| Western blot (WB): | 1:500-2000 |
| Immunohistochemistry (IHC): | 1:50-400 |
| Immunofluorescence (IF): | 1:50-400 |
| Immunocytochemistry/Immunofluorescence (ICC/IF): | 1:50-400 |
| Flow Cytometry (Fixed): | 1:50-200 |
| Enzyme linked immunosorbent assay (ELISA): | 1:100-1000 |
| (Boiling the paraffin sections in 10mM citrate buffer,pH6.0,or PH8.0 EDTA repair liquid for 20 mins is required for the staining of formalin/paraffin sections.) Optimal working dilutions must be determined by end user. | |

Western blot analysis of anti-Porin/VDAC1 antibody (A01168-1). The sample well of each lane was loaded with 30 ug of sample under reducing conditions.
Lane 1: human Hela whole cell lysates,
Lane 2: human A431 whole cell lysates,
Lane 3: human 293T whole cell lysates,
Lane 4: rat heart tissue lysates,
Lane 5: rat liver tissue lysates,
Lane 6: mouse heart tissue lysates,
Lane 7: mouse liver tissue lysates.
After electrophoresis, proteins were transferred to a membrane. Then the membrane was incubated with rabbit anti-Porin/VDAC1 antigen affinity purified polyclonal antibody (A01168-1) and probed with a goat anti-rabbit IgG-HRP secondary antibody (Catalog # BA1054). The signal is developed using ECL Plus Western Blotting Substrate (Catalog # AR1197). A specific band was detected for Porin/VDAC1 at approximately 34 kDa. The expected band size for Porin/VDAC1 is at 31 kDa.

IHC analysis of Porin/VDAC1 using anti-Porin/VDAC1 antibody (A01168-1).
Porin/VDAC1 was detected in a paraffin-embedded section of human lymphadenoma tissue. The tissue section was developed using HRP Conjugated Rabbit IgG Super Vision Assay Kit (Catalog # SV0002) with DAB (Catalog # AR1027) as the chromogen.

IHC analysis of Porin/VDAC1 using anti-Porin/VDAC1 antibody (A01168-1).
Porin/VDAC1 was detected in a paraffin-embedded section of human breast cancer tissue. The tissue section was developed using HRP Conjugated Rabbit IgG Super Vision Assay Kit (Catalog # SV0002) with DAB (Catalog # AR1027) as the chromogen.

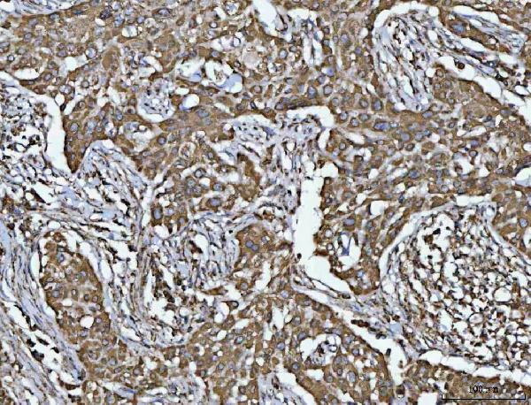
IHC analysis of Porin/VDAC1 using anti-Porin/VDAC1 antibody (A01168-1).
Porin/VDAC1 was detected in a paraffin-embedded section of human colorectal adenocarcinoma tissue. The tissue section was developed using HRP Conjugated Rabbit IgG Super Vision Assay Kit (Catalog # SV0002) with DAB (Catalog # AR1027) as the chromogen.

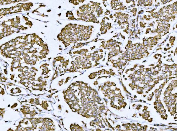
IHC analysis of Porin/VDAC1 using anti-Porin/VDAC1 antibody (A01168-1).
Porin/VDAC1 was detected in a paraffin-embedded section of human liver cancer tissue. The tissue section was developed using HRP Conjugated Rabbit IgG Super Vision Assay Kit (Catalog # SV0002) with DAB (Catalog # AR1027) as the chromogen.

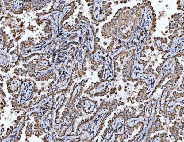
IHC analysis of Porin/VDAC1 using anti-Porin/VDAC1 antibody (A01168-1).
Porin/VDAC1 was detected in a paraffin-embedded section of human lung cancer tissue. The tissue section was developed using HRP Conjugated Rabbit IgG Super Vision Assay Kit (Catalog # SV0002) with DAB (Catalog # AR1027) as the chromogen.

IHC analysis of Porin/VDAC1 using anti-Porin/VDAC1 antibody (A01168-1).
Porin/VDAC1 was detected in a paraffin-embedded section of human urothelial carcinoma with squamous differentiation tissue. The tissue section was developed using HRP Conjugated Rabbit IgG Super Vision Assay Kit (Catalog # SV0002) with DAB (Catalog # AR1027) as the chromogen.

