| Western blot (WB): | 1:500-2000 |
| Immunohistochemistry (IHC): | 1:50-400 |
| Immunofluorescence (IF): | 1:50-400 |
| Flow Cytometry (Fixed): | 1:50-200 |
| (Boiling the paraffin sections in 10mM citrate buffer,pH6.0,or PH8.0 EDTA repair liquid for 20 mins is required for the staining of formalin/paraffin sections.) Optimal working dilutions must be determined by end user. | |

Western blot analysis of Glutamate receptor 2/GRIA2 using anti-Glutamate receptor 2/GRIA2 antibody (PB9205). The sample well of each lane was loaded with 30 ug of sample under reducing conditions.
Lane 1: rat brain tissue lysates,
Lane 2: rat C6 whole cell lysates,
Lane 3: mouse brain tissue lysates.
After electrophoresis, proteins were transferred to a membrane. Then the membrane was incubated with rabbit anti-Glutamate receptor 2/GRIA2 antigen affinity purified polyclonal antibody (PB9205) at a dilution of 1:1000 and probed with a goat anti-rabbit IgG-HRP secondary antibody (Catalog # BA1054). The signal is developed using ECL Plus Western Blotting Substrate (Catalog # AR1197). A specific band was detected for Glutamate receptor 2/GRIA2 at approximately 99 kDa. The expected band size for Glutamate receptor 2/GRIA2 is at 99 kDa.

IHC analysis of Glutamate receptor 2/GRIA2 using anti-Glutamate receptor 2/GRIA2 antibody (PB9205).
Glutamate receptor 2/GRIA2 was detected in a paraffin-embedded section of mouse brain tissue. Biotinylated goat anti-rabbit IgG was used as secondary antibody. The tissue section was incubated with rabbit anti-Glutamate receptor 2/GRIA2 Antibody (PB9205) at a dilution of 1:200 and developed using Strepavidin-Biotin-Complex (SABC) (Catalog # SA1022) with DAB (Catalog # AR1027) as the chromogen.

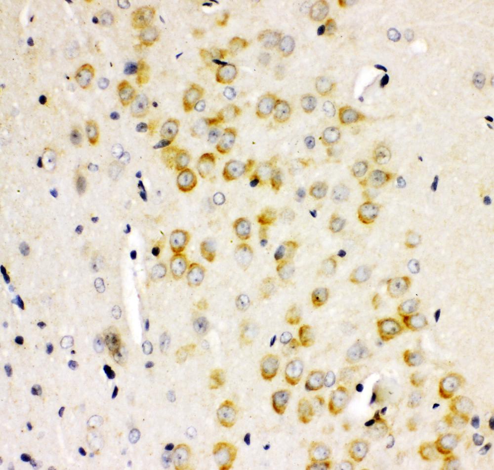
IHC analysis of Glutamate receptor 2/GRIA2 using anti-Glutamate receptor 2/GRIA2 antibody (PB9205).
Glutamate receptor 2/GRIA2 was detected in a paraffin-embedded section of rat brain tissue. Biotinylated goat anti-rabbit IgG was used as secondary antibody. The tissue section was incubated with rabbit anti-Glutamate receptor 2/GRIA2 Antibody (PB9205) at a dilution of 1:200 and developed using Strepavidin-Biotin-Complex (SABC) (Catalog # SA1022) with DAB (Catalog # AR1027) as the chromogen.

