| Western blot (WB): | 1:1000-5000 |
| Immunohistochemistry (IHC): | 1:100-400 |
| Immunocytochemistry/Immunofluorescence (ICC/IF): | 1:50-200 |
| Flow Cytometry (Fixed): | 1:50-200 |
| Enzyme linked immunosorbent assay (ELISA): | 1:100-1000 |
| (Boiling the paraffin sections in 10mM citrate buffer,pH6.0,or PH8.0 EDTA repair liquid for 20 mins is required for the staining of formalin/paraffin sections.) Optimal working dilutions must be determined by end user. | |

Western blot analysis of PCNA using anti-PCNA antibody (A00125). The sample well of each lane was loaded with 30 ug of sample under reducing conditions.
Lane 1: human Hela whole cell lysates,
Lane 2: human MCF-7 whole cell lysates,
Lane 3: human 293T whole cell lysates,
Lane 4: human HepG2 whole cell lysates,
Lane 5: rat PC-12 whole cell lysates,
Lane 6: mouse NIG/3T3 whole cell lysates.
After electrophoresis, proteins were transferred to a membrane. Then the membrane was incubated with rabbit anti-PCNA antigen affinity purified polyclonal antibody (A00125) at a dilution of 1:1000 and probed with a goat anti-rabbit IgG-HRP secondary antibody (Catalog # BA1054). The signal is developed using ECL Plus Western Blotting Substrate (Catalog # AR1197). A specific band was detected for PCNA at approximately 36 kDa. The expected band size for PCNA is at 29 kDa.

IHC analysis of PCNA using anti-PCNA antibody (A00125) .
PCNA was detected in a paraffin-embedded section of human breast cancer tissue. The tissue section was incubated with rabbit anti-PCNA Antibody (A00125) at a dilution of 1:200 and developed using HRP Conjugated Rabbit IgG Super Vision Assay Kit (Catalog # SV0002) with DAB (Catalog # AR1027) as the chromogen.

IHC analysis of PCNA using anti-PCNA antibody (A00125) .
PCNA was detected in a paraffin-embedded section of human colorectal adenocarcinoma tissue. The tissue section was incubated with rabbit anti-PCNA Antibody (A00125) at a dilution of 1:200 and developed using HRP Conjugated Rabbit IgG Super Vision Assay Kit (Catalog # SV0002) with DAB (Catalog # AR1027) as the chromogen.

IHC analysis of PCNA using anti-PCNA antibody (A00125) .
PCNA was detected in a paraffin-embedded section of human tonsil tissue. The tissue section was incubated with rabbit anti-PCNA Antibody (A00125) at a dilution of 1:200 and developed using HRP Conjugated Rabbit IgG Super Vision Assay Kit (Catalog # SV0002) with DAB (Catalog # AR1027) as the chromogen.

IHC analysis of PCNA using anti-PCNA antibody (A00125) .
PCNA was detected in a paraffin-embedded section of human papillary thyroid carcinoma tissue. The tissue section was incubated with rabbit anti-PCNA Antibody (A00125) at a dilution of 1:200 and developed using HRP Conjugated Rabbit IgG Super Vision Assay Kit (Catalog # SV0002) with DAB (Catalog # AR1027) as the chromogen.

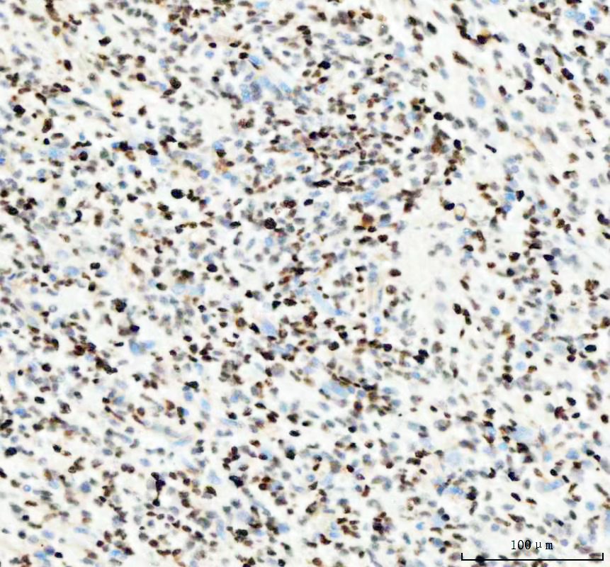
IHC analysis of PCNA using anti-PCNA antibody (A00125) .
PCNA was detected in a paraffin-embedded section of human glioblastoma tissue. The tissue section was incubated with rabbit anti-PCNA Antibody (A00125) at a dilution of 1:200 and developed using HRP Conjugated Rabbit IgG Super Vision Assay Kit (Catalog # SV0002) with DAB (Catalog # AR1027) as the chromogen.

