欢迎访问博士德生物官网! 服务热线:027-67845390 |
您当前的位置: 首页 > 产品列表

筛选项

  • 检验物种

  • 应用范围

  • 宿主

  • 发货周期

  • 研究领域

  • 产品形态

共有 3067 条产品信息

    • (4)

    Anti- pro Caspase 3/CASP3 Antibody (Clone#30C96)

    货号:M00334-9

    描述:Rabbit monoclonal antibody

    检验物种: human, mouse, rat

    应用范围: WB, IHC, IP

    货期:现货

    说明书 文献数量(34) 一键复制产品信息

    加入购物车
  • Anti- pro Caspase 3/CASP3 Antibody (Clone#30C96)

    筛选器: All WB IHC IP

    • Western blot analysis of anti-Caspase 1/CASP1 antibody (M00334-9). The sample well of each lane was loaded with 30 ug of sample under reducing conditions.
      Lane 1: human Hela whole cell lysates,
      Lane 2: human Hela whole cell lysates,
      Lane 3: human Jurkat whole cell lysates,
      Lane 4: human Jurkat whole cell lysates,
      Lane 5: human HepG2 whole cell lysates,
      Lane 6: human 293T whole cell lysates,
      Lane 7: mouse NIH/3T3 whole cell lysates,
      Lane 8: mouse NIH/3T3 whole cell lysates.
      After electrophoresis, proteins were transferred to a membrane. Then the membrane was incubated with rabbit anti-Caspase 1/CASP1 antigen affinity purified monoclonal antibody (M00334-9) at a dilution of 1:1000 and probed with a goat anti-rabbit IgG-HRP secondary antibody (Catalog # BA1054). The signal is developed using ECL Plus Western Blotting Substrate (Catalog # AR1197). A specific band was detected for Caspase 1/CASP1 at approximately 32 kDa. The expected band size for Caspase 1/CASP1 is at 32 kDa.

    • IHC analysis of Caspase 3/CASP3 using anti-Caspase 3/CASP3 antibody (M00334-9) .
      Caspase 3/CASP3 was detected in a paraffin-embedded section of human tonsil tissue. The tissue section was incubated with rabbit anti-Caspase 3/CASP3 Antibody (M00334-9) at a dilution of 1:200 and developed using HRP Conjugated Rabbit IgG Super Vision Assay Kit (Catalog # SV0002) with DAB (Catalog # AR1027) as the chromogen.

    • IHC analysis of Caspase 3/CASP3 using anti-Caspase 3/CASP3 antibody (M00334-9) .
      Caspase 3/CASP3 was detected in a paraffin-embedded section of human tonsil tissue. The tissue section was incubated with rabbit anti-Caspase 3/CASP3 Antibody (M00334-9) at a dilution of 1:200 and developed using HRP Conjugated Rabbit IgG Super Vision Assay Kit (Catalog # SV0002) with DAB (Catalog # AR1027) as the chromogen.

    亮暗模式切换
    X
    • (5)

    Anti-14-3-3 alpha/beta Antibody (Clone#HHA-25)

    货号:BM4752

    描述:Rabbit monoclonal antibody

    检验物种: human, mouse, rat

    应用范围: WB, IHC, ICC/IF, IP, FCM

    货期:现货

    说明书 一键复制产品信息

    加入购物车
  • Anti-14-3-3 alpha/beta Antibody (Clone#HHA-25)

    筛选器: All WB IHC ICC/IF IP FCM

    • Western blot analysis of anti-14-3-3 alpha/beta antibody (BM4752). The sample well of each lane was loaded with 30 ug of sample under reducing conditions.
      Lane 1: human Hela whole cell lysates,
      Lane 2: human Caco-2 whole cell lysates,
      Lane 3: human SiHa whole cell lysates,
      Lane 4: human Hacat whole cell lysates,
      Lane 5: rat brain tissue lysates,
      Lane 6: rat lung tissue lysates,
      Lane 7: mouse brain tissue lysates,
      Lane 8: mouse lung tissue lysates.
      After electrophoresis, proteins were transferred to a membrane. Then the membrane was incubated with rabbit anti-14-3-3 alpha/beta antigen affinity purified monoclonal antibody (BM4752) at a dilution of 1:1000 and probed with a goat anti-rabbit IgG-HRP secondary antibody (Catalog # BA1054). The signal is developed using ECL Plus Western Blotting Substrate (Catalog # AR1197). A specific band was detected for 14-3-3 alpha/beta at approximately 28 kDa. The expected band size for 14-3-3 alpha/beta is at 28 kDa.

