| Western blot (WB): | 1:1000-5000 |
| Immunohistochemistry (IHC): | 1:50-400 |
| Immunocytochemistry/Immunofluorescence (ICC/IF): | 1:50-400 |
| ImmunoPrecipitation (IP): | 1:250-300 |
| Flow Cytometry (Fixed): | 1:50-200 |
| (Boiling the paraffin sections in 10mM citrate buffer,pH6.0,or PH8.0 EDTA repair liquid for 20 mins is required for the staining of formalin/paraffin sections.) Optimal working dilutions must be determined by end user. | |

Western blot analysis of Lamin B1/LMNB1 using anti-Lamin B1/LMNB1 antibody (PB9611). The sample well of each lane was loaded with 30 ug of sample under reducing conditions.
Lane 1: human U2OS whole cell lysates,
Lane 2: human THP-1 whole cell lysates,
Lane 3: human A431 whole cell lysates,
Lane 4: human RT4 whole cell lysates,
Lane 5: rat brain tissue lysates,
Lane 6: rat lung tissue lysates,
Lane 7: mouse brain lysates,
Lane 8: mouse lung tissue lysates.
After electrophoresis, proteins were transferred to a membrane. Then the membrane was incubated with rabbit anti-Lamin B1/LMNB1 antigen affinity purified polyclonal antibody (PB9611) at a dilution of 1:1000 and probed with a goat anti-rabbit IgG-HRP secondary antibody (Catalog # BA1054). The signal is developed using ECL Plus Western Blotting Substrate (Catalog # AR1197). A specific band was detected for Lamin B1/LMNB1 at approximately 72 kDa. The expected band size for Lamin B1/LMNB1 is at 66 kDa.

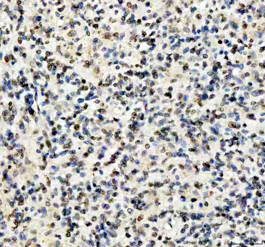
IHC analysis of Lamin B1/LMNB1 using anti-Lamin B1/LMNB1 antibody (PB9611).
Lamin B1/LMNB1 was detected in a paraffin-embedded section of human glioblastoma tissue. The tissue section was incubated with rabbit anti-Lamin B1/LMNB1 Antibody (PB9611) at a dilution of 1:200 and developed using HRP Conjugated Rabbit IgG Super Vision Assay Kit (Catalog # SV0002) with DAB (Catalog # AR1027) as the chromogen.

IHC analysis of Lamin B1/LMNB1 using anti-Lamin B1/LMNB1 antibody (PB9611).
Lamin B1/LMNB1 was detected in a paraffin-embedded section of human colorectal adenocarcinoma tissue. The tissue section was incubated with rabbit anti-Lamin B1/LMNB1 Antibody (PB9611) at a dilution of 1:200 and developed using HRP Conjugated Rabbit IgG Super Vision Assay Kit (Catalog # SV0002) with DAB (Catalog # AR1027) as the chromogen.

