| Western blot (WB): | 1:1000-5000 |
| Immunohistochemistry (IHC): | 1:50-200 |
| Immunocytochemistry/Immunofluorescence (ICC/IF): | 1:50-200 |
| ImmunoPrecipitation (IP): | 1:20 |

Western blot analysis of anti-Lamin B1/LMNB1 antibody (BM3891). The sample well of each lane was loaded with 30 ug of sample under reducing conditions.
Lane 1: human Hela whole cell lysates,
Lane 2: human Jurkat whole cell lysates,
Lane 3: human U20S whole cell lysates,
Lane 4: human THP-1 whole cell lysates,
Lane 5: rat brain tissue lysates,
Lane 6: rat heart tissue lysates,
Lane 7: mouse brain tissue lysates,
Lane 8: mouse heart tissue lysates.
After electrophoresis, proteins were transferred to a membrane. Then the membrane was incubated with rabbit anti-Lamin B1/LMNB1 antigen affinity purified monoclonal antibody (BM3891) at a dilution of 1:1000 and probed with a goat anti-rabbit IgG-HRP secondary antibody (Catalog # BA1054). The signal is developed using ECL Plus Western Blotting Substrate (Catalog # AR1197). A specific band was detected for Lamin B1/LMNB1 at approximately 72 kDa. The expected band size for Lamin B1/LMNB1 is at 67 kDa.

Immunohistochemical analysis of paraffin-embedded Rat ovary, using the Antibody at 1:200 dilution.

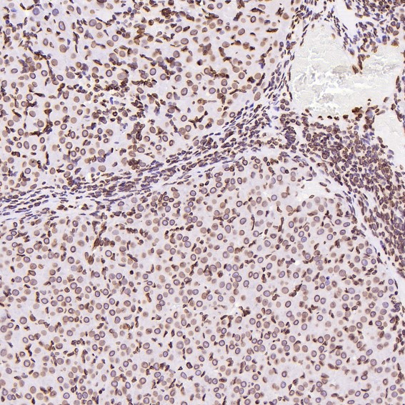
Immunohistochemical analysis of paraffin-embedded Human non-Hodgkin's lymphoma, using the Antibody at 1:100 dilution.

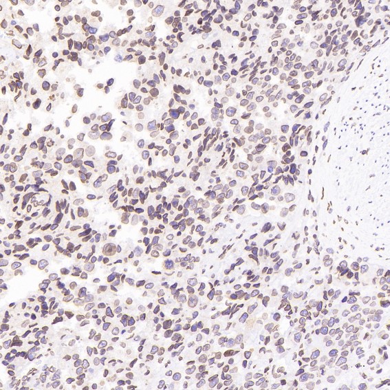
Immunohistochemical analysis of paraffin-embedded Human glioblastoma, using the Antibody at 1:100 dilution.

mmunohistochemical analysis of paraffin-embedded Human prostate cancer, using the Antibody at 1:100 dilution.

Immunohistochemical analysis of paraffin-embedded rat liver, using Lamin B1 Antibody.

Immunofluorescent analysis using the Antibody at 1:150 dilution.

Immunofluorescent analysis of HepG2 cells, using Lamin B1 Antibody.

Western blot analysis of anti-Lamin B1/LMNB1 antibody (BM3891). The sample well of each lane was loaded with 30 ug of sample under reducing conditions.
Lane 1: human Hela whole cell lysates,
Lane 2: human Jurkat whole cell lysates,
Lane 3: human U20S whole cell lysates,
Lane 4: human THP-1 whole cell lysates,
Lane 5: rat brain tissue lysates,
Lane 6: rat heart tissue lysates,
Lane 7: mouse brain tissue lysates,
Lane 8: mouse heart tissue lysates.
After electrophoresis, proteins were transferred to a membrane. Then the membrane was incubated with rabbit anti-Lamin B1/LMNB1 antigen affinity purified monoclonal antibody (BM3891) at a dilution of 1:1000 and probed with a goat anti-rabbit IgG-HRP secondary antibody (Catalog # BA1054). The signal is developed using ECL Plus Western Blotting Substrate (Catalog # AR1197). A specific band was detected for Lamin B1/LMNB1 at approximately 72 kDa. The expected band size for Lamin B1/LMNB1 is at 67 kDa.

Immunohistochemical analysis of paraffin-embedded Rat ovary, using the Antibody at 1:200 dilution.

Immunohistochemical analysis of paraffin-embedded Human non-Hodgkin's lymphoma, using the Antibody at 1:100 dilution.

Immunohistochemical analysis of paraffin-embedded Human glioblastoma, using the Antibody at 1:100 dilution.

mmunohistochemical analysis of paraffin-embedded Human prostate cancer, using the Antibody at 1:100 dilution.

Immunohistochemical analysis of paraffin-embedded rat liver, using Lamin B1 Antibody.

Immunofluorescent analysis using the Antibody at 1:150 dilution.

Immunofluorescent analysis of HepG2 cells, using Lamin B1 Antibody.