    亮暗模式切换
    X
    • (4)

    Anti-14-3-3 Epsilon/YWHAE Antibody (Clone#HHD-25)

    货号:BM4755

    描述:Rabbit monoclonal antibody

    检验物种: human, mouse, rat

    应用范围: WB, IHC, ICC/IF, FCM

    货期:5-7天

    说明书 一键复制产品信息

    加入购物车
  • Anti-14-3-3 Epsilon/YWHAE Antibody (Clone#HHD-25)

    筛选器: All WB IHC ICC/IF FCM

    • Western blot analysis of 14-3-3 epsilon expression in 293T cell lysate.

    亮暗模式切换
    X
    • (2)

    Anti-14-3-3 GAMMA/YWHAG-Specific Antibody (Clone#HAH-25)

    货号:BM4688

    描述:Rabbit monoclonal antibody

    检验物种: human, mouse, rat

    应用范围: WB, FCM

    货期:5-7天

    说明书 一键复制产品信息

    加入购物车
  • Anti-14-3-3 GAMMA/YWHAG-Specific Antibody (Clone#HAH-25)

    筛选器: All WB FCM

    • Western blot analysis of 14-3-3 gamma expression in HeLa cell lysate.

    亮暗模式切换
    X
    • (4)

    Anti-14-3-3 Sigma/SFN Antibody (Clone#HBB-19)

    货号:BM4692

    描述:Rabbit monoclonal antibody

    检验物种: human, rat

    应用范围: WB, IHC

    货期:5-7天

    说明书 一键复制产品信息

    加入购物车
  • Anti-14-3-3 Sigma/SFN Antibody (Clone#HBB-19)

    筛选器: All WB IHC

    • Western blot analysis of 14-3-3 sigma expression in A431 cell lysate.

    • All lanes use the Antibody for 1 hour at room temperature.

    • All lanes use the Antibody for 1 hour at room temperature.

    亮暗模式切换
    X
    • (4)

    Anti-14-3-3 Theta/YWHAQ Antibody (Clone#HHF-25)

    货号:BM4757

    描述:Rabbit monoclonal antibody

    检验物种: human, mouse, rat

    应用范围: WB, IHC, ICC/IF, FCM

    货期:现货

    说明书 一键复制产品信息

    加入购物车
  • Anti-14-3-3 Theta/YWHAQ Antibody (Clone#HHF-25)

    筛选器: All WB IHC ICC/IF FCM

    • Western blot analysis of anti-YWHAQ antibody (BM4757). The sample well of each lane was loaded with 30 ug of sample under reducing conditions.
      Lane 1: human Hela whole cell lysates,
      Lane 2: human A549 whole cell lysates,
      Lane 3: human SH-SY5Y whole cell lysates,
      Lane 4: human U251 whole cell lysates,
      Lane 5: rat brain tissue lysates,
      Lane 6: rat C6 whole cell lysates,
      Lane 7: mouse brain tissue lysates.
      After electrophoresis, proteins were transferred to a membrane. Then the membrane was incubated with rabbit anti-YWHAQ antigen affinity purified monoclonal antibody (BM4757) at a dilution of 1:1000 and probed with a goat anti-rabbit IgG-HRP secondary antibody (Catalog # BA1054). The signal is developed using ECL Plus Western Blotting Substrate (Catalog # AR1197). A specific band was detected for YWHAQ at approximately 28 kDa. The expected band size for YWHAQ is at 28 kDa.

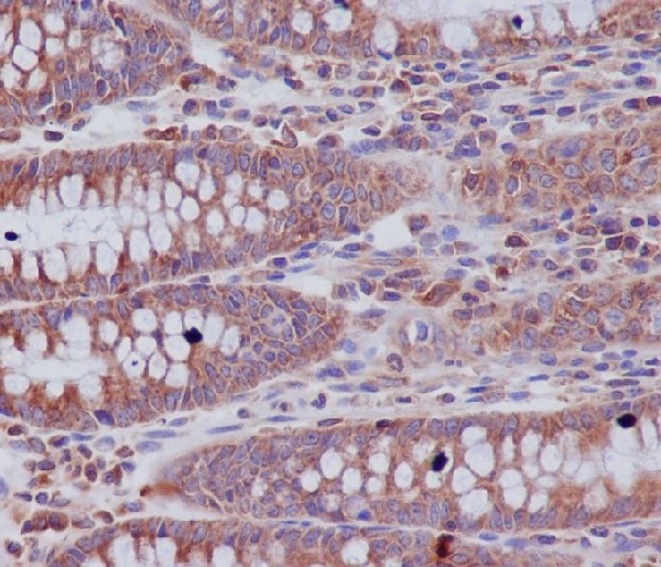
    • IHC analysis of YWHAQ using anti-YWHAQ antibody (BM4757).
      YWHAQ was detected in a paraffin-embedded section of human pancreas cancer tissue. The tissue section was incubated with rabbit anti-YWHAQ Antibody (BM4757) at a dilution of 1:200 and developed using HRP Conjugated Rabbit IgG Super Vision Assay Kit (Catalog # SV0002) with DAB (Catalog # AR1027) as the chromogen.

