| Western blot (WB): | 1:500-2000 |
| Immunohistochemistry (IHC): | 1:50-200 |
| Immunocytochemistry/Immunofluorescence (ICC/IF): | 1:50-200 |
| ImmunoPrecipitation (IP): | 1:20 |

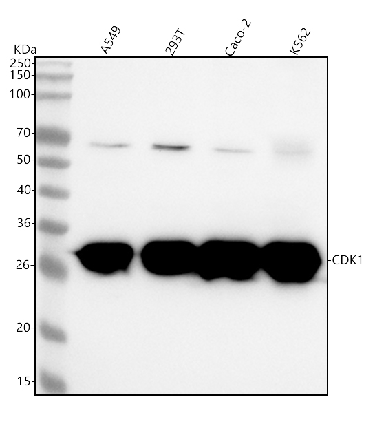
Western blot analysis of anti-CDK1 antibody (BM4062). The sample well of each lane was loaded with 30 ug of sample under reducing conditions.
Lane 1: human A549 whole cell lysates,
Lane 2: human 293T whole cell lysates,
Lane 3: human Caco-2 whole cell lysates,
Lane 4: human K562 whole cell lysates.
After electrophoresis, proteins were transferred to a membrane. Then the membrane was incubated with rabbit anti-CDK1 antigen affinity purified monoclonal antibody (BM4062) at a dilution of 1:1000 and probed with a goat anti-rabbit IgG-HRP secondary antibody (Catalog # BA1054). The signal is developed using ECL Plus Western Blotting Substrate (Catalog # AR1197). A specific band was detected for CDK1 at approximately 30 kDa. The expected band size for CDK1 is at 34 kDa.

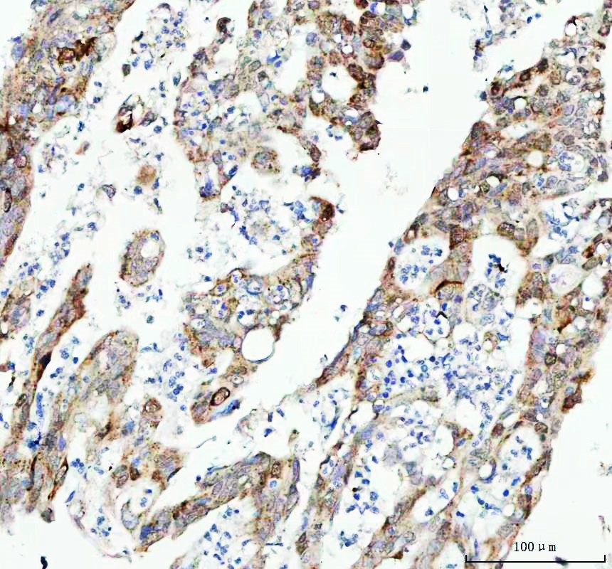
IHC analysis of CDK1 using anti-CDK1 antibody (BM4062) .
CDK1 was detected in a paraffin-embedded section of human colorectal adenocarcinoma tissue. The tissue section was incubated with rabbit anti-CDK1 Antibody (BM4062) at a dilution of 1:200 and developed using HRP Conjugated Rabbit IgG Super Vision Assay Kit (Catalog # SV0002) with DAB (Catalog # AR1027) as the chromogen.

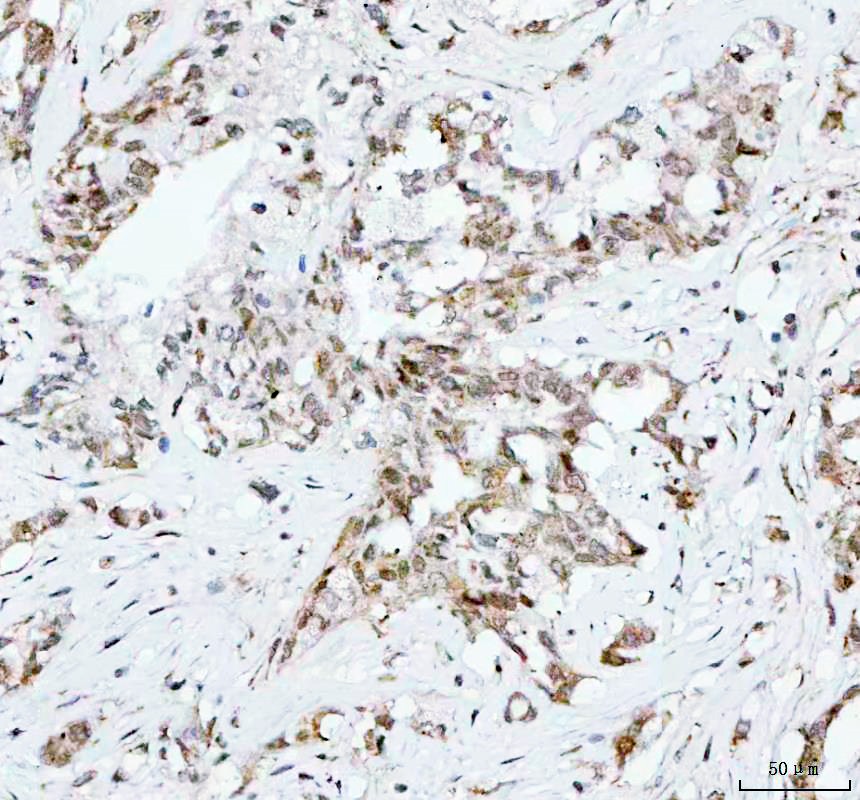
IHC analysis of CDK1 using anti-CDK1 antibody (BM4062) .
CDK1 was detected in a paraffin-embedded section of human cervica squamous carcinoma tissue. The tissue section was incubated with rabbit anti-CDK1 Antibody (BM4062) at a dilution of 1:200 and developed using HRP Conjugated Rabbit IgG Super Vision Assay Kit (Catalog # SV0002) with DAB (Catalog # AR1027) as the chromogen.

