| Western blot (WB): | 1:2000 |
| Immunohistochemistry (IHC): | 1:150 |

Immunohistochemical staining of paraffin-embedded Human liver tissue within the normal limits using anti-HSPD1 mouse monoclonal antibody. (Heat-induced epitope retrieval by 10mM citric buffer, pH6.0, 120°C for 3min, M01280-5)

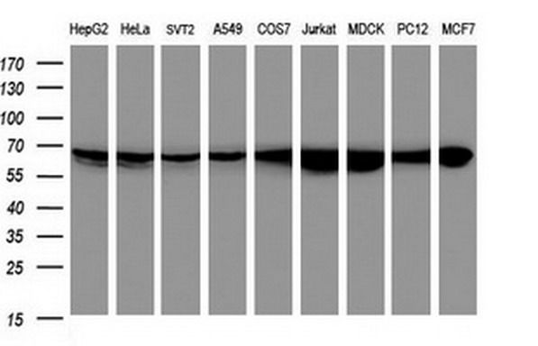
Western blot analysis of extracts (10ug) from 9 different cell lines by using anti-HSPD1 monoclonal antibody (HepG2: human; HeLa: human; SVT2: mouse; A549: human; COS7: monkey; Jurkat: human; MDCK: canine; PC12: rat; MCF7: human) (1:2000).

Immunohistochemical staining of paraffin-embedded Carcinoma of Human kidney tissue using anti-HSPD1 mouse monoclonal antibody. (Heat-induced epitope retrieval by 10mM citric buffer, pH6.0, 120°C for 3min, M01280-5)

Immunohistochemical staining of paraffin-embedded Carcinoma of Human thyroid tissue using anti-HSPD1 mouse monoclonal antibody. (Heat-induced epitope retrieval by 10mM citric buffer, pH6.0, 120°C for 3min, M01280-5)

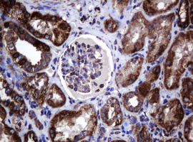
Immunohistochemical staining of paraffin-embedded Human Kidney tissue within the normal limits using anti-HSPD1 mouse monoclonal antibody. (Heat-induced epitope retrieval by 10mM citric buffer, pH6.0, 120°C for 3min, M01280-5)

Immunohistochemical staining of paraffin-embedded Adenocarcinoma of Human colon tissue using anti-HSPD1 mouse monoclonal antibody. (Heat-induced epitope retrieval by 10mM citric buffer, pH6.0, 120°C for 3min, M01280-5)

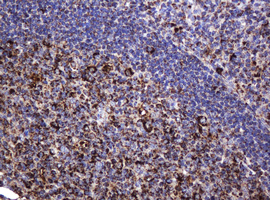
Immunohistochemical staining of paraffin-embedded Human tonsil within the normal limits using anti-HSPD1 mouse monoclonal antibody. (Heat-induced epitope retrieval by 10mM citric buffer, pH6.0, 120°C for 3min, M01280-5)

Immunohistochemical staining of paraffin-embedded Human breast tissue within the normal limits using anti-HSPD1 mouse monoclonal antibody. (Heat-induced epitope retrieval by 10mM citric buffer, pH6.0, 120°C for 3min, M01280-5)

Immunohistochemical staining of paraffin-embedded Adenocarcinoma of Human ovary tissue using anti-HSPD1 mouse monoclonal antibody. (Heat-induced epitope retrieval by 10mM citric buffer, pH6.0, 120°C for 3min, M01280-5)

HEK293T cells were transfected with the pCMV6-ENTRY control (Left lane) or pCMV6-ENTRY HSPD1 (Right lane) cDNA for 48 hrs and lysed. Equivalent amounts of cell lysates (5 ug per lane) were separated by SDS-PAGE and immunoblotted with anti-HSPD1.

Immunohistochemical staining of paraffin-embedded Human liver tissue within the normal limits using anti-HSPD1 mouse monoclonal antibody. (Heat-induced epitope retrieval by 10mM citric buffer, pH6.0, 120°C for 3min, M01280-5)

Western blot analysis of extracts (10ug) from 9 different cell lines by using anti-HSPD1 monoclonal antibody (HepG2: human; HeLa: human; SVT2: mouse; A549: human; COS7: monkey; Jurkat: human; MDCK: canine; PC12: rat; MCF7: human) (1:2000).

Immunohistochemical staining of paraffin-embedded Carcinoma of Human kidney tissue using anti-HSPD1 mouse monoclonal antibody. (Heat-induced epitope retrieval by 10mM citric buffer, pH6.0, 120°C for 3min, M01280-5)

Immunohistochemical staining of paraffin-embedded Carcinoma of Human thyroid tissue using anti-HSPD1 mouse monoclonal antibody. (Heat-induced epitope retrieval by 10mM citric buffer, pH6.0, 120°C for 3min, M01280-5)

Immunohistochemical staining of paraffin-embedded Human Kidney tissue within the normal limits using anti-HSPD1 mouse monoclonal antibody. (Heat-induced epitope retrieval by 10mM citric buffer, pH6.0, 120°C for 3min, M01280-5)

Immunohistochemical staining of paraffin-embedded Adenocarcinoma of Human colon tissue using anti-HSPD1 mouse monoclonal antibody. (Heat-induced epitope retrieval by 10mM citric buffer, pH6.0, 120°C for 3min, M01280-5)

Immunohistochemical staining of paraffin-embedded Human tonsil within the normal limits using anti-HSPD1 mouse monoclonal antibody. (Heat-induced epitope retrieval by 10mM citric buffer, pH6.0, 120°C for 3min, M01280-5)

Immunohistochemical staining of paraffin-embedded Human breast tissue within the normal limits using anti-HSPD1 mouse monoclonal antibody. (Heat-induced epitope retrieval by 10mM citric buffer, pH6.0, 120°C for 3min, M01280-5)

Immunohistochemical staining of paraffin-embedded Adenocarcinoma of Human ovary tissue using anti-HSPD1 mouse monoclonal antibody. (Heat-induced epitope retrieval by 10mM citric buffer, pH6.0, 120°C for 3min, M01280-5)

HEK293T cells were transfected with the pCMV6-ENTRY control (Left lane) or pCMV6-ENTRY HSPD1 (Right lane) cDNA for 48 hrs and lysed. Equivalent amounts of cell lysates (5 ug per lane) were separated by SDS-PAGE and immunoblotted with anti-HSPD1.