    亮暗模式切换
    X
    • (4)

    Anti-5 Lipoxygenase/ALOX5 Antibody (Clone#AECE-1)

    货号:BM5522

    描述:Rabbit monoclonal antibody

    检验物种: human, mouse, rat

    应用范围: WB, IHC, ICC/IF, FCM

    货期:现货

    说明书 一键复制产品信息

    加入购物车
  • Anti-5 Lipoxygenase/ALOX5 Antibody (Clone#AECE-1)

    筛选器: All WB IHC ICC/IF FCM

    • Western blot analysis of anti-5 Lipoxygenase/ALOX5 antibody (BM5522). The sample well of each lane was loaded with 30 ug of sample under reducing conditions.
      Lane 1: human K562 whole cell lysates,
      Lane 2: human RT4 whole cell lysates.
      After electrophoresis, proteins were transferred to a membrane. Then the membrane was incubated with rabbit anti-5 Lipoxygenase/ALOX5 antigen affinity purified monoclonal antibody (BM5522) at a dilution of 1:1000 and probed with a goat anti-rabbit IgG-HRP secondary antibody (Catalog # BA1054). The signal is developed using ECL Plus Western Blotting Substrate (Catalog # AR1197). A specific band was detected for 5 Lipoxygenase/ALOX5 at approximately 78 kDa. The expected band size for 5 Lipoxygenase/ALOX5 is at 78 kDa.

    亮暗模式切换
    X
    • (3)

    Anti-53BP2/TP53BP2 Antibody (Clone#AOEA-20)

    货号:BM4926

    描述:Rabbit monoclonal antibody

    检验物种: human

    应用范围: WB, IHC, ICC/IF

    货期:现货

    说明书 一键复制产品信息

    加入购物车
  • Anti-53BP2/TP53BP2 Antibody (Clone#AOEA-20)

    筛选器: All WB IHC ICC/IF

    • Western blot analysis of ASPP2 expression in MCF7 cell lysate.

    亮暗模式切换
    X
    • (6)

    Anti-a-SMA/ACTA2 Antibody (Clone#CAD-1)

    货号:BM4172

    描述:Rabbit monoclonal antibody

    检验物种: human, mouse, rat

    应用范围: WB, IHC, IF, ICC/IF, FCM

    货期:现货

    说明书 文献数量(22) 一键复制产品信息

    加入购物车
  • Anti-a-SMA/ACTA2 Antibody (Clone#CAD-1)

    筛选器: All WB IHC IF ICC/IF FCM

    • Western blot analysis of anti-a-SMA/ACTA2 antibody (BM4172). The sample well of each lane was loaded with 30 ug of sample under reducing conditions.
      Lane 1: human A431 whole cell lysates,
      Lane 2: human A549 whole cell lysates,
      Lane 3: human Hela whole cell lysates,
      Lane 4: rat C6 whole cell lysates,
      Lane 5: mouse NIH/3T3 whole cell lysates.
      After electrophoresis, proteins were transferred to a membrane. Then the membrane was incubated with rabbit anti-a-SMA/ACTA2 antigen affinity purified monoclonal antibody (BM4172) at a dilution of 1:1000 and probed with a goat anti-rabbit IgG-HRP secondary antibody (Catalog # BA1054). The signal is developed using ECL Plus Western Blotting Substrate (Catalog # AR1197). A specific band was detected for a-SMA/ACTA2 at approximately 42 kDa. The expected band size for a-SMA/ACTA2 is at 42 kDa.

    • Immunohistochemical analysis of paraffin-embedded human breast carcinoma, using alpha smooth muscle Actin Antibody.

