| Western blot (WB): | 1:1000-5000 |
| Immunohistochemistry (IHC): | 1:100-500 |
| Immunofluorescence (IF): | 1:50-400 |
| Immunocytochemistry/Immunofluorescence (ICC/IF): | 1:50-400 |
| Flow Cytometry (Fixed): | 1:50-200 |
| (Boiling the paraffin sections in 10mM citrate buffer,pH6.0,or PH8.0 EDTA repair liquid for 20 mins is required for the staining of formalin/paraffin sections.) Optimal working dilutions must be determined by end user. | |

Western blot analysis of Alpha Internexin/INA using anti-Alpha Internexin/INA antibody (PB1035). The sample well of each lane was loaded with 30 ug of sample under reducing conditions.
Lane 1: human SH-SY5Y whole cell lysates,
Lane 2: human A549 whole cell lysates,
Lane 3: human Hela whole cell lysates,
Lane 4: rat brain tissue lysates,
Lane 5: rat C6 whole cell lysates,
Lane 6: mouse brain tissue lysates,
Lane 7: mouse Neuro-2a whole cell lysates.
After electrophoresis, proteins were transferred to a membrane. Then the membrane was incubated with rabbit anti-Alpha Internexin/INA antigen affinity purified polyclonal antibody (PB1035) at a dilution of 1:1000 and probed with a goat anti-rabbit IgG-HRP secondary antibody (Catalog # BA1054). The signal is developed using ECL Plus Western Blotting Substrate (Catalog # AR1197). A specific band was detected for Alpha Internexin/INA at approximately 62-66 kDa. The expected band size for Alpha Internexin/INA is at 55 kDa.

IHC analysis of Alpha Internexin/INA using anti-Alpha Internexin/INA antibody (PB1035) .
Alpha Internexin/INA was detected in a paraffin-embedded section of human glioma tissue. The tissue section was incubated with rabbit anti-Alpha Internexin/INA Antibody (PB1035) at a dilution of 1:200 and developed using HRP Conjugated Rabbit IgG Super Vision Assay Kit (Catalog # SV0002) with DAB (Catalog # AR1027) as the chromogen.

IHC analysis of Alpha Internexin/INA using anti-Alpha Internexin/INA antibody (PB1035) .
Alpha Internexin/INA was detected in a paraffin-embedded section of rat brain tissue. The tissue section was incubated with rabbit anti-Alpha Internexin/INA Antibody (PB1035) at a dilution of 1:200 and developed using HRP Conjugated Rabbit IgG Super Vision Assay Kit (Catalog # SV0002) with DAB (Catalog # AR1027) as the chromogen.

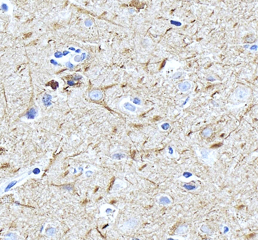
IHC analysis of Alpha Internexin/INA using anti-Alpha Internexin/INA antibody (PB1035) .
Alpha Internexin/INA was detected in a paraffin-embedded section of rat brain tissue. The tissue section was incubated with rabbit anti-Alpha Internexin/INA Antibody (PB1035) at a dilution of 1:200 and developed using HRP Conjugated Rabbit IgG Super Vision Assay Kit (Catalog # SV0002) with DAB (Catalog # AR1027) as the chromogen.

IHC analysis of Alpha Internexin/INA using anti-Alpha Internexin/INA antibody (PB1035) .
Alpha Internexin/INA was detected in a paraffin-embedded section of mouse brain tissue. The tissue section was incubated with rabbit anti-Alpha Internexin/INA Antibody (PB1035) at a dilution of 1:200 and developed using HRP Conjugated Rabbit IgG Super Vision Assay Kit (Catalog # SV0002) with DAB (Catalog # AR1027) as the chromogen.

IHC analysis of Alpha Internexin/INA using anti-Alpha Internexin/INA antibody (PB1035).
Alpha Internexin/INA was detected in a paraffin-embedded section of human brain tissue. The tissue section was incubated with rabbit anti-Alpha Internexin/INA Antibody (PB1035) at a dilution of 1:200 and developed using HRP Conjugated Rabbit IgG Super Vision Assay Kit (Catalog # SV0002) with DAB (Catalog # AR1027) as the chromogen.