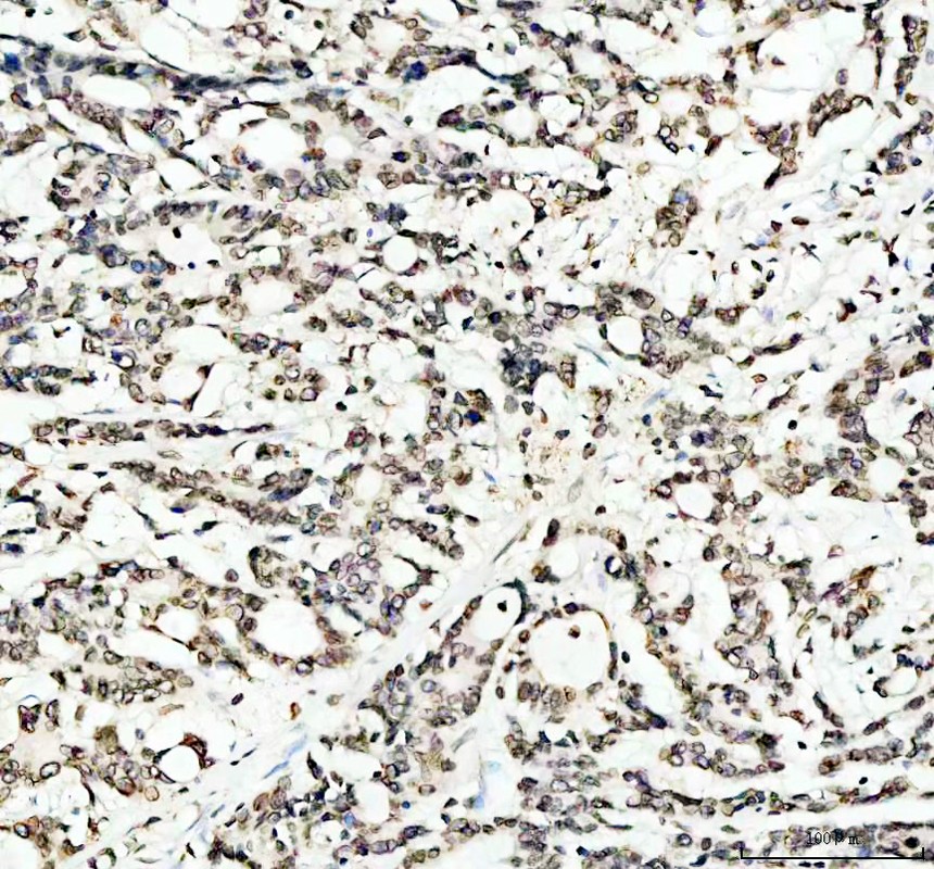
IHC analysis of Lamin B1/LMNB1 using anti-Lamin B1/LMNB1 antibody (PB9611).
Lamin B1/LMNB1 was detected in a paraffin-embedded section of human breast cancer tissue. The tissue section was incubated with rabbit anti-Lamin B1/LMNB1 Antibody (PB9611) at a dilution of 1:200 and developed using HRP Conjugated Rabbit IgG Super Vision Assay Kit (Catalog # SV0002) with DAB (Catalog # AR1027) as the chromogen.

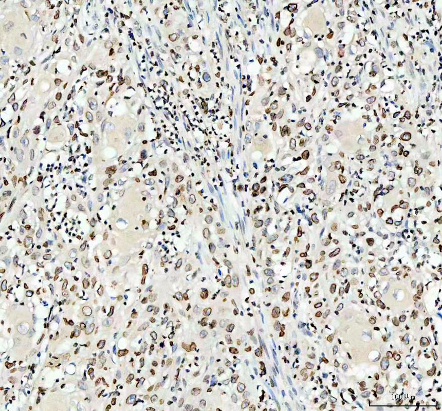
IHC analysis of Lamin B1/LMNB1 using anti-Lamin B1/LMNB1 antibody (PB9611).
Lamin B1/LMNB1 was detected in a paraffin-embedded section of human stomach cancer tissue. The tissue section was incubated with rabbit anti-Lamin B1/LMNB1 Antibody (PB9611) at a dilution of 1:200 and developed using HRP Conjugated Rabbit IgG Super Vision Assay Kit (Catalog # SV0002) with DAB (Catalog # AR1027) as the chromogen.