    • IF analysis of a-SMA/ACTA2 using anti-a-SMA/ACTA2 antibody (BM4172).
      a-SMA/ACTA2 was detected in a paraffin-embedded section of human tonsil tissue. The tissue section was incubated with rabbit anti-a-SMA/ACTA2 Antibody (BM4172) at a dilution of 1:100. Fluoro488-conjugated Anti-rabbit IgG Secondary Antibody (green) (Catalog # BA1127) was used as secondary antibody. The section was counterstained with DAPI (Catalog # AR1176) (Blue).

    • IF analysis of a-SMA/ACTA2 using anti-a-SMA/ACTA2 antibody (BM4172).
      a-SMA/ACTA2 was detected in a paraffin-embedded section of rat brain vessel tissue. The tissue section was incubated with rabbit anti-a-SMA/ACTA2 Antibody (BM4172) at a dilution of 1:100. Fluoro488-conjugated Anti-rabbit IgG Secondary Antibody (green) (Catalog # BA1127) was used as secondary antibody. The section was counterstained with DAPI (Catalog # AR1176) (Blue).

    • Immunofluorescent analysis of A431 cells, using alpha smooth muscle Actin Antibody.

    亮暗模式切换
    X
    • (5)

    Anti-a-SMA/ACTA2 Antibody (Clone#EO-1)

    货号:BM3902

    描述:Rabbit monoclonal antibody

    检验物种: human, mouse, rat

    应用范围: WB, IHC, ICC/IF, FCM

    货期:现货

    说明书 文献数量(82) 一键复制产品信息

    加入购物车
  • Anti-a-SMA/ACTA2 Antibody (Clone#EO-1)

    筛选器: All WB IHC ICC/IF FCM

    • Western blot analysis of anti-a-SMA/ACTA2 antibody (BM3902). The sample well of each lane was loaded with 30 ug of sample under reducing conditions.
      Lane 1: human A549 whole cell lysates,
      Lane 2: human Hela whole cell lysates,
      Lane 3: human 293T whole cell lysates,
      Lane 4: human HepG2 whole cell lysates,
      Lane 5: human Caco-2 whole cell lysates,
      Lane 6: human SH-SY5Y whole cell lysates,
      Lane 7: human U251 whole cell lysates,
      Lane 8: human MCF-7 whole cell lysates.
      After electrophoresis, proteins were transferred to a membrane. Then the membrane was incubated with rabbit anti-a-SMA/ACTA2 antigen affinity purified monoclonal antibody (BM3902) at a dilution of 1:1000 and probed with a goat anti-rabbit IgG-HRP secondary antibody (Catalog # BA1054). The signal is developed using ECL Plus Western Blotting Substrate (Catalog # AR1197). A specific band was detected for a-SMA/ACTA2 at approximately 42 kDa. The expected band size for a-SMA/ACTA2 is at 42 kDa.

    • Western blot analysis of anti-a-SMA/ACTA2 antibody (BM3902). The sample well of each lane was loaded with 30 ug of sample under reducing conditions.
      Lane 1: rat heart tissue lysates,
      Lane 2: rat lung tissue lysates,
      Lane 3: rat brain tissue lysates,
      Lane 4: mouse heart tissue lysates,
      Lane 5: mouse lung tissue lysates,
      Lane 6: mouse brain tissue lysates.
      After electrophoresis, proteins were transferred to a membrane. Then the membrane was incubated with rabbit anti-a-SMA/ACTA2 antigen affinity purified monoclonal antibody (BM3902) at a dilution of 1:1000 and probed with a goat anti-rabbit IgG-HRP secondary antibody (Catalog # BA1054). The signal is developed using ECL Plus Western Blotting Substrate (Catalog # AR1197). A specific band was detected for a-SMA/ACTA2 at approximately 42 kDa. The expected band size for a-SMA/ACTA2 is at 42 kDa.

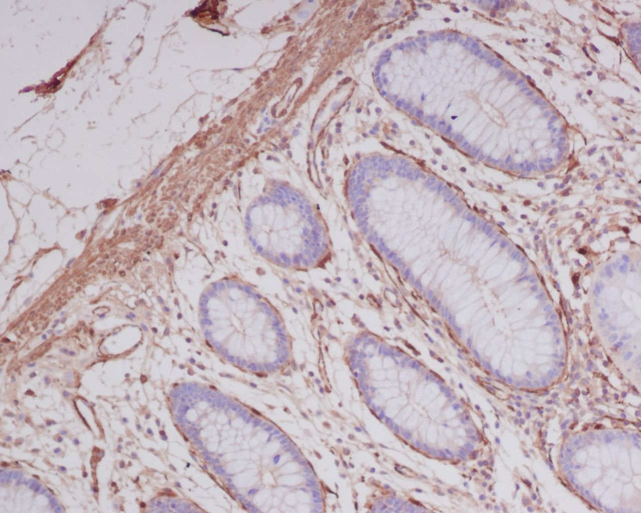
    • Immunohistochemical analysis of paraffin-embedded human colon, using alpha smooth muscle Actin Antibody.

