| Western blot (WB): | 1:500-2000 |
| Immunohistochemistry (IHC): | 1:50-200 |
| ImmunoPrecipitation (IP): | 1:20 |

Western blot analysis of anti-CDK1 (Phospho-T14) antibody (BM4328). The sample well of each lane was loaded with 30 ug of sample under reducing conditions.
Lane 1: human Hela whole cell lysates,
Lane 2: human A431 whole cell lysates,
Lane 3: human Hacat whole cell lysates,
Lane 4: human SiHa whole cell lysates,
Lane 5: rat spleen tissue lysates,
Lane 6: rat thymus tissue lysates,
Lane 7: mouse spleen tissue lysates,
Lane 8: mouse thymus tissue lysates.
After electrophoresis, proteins were transferred to a membrane. Then the membrane was incubated with rabbit anti-CDK1 (Phospho-T14) antigen affinity purified monoclonal antibody (BM4328) at a dilution of 1:1000 and probed with a goat anti-rabbit IgG-HRP secondary antibody (Catalog # BA1054). The signal is developed using ECL Plus Western Blotting Substrate (Catalog # AR1197). A specific band was detected for CDK1 (Phospho-T14) at approximately 34 kDa. The expected band size for CDK1 (Phospho-T14) is at 34 kDa.

Immunohistochemical analysis of paraffin-embedded rat spleen, using Phospho-Cdk1/2 (T14) Antibody.

Western blot analysis of anti-CDK1 (Phospho-T14) antibody (BM4328). The sample well of each lane was loaded with 30 ug of sample under reducing conditions.
Lane 1: human Hela whole cell lysates,
Lane 2: human A431 whole cell lysates,
Lane 3: human Hacat whole cell lysates,
Lane 4: human SiHa whole cell lysates,
Lane 5: rat spleen tissue lysates,
Lane 6: rat thymus tissue lysates,
Lane 7: mouse spleen tissue lysates,
Lane 8: mouse thymus tissue lysates.
After electrophoresis, proteins were transferred to a membrane. Then the membrane was incubated with rabbit anti-CDK1 (Phospho-T14) antigen affinity purified monoclonal antibody (BM4328) at a dilution of 1:1000 and probed with a goat anti-rabbit IgG-HRP secondary antibody (Catalog # BA1054). The signal is developed using ECL Plus Western Blotting Substrate (Catalog # AR1197). A specific band was detected for CDK1 (Phospho-T14) at approximately 34 kDa. The expected band size for CDK1 (Phospho-T14) is at 34 kDa.

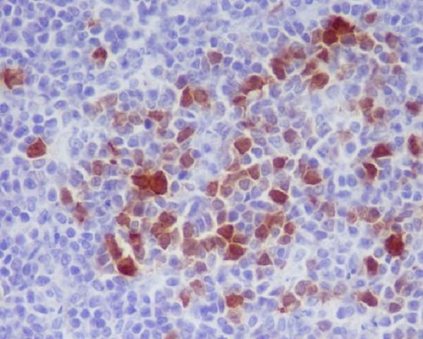
Immunohistochemical analysis of paraffin-embedded rat spleen, using Phospho-Cdk1/2 (T14) Antibody.



