| Western blot (WB): | 1:500-2000 |
| Immunohistochemistry (IHC): | 1:50-200 |
| Immunocytochemistry/Immunofluorescence (ICC/IF): | 1:50-200 |
| ImmunoPrecipitation (IP): | 1:50 |

Western blot analysis of anti-Caspase 3/CASP3 (p12) antibody (BM4620). The sample well of each lane was loaded with 30 ug of sample under reducing conditions.
Lane 1: human HepG2 whole cell lysates,
Lane 2: human HEL whole cell lysates,
Lane 3: human RT4 whole cell lysates,
Lane 4: human SH-SY5Y whole cell lysates,
Lane 5: rat lung tissue lysates,
Lane 6: rat RH35 whole cell lysates,
Lane 7: mouse lung tissue lysates,
Lane 8: mouse HEPA1-6 whole cell lysates.
After electrophoresis, proteins were transferred to a membrane. Then the membrane was incubated with rabbit anti-Caspase 3/CASP3 (p12) antigen affinity purified monoclonal antibody (BM4620) at a dilution of 1:1000 and probed with a goat anti-rabbit IgG-HRP secondary antibody (Catalog # BA1054). The signal is developed using ECL Plus Western Blotting Substrate (Catalog # AR1197). A specific band was detected for Caspase 3/CASP3 (p12) at approximately 35 kDa. The expected band size for Caspase 3/CASP3 (p12) is at 32 kDa.

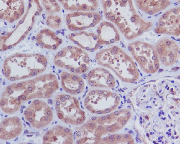
Immunohistochemical analysis of paraffin-embedded human kidney, using Caspase-3 p12 Antibody.

Immunofluorescent analysis using the Antibody.

Immunofluorescent analysis of HeLa cells, using Caspase-3 p12 Antibody.

Western blot analysis of anti-Caspase 3/CASP3 (p12) antibody (BM4620). The sample well of each lane was loaded with 30 ug of sample under reducing conditions.
Lane 1: human HepG2 whole cell lysates,
Lane 2: human HEL whole cell lysates,
Lane 3: human RT4 whole cell lysates,
Lane 4: human SH-SY5Y whole cell lysates,
Lane 5: rat lung tissue lysates,
Lane 6: rat RH35 whole cell lysates,
Lane 7: mouse lung tissue lysates,
Lane 8: mouse HEPA1-6 whole cell lysates.
After electrophoresis, proteins were transferred to a membrane. Then the membrane was incubated with rabbit anti-Caspase 3/CASP3 (p12) antigen affinity purified monoclonal antibody (BM4620) at a dilution of 1:1000 and probed with a goat anti-rabbit IgG-HRP secondary antibody (Catalog # BA1054). The signal is developed using ECL Plus Western Blotting Substrate (Catalog # AR1197). A specific band was detected for Caspase 3/CASP3 (p12) at approximately 35 kDa. The expected band size for Caspase 3/CASP3 (p12) is at 32 kDa.

Immunohistochemical analysis of paraffin-embedded human kidney, using Caspase-3 p12 Antibody.

Immunofluorescent analysis using the Antibody.

Immunofluorescent analysis of HeLa cells, using Caspase-3 p12 Antibody.