    • Immunofluorescent analysis of A431 cells, using alpha smooth muscle Actin Antibody .

    亮暗模式切换
    X
    • (3)

    Anti-AAMP Antibody (Clone#29A85)

    货号:M07409

    描述:Rabbit monoclonal antibody

    检验物种: human, mouse, rat

    应用范围: WB, ICC/IF, FCM

    货期:5-7天

    说明书 一键复制产品信息

    加入购物车
  • Anti-AAMP Antibody (Clone#29A85)

    筛选器: All WB ICC/IF FCM

    • Western blot analysis of AAMP expression in (1) A375 lysate; (2) MCF7 cell lysate.

    亮暗模式切换
    X
    • (3)

    Anti-ABAT Antibody (Clone#22A05)

    货号:M07133-2

    描述:Rabbit monoclonal antibody

    检验物种: human, mouse, rat

    应用范围: WB, IHC, IP

    货期:现货

    说明书 一键复制产品信息

    加入购物车
  • Anti-ABAT Antibody (Clone#22A05)

    筛选器: All WB IHC IP

    • Western blot analysis of ABAT expression in HepG2 cell lysate.

    亮暗模式切换
    X
    • (2)

    Anti-ABCC1 Antibody (Clone#ABFD-1)

    货号:BM5146

    描述:Rabbit monoclonal antibody

    检验物种: human

    应用范围: WB, FCM

    货期:现货

    说明书 一键复制产品信息

    加入购物车
  • Anti-ABCC1 Antibody (Clone#ABFD-1)

    筛选器: All WB FCM

    • Western blot analysis of MRP1 expression in A431 cell lysate.

    亮暗模式切换
    X
    • (3)

    Anti-ABCC2 Antibody (Clone#ABDD-1)

    货号:BM5126

    描述:Rabbit monoclonal antibody

    检验物种: human

    应用范围: WB, ICC/IF, FCM

    货期:现货

    说明书 文献数量(1) 一键复制产品信息

    加入购物车
  • Anti-ABCC2 Antibody (Clone#ABDD-1)

    筛选器: All WB ICC/IF FCM

    • Western blot analysis of ABCC2 using anti-ABCC2 antibody (BM5126). The sample well of each lane was loaded with 30 ug of sample under reducing conditions.
      Lane 1: human HepG2 whole cell lysates,
      Lane 2: human A549 whole cell lysates,
      Lane 3: human Caco-2 whole cell lysates,
      Lane 4: human HUH-7 whole cell lysates.
      After electrophoresis, proteins were transferred to a membrane. Then the membrane was incubated with rabbit anti-ABCC2 antigen affinity purified polyclonal antibody (BM5126) at a dilution of 1:1000 and probed with a goat anti-rabbit IgG-HRP secondary antibody (Catalog # BA1054). The signal is developed using ECL Plus Western Blotting Substrate (Catalog # AR1197). A specific band was detected for ABCC2 at approximately 170-250 kDa. The expected band size for ABCC2 is at 174 kDa.

    亮暗模式切换
    X
    • (3)

    Anti-ABCD1 Antibody (Clone#30A99)

    货号:M01205-1

    描述:Rabbit monoclonal antibody

    检验物种: human, mouse, rat

    应用范围: WB, ICC/IF, FCM

    货期:现货

    说明书 一键复制产品信息

    加入购物车
  • Anti-ABCD1 Antibody (Clone#30A99)

    筛选器: All WB ICC/IF FCM

    • Western blot analysis of anti-ABCD1 antibody (M01205-1). The sample well of each lane was loaded with 30 ug of sample under reducing conditions.
      Lane 1: human HepG2 whole cell lysates,
      Lane 2: human HEL whole cell lysates,
      Lane 3: rat liver tissue lysates,
      Lane 4: mouse liver tissue lysates,
      Lane 5: mouse HEPA1-6 whole cell lysates.
      After electrophoresis, proteins were transferred to a membrane. Then the membrane was incubated with rabbit anti-ABCD1 antigen affinity purified monoclonal antibody (M01205-1) at a dilution of 1:1000 and probed with a goat anti-rabbit IgG-HRP secondary antibody (Catalog # BA1054). The signal is developed using ECL Plus Western Blotting Substrate (Catalog # AR1197). A specific band was detected for ABCD1 at approximately 83 kDa. The expected band size for ABCD1 is at 83 kDa.

