF analysis of PCNA using anti-PCNA antibody (BM3888) and anti-Beta Tubulin antibody (M01857-3).
PCNA was detected in an immunocytochemical section of U2OS cells. The section was incubated with rabbit anti-PCNA Antibody (BM3888) at a dilution of 1:100. Fluoro488-conjugated Anti-rabbit IgG Secondary Antibody (green)(Catalog#BA1127) and Fluoro550-conjugated Anti- mouse IgG Secondary Antibody (red)(Catalog#BA1133) were used as secondary antibody.

Western blot analysis of anti- PCNA antibody (BM3888). The sample well of each lane was loaded with 50ug of sample under reducing conditions.
Lane 1: Hela whole cell lysates,
Lane 2: HepG2 whole cell lysates,
Lane 3: U-937 whole cell lysates,
Lane 4: 293T whole cell lysates,
Lane 5: mouse spleen tissue lysates,
Lane 6: rat RAW264.7 tissue lysates.
Use mouse anti- PCNA 1:1000, probed with a goat anti-mouse IgG-HRP secondary antibody. The signal is developed using an Enhanced Chemiluminescent detection (ECL) kit (Catalog # EK1002). A specific band was detected for PCNA at approximately 36KD. The expected band size for PCNA is at 29KD.

IHC analysis using anti- PCNA antibody (BM3888). detected in paraffin-embedded section of paraffin-embedded human colon tissue. Biotinylated goat anti-mouse IgG was used as secondary antibody. The tissue section was developed using Strepavidin-Biotin-Complex (SABC) (Catalog # SA1022) with DAB as the chromogen.

ICC/IF analysis of PCNA using anti-PCNA antibody (BM3888) and anti-Beta Tubulin antibody (M01857-3).
PCNA was detected in an immunocytochemical section of U2OS cells. The section was incubated with rabbit anti-PCNA Antibody (BM3888) at a dilution of 1:100. Fluoro488-conjugated Anti-rabbit IgG Secondary Antibody (green)(Catalog#BA1127) and Fluoro550-conjugated Anti- mouse IgG Secondary Antibody (red)(Catalog#BA1133) were used as secondary antibody.






