| Western blot (WB): | 1:500-2000 |
| Immunohistochemistry (IHC): | 1:50-400 |
| Immunofluorescence (IF): | 1:50-400 |
| Flow Cytometry (Fixed): | 1:50-200 |
| Enzyme linked immunosorbent assay (ELISA): | 1:100-1000 |
| (Boiling the paraffin sections in 10mM citrate buffer,pH6.0,or PH8.0 EDTA repair liquid for 20 mins is required for the staining of formalin/paraffin sections.) Optimal working dilutions must be determined by end user. | |

Western blot analysis of NF-L/NEFL using anti-NF-L/NEFL antibody (A02482-1). The sample well of each lane was loaded with 30 ug of sample under reducing conditions.
Lane 1: human SH-SY5Y whole cell lysates,
Lane 2: rat brain tissue lysates,
Lane 3: mouse brain tissue lysates.
After electrophoresis, proteins were transferred to a membrane. Then the membrane was incubated with rabbit anti-NF-L/NEFL antigen affinity purified polyclonal antibody (A02482-1) at a dilution of 1:1000 and probed with a goat anti-rabbit IgG-HRP secondary antibody (Catalog # BA1054). The signal is developed using ECL Plus Western Blotting Substrate (Catalog # AR1197). A specific band was detected for NF-L/NEFL at approximately 72 kDa. The expected band size for NF-L/NEFL is at 62 kDa.

IHC analysis of NF-L/NEFL using anti-NF-L/NEFL antibody (A02482-1).
NF-L/NEFL was detected in a paraffin-embedded section of mouse spinal cord tissue. Biotinylated goat anti-rabbit IgG was used as secondary antibody. The tissue section was incubated with rabbit anti-NF-L/NEFL Antibody (A02482-1) at a dilution of 1:200 and developed using Strepavidin-Biotin-Complex (SABC) (Catalog # SA1022) with DAB (Catalog # AR1027) as the chromogen.

IHC analysis of NF-L/NEFL using anti-NF-L/NEFL antibody (A02482-1).
NF-L/NEFL was detected in a paraffin-embedded section of rat spinal cord tissue. Biotinylated goat anti-rabbit IgG was used as secondary antibody. The tissue section was incubated with rabbit anti-NF-L/NEFL Antibody (A02482-1) at a dilution of 1:200 and developed using Strepavidin-Biotin-Complex (SABC) (Catalog # SA1022) with DAB (Catalog # AR1027) as the chromogen.

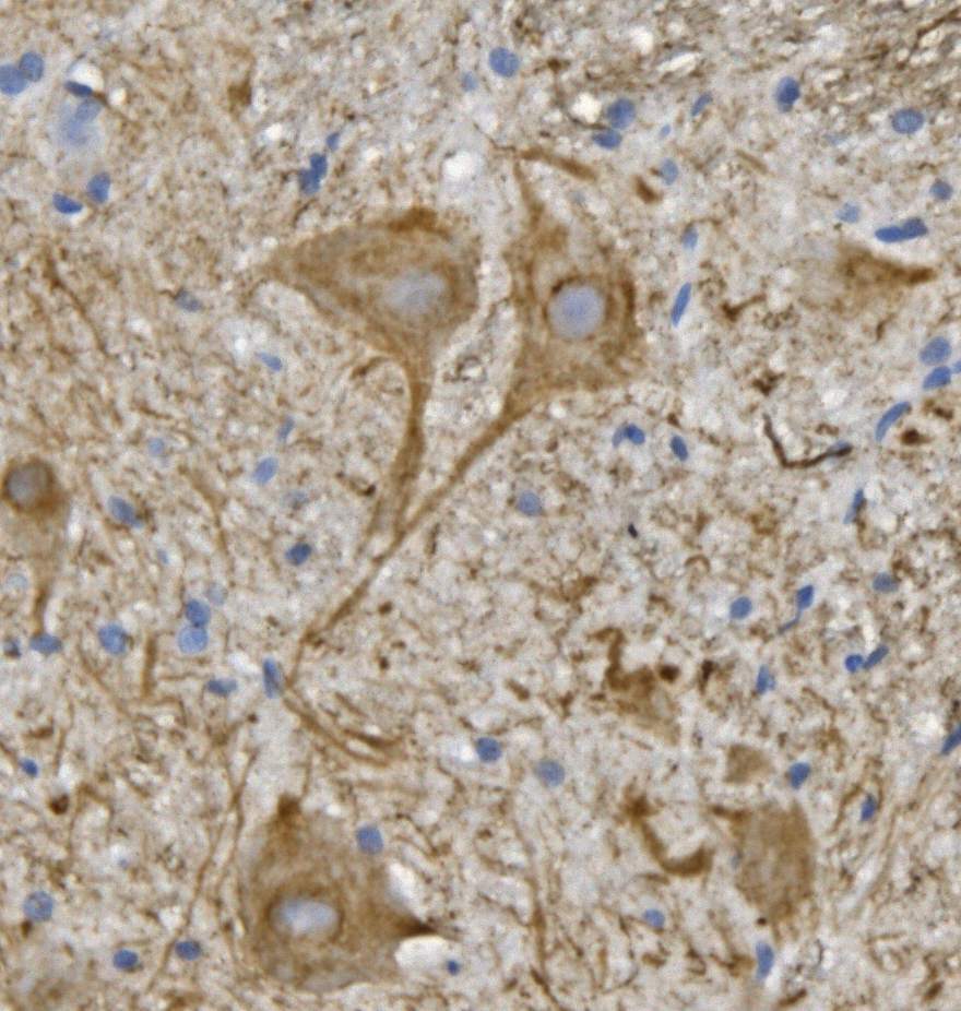
IHC analysis of NF-L/NEFL using anti-NF-L/NEFL antibody (A02482-1).
NF-L/NEFL was detected in a paraffin-embedded section of human brain tissue. The tissue section was incubated with rabbit anti-NF-L/NEFL Antibody (A02482-1) at a dilution of 1:200 and developed using HRP Conjugated Rabbit IgG Super Vision Assay Kit (Catalog # SV0002) with DAB (Catalog # AR1027) as the chromogen.