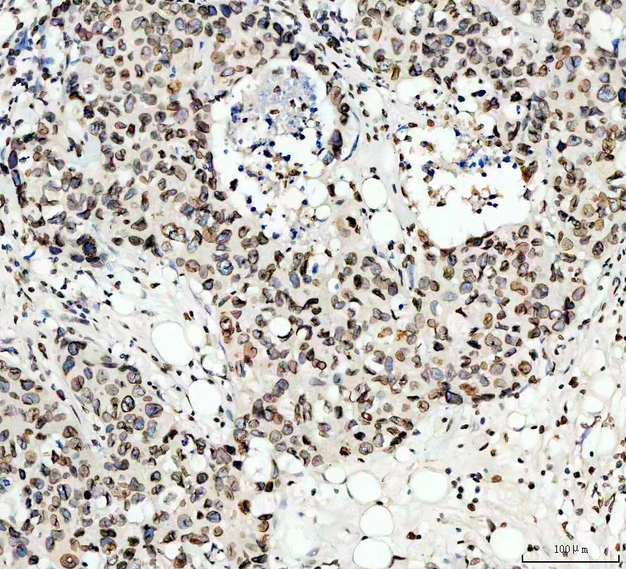
IHC analysis of Lamin B1/LMNB1 using anti-Lamin B1/LMNB1 antibody (PB9611).
Lamin B1/LMNB1 was detected in a paraffin-embedded section of human urothelial carcinoma of the bladder with squamous differentiation tissue. The tissue section was incubated with rabbit anti-Lamin B1/LMNB1 Antibody (PB9611) at a dilution of 1:200 and developed using HRP Conjugated Rabbit IgG Super Vision Assay Kit (Catalog # SV0002) with DAB (Catalog # AR1027) as the chromogen.

IHC analysis of Lamin B1/LMNB1 using anti-Lamin B1/LMNB1 antibody (PB9611).
Lamin B1/LMNB1 was detected in a paraffin-embedded section of rat cerebellum tissue. The tissue section was incubated with rabbit anti-Lamin B1/LMNB1 Antibody (PB9611) at a dilution of 1:200 and developed using HRP Conjugated Rabbit IgG Super Vision Assay Kit (Catalog # SV0002) with DAB (Catalog # AR1027) as the chromogen.

IHC analysis of Lamin B1/LMNB1 using anti-Lamin B1/LMNB1 antibody (PB9611).
Lamin B1/LMNB1 was detected in a paraffin-embedded section of mouse cerebellum tissue. The tissue section was incubated with rabbit anti-Lamin B1/LMNB1 Antibody (PB9611) at a dilution of 1:200 and developed using HRP Conjugated Rabbit IgG Super Vision Assay Kit (Catalog # SV0002) with DAB (Catalog # AR1027) as the chromogen.

ICC/IF analysis of Lamin B1/LMNB1 using anti-Lamin B1/LMNB1 antibody (PB9611).
Lamin B1/LMNB1 was detected in an immunocytochemical section of U2OS cells. The section was incubated with rabbit anti-Lamin B1/LMNB1 Antibody (PB9611) at a dilution of 1:100. Fluoro 488 Conjugated AffiniPure Donkey Anti-rabbit IgG (H+L) (Green) (Catalog # BA1146) was used as secondary antibody. The section was counterstained with DAPI (Catalog # AR1176) (Blue).

IP analysis of Lamin B1/LMNB1 using anti-Lamin B1/LMNB1 antibody (PB9611) in Hela whole cell lysate.
Western blot analysis of Lamin B1/LMNB1 using anti- Lamin B1/LMNB1 antibody (PB9611).
Lane 1: Hela whole cell lysates(30ug),
Lane 2: Rabbit control IgG instead of anti- Lamin B1/LMNB1 antibody in Hela whole cell lysate,
Lane 3: anti- Lamin B1/LMNB1 antibody (2μg) + Hela whole cell lysate (500μg).
After electrophoresis, proteins were transferred to a membrane. Then the membrane was incubated with rabbit anti- Lamin B1/LMNB1 antigen affinity purified polyclonal antibody (PB9611) at a dilution of 1:1000 and probed with a goat anti-rabbit IgG-HRP secondary antibody (Catalog # BA1054). The signal is developed using ECL Plus Western Blotting Substrate (Catalog # AR1197). A specific band was detected for Lamin B1/LMNB1 at approximately 72 kDa. The expected band size for Lamin B1/LMNB1 is at 66 kDa.