IHC analysis of Porin/VDAC1 using anti-Porin/VDAC1 antibody (A01168-1).
Porin/VDAC1 was detected in a paraffin-embedded section of rat heart tissue. The tissue section was developed using HRP Conjugated Rabbit IgG Super Vision Assay Kit (Catalog # SV0002) with DAB (Catalog # AR1027) as the chromogen.

IHC analysis of Porin/VDAC1 using anti-Porin/VDAC1 antibody (A01168-1).
Porin/VDAC1 was detected in a paraffin-embedded section of mouse cardiac muscle tissue. The tissue section was developed using HRP Conjugated Rabbit IgG Super Vision Assay Kit (Catalog # SV0002) with DAB (Catalog # AR1027) as the chromogen.

ICC/IF analysis of Porin/VDAC1 using anti-Porin/VDAC1 antibody (A01168-1).
Porin/VDAC1 was detected in an immunocytochemical section of Hela cells. Cy3-conjugated Anti-rabbit IgG Secondary Antibody (red)(Catalog#BA1032) was used as secondary antibody. The section was counterstained with DAPI (Catalog # AR1176) (Blue).

IF analysis of Porin/VDAC1 using anti-Porin/VDAC1 antibody (A00570-1).
Porin/VDAC1 was detected in a paraffin-embedded section of human intestinal cancer tissue. Cy3-conjugated Anti-rabbit IgG Secondary Antibody (red)(Catalog#BA1032) was used as secondary antibody. The section was counterstained with DAPI (Catalog # AR1176) (Blue).

IF analysis of Porin/VDAC1 using anti-Porin/VDAC1 antibody (A00570-1).
Porin/VDAC1 was detected in a paraffin-embedded section of mouse cardiac muscle tissue. Cy3-conjugated Anti-rabbit IgG Secondary Antibody (red)(Catalog#BA1032) was used as secondary antibody. The section was counterstained with DAPI (Catalog # AR1176) (Blue).

IF analysis of Porin/VDAC1 using anti-Porin/VDAC1 antibody (A00570-1).
Porin/VDAC1 was detected in a paraffin-embedded section of rat cardiac muscle tissue. Cy3-conjugated Anti-rabbit IgG Secondary Antibody (red)(Catalog#BA1032) was used as secondary antibody. The section was counterstained with DAPI (Catalog # AR1176) (Blue).

Flow Cytometry analysis of Hela cells using anti-Porin/VDAC1 antibody (A01168-1).
Overlay histogram showing Hela cells stained with A01168-1 (Blue line). To facilitate intracellular staining, cells were fixed with 4% paraformaldehyde and permeabilized with permeabilization buffer. The cells were blocked with 10% normal goat serum. And then incubated with rabbit anti-Porin/VDAC1 Antibody (A01168-1, 1:100). Fluoro488 conjugated goat anti-rabbit IgG (BA1127, 1:100) was used as secondary antibody. Isotype control antibody (Green line) was rabbit IgG (Catalog # BA1045) (1:100) used under the same conditions. Unlabelled sample (Red line) was also used as a control.

Western blot analysis of anti-Porin/VDAC1 antibody (A01168-1). The sample well of each lane was loaded with 30 ug of sample under reducing conditions.
Lane 1: human Hela whole cell lysates,
Lane 2: human A431 whole cell lysates,
Lane 3: human 293T whole cell lysates,
Lane 4: rat heart tissue lysates,
Lane 5: rat liver tissue lysates,
Lane 6: mouse heart tissue lysates,
Lane 7: mouse liver tissue lysates.
After electrophoresis, proteins were transferred to a membrane. Then the membrane was incubated with rabbit anti-Porin/VDAC1 antigen affinity purified polyclonal antibody (A01168-1) and probed with a goat anti-rabbit IgG-HRP secondary antibody (Catalog # BA1054). The signal is developed using ECL Plus Western Blotting Substrate (Catalog # AR1197). A specific band was detected for Porin/VDAC1 at approximately 34 kDa. The expected band size for Porin/VDAC1 is at 31 kDa.

IHC analysis of Porin/VDAC1 using anti-Porin/VDAC1 antibody (A01168-1).
Porin/VDAC1 was detected in a paraffin-embedded section of human lymphadenoma tissue. The tissue section was developed using HRP Conjugated Rabbit IgG Super Vision Assay Kit (Catalog # SV0002) with DAB (Catalog # AR1027) as the chromogen.

IHC analysis of Porin/VDAC1 using anti-Porin/VDAC1 antibody (A01168-1).
Porin/VDAC1 was detected in a paraffin-embedded section of human breast cancer tissue. The tissue section was developed using HRP Conjugated Rabbit IgG Super Vision Assay Kit (Catalog # SV0002) with DAB (Catalog # AR1027) as the chromogen.

