| Western blot (WB): | 1:500-2000 |
| Immunohistochemistry (IHC): | 1:50-400 |
| Immunocytochemistry/Immunofluorescence(ICC/IF): | 1:50-400 |
| (Boiling the paraffin sections in 10mM citrate buffer,pH6.0,or PH8.0 EDTA repair liquid for 20 mins is required for the staining of formalin/paraffin sections.) Optimal working dilutions must be determined by end user. | |
Western blot analysis of HSP60/HSPD1 using anti-HSP60/HSPD1 antibody (PB9337). The sample well of each lane was loaded with 30 ug of sample under reducing conditions.
Lane 1: human Hela whole cell lysates,
Lane 2: human A549 whole cell lysates,
Lane 3: human PANC-1 whole cell lysates,
Lane 4: human MCF-7 whole cell lysates,
Lane 5: rat liver tissue lysates,
Lane 6: mouse liver tissue lysates,
Lane 7: mouse thymus tissue lysates.
After electrophoresis, proteins were transferred to a membrane. Then the membrane was incubated with rabbit anti-HSP60/HSPD1 antigen affinity purified polyclonal antibody (PB9337) at a dilution of 1:1000 and probed with a goat anti-rabbit IgG-HRP secondary antibody (Catalog # BA1054). The signal is developed using ECL Plus Western Blotting Substrate (Catalog # AR1197). A specific band was detected for HSP60/HSPD1 at approximately 61 kDa. The expected band size for HSP60/HSPD1 is at 61 kDa.

IHC analysis of HSP60/HSPD1 using anti-HSP60/HSPD1 antibody (PB9337).
HSP60/HSPD1 was detected in a paraffin-embedded section of mouse intestine tissue. Biotinylated goat anti-rabbit IgG was used as secondary antibody. The tissue section was incubated with rabbit anti-HSP60/HSPD1 Antibody (PB9337) at a dilution of 1:200 and developed using Strepavidin-Biotin-Complex (SABC) (Catalog # SA1022) with DAB (Catalog # AR1027) as the chromogen.

IHC analysis of HSP60/HSPD1 using anti-HSP60/HSPD1 antibody (PB9337).
HSP60/HSPD1 was detected in a paraffin-embedded section of rat intestine tissue. Biotinylated goat anti-rabbit IgG was used as secondary antibody. The tissue section was incubated with rabbit anti-HSP60/HSPD1 Antibody (PB9337) at a dilution of 1:200 and developed using Strepavidin-Biotin-Complex (SABC) (Catalog # SA1022) with DAB (Catalog # AR1027) as the chromogen.

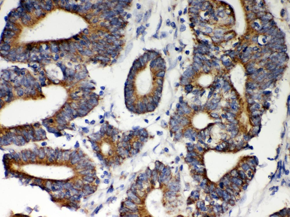
IHC analysis of HSP60/HSPD1 using anti-HSP60/HSPD1 antibody (PB9337).
HSP60/HSPD1 was detected in a paraffin-embedded section of human intestinal cancer tissue. Biotinylated goat anti-rabbit IgG was used as secondary antibody. The tissue section was incubated with rabbit anti-HSP60/HSPD1 Antibody (PB9337) at a dilution of 1:200 and developed using Strepavidin-Biotin-Complex (SABC) (Catalog # SA1022) with DAB (Catalog # AR1027) as the chromogen.

ICC analysis of HSP60/HSPD1 using anti- HSP60/HSPD1 antibody (PB9337).
HSP60/HSPD1 was detected in an immunocytochemical section of SMMC-7721 cells. The section was incubated with rabbit anti-HSP60/HSPD1 Antibody (PB9337) at a dilution of 1:100. Biotinylated goat anti-rabbit IgG was used as secondary antibody. The section was developed using Strepavidin-Biotin-Complex (SABC)(Catalog # SA1022) with DAB (Catalog # AR1027) as the chromogen.