IF analysis of Alpha Internexin/INA using anti-Alpha Internexin/INA antibody (PB1035).
Alpha Internexin/INA was detected in a paraffin-embedded section of mouse brain tissue. The tissue section was incubated with rabbit anti-Alpha Internexin/INA Antibody (PB1035) at a dilution of 1:100. Fluoro488 Conjugated Goat Anti-Rabbit IgG (Green) (Catalog # BA1127) was used as secondary antibody. The section was counterstained with DAPI (Catalog # AR1176) (Blue).

IF analysis of Alpha Internexin/INA using anti-Alpha Internexin/INA antibody (PB1035).
Alpha Internexin/INA was detected in a paraffin-embedded section of rat brain tissue. The tissue section was incubated with rabbit anti-Alpha Internexin/INA Antibody (PB1035) at a dilution of 1:100. Fluoro488 Conjugated Goat Anti-Rabbit IgG (Green) (Catalog # BA1127) was used as secondary antibody. The section was counterstained with DAPI (Catalog # AR1176) (Blue).

ICC/IF analysis of Alpha Internexin/INA using anti-Alpha Internexin/INA antibody (PB1035).
Alpha Internexin/INA was detected in an immunocytochemical section of A549 cells. The section was incubated with rabbit anti-Alpha Internexin/INA Antibody (PB1035) at a dilution of 1:100. Cy3-conjugated Anti-rabbit IgG Secondary Antibody (red)(Catalog#BA1032) was used as secondary antibody. The section was counterstained with DAPI (Catalog # AR1176) (Blue).

Flow Cytometry analysis of SiHa cells using anti-Alpha Internexin/INA antibody (PB1035).
Overlay histogram showing SiHa cells stained with PB1035 (Blue line). To facilitate intracellular staining, cells were fixed with 4% paraformaldehyde and permeabilized with permeabilization buffer. The cells were blocked with 10% normal goat serum. And then incubated with rabbit anti-Alpha Internexin/INA Antibody (PB1035, 1:100). Fluoro488 conjugated goat anti-rabbit IgG (BA1127, 1:100) was used as secondary antibody. Isotype control antibody (Green line) was rabbit IgG (Catalog # BA1045) (1:100) used under the same conditions. Unlabelled sample (Red line) was also used as a control.

Western blot analysis of Alpha Internexin/INA using anti-Alpha Internexin/INA antibody (PB1035). The sample well of each lane was loaded with 30 ug of sample under reducing conditions.
Lane 1: human SH-SY5Y whole cell lysates,
Lane 2: human A549 whole cell lysates,
Lane 3: human Hela whole cell lysates,
Lane 4: rat brain tissue lysates,
Lane 5: rat C6 whole cell lysates,
Lane 6: mouse brain tissue lysates,
Lane 7: mouse Neuro-2a whole cell lysates.
After electrophoresis, proteins were transferred to a membrane. Then the membrane was incubated with rabbit anti-Alpha Internexin/INA antigen affinity purified polyclonal antibody (PB1035) at a dilution of 1:1000 and probed with a goat anti-rabbit IgG-HRP secondary antibody (Catalog # BA1054). The signal is developed using ECL Plus Western Blotting Substrate (Catalog # AR1197). A specific band was detected for Alpha Internexin/INA at approximately 62-66 kDa. The expected band size for Alpha Internexin/INA is at 55 kDa.

IHC analysis of Alpha Internexin/INA using anti-Alpha Internexin/INA antibody (PB1035) .
Alpha Internexin/INA was detected in a paraffin-embedded section of human glioma tissue. The tissue section was incubated with rabbit anti-Alpha Internexin/INA Antibody (PB1035) at a dilution of 1:200 and developed using HRP Conjugated Rabbit IgG Super Vision Assay Kit (Catalog # SV0002) with DAB (Catalog # AR1027) as the chromogen.

