| Western blot (WB): | 1:500-2000 |
| Immunohistochemistry (IHC): | 1:50-200 |
| Immunocytochemistry/Immunofluorescence (ICC/IF): | 1:50-200 |
| Flow Cytometry (FCM): | 1:100 |

Western blot analysis of anti-Cyclin B1/CCNB1 antibody (BM4370). The sample well of each lane was loaded with 30 ug of sample under reducing conditions.
Lane 1: human Hela whole cell lysates,
Lane 2: human 293T whole cell lysates,
Lane 3: human Jurcat whole cell lysates,
Lane 4: human Raji whole cell lysates,
Lane 5: rat thymus tissue lysates,
Lane 6: mouse spleen tissue lysates,
Lane 7: mouse thymus tissue lysates.
After electrophoresis, proteins were transferred to a membrane. Then the membrane was incubated with rabbit anti-Cyclin B1/CCNB1 antigen affinity purified monoclonal antibody (BM4370) and probed with a goat anti-rabbit IgG-HRP secondary antibody (Catalog # BA1054). The signal is developed using ECL Plus Western Blotting Substrate (Catalog # AR1197). A specific band was detected for Cyclin B1/CCNB1 at approximately 55 kDa. The expected band size for Cyclin B1/CCNB1 is at 48 kDa.

Immunohistochemical analysis of paraffin-embedded Rat stomach, using the Antibody at 1:200 dilution.

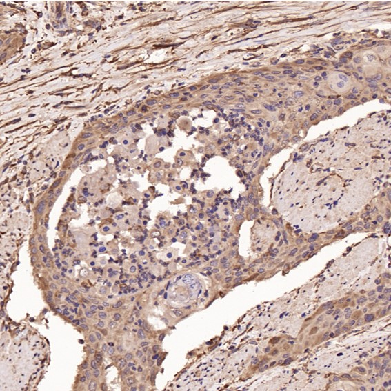
Immunohistochemical analysis of paraffin-embedded Human esophageal carcinoma, using the Antibody at 1:500 dilution.

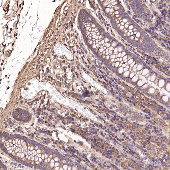
Immunohistochemical analysis of paraffin-embedded Human colon, using the Antibody at 1:500 dilution.

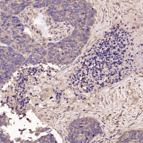
Immunohistochemical analysis of paraffin-embedded Human lung large cell cancer, using the Antibody at 1:100 dilution.

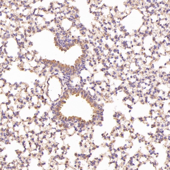
Immunohistochemical analysis of paraffin-embedded Mouse lung, using the Antibody at 1:200 dilution.

Western blot analysis of anti-Cyclin B1/CCNB1 antibody (BM4370). The sample well of each lane was loaded with 30 ug of sample under reducing conditions.
Lane 1: human Hela whole cell lysates,
Lane 2: human 293T whole cell lysates,
Lane 3: human Jurcat whole cell lysates,
Lane 4: human Raji whole cell lysates,
Lane 5: rat thymus tissue lysates,
Lane 6: mouse spleen tissue lysates,
Lane 7: mouse thymus tissue lysates.
After electrophoresis, proteins were transferred to a membrane. Then the membrane was incubated with rabbit anti-Cyclin B1/CCNB1 antigen affinity purified monoclonal antibody (BM4370) and probed with a goat anti-rabbit IgG-HRP secondary antibody (Catalog # BA1054). The signal is developed using ECL Plus Western Blotting Substrate (Catalog # AR1197). A specific band was detected for Cyclin B1/CCNB1 at approximately 55 kDa. The expected band size for Cyclin B1/CCNB1 is at 48 kDa.

Immunohistochemical analysis of paraffin-embedded Rat stomach, using the Antibody at 1:200 dilution.

Immunohistochemical analysis of paraffin-embedded Human esophageal carcinoma, using the Antibody at 1:500 dilution.

Immunohistochemical analysis of paraffin-embedded Human colon, using the Antibody at 1:500 dilution.

Immunohistochemical analysis of paraffin-embedded Human lung large cell cancer, using the Antibody at 1:100 dilution.

Immunohistochemical analysis of paraffin-embedded Mouse lung, using the Antibody at 1:200 dilution.









