| Western blot (WB): | 1:500-2000 |
| Immunohistochemistry (IHC): | 1:50-400 |
| Immunocytochemistry/Immunofluorescence (ICC/IF): | 1:50-400 |
| Flow Cytometry (Fixed): | 1:50-200 |
| Enzyme linked immunosorbent assay (ELISA): | 1:100-1000 |
| (Boiling the paraffin sections in 10mM citrate buffer,pH6.0,or PH8.0 EDTA repair liquid for 20 mins is required for the staining of formalin/paraffin sections.) Optimal working dilutions must be determined by end user. | |

Western blot analysis of Cyclin B1/CCNB1 using anti-Cyclin B1/CCNB1 antibody (A00745-1). The sample well of each lane was loaded with 30 ug of sample under reducing conditions.
Lane 1: Human HELA whole cell lysates,
Lane 2: Human HEK293 whole cell lysates,
Lane 3: Human Jurkat whole cell lysates,
Lane 4: Human Raji whole cell lysates,
Lane 5: Human K562 whole cell lysates,
Lane 6: Human U2OS whole cell lysates,
Lane 7: Human CACO-2 whole cell lysates.
After electrophoresis, proteins were transferred to a membrane. Then the membrane was incubated with rabbit anti-Cyclin B1/CCNB1 antigen affinity purified polyclonal antibody (A00745-1) at a dilution of 1:1000 and probed with a goat anti-rabbit IgG-HRP secondary antibody (Catalog # BA1054). The signal is developed using ECL Plus Western Blotting Substrate (Catalog # AR1197). A specific band was detected for Cyclin B1/CCNB1 at approximately 55 kDa. The expected band size for Cyclin B1/CCNB1 is at 48 kDa.

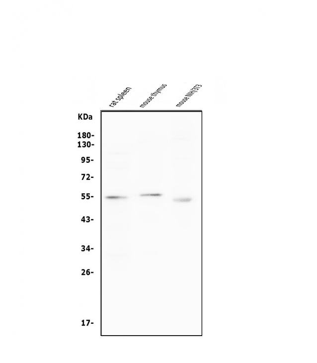
Western blot analysis of Cyclin B1/CCNB1 using anti-Cyclin B1/CCNB1 antibody (A00745-1). The sample well of each lane was loaded with 30 ug of sample under reducing conditions.
Lane 1: Rat spleen tissue lysates,
Lane 2: Mouse thymus tissue lysates,
Lane 3: Mouse NIH/3T3 whole cell lysates.
After electrophoresis, proteins were transferred to a membrane. Then the membrane was incubated with rabbit anti-Cyclin B1/CCNB1 antigen affinity purified polyclonal antibody (A00745-1) at a dilution of 1:1000 and probed with a goat anti-rabbit IgG-HRP secondary antibody (Catalog # BA1054). The signal is developed using ECL Plus Western Blotting Substrate (Catalog # AR1197). A specific band was detected for Cyclin B1/CCNB1 at approximately 55 kDa. The expected band size for Cyclin B1/CCNB1 is at 48 kDa.

IHC analysis of Cyclin B1/CCNB1 using anti-Cyclin B1/CCNB1 antibody (A00745-1).
Cyclin B1/CCNB1 was detected in a paraffin-embedded section of human rectal cancer tissue. Biotinylated goat anti-rabbit IgG was used as secondary antibody. The tissue section was incubated with rabbit anti-Cyclin B1/CCNB1 Antibody (A00745-1) at a dilution of 1:200 and developed using Strepavidin-Biotin-Complex (SABC) (Catalog # SA1022) with DAB (Catalog # AR1027) as the chromogen.

IHC analysis of Cyclin B1/CCNB1 using anti-Cyclin B1/CCNB1 antibody (A00745-1).
Cyclin B1/CCNB1 was detected in a paraffin-embedded section of human tonsil cancer tissue. Biotinylated goat anti-rabbit IgG was used as secondary antibody. The tissue section was incubated with rabbit anti-Cyclin B1/CCNB1 Antibody (A00745-1) at a dilution of 1:200 and developed using Strepavidin-Biotin-Complex (SABC) (Catalog # SA1022) with DAB (Catalog # AR1027) as the chromogen.