IHC analysis of PCNA using anti-PCNA antibody (A00125) .
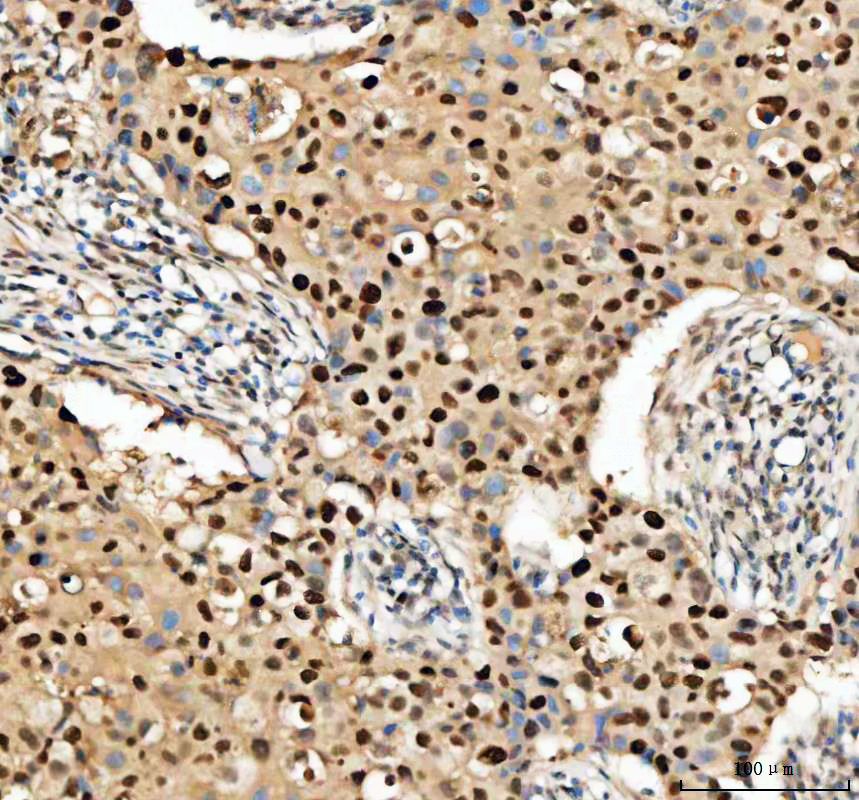
PCNA was detected in a paraffin-embedded section of human liver cancer tissue. The tissue section was incubated with rabbit anti-PCNA Antibody (A00125) at a dilution of 1:200 and developed using HRP Conjugated Rabbit IgG Super Vision Assay Kit (Catalog # SV0002) with DAB (Catalog # AR1027) as the chromogen.

IHC analysis of PCNA using anti-PCNA antibody (A00125) .
PCNA was detected in a paraffin-embedded section of rat colon tissue. The tissue section was incubated with rabbit anti-PCNA Antibody (A00125) at a dilution of 1:200 and developed using HRP Conjugated Rabbit IgG Super Vision Assay Kit (Catalog # SV0002) with DAB (Catalog # AR1027) as the chromogen.

ICC/IF analysis of PCNA using anti-PCNA antibody (A00125) and anti-Beta Tubulin antibody (M01857-3).
PCNA was detected in an immunocytochemical section of A431 cells. The section was incubated with rabbit anti-PCNA Antibody (A00125) at a dilution of 1:100. Fluoro488-conjugated Anti-rabbit IgG Secondary Antibody (green)(Catalog#BA1127) and cy3-conjugated Anti- mouse IgG Secondary Antibody (red)(Catalog#BA1031) were used as secondary antibody.

Flow Cytometry analysis of 293T cells using anti-PCNA antibody (A00125).
Overlay histogram showing 293T cells stained with A00125 (Blue line). To facilitate intracellular staining, cells were fixed with 4% paraformaldehyde and permeabilized with permeabilization buffer. The cells were blocked with 10% normal goat serum. And then incubated with rabbit anti-PCNA Antibody (A00125, 1:100). Fluoro488 conjugated goat anti-rabbit IgG (BA1127, 1:100) was used as secondary antibody. Isotype control antibody (Green line) was rabbit IgG (Catalog # BA1045) (1:100) used under the same conditions. Unlabelled sample (Red line) was also used as a control.