Flow Cytometry analysis of A431 cells using anti-Lamin B1/LMNB1 antibody (PB9611).
Overlay histogram showing A431 cells stained with PB9611 (Blue line). To facilitate intracellular staining, cells were fixed with 4% paraformaldehyde and permeabilized with permeabilization buffer. The cells were blocked with 10% normal goat serum. And then incubated with rabbit anti-Lamin B1/LMNB1 Antibody (PB9611) at 1:100 dilution for 30 min at 20°C. Fluoro488 conjugated goat anti-rabbit IgG (BA1127) was used as secondary antibody at 1:100 dilution for 30 minutes at 20°C. Isotype control antibody (Green line) was rabbit IgG at 1:100 dilution used under the same conditions. Unlabelled sample without incubation with primary antibody and secondary antibody (Red line) was used as a blank control.

Western blot analysis of Lamin B1/LMNB1 using anti-Lamin B1/LMNB1 antibody (PB9611). The sample well of each lane was loaded with 30 ug of sample under reducing conditions.
Lane 1: human U2OS whole cell lysates,
Lane 2: human THP-1 whole cell lysates,
Lane 3: human A431 whole cell lysates,
Lane 4: human RT4 whole cell lysates,
Lane 5: rat brain tissue lysates,
Lane 6: rat lung tissue lysates,
Lane 7: mouse brain lysates,
Lane 8: mouse lung tissue lysates.
After electrophoresis, proteins were transferred to a membrane. Then the membrane was incubated with rabbit anti-Lamin B1/LMNB1 antigen affinity purified polyclonal antibody (PB9611) at a dilution of 1:1000 and probed with a goat anti-rabbit IgG-HRP secondary antibody (Catalog # BA1054). The signal is developed using ECL Plus Western Blotting Substrate (Catalog # AR1197). A specific band was detected for Lamin B1/LMNB1 at approximately 72 kDa. The expected band size for Lamin B1/LMNB1 is at 66 kDa.

IHC analysis of Lamin B1/LMNB1 using anti-Lamin B1/LMNB1 antibody (PB9611).
Lamin B1/LMNB1 was detected in a paraffin-embedded section of human glioblastoma tissue. The tissue section was incubated with rabbit anti-Lamin B1/LMNB1 Antibody (PB9611) at a dilution of 1:200 and developed using HRP Conjugated Rabbit IgG Super Vision Assay Kit (Catalog # SV0002) with DAB (Catalog # AR1027) as the chromogen.

IHC analysis of Lamin B1/LMNB1 using anti-Lamin B1/LMNB1 antibody (PB9611).
Lamin B1/LMNB1 was detected in a paraffin-embedded section of human colorectal adenocarcinoma tissue. The tissue section was incubated with rabbit anti-Lamin B1/LMNB1 Antibody (PB9611) at a dilution of 1:200 and developed using HRP Conjugated Rabbit IgG Super Vision Assay Kit (Catalog # SV0002) with DAB (Catalog # AR1027) as the chromogen.

IHC analysis of Lamin B1/LMNB1 using anti-Lamin B1/LMNB1 antibody (PB9611).
Lamin B1/LMNB1 was detected in a paraffin-embedded section of human breast cancer tissue. The tissue section was incubated with rabbit anti-Lamin B1/LMNB1 Antibody (PB9611) at a dilution of 1:200 and developed using HRP Conjugated Rabbit IgG Super Vision Assay Kit (Catalog # SV0002) with DAB (Catalog # AR1027) as the chromogen.

IHC analysis of Lamin B1/LMNB1 using anti-Lamin B1/LMNB1 antibody (PB9611).
Lamin B1/LMNB1 was detected in a paraffin-embedded section of human stomach cancer tissue. The tissue section was incubated with rabbit anti-Lamin B1/LMNB1 Antibody (PB9611) at a dilution of 1:200 and developed using HRP Conjugated Rabbit IgG Super Vision Assay Kit (Catalog # SV0002) with DAB (Catalog # AR1027) as the chromogen.

