| Western blot (WB): | 1:500-2000 |
| Immunohistochemistry (IHC): | 1:50-200 |
| Immunocytochemistry/Immunofluorescence (ICC/IF): | 1:50-200 |
| ImmunoPrecipitation (IP): | 1:20 |

Western blot analysis on HeLa cell using p57 Kip2 Antibody.

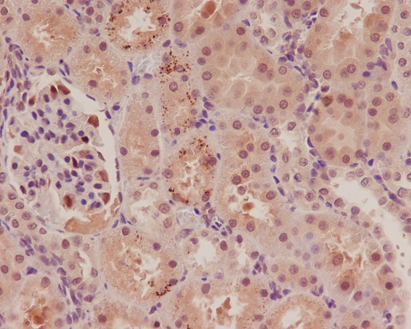
Immunohistochemical analysis of paraffin-embedded rat kidney, using p57 Kip2 Antibody .

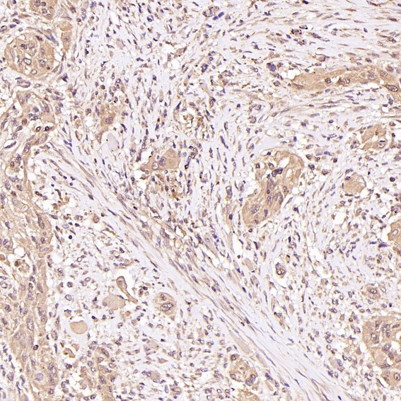
Immunohistochemical analysis of paraffin-embedded Human tongue cancer, using the Antibody.

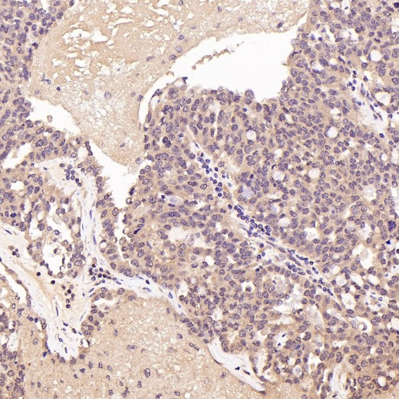
Immunohistochemical analysis of paraffin-embedded Human thyroid cancer, using the Antibody.

Immunohistochemical analysis of paraffin-embedded Human ovarian cancer, using the Antibody.

Immunofluorescent analysis of HeLa cells treated with dexamethasone, using p57 Kip2 Antibody .

Western blot analysis on HeLa cell using p57 Kip2 Antibody.

Immunohistochemical analysis of paraffin-embedded rat kidney, using p57 Kip2 Antibody .

Immunohistochemical analysis of paraffin-embedded Human tongue cancer, using the Antibody.

Immunohistochemical analysis of paraffin-embedded Human thyroid cancer, using the Antibody.

Immunohistochemical analysis of paraffin-embedded Human ovarian cancer, using the Antibody.

Immunofluorescent analysis of HeLa cells treated with dexamethasone, using p57 Kip2 Antibody .







