欢迎访问博士德生物官网! 服务热线:027-67845390 |
您当前的位置: 首页 > 产品中心 > 一抗 > 重组兔单抗

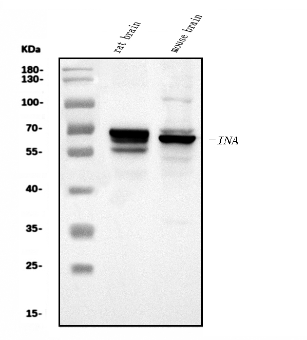
Anti-Alpha Internexin/INA Antibody (Clone#AECG-9)

Rabbit monoclonal antibody

说明书 一键复制产品信息

筛选器: All WB IHC ICC/IF IP FCM

BM5524

  • 50μl ¥1280 100μl ¥2180 150μl ¥2800
  • 货期: 5-7天

产品简介 实验方案 引用文献 相关产品

产品简介>

产品名称
Anti-Alpha Internexin/INA Antibody (Clone#AECG-9)
规格/价格
50μl|1280 100μl|2180 150μl|2800
指标别称
66 kDa neurofilament protein; Alpha internexin; Alpha Inx; INA; NEF5; Neurofilament 5; NF 66; NF-66; TXBP 1
产品类型
Monoclonal
检验物种
human, mouse, rat
应用范围
WB, IHC, ICC/IF, IP, FCM
基因名称
INA
克隆号
AECG-9
宿主
Rabbit
抗体亚型
IgG
免疫原
A synthesized peptide derived from human alpha Internexin Class-IV neuronal intermediate filament that is able to self-assemble. It is involved in the morphogenesis of neurons. It may form an independent structural network without the involvement of other neurofilaments or it may cooperate with NF-L to form the filamentous backbone to which NF-M and NF-H attach to form the cross-bridges.
计算分子量
55 kDa
实际分子量
62-66 kDa
成分
500 ug/ml; Rabbit IgG in phosphate buffered saline, pH 7.4, 150mM NaCl, 0.02% sodium azide, 0.4-0.5 mg/ml BSA and 50% glycerol.
纯化方式
Affinity-chromatography
浓度
500 ug/ml
产品形态
Liquid
保存条件
12 months from date of receipt,-20℃ as supplied.
背景资料
Alpha-Internexin (INA; also NF-66) is a 66 kDa member of the intermediate filament (IF) protein family. The protein was originally purified from rat optic nerve and spinal cord. And the protein copurifies with other neurofilament subunits, as it was originally discovered, however in some mature neurons it can be the only neurofilament expressed. The protein is present in developing neuroblasts and in the Central Nervous System of adults. Meanwhile, the protein is a major component of the intermediate filament network in small interneurons and cerebellar granule cells, where it is present in the parallel fibers.
Uniprot ID
Q16352  
文献引用格式
Alpha Internexin/INA Antibody (Clone#AECG-9) (Boster Biological Technology, Wuhan, China. Catalog#BM5524)
应用释义
WB-蛋白质免疫印迹法; IHC- 免疫组织化学法; ICC/IF-免疫细胞荧光和免疫细胞化学; FCM-流式细胞术; ELISA-酶联免疫吸附测定; IP-免疫沉淀法; IF-免疫组织荧光法; ChIP-染色质免疫沉淀法;
推荐稀释比
Western blot (WB):1:500-2000
Immunohistochemistry (IHC):1:50-200
Immunocytochemistry/Immunofluorescence (ICC/IF):1:50-200
ImmunoPrecipitation (IP):1:50
Flow Cytometry (FCM):1:20

实验方案>

实验步骤

引用文献(0)>

    相关产品>

    成功添加到购物车

    查看购物车 继续购物

    Anti-Alpha Internexin/INA Antibody (Clone#AECG-9)

    筛选器: All WB IHC ICC/IF IP FCM

    亮暗模式切换
    X
    亮暗模式切换
    X

    在线
    客服

    在线客服
    服务时间:08:30 - 17:30

    点击下列客服在线咨询:

    服务热线

    服务
    热线

    客服服务热线

    027-67845390
    客服服务热线

    扫码

    扫码
    咨询

    微信二维码 微信扫一扫立即咨询
    返回顶部 顶部