| Western blot (WB): | 1:500-2000 |
| Immunohistochemistry (IHC): | 1:50-400 |
| (Boiling the paraffin sections in 10mM citrate buffer,pH6.0,or PH8.0 EDTA repair liquid for 20 mins is required for the staining of formalin/paraffin sections.) Optimal working dilutions must be determined by end user. | |

Western blot analysis of VDAC1 using anti-VDAC1 antibody (PB9455). The sample well of each lane was loaded with 30 ug of sample under reducing conditions.
Lane 1: human Caco-2 whole cell lysates,
Lane 2: human A549 whole cell lysates,
Lane 3: human 293T whole cell lysates,
Lane 4: human HepG2 whole cell lysates,
Lane 5: rat heart tissue lysates,
Lane 6: rat kidney tissue lysates,
Lane 7: mouse heart tissue lysates,
Lane 8: mouse kidney tissue lysates.
After electrophoresis, proteins were transferred to a membrane. Then the membrane was incubated with rabbit anti-VDAC1 antigen affinity purified polyclonal antibody (PB9455) at a dilution of 1:1000 and probed with a goat anti-rabbit IgG-HRP secondary antibody (Catalog # BA1054). The signal is developed using ECL Plus Western Blotting Substrate (Catalog # AR1197). A specific band was detected for VDAC1 at approximately 31 kDa. The expected band size for VDAC1 is at 31 kDa.

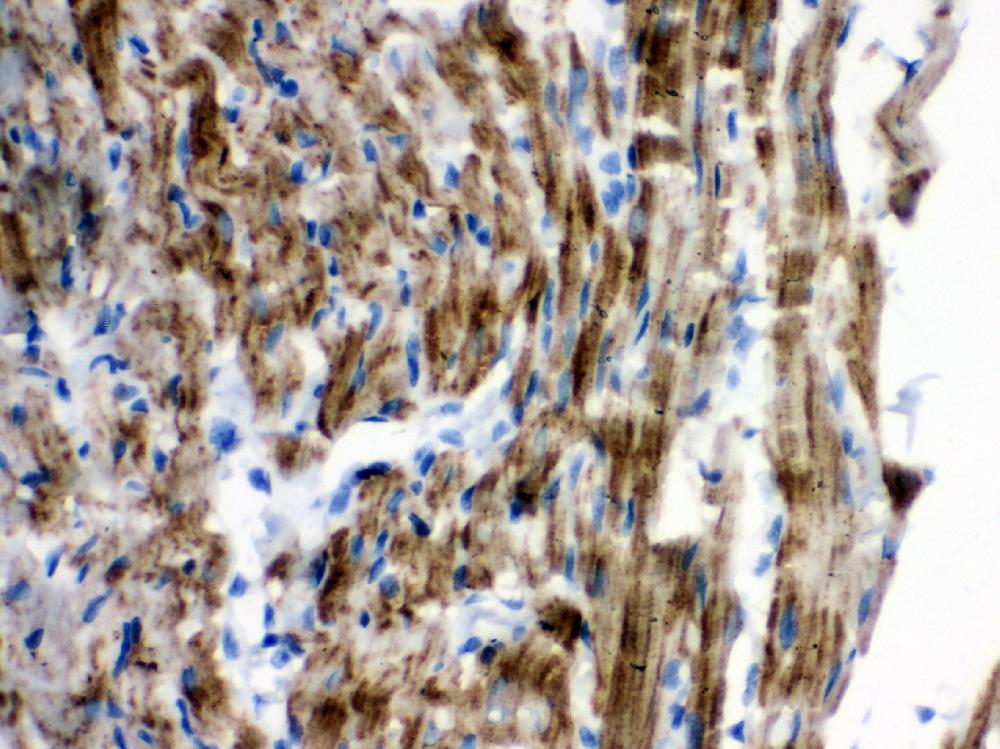
IHC analysis of VDAC1 using anti-VDAC1 antibody (PB9455).
VDAC1 was detected in a paraffin-embedded section of mouse cardiac muscle tissue. Biotinylated goat anti-rabbit IgG was used as secondary antibody. The tissue section was incubated with rabbit anti-VDAC1 Antibody (PB9455) at a dilution of 1:200 and developed using Strepavidin-Biotin-Complex (SABC) (Catalog # SA1022) with DAB (Catalog # AR1027) as the chromogen.