    亮暗模式切换
    X
    • (6)

    Anti-ABCD3 Antibody (Clone#AFAF-1)

    货号:BM5666

    描述:Rabbit monoclonal antibody

    检验物种: human, mouse, rat

    应用范围: WB, ICC/IF, FCM

    货期:5-7天

    说明书 一键复制产品信息

    加入购物车
  • Anti-ABCD3 Antibody (Clone#AFAF-1)

    筛选器: All WB ICC/IF FCM

    • Western blot analysis of PMP70 expression in HepG2 cell lysate.

    • All lanes use the Antibody for 1 hour at room temperature.

    • All lanes use the Antibody for 1 hour at room temperature.

    • All lanes use the Antibody for 1 hour at room temperature.

    亮暗模式切换
    X
    • (5)

    Anti-ABCE1 Antibody (Clone#22A86)

    货号:M04173

    描述:Rabbit monoclonal antibody

    检验物种: human, mouse, rat

    应用范围: WB, IHC, ICC/IF, IP, FCM

    货期:5-7天

    说明书 一键复制产品信息

    加入购物车
  • Anti-ABCE1 Antibody (Clone#22A86)

    筛选器: All WB IHC ICC/IF IP FCM

    • Western blot analysis of ABCE1 expression in HeLa cell lysate.

    亮暗模式切换
    X
    • (3)

    Anti-ABCF1 Antibody (Clone#FGE-1)

    货号:BM4542

    描述:Rabbit monoclonal antibody

    检验物种: human, rat

    应用范围: WB, IHC, ICC/IF

    货期:现货

    说明书 一键复制产品信息

    加入购物车
  • Anti-ABCF1 Antibody (Clone#FGE-1)

    筛选器: All WB IHC ICC/IF

    • Western blot analysis of anti-ABCF1 antibody (BM4542). The sample well of each lane was loaded with 30 ug of sample under reducing conditions.
      Lane 1: human K562 whole cell lysates,
      Lane 2: human A549 whole cell lysates,
      Lane 3: human Caco-2 whole cell lysates.
      After electrophoresis, proteins were transferred to a membrane. Then the membrane was incubated with rabbit anti-ABCF1 antigen affinity purified monoclonal antibody (BM4542) at a dilution of 1:1000 and probed with a goat anti-rabbit IgG-HRP secondary antibody (Catalog # BA1054). The signal is developed using ECL Plus Western Blotting Substrate (Catalog # AR1197). A specific band was detected for ABCF1 at approximately 110 kDa. The expected band size for ABCF1 is at 96 kDa.

    • Immunohistochemical analysis of paraffin-embedded human colon, using ABCF1 Antibody.

    亮暗模式切换
    X
    • (3)

    Anti-ABHD5 Antibody (Clone#AFHE-1)

    货号:BM5774

    描述:Rabbit monoclonal antibody

    检验物种: human

    应用范围: WB, IHC, FCM

    货期:5-7天

    说明书 一键复制产品信息

    加入购物车
  • Anti-ABHD5 Antibody (Clone#AFHE-1)

    筛选器: All WB IHC FCM

    • Western blot analysis of ABHD5 expression in HepG2 cell lysate.

    亮暗模式切换
    X
    • (3)

    Anti-ABI2 Antibody (Clone#25A25)

    货号:M04302

    描述:Rabbit monoclonal antibody

    检验物种: human, mouse, rat

    应用范围: WB, IHC, ICC/IF

    货期:5-7天

    说明书 一键复制产品信息

    加入购物车
  • Anti-ABI2 Antibody (Clone#25A25)

    筛选器: All WB IHC ICC/IF

    • Western blot analysis of ABI2 expression in K562 cell lysate.

    亮暗模式切换
    X
查看更多

成功添加到购物车

查看购物车 继续购物

在线
客服

在线客服
服务时间:08:30 - 17:30

点击下列客服在线咨询:

服务热线

服务
热线

客服服务热线

027-67845390
客服服务热线

扫码

扫码
咨询

微信二维码 微信扫一扫立即咨询
返回顶部 顶部