| Western blot (WB): | 1:500-2000 |
| Immunohistochemistry in paraffin section IHC | 1:50-400 |
| (Boiling the paraffin sections in 10mM citrate buffer,pH6.0,or PH8.0 EDTA repair liquid for 20 mins is required for the staining of formalin/paraffin sections.) Optimal working dilutions must be determined by end user. | |

Western blot analysis of p57Kip2/CDKN1C using anti-p57Kip2/CDKN1C antibody (A01244-2). The sample well of each lane was loaded with 30 ug of sample under reducing conditions.
Lane 1: Jurkat whole cell lysates,
Lane 2: HepG2 whole cell lysates,
Lane 3: A549 whole cell lysates,
Lane 4: THP-1 whole cell lysates,
Lane 5: Raji whole cell lysates,
Lane 6: SW620 whole cell lysates,
Lane 7: Caco-2 whole cell lysates,
Lane 8: HEK293 whole cell lysates,
Lane 9: PC-12 whole cell lysates,
Lane 10: NIH/3T3 whole cell lysates.
After electrophoresis, proteins were transferred to a membrane. Then the membrane was incubated with rabbit anti-p57Kip2/CDKN1C antigen affinity purified polyclonal antibody (A01244-2) at a dilution of 1:1000 and probed with a goat anti-rabbit IgG-HRP secondary antibody (Catalog # BA1054). The signal is developed using ECL Plus Western Blotting Substrate (Catalog # AR1197). A specific band was detected for p57Kip2/CDKN1C at approximately 30 kDa/57 kDa. The expected band size for p57Kip2/CDKN1C is at 32 kDa.

IHC analysis of p57Kip2/CDKN1C using anti-p57Kip2/CDKN1C antibody (A01244-2).
p57Kip2/CDKN1C was detected in a paraffin-embedded section of human esophageal squamous carcinoma tissue. Biotinylated goat anti-rabbit IgG was used as secondary antibody. The tissue section was incubated with rabbit anti-p57Kip2/CDKN1C Antibody (A01244-2) at a dilution of 1:200 and developed using Strepavidin-Biotin-Complex (SABC) (Catalog # SA1022) with DAB (Catalog # AR1027) as the chromogen.

IHC analysis of p57Kip2/CDKN1C using anti-p57Kip2/CDKN1C antibody (A01244-2).
p57Kip2/CDKN1C was detected in a paraffin-embedded section of human cervical cancer tissue. Biotinylated goat anti-rabbit IgG was used as secondary antibody. The tissue section was incubated with rabbit anti-p57Kip2/CDKN1C Antibody (A01244-2) at a dilution of 1:200 and developed using Strepavidin-Biotin-Complex (SABC) (Catalog # SA1022) with DAB (Catalog # AR1027) as the chromogen.

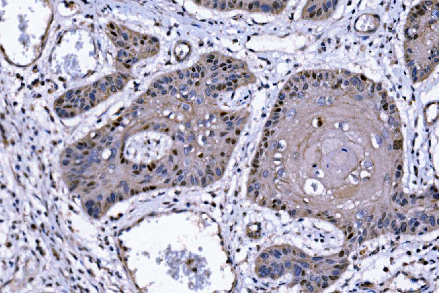
IHC analysis of p57Kip2/CDKN1C using anti-p57Kip2/CDKN1C antibody (A01244-2).
p57Kip2/CDKN1C was detected in a paraffin-embedded section of human lung cancer tissue. Biotinylated goat anti-rabbit IgG was used as secondary antibody. The tissue section was incubated with rabbit anti-p57Kip2/CDKN1C Antibody (A01244-2) at a dilution of 1:200 and developed using Strepavidin-Biotin-Complex (SABC) (Catalog # SA1022) with DAB (Catalog # AR1027) as the chromogen.

IHC analysis of p57Kip2/CDKN1C using anti-p57Kip2/CDKN1C antibody (A01244-2).
p57Kip2/CDKN1C was detected in a paraffin-embedded section of rat kidney tissue. Biotinylated goat anti-rabbit IgG was used as secondary antibody. The tissue section was incubated with rabbit anti-p57Kip2/CDKN1C Antibody (A01244-2) at a dilution of 1:200 and developed using Strepavidin-Biotin-Complex (SABC) (Catalog # SA1022) with DAB (Catalog # AR1027) as the chromogen.