ICC/IF analysis of Hsp60 using anti-Hsp60 antibody (PB9337).
Hsp60 was detected in immunocytochemical section of U20S cell. Enzyme antigen retrieval was performed using IHC enzyme antigen retrieval reagent (AR0022) for 15 mins. The cells were blocked with 10% goat serum. And then incubated with 2μg/mL rabbit anti-Hsp60 Antibody (PB9337) overnight at 4°C. Fluoro488 Conjugated Goat Anti-Rabbit IgG (BA1127) was used as secondary antibody at 1:100 dilution and incubated for 30 minutes at 37°C. The section was counterstained with DAPI. Visualize using a fluorescence microscope and filter sets appropriate for the label used.
Western blot analysis of HSP60/HSPD1 using anti-HSP60/HSPD1 antibody (PB9337). The sample well of each lane was loaded with 30 ug of sample under reducing conditions.
Lane 1: human Hela whole cell lysates,
Lane 2: human A549 whole cell lysates,
Lane 3: human PANC-1 whole cell lysates,
Lane 4: human MCF-7 whole cell lysates,
Lane 5: rat liver tissue lysates,
Lane 6: mouse liver tissue lysates,
Lane 7: mouse thymus tissue lysates.
After electrophoresis, proteins were transferred to a membrane. Then the membrane was incubated with rabbit anti-HSP60/HSPD1 antigen affinity purified polyclonal antibody (PB9337) at a dilution of 1:1000 and probed with a goat anti-rabbit IgG-HRP secondary antibody (Catalog # BA1054). The signal is developed using ECL Plus Western Blotting Substrate (Catalog # AR1197). A specific band was detected for HSP60/HSPD1 at approximately 61 kDa. The expected band size for HSP60/HSPD1 is at 61 kDa.

IHC analysis of HSP60/HSPD1 using anti-HSP60/HSPD1 antibody (PB9337).
HSP60/HSPD1 was detected in a paraffin-embedded section of mouse intestine tissue. Biotinylated goat anti-rabbit IgG was used as secondary antibody. The tissue section was incubated with rabbit anti-HSP60/HSPD1 Antibody (PB9337) at a dilution of 1:200 and developed using Strepavidin-Biotin-Complex (SABC) (Catalog # SA1022) with DAB (Catalog # AR1027) as the chromogen.

IHC analysis of HSP60/HSPD1 using anti-HSP60/HSPD1 antibody (PB9337).
HSP60/HSPD1 was detected in a paraffin-embedded section of rat intestine tissue. Biotinylated goat anti-rabbit IgG was used as secondary antibody. The tissue section was incubated with rabbit anti-HSP60/HSPD1 Antibody (PB9337) at a dilution of 1:200 and developed using Strepavidin-Biotin-Complex (SABC) (Catalog # SA1022) with DAB (Catalog # AR1027) as the chromogen.

IHC analysis of HSP60/HSPD1 using anti-HSP60/HSPD1 antibody (PB9337).
HSP60/HSPD1 was detected in a paraffin-embedded section of human intestinal cancer tissue. Biotinylated goat anti-rabbit IgG was used as secondary antibody. The tissue section was incubated with rabbit anti-HSP60/HSPD1 Antibody (PB9337) at a dilution of 1:200 and developed using Strepavidin-Biotin-Complex (SABC) (Catalog # SA1022) with DAB (Catalog # AR1027) as the chromogen.

ICC analysis of HSP60/HSPD1 using anti- HSP60/HSPD1 antibody (PB9337).
HSP60/HSPD1 was detected in an immunocytochemical section of SMMC-7721 cells. The section was incubated with rabbit anti-HSP60/HSPD1 Antibody (PB9337) at a dilution of 1:100. Biotinylated goat anti-rabbit IgG was used as secondary antibody. The section was developed using Strepavidin-Biotin-Complex (SABC)(Catalog # SA1022) with DAB (Catalog # AR1027) as the chromogen.

ICC/IF analysis of Hsp60 using anti-Hsp60 antibody (PB9337).
Hsp60 was detected in immunocytochemical section of U20S cell. Enzyme antigen retrieval was performed using IHC enzyme antigen retrieval reagent (AR0022) for 15 mins. The cells were blocked with 10% goat serum. And then incubated with 2μg/mL rabbit anti-Hsp60 Antibody (PB9337) overnight at 4°C. Fluoro488 Conjugated Goat Anti-Rabbit IgG (BA1127) was used as secondary antibody at 1:100 dilution and incubated for 30 minutes at 37°C. The section was counterstained with DAPI. Visualize using a fluorescence microscope and filter sets appropriate for the label used.




