| Western blot (WB): | 1:500-2000 |
| Immunohistochemistry (IHC): | 1:50-400 |
| Immunofluorescence (IF): | 1:50-400 |
| Immunocytochemistry/Immunofluorescence (ICC/IF): | 1:50-400 |
| Flow Cytometry (Fixed): | 1:50-200 |
| (Boiling the paraffin sections in 10mM citrate buffer,pH6.0,or PH8.0 EDTA repair liquid for 20 mins is required for the staining of formalin/paraffin sections.) Optimal working dilutions must be determined by end user. | |

Western blot analysis of anti-E-cadherin/CDH1 antibody (M00063-2). The sample well of each lane was loaded with 30 ug of sample under reducing conditions.
Lane 1: human placenta tissue lysates,
Lane 2: human A549 whole cell lysates,
Lane 3: human HEK293 whole cell lysates.
After electrophoresis, proteins were transferred to a membrane. Then the membrane was incubated with mouse anti-E-cadherin/CDH1 antigen affinity purified monoclonal antibody (M00063-2) at a dilution of 1:1000 and probed with a goat anti-mouse IgG-HRP secondary antibody (Catalog # BA1050). The signal is developed using ECL Plus Western Blotting Substrate (Catalog # AR1197). A specific band was detected for E-cadherin/CDH1 at approximately 130 kDa. The expected band size for E-cadherin/CDH1 is at 97 kDa.

IHC analysis of E-cadherin/CDH1 using anti-E-cadherin/CDH1 antibody (M00063-2).
E-cadherin/CDH1 was detected in a paraffin-embedded section of human prostate cancer tissue. The tissue section was incubated with mouse anti-E-cadherin/CDH1 Antibody (M00063-2) at a dilution of 1:200 and developed using HRP Conjugated mouse IgG Super Vision Assay Kit (Catalog # SV0001) with DAB (Catalog # AR1027) as the chromogen.

IHC analysis of E-cadherin/CDH1 using anti-E-cadherin/CDH1 antibody (M00063-2).
E-cadherin/CDH1 was detected in a paraffin-embedded section of human liver cancer tissue. The tissue section was incubated with mouse anti-E-cadherin/CDH1 Antibody (M00063-2) at a dilution of 1:200 and developed using HRP Conjugated mouse IgG Super Vision Assay Kit (Catalog # SV0001) with DAB (Catalog # AR1027) as the chromogen.

IHC analysis of E-cadherin/CDH1 using anti-E-cadherin/CDH1 antibody (M00063-2).
E-cadherin/CDH1 was detected in a paraffin-embedded section of human placenta tissue. The tissue section was incubated with mouse anti-E-cadherin/CDH1 Antibody (M00063-2) at a dilution of 1:200 and developed using HRP Conjugated mouse IgG Super Vision Assay Kit (Catalog # SV0001) with DAB (Catalog # AR1027) as the chromogen.

IHC analysis of E-cadherin/CDH1 using anti-E-cadherin/CDH1 antibody (M00063-2).
E-cadherin/CDH1 was detected in a paraffin-embedded section of human colorectal adenocarcinoma tissue. The tissue section was incubated with mouse anti-E-cadherin/CDH1 Antibody (M00063-2) at a dilution of 1:200 and developed using HRP Conjugated mouse IgG Super Vision Assay Kit (Catalog # SV0001) with DAB (Catalog # AR1027) as the chromogen.

IF analysis of COL4A1/E Cadherin using anti- COL4A1/E Cadherin antibody (PB9099/M00063-2)
COL4A1/E Cadherin was detected in paraffin-embedded section of human colon cancer tissues. Heat mediated antigen retrieval was performed in citrate buffer (pH6, epitope retrieval solution ) for 20 mins. The tissue section was blocked with 10% goat serum. The tissue section was then incubated with 1μg/mL rabbit anti- COL4A1 Antibody (PB9099)/mouse anti E Cadherin Antibody(M00063-2) overnight at 4°C. Fluoro488 Conjugated goat anti-rabbit IgG (BA1127) /Cy3 conjugated Goat anti mouse IgG(BA1031),were used as secondary antibody at 1:100 dilution and incubated for 30 minutes at 37°C. The section was counterstained with DAPI. Visualize using a fluorescence microscope and filter sets appropriate for the label used.

IF analysis using anti- CDH1 antibody (M00063-2). detected in paraffin-embedded section of human intestinal cancer tissue. The tissue section were stained using the Fluoro488 conjugated Anti-mouse IgG Secondary Antibody (green)(Catalog # BA1126) and counterstained with DAPI (blue).

ICC/IF analysis of E-cadherin/CDH1 using anti-E-cadherin/CDH1 antibody (M00063-2).
E-cadherin/CDH1 was detected in an immunocytochemical section of A431 cells. The section was incubated with mouse anti-E-cadherin/CDH1 Antibody (M00063-2) at a dilution of 1:100. Fluoro488-conjugated Anti-mouse IgG Secondary Antibody (green)(Catalog#BA1126) was used as secondary antibody. The section was counterstained with DAPI (Catalog # AR1176) (Blue).

