| Western blot (WB): | 1:1000-5000 |
| Immunohistochemistry (IHC): | 1:50-200 |
| Immunocytochemistry/Immunofluorescence (ICC/IF): | 1:50-200 |
| Flow Cytometry (FCM): | 1:20 |

Western blot analysis of anti-E-cadherin/CDH1 antibody (BM3903). The sample well of each lane was loaded with 30 ug of sample under reducing conditions.
Lane 1: human MCF-7 whole cell lysates,
Lane 2: human T-47D whole cell lysates,
Lane 3: human Hacat whole cell lysates,
Lane 4: human RT4 whole cell lysates,
Lane 5: human Caco-2 whole cell lysates,
Lane 6: human A431 whole cell lysates,
Lane 7: human HepG2 whole cell lysates.
After electrophoresis, proteins were transferred to a membrane. Then the membrane was incubated with rabbit anti-E-cadherin/CDH1 antigen affinity purified monoclonal antibody (BM3903) at a dilution of 1:1000 and probed with a goat anti-rabbit IgG-HRP secondary antibody (Catalog # BA1054). The signal is developed using ECL Plus Western Blotting Substrate (Catalog # AR1197). A specific band was detected for E-cadherin/CDH1 at approximately 130 kDa. The expected band size for E-cadherin/CDH1 is at 90 kDa.

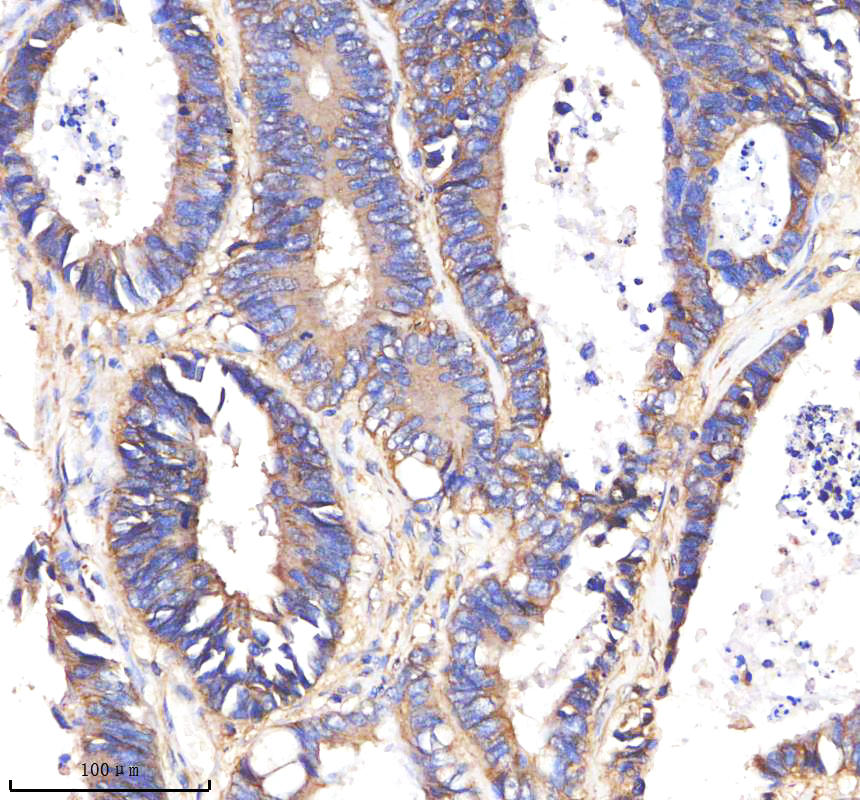
IHC analysis of E-cadherin/CDH1 using anti-E-cadherin/CDH1 antibody (BM3903) .
E-cadherin/CDH1 was detected in a paraffin-embedded section of human colon cancer tissue. The tissue section was incubated with rabbit anti-E-cadherin/CDH1 Antibody (BM3903) at a dilution of 1:200 and developed using HRP Conjugated Rabbit IgG Super Vision Assay Kit (Catalog # SV0002) with DAB (Catalog # AR1027) as the chromogen.

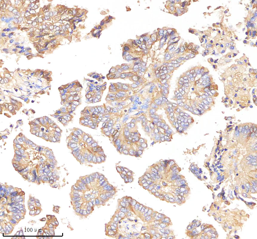
IHC analysis of E-cadherin/CDH1 using anti-E-cadherin/CDH1 antibody (BM3903) .
E-cadherin/CDH1 was detected in a paraffin-embedded section of human lung cancer tissue. The tissue section was incubated with rabbit anti-E-cadherin/CDH1 Antibody (BM3903) at a dilution of 1:200 and developed using HRP Conjugated Rabbit IgG Super Vision Assay Kit (Catalog # SV0002) with DAB (Catalog # AR1027) as the chromogen.

Immunofluorescent analysis using the Antibody.

Western blot analysis of anti-E-cadherin/CDH1 antibody (BM3903). The sample well of each lane was loaded with 30 ug of sample under reducing conditions.
Lane 1: human MCF-7 whole cell lysates,
Lane 2: human T-47D whole cell lysates,
Lane 3: human Hacat whole cell lysates,
Lane 4: human RT4 whole cell lysates,
Lane 5: human Caco-2 whole cell lysates,
Lane 6: human A431 whole cell lysates,
Lane 7: human HepG2 whole cell lysates.
After electrophoresis, proteins were transferred to a membrane. Then the membrane was incubated with rabbit anti-E-cadherin/CDH1 antigen affinity purified monoclonal antibody (BM3903) at a dilution of 1:1000 and probed with a goat anti-rabbit IgG-HRP secondary antibody (Catalog # BA1054). The signal is developed using ECL Plus Western Blotting Substrate (Catalog # AR1197). A specific band was detected for E-cadherin/CDH1 at approximately 130 kDa. The expected band size for E-cadherin/CDH1 is at 90 kDa.

IHC analysis of E-cadherin/CDH1 using anti-E-cadherin/CDH1 antibody (BM3903) .
E-cadherin/CDH1 was detected in a paraffin-embedded section of human colon cancer tissue. The tissue section was incubated with rabbit anti-E-cadherin/CDH1 Antibody (BM3903) at a dilution of 1:200 and developed using HRP Conjugated Rabbit IgG Super Vision Assay Kit (Catalog # SV0002) with DAB (Catalog # AR1027) as the chromogen.

IHC analysis of E-cadherin/CDH1 using anti-E-cadherin/CDH1 antibody (BM3903) .
E-cadherin/CDH1 was detected in a paraffin-embedded section of human lung cancer tissue. The tissue section was incubated with rabbit anti-E-cadherin/CDH1 Antibody (BM3903) at a dilution of 1:200 and developed using HRP Conjugated Rabbit IgG Super Vision Assay Kit (Catalog # SV0002) with DAB (Catalog # AR1027) as the chromogen.

Immunofluorescent analysis using the Antibody.