IHC analysis of Porin/VDAC1 using anti-Porin/VDAC1 antibody (A01168-1).
Porin/VDAC1 was detected in a paraffin-embedded section of human colorectal adenocarcinoma tissue. The tissue section was developed using HRP Conjugated Rabbit IgG Super Vision Assay Kit (Catalog # SV0002) with DAB (Catalog # AR1027) as the chromogen.

IHC analysis of Porin/VDAC1 using anti-Porin/VDAC1 antibody (A01168-1).
Porin/VDAC1 was detected in a paraffin-embedded section of human liver cancer tissue. The tissue section was developed using HRP Conjugated Rabbit IgG Super Vision Assay Kit (Catalog # SV0002) with DAB (Catalog # AR1027) as the chromogen.

IHC analysis of Porin/VDAC1 using anti-Porin/VDAC1 antibody (A01168-1).
Porin/VDAC1 was detected in a paraffin-embedded section of human lung cancer tissue. The tissue section was developed using HRP Conjugated Rabbit IgG Super Vision Assay Kit (Catalog # SV0002) with DAB (Catalog # AR1027) as the chromogen.

IHC analysis of Porin/VDAC1 using anti-Porin/VDAC1 antibody (A01168-1).
Porin/VDAC1 was detected in a paraffin-embedded section of human urothelial carcinoma with squamous differentiation tissue. The tissue section was developed using HRP Conjugated Rabbit IgG Super Vision Assay Kit (Catalog # SV0002) with DAB (Catalog # AR1027) as the chromogen.

IHC analysis of Porin/VDAC1 using anti-Porin/VDAC1 antibody (A01168-1).
Porin/VDAC1 was detected in a paraffin-embedded section of rat heart tissue. The tissue section was developed using HRP Conjugated Rabbit IgG Super Vision Assay Kit (Catalog # SV0002) with DAB (Catalog # AR1027) as the chromogen.

IHC analysis of Porin/VDAC1 using anti-Porin/VDAC1 antibody (A01168-1).
Porin/VDAC1 was detected in a paraffin-embedded section of mouse cardiac muscle tissue. The tissue section was developed using HRP Conjugated Rabbit IgG Super Vision Assay Kit (Catalog # SV0002) with DAB (Catalog # AR1027) as the chromogen.

ICC/IF analysis of Porin/VDAC1 using anti-Porin/VDAC1 antibody (A01168-1).
Porin/VDAC1 was detected in an immunocytochemical section of Hela cells. Cy3-conjugated Anti-rabbit IgG Secondary Antibody (red)(Catalog#BA1032) was used as secondary antibody. The section was counterstained with DAPI (Catalog # AR1176) (Blue).

IF analysis of Porin/VDAC1 using anti-Porin/VDAC1 antibody (A00570-1).
Porin/VDAC1 was detected in a paraffin-embedded section of human intestinal cancer tissue. Cy3-conjugated Anti-rabbit IgG Secondary Antibody (red)(Catalog#BA1032) was used as secondary antibody. The section was counterstained with DAPI (Catalog # AR1176) (Blue).

IF analysis of Porin/VDAC1 using anti-Porin/VDAC1 antibody (A00570-1).
Porin/VDAC1 was detected in a paraffin-embedded section of mouse cardiac muscle tissue. Cy3-conjugated Anti-rabbit IgG Secondary Antibody (red)(Catalog#BA1032) was used as secondary antibody. The section was counterstained with DAPI (Catalog # AR1176) (Blue).

IF analysis of Porin/VDAC1 using anti-Porin/VDAC1 antibody (A00570-1).
Porin/VDAC1 was detected in a paraffin-embedded section of rat cardiac muscle tissue. Cy3-conjugated Anti-rabbit IgG Secondary Antibody (red)(Catalog#BA1032) was used as secondary antibody. The section was counterstained with DAPI (Catalog # AR1176) (Blue).

Flow Cytometry analysis of Hela cells using anti-Porin/VDAC1 antibody (A01168-1).
Overlay histogram showing Hela cells stained with A01168-1 (Blue line). To facilitate intracellular staining, cells were fixed with 4% paraformaldehyde and permeabilized with permeabilization buffer. The cells were blocked with 10% normal goat serum. And then incubated with rabbit anti-Porin/VDAC1 Antibody (A01168-1, 1:100). Fluoro488 conjugated goat anti-rabbit IgG (BA1127, 1:100) was used as secondary antibody. Isotype control antibody (Green line) was rabbit IgG (Catalog # BA1045) (1:100) used under the same conditions. Unlabelled sample (Red line) was also used as a control.