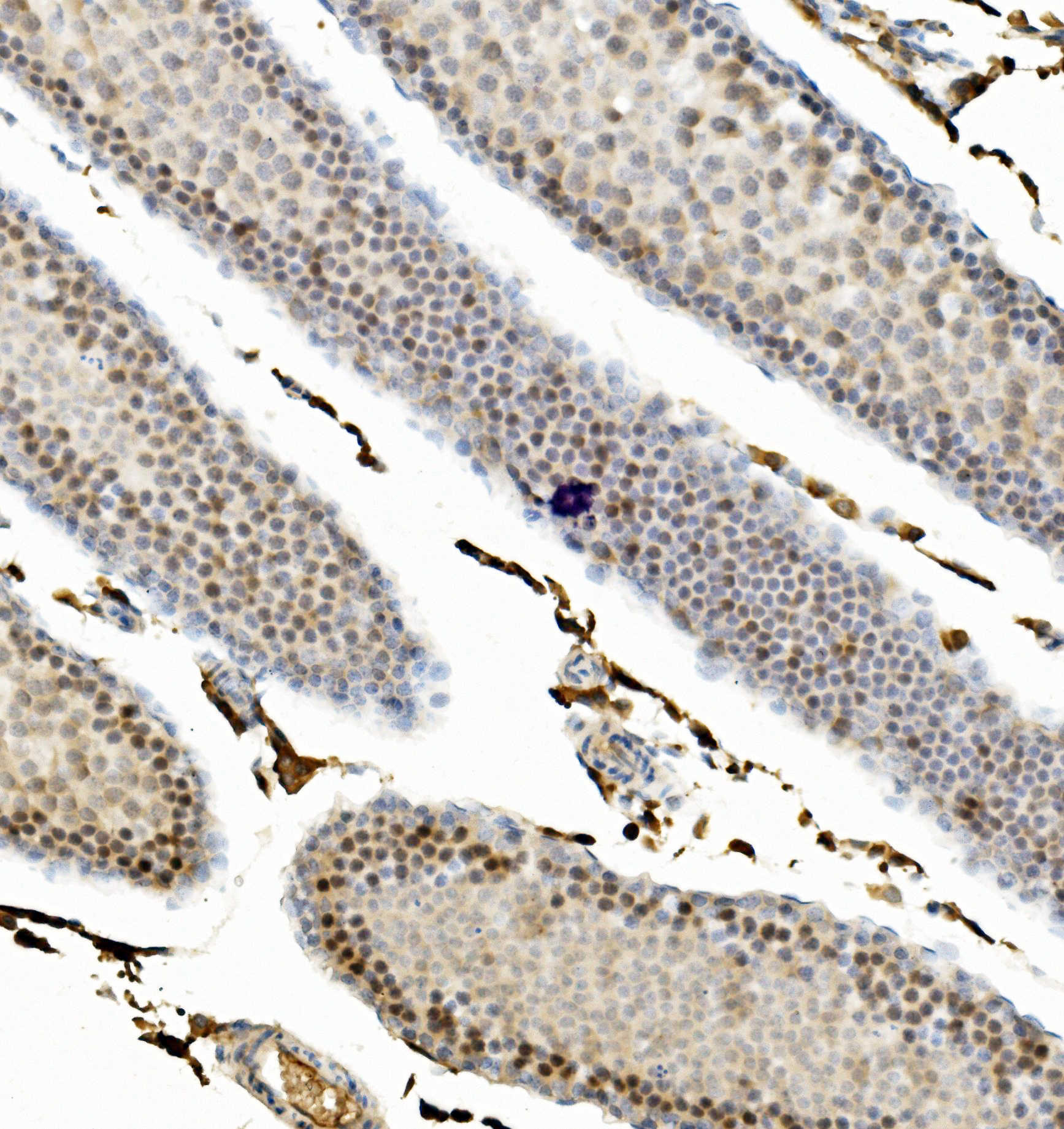
IHC analysis of Cyclin B1/CCNB1 using anti-Cyclin B1/CCNB1 antibody (A00745-1).
Cyclin B1/CCNB1 was detected in a paraffin-embedded section of rat testis tissue. Biotinylated goat anti-rabbit IgG was used as secondary antibody. The tissue section was incubated with rabbit anti-Cyclin B1/CCNB1 Antibody (A00745-1) at a dilution of 1:200 and developed using Strepavidin-Biotin-Complex (SABC) (Catalog # SA1022) with DAB (Catalog # AR1027) as the chromogen.

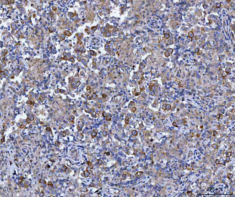
IHC analysis of Cyclin B1/CCNB1 using anti-Cyclin B1/CCNB1 antibody (A00745-1).
Cyclin B1/CCNB1 was detected in a paraffin-embedded section of human laryngeal squamous cell carcinoma tissue. The tissue section was incubated with rabbit anti-Cyclin B1/CCNB1 Antibody (A00745-1) at a dilution of 1:200 and developed using HRP Conjugated Rabbit IgG Super Vision Assay Kit (Catalog # SV0002) with DAB (Catalog # AR1027) as the chromogen.