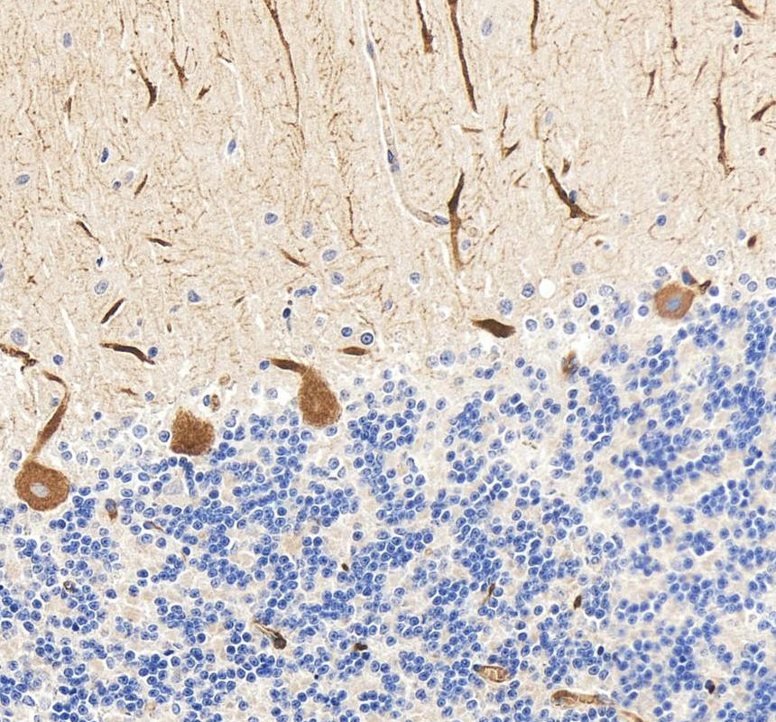
IHC analysis of Glutamate receptor 2/GRIA2 using anti-Glutamate receptor 2/GRIA2 antibody (PB9205).
Glutamate receptor 2/GRIA2 was detected in a paraffin-embedded section of human brain tissue. The tissue section was incubated with rabbit anti-Glutamate receptor 2/GRIA2 Antibody (PB9205) at a dilution of 1:200 and developed using HRP Conjugated Rabbit IgG Super Vision Assay Kit (Catalog # SV0002) with DAB (Catalog # AR1027) as the chromogen.

IF analysis of GRIA2 using anti- GRIA2 antibody (PB9205)
GRIA2 was detected in paraffin-embedded section of mouse brain tissues. Heat mediated antigen retrieval was performed in citrate buffer (pH6, epitope retrieval solution ) for 20 mins. The tissue section was blocked with 10% goat serum. The tissue section was then incubated with 2μg/mL rabbit anti- GRIA2 Antibody (PB9205) overnight at 4°C. Biotin conjugated goat anti-rabbit IgG (BA1003) was used as secondary antibody and incubated for 30 minutes at 37°C. The tissue section was developed using Fluoro488 Conjugated Avidin (BA1128). The section was counterstained with DAPI. Visualize using a fluorescence microscope and filter sets appropriate for the label used.

IF analysis of GFAP, GRIA2 using anti- GFAP, GRIA2 antibody (BM0055, PB9205)®GFAP, MBP was detected in paraffin-embedded section of rat brain tissues. Heat mediated antigen retrieval was performed in citrate buffer (pH6, epitope retrieval solution ) for 20 mins. The tissue section was blocked with 10% goat serum. The tissue section was then incubated with 1μg/mL rabbit anti- GFAP, GRIA2 Antibody (BM0055, PB9205) overnight at 4°C. Fluoro488 Conjugated Goat Anti-Mouse IgG (BA1126), Cy3 Conjugated Goat Anti-Rabbit IgG (BA1032) was used as secondary antibody at 1:100 dilution and incubated for 30 minutes at 37°C. The section was counterstained with DAPI. Visualize using a fluorescence microscope and filter sets appropriate for the label used.

Flow Cytometry analysis of U87 cells using anti-Glutamate receptor 2/GRIA2 antibody (PB9205).
Overlay histogram showing U87 cells stained with PB9205 (Blue line). To facilitate intracellular staining, cells were fixed with 4% paraformaldehyde and permeabilized with permeabilization buffer. The cells were blocked with 10% normal goat serum. And then incubated with rabbit anti-Glutamate receptor 2/GRIA2 Antibody (PB9205) at 1:100 dilution for 30 min at 20°C. Fluoro488 conjugated goat anti-rabbit IgG (BA1127) was used as secondary antibody at 1:100 dilution for 30 minutes at 20°C. Isotype control antibody (Green line) was rabbit IgG at 1:100 dilution used under the same conditions. Unlabelled sample without incubation with primary antibody and secondary antibody (Red line) was used as a blank control.

Western blot analysis of Glutamate receptor 2/GRIA2 using anti-Glutamate receptor 2/GRIA2 antibody (PB9205). The sample well of each lane was loaded with 30 ug of sample under reducing conditions.
Lane 1: rat brain tissue lysates,
Lane 2: rat C6 whole cell lysates,
Lane 3: mouse brain tissue lysates.
After electrophoresis, proteins were transferred to a membrane. Then the membrane was incubated with rabbit anti-Glutamate receptor 2/GRIA2 antigen affinity purified polyclonal antibody (PB9205) at a dilution of 1:1000 and probed with a goat anti-rabbit IgG-HRP secondary antibody (Catalog # BA1054). The signal is developed using ECL Plus Western Blotting Substrate (Catalog # AR1197). A specific band was detected for Glutamate receptor 2/GRIA2 at approximately 99 kDa. The expected band size for Glutamate receptor 2/GRIA2 is at 99 kDa.