IHC analysis of Lamin B1/LMNB1 using anti-Lamin B1/LMNB1 antibody (PB9611).
Lamin B1/LMNB1 was detected in a paraffin-embedded section of human urothelial carcinoma of the bladder with squamous differentiation tissue. The tissue section was incubated with rabbit anti-Lamin B1/LMNB1 Antibody (PB9611) at a dilution of 1:200 and developed using HRP Conjugated Rabbit IgG Super Vision Assay Kit (Catalog # SV0002) with DAB (Catalog # AR1027) as the chromogen.

IHC analysis of Lamin B1/LMNB1 using anti-Lamin B1/LMNB1 antibody (PB9611).
Lamin B1/LMNB1 was detected in a paraffin-embedded section of rat cerebellum tissue. The tissue section was incubated with rabbit anti-Lamin B1/LMNB1 Antibody (PB9611) at a dilution of 1:200 and developed using HRP Conjugated Rabbit IgG Super Vision Assay Kit (Catalog # SV0002) with DAB (Catalog # AR1027) as the chromogen.

IHC analysis of Lamin B1/LMNB1 using anti-Lamin B1/LMNB1 antibody (PB9611).
Lamin B1/LMNB1 was detected in a paraffin-embedded section of mouse cerebellum tissue. The tissue section was incubated with rabbit anti-Lamin B1/LMNB1 Antibody (PB9611) at a dilution of 1:200 and developed using HRP Conjugated Rabbit IgG Super Vision Assay Kit (Catalog # SV0002) with DAB (Catalog # AR1027) as the chromogen.

ICC/IF analysis of Lamin B1/LMNB1 using anti-Lamin B1/LMNB1 antibody (PB9611).
Lamin B1/LMNB1 was detected in an immunocytochemical section of U2OS cells. The section was incubated with rabbit anti-Lamin B1/LMNB1 Antibody (PB9611) at a dilution of 1:100. Fluoro 488 Conjugated AffiniPure Donkey Anti-rabbit IgG (H+L) (Green) (Catalog # BA1146) was used as secondary antibody. The section was counterstained with DAPI (Catalog # AR1176) (Blue).

IP analysis of Lamin B1/LMNB1 using anti-Lamin B1/LMNB1 antibody (PB9611) in Hela whole cell lysate.
Western blot analysis of Lamin B1/LMNB1 using anti- Lamin B1/LMNB1 antibody (PB9611).
Lane 1: Hela whole cell lysates(30ug),
Lane 2: Rabbit control IgG instead of anti- Lamin B1/LMNB1 antibody in Hela whole cell lysate,
Lane 3: anti- Lamin B1/LMNB1 antibody (2μg) + Hela whole cell lysate (500μg).
After electrophoresis, proteins were transferred to a membrane. Then the membrane was incubated with rabbit anti- Lamin B1/LMNB1 antigen affinity purified polyclonal antibody (PB9611) at a dilution of 1:1000 and probed with a goat anti-rabbit IgG-HRP secondary antibody (Catalog # BA1054). The signal is developed using ECL Plus Western Blotting Substrate (Catalog # AR1197). A specific band was detected for Lamin B1/LMNB1 at approximately 72 kDa. The expected band size for Lamin B1/LMNB1 is at 66 kDa.

Flow Cytometry analysis of A431 cells using anti-Lamin B1/LMNB1 antibody (PB9611).
Overlay histogram showing A431 cells stained with PB9611 (Blue line). To facilitate intracellular staining, cells were fixed with 4% paraformaldehyde and permeabilized with permeabilization buffer. The cells were blocked with 10% normal goat serum. And then incubated with rabbit anti-Lamin B1/LMNB1 Antibody (PB9611) at 1:100 dilution for 30 min at 20°C. Fluoro488 conjugated goat anti-rabbit IgG (BA1127) was used as secondary antibody at 1:100 dilution for 30 minutes at 20°C. Isotype control antibody (Green line) was rabbit IgG at 1:100 dilution used under the same conditions. Unlabelled sample without incubation with primary antibody and secondary antibody (Red line) was used as a blank control.