IHC analysis of Cyclin B1/CCNB1 using anti-Cyclin B1/CCNB1 antibody (A00745-1).
Cyclin B1/CCNB1 was detected in a paraffin-embedded section of human seminoma testis tissue. The tissue section was incubated with rabbit anti-Cyclin B1/CCNB1 Antibody (A00745-1) at a dilution of 1:200 and developed using HRP Conjugated Rabbit IgG Super Vision Assay Kit (Catalog # SV0002) with DAB (Catalog # AR1027) as the chromogen.

IHC analysis of Cyclin B1/CCNB1 using anti-Cyclin B1/CCNB1 antibody (A00745-1).
Cyclin B1/CCNB1 was detected in a paraffin-embedded section of human endometrial adenocarcinoma tissue. The tissue section was incubated with rabbit anti-Cyclin B1/CCNB1 Antibody (A00745-1) at a dilution of 1:200 and developed using HRP Conjugated Rabbit IgG Super Vision Assay Kit (Catalog # SV0002) with DAB (Catalog # AR1027) as the chromogen.

Flow Cytometry analysis of A431 cells using anti-Cyclin B1/CCNB1 antibody (A00745-1).
Overlay histogram showing A431 cells stained with A00745-1 (Blue line). To facilitate intracellular staining, cells were fixed with 4% paraformaldehyde and permeabilized with permeabilization buffer. The cells were blocked with 10% normal goat serum. And then incubated with rabbit anti-Cyclin B1/CCNB1 Antibody (A00745-1) at 1:100 dilution for 30 min at 20°C. Fluoro488 conjugated goat anti-rabbit IgG (BA1127) was used as secondary antibody at 1:100 dilution for 30 minutes at 20°C. Isotype control antibody (Green line) was rabbit IgG at 1:100 dilution used under the same conditions. Unlabelled sample without incubation with primary antibody and secondary antibody (Red line) was used as a blank control.

ICC/IF analysis of Cyclin B1/CCNB1 using anti-Cyclin B1/CCNB1 antibody (A00745-1).
Cyclin B1/CCNB1 was detected in an immunocytochemical section of U2OS cells. The section was incubated with rabbit anti-Cyclin B1/CCNB1 Antibody (A00745-1) at a dilution of 1:100. Fluoro594-conjugated Anti-rabbit IgG Secondary Antibody (red)(Catalog#BA1142) was used as secondary antibody. The section was counterstained with DAPI (Catalog # AR1176) (Blue).

Western blot analysis of Cyclin B1/CCNB1 using anti-Cyclin B1/CCNB1 antibody (A00745-1). The sample well of each lane was loaded with 30 ug of sample under reducing conditions.
Lane 1: Human HELA whole cell lysates,
Lane 2: Human HEK293 whole cell lysates,
Lane 3: Human Jurkat whole cell lysates,
Lane 4: Human Raji whole cell lysates,
Lane 5: Human K562 whole cell lysates,
Lane 6: Human U2OS whole cell lysates,
Lane 7: Human CACO-2 whole cell lysates.
After electrophoresis, proteins were transferred to a membrane. Then the membrane was incubated with rabbit anti-Cyclin B1/CCNB1 antigen affinity purified polyclonal antibody (A00745-1) at a dilution of 1:1000 and probed with a goat anti-rabbit IgG-HRP secondary antibody (Catalog # BA1054). The signal is developed using ECL Plus Western Blotting Substrate (Catalog # AR1197). A specific band was detected for Cyclin B1/CCNB1 at approximately 55 kDa. The expected band size for Cyclin B1/CCNB1 is at 48 kDa.

Western blot analysis of Cyclin B1/CCNB1 using anti-Cyclin B1/CCNB1 antibody (A00745-1). The sample well of each lane was loaded with 30 ug of sample under reducing conditions.
Lane 1: Rat spleen tissue lysates,
Lane 2: Mouse thymus tissue lysates,
Lane 3: Mouse NIH/3T3 whole cell lysates.
After electrophoresis, proteins were transferred to a membrane. Then the membrane was incubated with rabbit anti-Cyclin B1/CCNB1 antigen affinity purified polyclonal antibody (A00745-1) at a dilution of 1:1000 and probed with a goat anti-rabbit IgG-HRP secondary antibody (Catalog # BA1054). The signal is developed using ECL Plus Western Blotting Substrate (Catalog # AR1197). A specific band was detected for Cyclin B1/CCNB1 at approximately 55 kDa. The expected band size for Cyclin B1/CCNB1 is at 48 kDa.