IHC analysis of Glutamate receptor 2/GRIA2 using anti-Glutamate receptor 2/GRIA2 antibody (PB9205).
Glutamate receptor 2/GRIA2 was detected in a paraffin-embedded section of mouse brain tissue. Biotinylated goat anti-rabbit IgG was used as secondary antibody. The tissue section was incubated with rabbit anti-Glutamate receptor 2/GRIA2 Antibody (PB9205) at a dilution of 1:200 and developed using Strepavidin-Biotin-Complex (SABC) (Catalog # SA1022) with DAB (Catalog # AR1027) as the chromogen.

IHC analysis of Glutamate receptor 2/GRIA2 using anti-Glutamate receptor 2/GRIA2 antibody (PB9205).
Glutamate receptor 2/GRIA2 was detected in a paraffin-embedded section of rat brain tissue. Biotinylated goat anti-rabbit IgG was used as secondary antibody. The tissue section was incubated with rabbit anti-Glutamate receptor 2/GRIA2 Antibody (PB9205) at a dilution of 1:200 and developed using Strepavidin-Biotin-Complex (SABC) (Catalog # SA1022) with DAB (Catalog # AR1027) as the chromogen.

IHC analysis of Glutamate receptor 2/GRIA2 using anti-Glutamate receptor 2/GRIA2 antibody (PB9205).
Glutamate receptor 2/GRIA2 was detected in a paraffin-embedded section of human brain tissue. The tissue section was incubated with rabbit anti-Glutamate receptor 2/GRIA2 Antibody (PB9205) at a dilution of 1:200 and developed using HRP Conjugated Rabbit IgG Super Vision Assay Kit (Catalog # SV0002) with DAB (Catalog # AR1027) as the chromogen.

IF analysis of GRIA2 using anti- GRIA2 antibody (PB9205)
GRIA2 was detected in paraffin-embedded section of mouse brain tissues. Heat mediated antigen retrieval was performed in citrate buffer (pH6, epitope retrieval solution ) for 20 mins. The tissue section was blocked with 10% goat serum. The tissue section was then incubated with 2μg/mL rabbit anti- GRIA2 Antibody (PB9205) overnight at 4°C. Biotin conjugated goat anti-rabbit IgG (BA1003) was used as secondary antibody and incubated for 30 minutes at 37°C. The tissue section was developed using Fluoro488 Conjugated Avidin (BA1128). The section was counterstained with DAPI. Visualize using a fluorescence microscope and filter sets appropriate for the label used.

IF analysis of GFAP, GRIA2 using anti- GFAP, GRIA2 antibody (BM0055, PB9205)®GFAP, MBP was detected in paraffin-embedded section of rat brain tissues. Heat mediated antigen retrieval was performed in citrate buffer (pH6, epitope retrieval solution ) for 20 mins. The tissue section was blocked with 10% goat serum. The tissue section was then incubated with 1μg/mL rabbit anti- GFAP, GRIA2 Antibody (BM0055, PB9205) overnight at 4°C. Fluoro488 Conjugated Goat Anti-Mouse IgG (BA1126), Cy3 Conjugated Goat Anti-Rabbit IgG (BA1032) was used as secondary antibody at 1:100 dilution and incubated for 30 minutes at 37°C. The section was counterstained with DAPI. Visualize using a fluorescence microscope and filter sets appropriate for the label used.

Flow Cytometry analysis of U87 cells using anti-Glutamate receptor 2/GRIA2 antibody (PB9205).
Overlay histogram showing U87 cells stained with PB9205 (Blue line). To facilitate intracellular staining, cells were fixed with 4% paraformaldehyde and permeabilized with permeabilization buffer. The cells were blocked with 10% normal goat serum. And then incubated with rabbit anti-Glutamate receptor 2/GRIA2 Antibody (PB9205) at 1:100 dilution for 30 min at 20°C. Fluoro488 conjugated goat anti-rabbit IgG (BA1127) was used as secondary antibody at 1:100 dilution for 30 minutes at 20°C. Isotype control antibody (Green line) was rabbit IgG at 1:100 dilution used under the same conditions. Unlabelled sample without incubation with primary antibody and secondary antibody (Red line) was used as a blank control.