IHC analysis of p57Kip2/CDKN1C using anti-p57Kip2/CDKN1C antibody (A01244-2).
p57Kip2/CDKN1C was detected in a paraffin-embedded section of mouse kidney tissue. Biotinylated goat anti-rabbit IgG was used as secondary antibody. The tissue section was incubated with rabbit anti-p57Kip2/CDKN1C Antibody (A01244-2) at a dilution of 1:200 and developed using Strepavidin-Biotin-Complex (SABC) (Catalog # SA1022) with DAB (Catalog # AR1027) as the chromogen.

Western blot analysis of p57Kip2/CDKN1C using anti-p57Kip2/CDKN1C antibody (A01244-2). The sample well of each lane was loaded with 30 ug of sample under reducing conditions.
Lane 1: Jurkat whole cell lysates,
Lane 2: HepG2 whole cell lysates,
Lane 3: A549 whole cell lysates,
Lane 4: THP-1 whole cell lysates,
Lane 5: Raji whole cell lysates,
Lane 6: SW620 whole cell lysates,
Lane 7: Caco-2 whole cell lysates,
Lane 8: HEK293 whole cell lysates,
Lane 9: PC-12 whole cell lysates,
Lane 10: NIH/3T3 whole cell lysates.
After electrophoresis, proteins were transferred to a membrane. Then the membrane was incubated with rabbit anti-p57Kip2/CDKN1C antigen affinity purified polyclonal antibody (A01244-2) at a dilution of 1:1000 and probed with a goat anti-rabbit IgG-HRP secondary antibody (Catalog # BA1054). The signal is developed using ECL Plus Western Blotting Substrate (Catalog # AR1197). A specific band was detected for p57Kip2/CDKN1C at approximately 30 kDa/57 kDa. The expected band size for p57Kip2/CDKN1C is at 32 kDa.

IHC analysis of p57Kip2/CDKN1C using anti-p57Kip2/CDKN1C antibody (A01244-2).
p57Kip2/CDKN1C was detected in a paraffin-embedded section of human esophageal squamous carcinoma tissue. Biotinylated goat anti-rabbit IgG was used as secondary antibody. The tissue section was incubated with rabbit anti-p57Kip2/CDKN1C Antibody (A01244-2) at a dilution of 1:200 and developed using Strepavidin-Biotin-Complex (SABC) (Catalog # SA1022) with DAB (Catalog # AR1027) as the chromogen.

IHC analysis of p57Kip2/CDKN1C using anti-p57Kip2/CDKN1C antibody (A01244-2).
p57Kip2/CDKN1C was detected in a paraffin-embedded section of human cervical cancer tissue. Biotinylated goat anti-rabbit IgG was used as secondary antibody. The tissue section was incubated with rabbit anti-p57Kip2/CDKN1C Antibody (A01244-2) at a dilution of 1:200 and developed using Strepavidin-Biotin-Complex (SABC) (Catalog # SA1022) with DAB (Catalog # AR1027) as the chromogen.

IHC analysis of p57Kip2/CDKN1C using anti-p57Kip2/CDKN1C antibody (A01244-2).
p57Kip2/CDKN1C was detected in a paraffin-embedded section of human lung cancer tissue. Biotinylated goat anti-rabbit IgG was used as secondary antibody. The tissue section was incubated with rabbit anti-p57Kip2/CDKN1C Antibody (A01244-2) at a dilution of 1:200 and developed using Strepavidin-Biotin-Complex (SABC) (Catalog # SA1022) with DAB (Catalog # AR1027) as the chromogen.

IHC analysis of p57Kip2/CDKN1C using anti-p57Kip2/CDKN1C antibody (A01244-2).
p57Kip2/CDKN1C was detected in a paraffin-embedded section of rat kidney tissue. Biotinylated goat anti-rabbit IgG was used as secondary antibody. The tissue section was incubated with rabbit anti-p57Kip2/CDKN1C Antibody (A01244-2) at a dilution of 1:200 and developed using Strepavidin-Biotin-Complex (SABC) (Catalog # SA1022) with DAB (Catalog # AR1027) as the chromogen.

IHC analysis of p57Kip2/CDKN1C using anti-p57Kip2/CDKN1C antibody (A01244-2).
p57Kip2/CDKN1C was detected in a paraffin-embedded section of mouse kidney tissue. Biotinylated goat anti-rabbit IgG was used as secondary antibody. The tissue section was incubated with rabbit anti-p57Kip2/CDKN1C Antibody (A01244-2) at a dilution of 1:200 and developed using Strepavidin-Biotin-Complex (SABC) (Catalog # SA1022) with DAB (Catalog # AR1027) as the chromogen.





