| Western blot (WB): | 1:500-2000 |
| Immunohistochemistry (IHC): | 1:50-200 |
| Immunocytochemistry/Immunofluorescence (ICC/IF): | 1:50-200 |
| ImmunoPrecipitation (IP): | 1:50 |
| Flow Cytometry (FCM): | 1:50 |

Western blot analysis of anti-Caspase 3/CASP3 antibody (BM3957). The sample well of each lane was loaded with 30 ug of sample under reducing conditions.
Lane 1: human Hela whole cell lysates,
Lane 2: human Hela whole cell lysates,
Lane 3: human Jurkat whole cell lysates,
Lane 4: human Jurkat whole cell lysates,
Lane 5: human HepG2 whole cell lysates,
Lane 6: human 293T whole cell lysates.
After electrophoresis, proteins were transferred to a membrane. Then the membrane was incubated with rabbit anti-Caspase 3/CASP3 antigen affinity purified monoclonal antibody (BM3957) at a dilution of 1:1000 and probed with a goat anti-rabbit IgG-HRP secondary antibody (Catalog # BA1054). The signal is developed using ECL Plus Western Blotting Substrate (Catalog # AR1197). A specific band was detected for Caspase 3/CASP3 at approximately 32 kDa. The expected band size for Caspase 3/CASP3 is at 32 kDa.

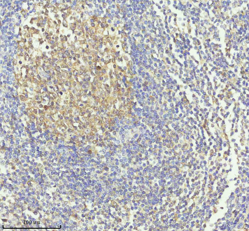
IHC analysis of Caspase 3/CASP3 using anti-Caspase 3/CASP3 antibody (BM3957) .
Caspase 3/CASP3 was detected in a paraffin-embedded section of human tonsil tissue. The tissue section was incubated with rabbit anti-Caspase 3/CASP3 Antibody (BM3957) at a dilution of 1:200 and developed using HRP Conjugated Rabbit IgG Super Vision Assay Kit (Catalog # SV0002) with DAB (Catalog # AR1027) as the chromogen.

IHC analysis of Caspase 3/CASP3 using anti-Caspase 3/CASP3 antibody (BM3957) .
Caspase 3/CASP3 was detected in a paraffin-embedded section of human tonsil tissue. The tissue section was incubated with rabbit anti-Caspase 3/CASP3 Antibody (BM3957) at a dilution of 1:200 and developed using HRP Conjugated Rabbit IgG Super Vision Assay Kit (Catalog # SV0002) with DAB (Catalog # AR1027) as the chromogen.

Immunofluorescent analysis of Hela cells, using Caspase-3 Antibody .

Immunoprecipitate (IP) analysis using the Antibody. (wb)

Western blot analysis of anti-Caspase 3/CASP3 antibody (BM3957). The sample well of each lane was loaded with 30 ug of sample under reducing conditions.
Lane 1: human Hela whole cell lysates,
Lane 2: human Hela whole cell lysates,
Lane 3: human Jurkat whole cell lysates,
Lane 4: human Jurkat whole cell lysates,
Lane 5: human HepG2 whole cell lysates,
Lane 6: human 293T whole cell lysates.
After electrophoresis, proteins were transferred to a membrane. Then the membrane was incubated with rabbit anti-Caspase 3/CASP3 antigen affinity purified monoclonal antibody (BM3957) at a dilution of 1:1000 and probed with a goat anti-rabbit IgG-HRP secondary antibody (Catalog # BA1054). The signal is developed using ECL Plus Western Blotting Substrate (Catalog # AR1197). A specific band was detected for Caspase 3/CASP3 at approximately 32 kDa. The expected band size for Caspase 3/CASP3 is at 32 kDa.

IHC analysis of Caspase 3/CASP3 using anti-Caspase 3/CASP3 antibody (BM3957) .
Caspase 3/CASP3 was detected in a paraffin-embedded section of human tonsil tissue. The tissue section was incubated with rabbit anti-Caspase 3/CASP3 Antibody (BM3957) at a dilution of 1:200 and developed using HRP Conjugated Rabbit IgG Super Vision Assay Kit (Catalog # SV0002) with DAB (Catalog # AR1027) as the chromogen.

IHC analysis of Caspase 3/CASP3 using anti-Caspase 3/CASP3 antibody (BM3957) .
Caspase 3/CASP3 was detected in a paraffin-embedded section of human tonsil tissue. The tissue section was incubated with rabbit anti-Caspase 3/CASP3 Antibody (BM3957) at a dilution of 1:200 and developed using HRP Conjugated Rabbit IgG Super Vision Assay Kit (Catalog # SV0002) with DAB (Catalog # AR1027) as the chromogen.

Immunofluorescent analysis of Hela cells, using Caspase-3 Antibody .

Immunoprecipitate (IP) analysis using the Antibody. (wb)