IHC analysis of VDAC1 using anti-VDAC1 antibody (PB9455).
VDAC1 was detected in a paraffin-embedded section of rat cardiac muscle tissue. Biotinylated goat anti-rabbit IgG was used as secondary antibody. The tissue section was incubated with rabbit anti-VDAC1 Antibody (PB9455) at a dilution of 1:200 and developed using Strepavidin-Biotin-Complex (SABC) (Catalog # SA1022) with DAB (Catalog # AR1027) as the chromogen.

IHC analysis of VDAC1 using anti-VDAC1 antibody (PB9455).
VDAC1 was detected in a paraffin-embedded section of human intestinal cancer tissue. Biotinylated goat anti-rabbit IgG was used as secondary antibody. The tissue section was incubated with rabbit anti-VDAC1 Antibody (PB9455) at a dilution of 1:200 and developed using Strepavidin-Biotin-Complex (SABC) (Catalog # SA1022) with DAB (Catalog # AR1027) as the chromogen.

Western blot analysis of VDAC1 using anti-VDAC1 antibody (PB9455). The sample well of each lane was loaded with 30 ug of sample under reducing conditions.
Lane 1: human Caco-2 whole cell lysates,
Lane 2: human A549 whole cell lysates,
Lane 3: human 293T whole cell lysates,
Lane 4: human HepG2 whole cell lysates,
Lane 5: rat heart tissue lysates,
Lane 6: rat kidney tissue lysates,
Lane 7: mouse heart tissue lysates,
Lane 8: mouse kidney tissue lysates.
After electrophoresis, proteins were transferred to a membrane. Then the membrane was incubated with rabbit anti-VDAC1 antigen affinity purified polyclonal antibody (PB9455) at a dilution of 1:1000 and probed with a goat anti-rabbit IgG-HRP secondary antibody (Catalog # BA1054). The signal is developed using ECL Plus Western Blotting Substrate (Catalog # AR1197). A specific band was detected for VDAC1 at approximately 31 kDa. The expected band size for VDAC1 is at 31 kDa.

IHC analysis of VDAC1 using anti-VDAC1 antibody (PB9455).
VDAC1 was detected in a paraffin-embedded section of mouse cardiac muscle tissue. Biotinylated goat anti-rabbit IgG was used as secondary antibody. The tissue section was incubated with rabbit anti-VDAC1 Antibody (PB9455) at a dilution of 1:200 and developed using Strepavidin-Biotin-Complex (SABC) (Catalog # SA1022) with DAB (Catalog # AR1027) as the chromogen.

IHC analysis of VDAC1 using anti-VDAC1 antibody (PB9455).
VDAC1 was detected in a paraffin-embedded section of rat cardiac muscle tissue. Biotinylated goat anti-rabbit IgG was used as secondary antibody. The tissue section was incubated with rabbit anti-VDAC1 Antibody (PB9455) at a dilution of 1:200 and developed using Strepavidin-Biotin-Complex (SABC) (Catalog # SA1022) with DAB (Catalog # AR1027) as the chromogen.

IHC analysis of VDAC1 using anti-VDAC1 antibody (PB9455).
VDAC1 was detected in a paraffin-embedded section of human intestinal cancer tissue. Biotinylated goat anti-rabbit IgG was used as secondary antibody. The tissue section was incubated with rabbit anti-VDAC1 Antibody (PB9455) at a dilution of 1:200 and developed using Strepavidin-Biotin-Complex (SABC) (Catalog # SA1022) with DAB (Catalog # AR1027) as the chromogen.