Flow Cytometry analysis of A549 cells using anti-CDH1 antibody (M00063-2).
Overlay histogram showing A549 cells stained with M00063-2 (Blue line). To facilitate intracellular staining, cells were fixed with 4% paraformaldehyde and permeabilized with permeabilization buffer. The cells were blocked with 10% normal goat serum. And then incubated with mouse anti-CDH1 Antibody (M00063-2) at 1:100 dilution for 30 min at 20°C. Fluoro488 conjugated goat anti-mouse IgG (BA1126) was used as secondary antibody at 1:100 dilution for 30 minutes at 20°C. Isotype control antibody (Green line) was mouse IgG at 1:100 dilution used under the same conditions. Unlabelled sample without incubation with primary antibody and secondary antibody (Red line) was used as a blank control.

Western blot analysis of anti-E-cadherin/CDH1 antibody (M00063-2). The sample well of each lane was loaded with 30 ug of sample under reducing conditions.
Lane 1: human placenta tissue lysates,
Lane 2: human A549 whole cell lysates,
Lane 3: human HEK293 whole cell lysates.
After electrophoresis, proteins were transferred to a membrane. Then the membrane was incubated with mouse anti-E-cadherin/CDH1 antigen affinity purified monoclonal antibody (M00063-2) at a dilution of 1:1000 and probed with a goat anti-mouse IgG-HRP secondary antibody (Catalog # BA1050). The signal is developed using ECL Plus Western Blotting Substrate (Catalog # AR1197). A specific band was detected for E-cadherin/CDH1 at approximately 130 kDa. The expected band size for E-cadherin/CDH1 is at 97 kDa.

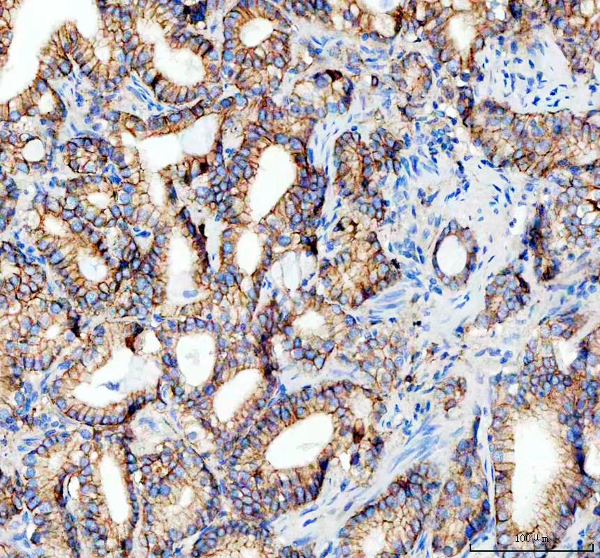
IHC analysis of E-cadherin/CDH1 using anti-E-cadherin/CDH1 antibody (M00063-2).
E-cadherin/CDH1 was detected in a paraffin-embedded section of human prostate cancer tissue. The tissue section was incubated with mouse anti-E-cadherin/CDH1 Antibody (M00063-2) at a dilution of 1:200 and developed using HRP Conjugated mouse IgG Super Vision Assay Kit (Catalog # SV0001) with DAB (Catalog # AR1027) as the chromogen.

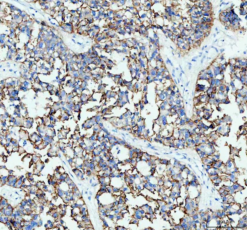
IHC analysis of E-cadherin/CDH1 using anti-E-cadherin/CDH1 antibody (M00063-2).
E-cadherin/CDH1 was detected in a paraffin-embedded section of human liver cancer tissue. The tissue section was incubated with mouse anti-E-cadherin/CDH1 Antibody (M00063-2) at a dilution of 1:200 and developed using HRP Conjugated mouse IgG Super Vision Assay Kit (Catalog # SV0001) with DAB (Catalog # AR1027) as the chromogen.

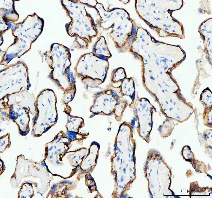
IHC analysis of E-cadherin/CDH1 using anti-E-cadherin/CDH1 antibody (M00063-2).
E-cadherin/CDH1 was detected in a paraffin-embedded section of human placenta tissue. The tissue section was incubated with mouse anti-E-cadherin/CDH1 Antibody (M00063-2) at a dilution of 1:200 and developed using HRP Conjugated mouse IgG Super Vision Assay Kit (Catalog # SV0001) with DAB (Catalog # AR1027) as the chromogen.