IHC analysis of Alpha Internexin/INA using anti-Alpha Internexin/INA antibody (PB1035) .
Alpha Internexin/INA was detected in a paraffin-embedded section of rat brain tissue. The tissue section was incubated with rabbit anti-Alpha Internexin/INA Antibody (PB1035) at a dilution of 1:200 and developed using HRP Conjugated Rabbit IgG Super Vision Assay Kit (Catalog # SV0002) with DAB (Catalog # AR1027) as the chromogen.

IHC analysis of Alpha Internexin/INA using anti-Alpha Internexin/INA antibody (PB1035) .
Alpha Internexin/INA was detected in a paraffin-embedded section of rat brain tissue. The tissue section was incubated with rabbit anti-Alpha Internexin/INA Antibody (PB1035) at a dilution of 1:200 and developed using HRP Conjugated Rabbit IgG Super Vision Assay Kit (Catalog # SV0002) with DAB (Catalog # AR1027) as the chromogen.

IHC analysis of Alpha Internexin/INA using anti-Alpha Internexin/INA antibody (PB1035) .
Alpha Internexin/INA was detected in a paraffin-embedded section of mouse brain tissue. The tissue section was incubated with rabbit anti-Alpha Internexin/INA Antibody (PB1035) at a dilution of 1:200 and developed using HRP Conjugated Rabbit IgG Super Vision Assay Kit (Catalog # SV0002) with DAB (Catalog # AR1027) as the chromogen.

IHC analysis of Alpha Internexin/INA using anti-Alpha Internexin/INA antibody (PB1035).
Alpha Internexin/INA was detected in a paraffin-embedded section of human brain tissue. The tissue section was incubated with rabbit anti-Alpha Internexin/INA Antibody (PB1035) at a dilution of 1:200 and developed using HRP Conjugated Rabbit IgG Super Vision Assay Kit (Catalog # SV0002) with DAB (Catalog # AR1027) as the chromogen.

IF analysis of Alpha Internexin/INA using anti-Alpha Internexin/INA antibody (PB1035).
Alpha Internexin/INA was detected in a paraffin-embedded section of mouse brain tissue. The tissue section was incubated with rabbit anti-Alpha Internexin/INA Antibody (PB1035) at a dilution of 1:100. Fluoro488 Conjugated Goat Anti-Rabbit IgG (Green) (Catalog # BA1127) was used as secondary antibody. The section was counterstained with DAPI (Catalog # AR1176) (Blue).

IF analysis of Alpha Internexin/INA using anti-Alpha Internexin/INA antibody (PB1035).
Alpha Internexin/INA was detected in a paraffin-embedded section of rat brain tissue. The tissue section was incubated with rabbit anti-Alpha Internexin/INA Antibody (PB1035) at a dilution of 1:100. Fluoro488 Conjugated Goat Anti-Rabbit IgG (Green) (Catalog # BA1127) was used as secondary antibody. The section was counterstained with DAPI (Catalog # AR1176) (Blue).

ICC/IF analysis of Alpha Internexin/INA using anti-Alpha Internexin/INA antibody (PB1035).
Alpha Internexin/INA was detected in an immunocytochemical section of A549 cells. The section was incubated with rabbit anti-Alpha Internexin/INA Antibody (PB1035) at a dilution of 1:100. Cy3-conjugated Anti-rabbit IgG Secondary Antibody (red)(Catalog#BA1032) was used as secondary antibody. The section was counterstained with DAPI (Catalog # AR1176) (Blue).

Flow Cytometry analysis of SiHa cells using anti-Alpha Internexin/INA antibody (PB1035).
Overlay histogram showing SiHa cells stained with PB1035 (Blue line). To facilitate intracellular staining, cells were fixed with 4% paraformaldehyde and permeabilized with permeabilization buffer. The cells were blocked with 10% normal goat serum. And then incubated with rabbit anti-Alpha Internexin/INA Antibody (PB1035, 1:100). Fluoro488 conjugated goat anti-rabbit IgG (BA1127, 1:100) was used as secondary antibody. Isotype control antibody (Green line) was rabbit IgG (Catalog # BA1045) (1:100) used under the same conditions. Unlabelled sample (Red line) was also used as a control.









