| Western blot (WB): | 1:500-2000 |
| Immunohistochemistry (IHC): | 1:50-200 |
| ImmunoPrecipitation (IP): | 1:20 |

Western blot analysis of anti-active + pro Caspase 3/CASP3 (p17) antibody (BM4340). The sample well of each lane was loaded with 30 ug of sample under reducing conditions.
Lane 1: human Hela whole cell lysates,
Lane 2: human 293T whole cell lysates,
Lane 3: human Jurkat whole cell lysates,
Lane 4: human Jurkat whole cell lysates,
Lane 5: rat liver tissue lysates,
Lane 6: rat spleen tissue lysates,
Lane 7: mouse liver tissue lysates,
Lane 8: mouse spleen tissue lysates.
After electrophoresis, proteins were transferred to a membrane. Then the membrane was incubated with rabbit anti-active + pro Caspase 3/CASP3 (p17) antigen affinity purified monoclonal antibody (BM4340) at a dilution of 1:1000 and probed with a goat anti-rabbit IgG-HRP secondary antibody (Catalog # BA1054). The signal is developed using ECL Plus Western Blotting Substrate (Catalog # AR1197). A specific band was detected for active + pro Caspase 3/CASP3 (p17) at approximately 35 kDa,(cleaved)20/17/12 kDa. The expected band size for active + pro Caspase 3/CASP3 (p17) is at 32 kDa.

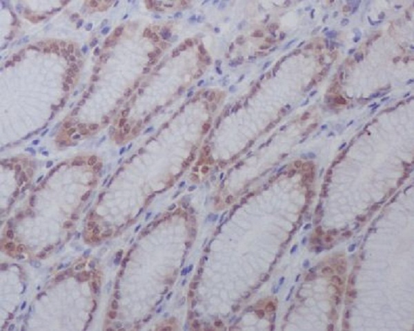
Immunohistochemical analysis of paraffin-embedded human stomach, using active + pro Caspase 3 Antibody .

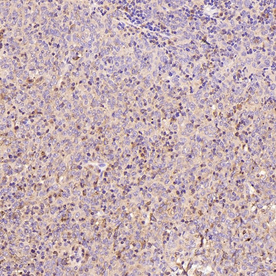
Immunohistochemical analysis of paraffin-embedded Human melanoma, using the Antibody.

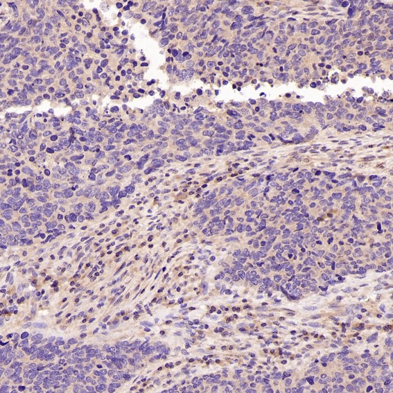
Immunohistochemical analysis of paraffin-embedded Human lung large cell cancer, using the Antibody.

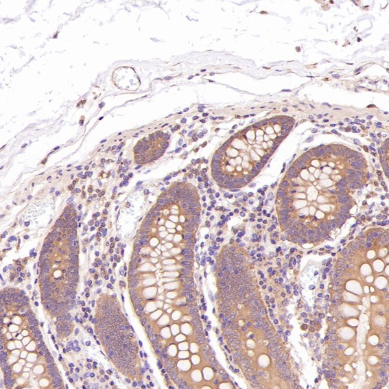
Immunohistochemical analysis of paraffin-embedded Human colon, using the Antibody.

Western blot analysis of anti-active + pro Caspase 3/CASP3 (p17) antibody (BM4340). The sample well of each lane was loaded with 30 ug of sample under reducing conditions.
Lane 1: human Hela whole cell lysates,
Lane 2: human 293T whole cell lysates,
Lane 3: human Jurkat whole cell lysates,
Lane 4: human Jurkat whole cell lysates,
Lane 5: rat liver tissue lysates,
Lane 6: rat spleen tissue lysates,
Lane 7: mouse liver tissue lysates,
Lane 8: mouse spleen tissue lysates.
After electrophoresis, proteins were transferred to a membrane. Then the membrane was incubated with rabbit anti-active + pro Caspase 3/CASP3 (p17) antigen affinity purified monoclonal antibody (BM4340) at a dilution of 1:1000 and probed with a goat anti-rabbit IgG-HRP secondary antibody (Catalog # BA1054). The signal is developed using ECL Plus Western Blotting Substrate (Catalog # AR1197). A specific band was detected for active + pro Caspase 3/CASP3 (p17) at approximately 35 kDa,(cleaved)20/17/12 kDa. The expected band size for active + pro Caspase 3/CASP3 (p17) is at 32 kDa.

Immunohistochemical analysis of paraffin-embedded human stomach, using active + pro Caspase 3 Antibody .

Immunohistochemical analysis of paraffin-embedded Human melanoma, using the Antibody.

Immunohistochemical analysis of paraffin-embedded Human lung large cell cancer, using the Antibody.

Immunohistochemical analysis of paraffin-embedded Human colon, using the Antibody.