IF analysis using anti- NEFL antibody (A02482-1). detected in paraffin-embedded section of rat brain tissue. The tissue section were stained using the cy3-conjugated Anti-rabbit IgG Secondary Antibody (red)(Catalog # BA1032) and counterstained with DAPI (blue).

IF analysis using anti- NEFL antibody (A02482-1). detected in paraffin-embedded section of mouse brain tissue. The tissue section were stained using the cy3-conjugated Anti-rabbit IgG Secondary Antibody (red)(Catalog # BA1032) and counterstained with DAPI (blue).

Flow Cytometry analysis of 293T cells using anti-NF-L/NEFL antibody (A02482-1).
Overlay histogram showing 293T cells stained with A02482-1 (Blue line). To facilitate intracellular staining, cells were fixed with 4% paraformaldehyde and permeabilized with permeabilization buffer. The cells were blocked with 10% normal goat serum. And then incubated with rabbit anti-NF-L/NEFL Antibody (A02482-1) at 1:100 dilution for 30 min at 20°C. Fluoro488 conjugated goat anti-rabbit IgG (BA1127) was used as secondary antibody at 1:100 dilution for 30 minutes at 20°C. Isotype control antibody (Green line) was rabbit IgG at 1:100 dilution used under the same conditions. Unlabelled sample without incubation with primary antibody and secondary antibody (Red line) was used as a blank control.

Western blot analysis of NF-L/NEFL using anti-NF-L/NEFL antibody (A02482-1). The sample well of each lane was loaded with 30 ug of sample under reducing conditions.
Lane 1: human SH-SY5Y whole cell lysates,
Lane 2: rat brain tissue lysates,
Lane 3: mouse brain tissue lysates.
After electrophoresis, proteins were transferred to a membrane. Then the membrane was incubated with rabbit anti-NF-L/NEFL antigen affinity purified polyclonal antibody (A02482-1) at a dilution of 1:1000 and probed with a goat anti-rabbit IgG-HRP secondary antibody (Catalog # BA1054). The signal is developed using ECL Plus Western Blotting Substrate (Catalog # AR1197). A specific band was detected for NF-L/NEFL at approximately 72 kDa. The expected band size for NF-L/NEFL is at 62 kDa.

IHC analysis of NF-L/NEFL using anti-NF-L/NEFL antibody (A02482-1).
NF-L/NEFL was detected in a paraffin-embedded section of mouse spinal cord tissue. Biotinylated goat anti-rabbit IgG was used as secondary antibody. The tissue section was incubated with rabbit anti-NF-L/NEFL Antibody (A02482-1) at a dilution of 1:200 and developed using Strepavidin-Biotin-Complex (SABC) (Catalog # SA1022) with DAB (Catalog # AR1027) as the chromogen.

IHC analysis of NF-L/NEFL using anti-NF-L/NEFL antibody (A02482-1).
NF-L/NEFL was detected in a paraffin-embedded section of rat spinal cord tissue. Biotinylated goat anti-rabbit IgG was used as secondary antibody. The tissue section was incubated with rabbit anti-NF-L/NEFL Antibody (A02482-1) at a dilution of 1:200 and developed using Strepavidin-Biotin-Complex (SABC) (Catalog # SA1022) with DAB (Catalog # AR1027) as the chromogen.

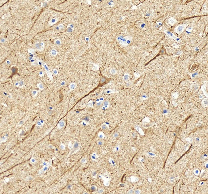
IHC analysis of NF-L/NEFL using anti-NF-L/NEFL antibody (A02482-1).
NF-L/NEFL was detected in a paraffin-embedded section of human brain tissue. The tissue section was incubated with rabbit anti-NF-L/NEFL Antibody (A02482-1) at a dilution of 1:200 and developed using HRP Conjugated Rabbit IgG Super Vision Assay Kit (Catalog # SV0002) with DAB (Catalog # AR1027) as the chromogen.

IF analysis using anti- NEFL antibody (A02482-1). detected in paraffin-embedded section of rat brain tissue. The tissue section were stained using the cy3-conjugated Anti-rabbit IgG Secondary Antibody (red)(Catalog # BA1032) and counterstained with DAPI (blue).

IF analysis using anti- NEFL antibody (A02482-1). detected in paraffin-embedded section of mouse brain tissue. The tissue section were stained using the cy3-conjugated Anti-rabbit IgG Secondary Antibody (red)(Catalog # BA1032) and counterstained with DAPI (blue).

Flow Cytometry analysis of 293T cells using anti-NF-L/NEFL antibody (A02482-1).
Overlay histogram showing 293T cells stained with A02482-1 (Blue line). To facilitate intracellular staining, cells were fixed with 4% paraformaldehyde and permeabilized with permeabilization buffer. The cells were blocked with 10% normal goat serum. And then incubated with rabbit anti-NF-L/NEFL Antibody (A02482-1) at 1:100 dilution for 30 min at 20°C. Fluoro488 conjugated goat anti-rabbit IgG (BA1127) was used as secondary antibody at 1:100 dilution for 30 minutes at 20°C. Isotype control antibody (Green line) was rabbit IgG at 1:100 dilution used under the same conditions. Unlabelled sample without incubation with primary antibody and secondary antibody (Red line) was used as a blank control.