IHC analysis of Cyclin B1/CCNB1 using anti-Cyclin B1/CCNB1 antibody (A00745-1).
Cyclin B1/CCNB1 was detected in a paraffin-embedded section of human rectal cancer tissue. Biotinylated goat anti-rabbit IgG was used as secondary antibody. The tissue section was incubated with rabbit anti-Cyclin B1/CCNB1 Antibody (A00745-1) at a dilution of 1:200 and developed using Strepavidin-Biotin-Complex (SABC) (Catalog # SA1022) with DAB (Catalog # AR1027) as the chromogen.

IHC analysis of Cyclin B1/CCNB1 using anti-Cyclin B1/CCNB1 antibody (A00745-1).
Cyclin B1/CCNB1 was detected in a paraffin-embedded section of human tonsil cancer tissue. Biotinylated goat anti-rabbit IgG was used as secondary antibody. The tissue section was incubated with rabbit anti-Cyclin B1/CCNB1 Antibody (A00745-1) at a dilution of 1:200 and developed using Strepavidin-Biotin-Complex (SABC) (Catalog # SA1022) with DAB (Catalog # AR1027) as the chromogen.

IHC analysis of Cyclin B1/CCNB1 using anti-Cyclin B1/CCNB1 antibody (A00745-1).
Cyclin B1/CCNB1 was detected in a paraffin-embedded section of rat testis tissue. Biotinylated goat anti-rabbit IgG was used as secondary antibody. The tissue section was incubated with rabbit anti-Cyclin B1/CCNB1 Antibody (A00745-1) at a dilution of 1:200 and developed using Strepavidin-Biotin-Complex (SABC) (Catalog # SA1022) with DAB (Catalog # AR1027) as the chromogen.

IHC analysis of Cyclin B1/CCNB1 using anti-Cyclin B1/CCNB1 antibody (A00745-1).
Cyclin B1/CCNB1 was detected in a paraffin-embedded section of human laryngeal squamous cell carcinoma tissue. The tissue section was incubated with rabbit anti-Cyclin B1/CCNB1 Antibody (A00745-1) at a dilution of 1:200 and developed using HRP Conjugated Rabbit IgG Super Vision Assay Kit (Catalog # SV0002) with DAB (Catalog # AR1027) as the chromogen.

IHC analysis of Cyclin B1/CCNB1 using anti-Cyclin B1/CCNB1 antibody (A00745-1).
Cyclin B1/CCNB1 was detected in a paraffin-embedded section of human seminoma testis tissue. The tissue section was incubated with rabbit anti-Cyclin B1/CCNB1 Antibody (A00745-1) at a dilution of 1:200 and developed using HRP Conjugated Rabbit IgG Super Vision Assay Kit (Catalog # SV0002) with DAB (Catalog # AR1027) as the chromogen.

IHC analysis of Cyclin B1/CCNB1 using anti-Cyclin B1/CCNB1 antibody (A00745-1).
Cyclin B1/CCNB1 was detected in a paraffin-embedded section of human endometrial adenocarcinoma tissue. The tissue section was incubated with rabbit anti-Cyclin B1/CCNB1 Antibody (A00745-1) at a dilution of 1:200 and developed using HRP Conjugated Rabbit IgG Super Vision Assay Kit (Catalog # SV0002) with DAB (Catalog # AR1027) as the chromogen.

Flow Cytometry analysis of A431 cells using anti-Cyclin B1/CCNB1 antibody (A00745-1).
Overlay histogram showing A431 cells stained with A00745-1 (Blue line). To facilitate intracellular staining, cells were fixed with 4% paraformaldehyde and permeabilized with permeabilization buffer. The cells were blocked with 10% normal goat serum. And then incubated with rabbit anti-Cyclin B1/CCNB1 Antibody (A00745-1) at 1:100 dilution for 30 min at 20°C. Fluoro488 conjugated goat anti-rabbit IgG (BA1127) was used as secondary antibody at 1:100 dilution for 30 minutes at 20°C. Isotype control antibody (Green line) was rabbit IgG at 1:100 dilution used under the same conditions. Unlabelled sample without incubation with primary antibody and secondary antibody (Red line) was used as a blank control.

ICC/IF analysis of Cyclin B1/CCNB1 using anti-Cyclin B1/CCNB1 antibody (A00745-1).
Cyclin B1/CCNB1 was detected in an immunocytochemical section of U2OS cells. The section was incubated with rabbit anti-Cyclin B1/CCNB1 Antibody (A00745-1) at a dilution of 1:100. Fluoro594-conjugated Anti-rabbit IgG Secondary Antibody (red)(Catalog#BA1142) was used as secondary antibody. The section was counterstained with DAPI (Catalog # AR1176) (Blue).