Western blot analysis of PCNA using anti-PCNA antibody (A00125). The sample well of each lane was loaded with 30 ug of sample under reducing conditions.
Lane 1: human Hela whole cell lysates,
Lane 2: human MCF-7 whole cell lysates,
Lane 3: human 293T whole cell lysates,
Lane 4: human HepG2 whole cell lysates,
Lane 5: rat PC-12 whole cell lysates,
Lane 6: mouse NIG/3T3 whole cell lysates.
After electrophoresis, proteins were transferred to a membrane. Then the membrane was incubated with rabbit anti-PCNA antigen affinity purified polyclonal antibody (A00125) at a dilution of 1:1000 and probed with a goat anti-rabbit IgG-HRP secondary antibody (Catalog # BA1054). The signal is developed using ECL Plus Western Blotting Substrate (Catalog # AR1197). A specific band was detected for PCNA at approximately 36 kDa. The expected band size for PCNA is at 29 kDa.

IHC analysis of PCNA using anti-PCNA antibody (A00125) .
PCNA was detected in a paraffin-embedded section of human breast cancer tissue. The tissue section was incubated with rabbit anti-PCNA Antibody (A00125) at a dilution of 1:200 and developed using HRP Conjugated Rabbit IgG Super Vision Assay Kit (Catalog # SV0002) with DAB (Catalog # AR1027) as the chromogen.

IHC analysis of PCNA using anti-PCNA antibody (A00125) .
PCNA was detected in a paraffin-embedded section of human colorectal adenocarcinoma tissue. The tissue section was incubated with rabbit anti-PCNA Antibody (A00125) at a dilution of 1:200 and developed using HRP Conjugated Rabbit IgG Super Vision Assay Kit (Catalog # SV0002) with DAB (Catalog # AR1027) as the chromogen.

IHC analysis of PCNA using anti-PCNA antibody (A00125) .
PCNA was detected in a paraffin-embedded section of human tonsil tissue. The tissue section was incubated with rabbit anti-PCNA Antibody (A00125) at a dilution of 1:200 and developed using HRP Conjugated Rabbit IgG Super Vision Assay Kit (Catalog # SV0002) with DAB (Catalog # AR1027) as the chromogen.

IHC analysis of PCNA using anti-PCNA antibody (A00125) .
PCNA was detected in a paraffin-embedded section of human papillary thyroid carcinoma tissue. The tissue section was incubated with rabbit anti-PCNA Antibody (A00125) at a dilution of 1:200 and developed using HRP Conjugated Rabbit IgG Super Vision Assay Kit (Catalog # SV0002) with DAB (Catalog # AR1027) as the chromogen.

IHC analysis of PCNA using anti-PCNA antibody (A00125) .
PCNA was detected in a paraffin-embedded section of human glioblastoma tissue. The tissue section was incubated with rabbit anti-PCNA Antibody (A00125) at a dilution of 1:200 and developed using HRP Conjugated Rabbit IgG Super Vision Assay Kit (Catalog # SV0002) with DAB (Catalog # AR1027) as the chromogen.

IHC analysis of PCNA using anti-PCNA antibody (A00125) .
PCNA was detected in a paraffin-embedded section of human liver cancer tissue. The tissue section was incubated with rabbit anti-PCNA Antibody (A00125) at a dilution of 1:200 and developed using HRP Conjugated Rabbit IgG Super Vision Assay Kit (Catalog # SV0002) with DAB (Catalog # AR1027) as the chromogen.

IHC analysis of PCNA using anti-PCNA antibody (A00125) .
PCNA was detected in a paraffin-embedded section of rat colon tissue. The tissue section was incubated with rabbit anti-PCNA Antibody (A00125) at a dilution of 1:200 and developed using HRP Conjugated Rabbit IgG Super Vision Assay Kit (Catalog # SV0002) with DAB (Catalog # AR1027) as the chromogen.

ICC/IF analysis of PCNA using anti-PCNA antibody (A00125) and anti-Beta Tubulin antibody (M01857-3).
PCNA was detected in an immunocytochemical section of A431 cells. The section was incubated with rabbit anti-PCNA Antibody (A00125) at a dilution of 1:100. Fluoro488-conjugated Anti-rabbit IgG Secondary Antibody (green)(Catalog#BA1127) and cy3-conjugated Anti- mouse IgG Secondary Antibody (red)(Catalog#BA1031) were used as secondary antibody.

Flow Cytometry analysis of 293T cells using anti-PCNA antibody (A00125).
Overlay histogram showing 293T cells stained with A00125 (Blue line). To facilitate intracellular staining, cells were fixed with 4% paraformaldehyde and permeabilized with permeabilization buffer. The cells were blocked with 10% normal goat serum. And then incubated with rabbit anti-PCNA Antibody (A00125, 1:100). Fluoro488 conjugated goat anti-rabbit IgG (BA1127, 1:100) was used as secondary antibody. Isotype control antibody (Green line) was rabbit IgG (Catalog # BA1045) (1:100) used under the same conditions. Unlabelled sample (Red line) was also used as a control.