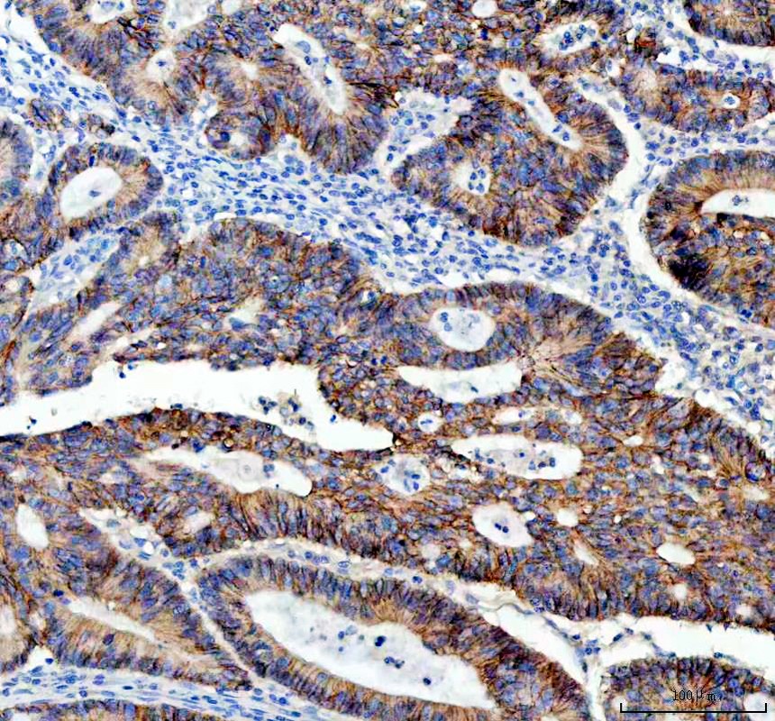
IHC analysis of E-cadherin/CDH1 using anti-E-cadherin/CDH1 antibody (M00063-2).
E-cadherin/CDH1 was detected in a paraffin-embedded section of human colorectal adenocarcinoma tissue. The tissue section was incubated with mouse anti-E-cadherin/CDH1 Antibody (M00063-2) at a dilution of 1:200 and developed using HRP Conjugated mouse IgG Super Vision Assay Kit (Catalog # SV0001) with DAB (Catalog # AR1027) as the chromogen.

IF analysis of COL4A1/E Cadherin using anti- COL4A1/E Cadherin antibody (PB9099/M00063-2)
COL4A1/E Cadherin was detected in paraffin-embedded section of human colon cancer tissues. Heat mediated antigen retrieval was performed in citrate buffer (pH6, epitope retrieval solution ) for 20 mins. The tissue section was blocked with 10% goat serum. The tissue section was then incubated with 1μg/mL rabbit anti- COL4A1 Antibody (PB9099)/mouse anti E Cadherin Antibody(M00063-2) overnight at 4°C. Fluoro488 Conjugated goat anti-rabbit IgG (BA1127) /Cy3 conjugated Goat anti mouse IgG(BA1031),were used as secondary antibody at 1:100 dilution and incubated for 30 minutes at 37°C. The section was counterstained with DAPI. Visualize using a fluorescence microscope and filter sets appropriate for the label used.

IF analysis using anti- CDH1 antibody (M00063-2). detected in paraffin-embedded section of human intestinal cancer tissue. The tissue section were stained using the Fluoro488 conjugated Anti-mouse IgG Secondary Antibody (green)(Catalog # BA1126) and counterstained with DAPI (blue).

ICC/IF analysis of E-cadherin/CDH1 using anti-E-cadherin/CDH1 antibody (M00063-2).
E-cadherin/CDH1 was detected in an immunocytochemical section of A431 cells. The section was incubated with mouse anti-E-cadherin/CDH1 Antibody (M00063-2) at a dilution of 1:100. Fluoro488-conjugated Anti-mouse IgG Secondary Antibody (green)(Catalog#BA1126) was used as secondary antibody. The section was counterstained with DAPI (Catalog # AR1176) (Blue).

Flow Cytometry analysis of A549 cells using anti-CDH1 antibody (M00063-2).
Overlay histogram showing A549 cells stained with M00063-2 (Blue line). To facilitate intracellular staining, cells were fixed with 4% paraformaldehyde and permeabilized with permeabilization buffer. The cells were blocked with 10% normal goat serum. And then incubated with mouse anti-CDH1 Antibody (M00063-2) at 1:100 dilution for 30 min at 20°C. Fluoro488 conjugated goat anti-mouse IgG (BA1126) was used as secondary antibody at 1:100 dilution for 30 minutes at 20°C. Isotype control antibody (Green line) was mouse IgG at 1:100 dilution used under the same conditions. Unlabelled sample without incubation with primary antibody and secondary antibody (Red line) was used as a blank control.