IHC analysis of CDK1 using anti-CDK1 antibody (BM4062) .
CDK1 was detected in a paraffin-embedded section of human spleen tissue. The tissue section was incubated with rabbit anti-CDK1 Antibody (BM4062) at a dilution of 1:200 and developed using HRP Conjugated Rabbit IgG Super Vision Assay Kit (Catalog # SV0002) with DAB (Catalog # AR1027) as the chromogen.

IHC analysis of CDK1 using anti-CDK1 antibody (BM4062) .
CDK1 was detected in a paraffin-embedded section of human lung adenocarcinoma tissue. The tissue section was incubated with rabbit anti-CDK1 Antibody (BM4062) at a dilution of 1:200 and developed using HRP Conjugated Rabbit IgG Super Vision Assay Kit (Catalog # SV0002) with DAB (Catalog # AR1027) as the chromogen.

ICC/IF analysis of CDK1 using anti-CDK1 antibody (BM4062) and anti-Beta Tubulin antibody (M01857-3).
CDK1 was detected in an immunocytochemical section of Hela cells. The section was incubated with rabbit anti-CDK1 Antibody (BM4062) at a dilution of 1:100. Fluoro488-conjugated Anti-rabbit IgG Secondary Antibody (green)(Catalog#BA1127) and Cy3-conjugated Anti-mouse IgG Secondary Antibody (red)(Catalog#BA1031) were used as secondary antibody.

Western blot analysis of anti-CDK1 antibody (BM4062). The sample well of each lane was loaded with 30 ug of sample under reducing conditions.
Lane 1: human A549 whole cell lysates,
Lane 2: human 293T whole cell lysates,
Lane 3: human Caco-2 whole cell lysates,
Lane 4: human K562 whole cell lysates.
After electrophoresis, proteins were transferred to a membrane. Then the membrane was incubated with rabbit anti-CDK1 antigen affinity purified monoclonal antibody (BM4062) at a dilution of 1:1000 and probed with a goat anti-rabbit IgG-HRP secondary antibody (Catalog # BA1054). The signal is developed using ECL Plus Western Blotting Substrate (Catalog # AR1197). A specific band was detected for CDK1 at approximately 30 kDa. The expected band size for CDK1 is at 34 kDa.

IHC analysis of CDK1 using anti-CDK1 antibody (BM4062) .
CDK1 was detected in a paraffin-embedded section of human colorectal adenocarcinoma tissue. The tissue section was incubated with rabbit anti-CDK1 Antibody (BM4062) at a dilution of 1:200 and developed using HRP Conjugated Rabbit IgG Super Vision Assay Kit (Catalog # SV0002) with DAB (Catalog # AR1027) as the chromogen.

IHC analysis of CDK1 using anti-CDK1 antibody (BM4062) .
CDK1 was detected in a paraffin-embedded section of human cervica squamous carcinoma tissue. The tissue section was incubated with rabbit anti-CDK1 Antibody (BM4062) at a dilution of 1:200 and developed using HRP Conjugated Rabbit IgG Super Vision Assay Kit (Catalog # SV0002) with DAB (Catalog # AR1027) as the chromogen.

IHC analysis of CDK1 using anti-CDK1 antibody (BM4062) .
CDK1 was detected in a paraffin-embedded section of human spleen tissue. The tissue section was incubated with rabbit anti-CDK1 Antibody (BM4062) at a dilution of 1:200 and developed using HRP Conjugated Rabbit IgG Super Vision Assay Kit (Catalog # SV0002) with DAB (Catalog # AR1027) as the chromogen.

IHC analysis of CDK1 using anti-CDK1 antibody (BM4062) .
CDK1 was detected in a paraffin-embedded section of human lung adenocarcinoma tissue. The tissue section was incubated with rabbit anti-CDK1 Antibody (BM4062) at a dilution of 1:200 and developed using HRP Conjugated Rabbit IgG Super Vision Assay Kit (Catalog # SV0002) with DAB (Catalog # AR1027) as the chromogen.

ICC/IF analysis of CDK1 using anti-CDK1 antibody (BM4062) and anti-Beta Tubulin antibody (M01857-3).
CDK1 was detected in an immunocytochemical section of Hela cells. The section was incubated with rabbit anti-CDK1 Antibody (BM4062) at a dilution of 1:100. Fluoro488-conjugated Anti-rabbit IgG Secondary Antibody (green)(Catalog#BA1127) and Cy3-conjugated Anti-mouse IgG Secondary Antibody (red)(Catalog#BA1031) were used as secondary antibody.







