| Western blot (WB): | 1:500-2000 |
| Immunohistochemistry (IHC): | 1:50-400 |
| Enzyme linked immunosorbent assay (ELISA): | 1:100-1000 |
| (Boiling the paraffin sections in 10mM citrate buffer,pH6.0,or PH8.0 EDTA repair liquid for 20 mins is required for the staining of formalin/paraffin sections.) Optimal working dilutions must be determined by end user. | |

Western blot analysis of IL-1 beta/IL1B using anti-IL-1 beta/IL1B antibody (PB0055). The sample well of each lane was loaded with 30 ug of sample under reducing conditions.
Lane 1: mouse RAW264.7 whole cell lysates,
Lane 2: mouse RAW264.7 whole cell lysates.
After electrophoresis, proteins were transferred to a membrane. Then the membrane was incubated with rabbit anti-IL-1 beta/IL1B antigen affinity purified polyclonal antibody (PB0055) at a dilution of 1:1000 and probed with a goat anti-rabbit IgG-HRP secondary antibody (Catalog # BA1054). The signal is developed using ECL Plus Western Blotting Substrate (Catalog # AR1197). A specific band was detected for IL-1 beta/IL1B at approximately 35 kDa. The expected band size for IL-1 beta/IL1B is at 31 kDa.

Western blot analysis of IL-1 beta/IL1B using anti-IL-1 beta/IL1B antibody (PB0055).
Lane 1: recombinant rat IL1B protein 10 ng,
Lane 2: recombinant rat IL1B protein 5 ng
After electrophoresis, proteins were transferred to a membrane. Then the membrane was incubated with rabbit anti-IL-1 beta/IL1B antigen affinity purified polyclonal antibody (PB0055) at a dilution of 1:1000 and probed with a goat anti-rabbit IgG-HRP secondary antibody (Catalog # BA1054). The signal is developed using ECL Plus Western Blotting Substrate (Catalog # AR1197). A specific band was detected for IL-1 beta/IL1B at approximately 17 kDa. The expected band size for IL-1 beta/IL1B is at 31 kDa.

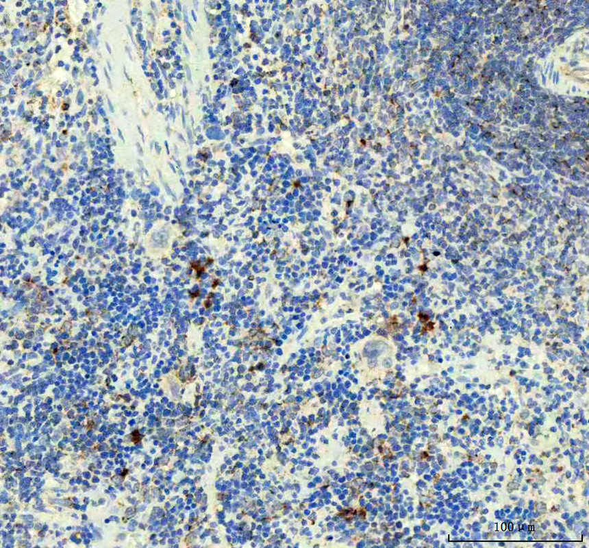
IHC analysis of IL-1 beta/IL1B using anti-IL-1 beta/IL1B antibody (PB0055) .
IL-1 beta/IL1B was detected in a paraffin-embedded section of mouse spleen tissue. The tissue section was incubated with rabbit anti-IL-1 beta/IL1B Antibody (PB0055) at a dilution of 1:200 and developed using HRP Conjugated Rabbit IgG Super Vision Assay Kit (Catalog # SV0002) with DAB (Catalog # AR1027) as the chromogen.

IHC analysis of IL-1 beta/IL1B using anti-IL-1 beta/IL1B antibody (PB0055).
IL-1 beta/IL1B was detected in a paraffin-embedded section of rat spleen tissue. The tissue section was incubated with rabbit anti-IL-1 beta/IL1B Antibody (PB0055) at a dilution of 1:200 and developed using HRP Conjugated Rabbit IgG Super Vision Assay Kit (Catalog # SV0002) with DAB (Catalog # AR1027) as the chromogen.

Western blot analysis of IL-1 beta/IL1B using anti-IL-1 beta/IL1B antibody (PB0055). The sample well of each lane was loaded with 30 ug of sample under reducing conditions.
Lane 1: mouse RAW264.7 whole cell lysates,
Lane 2: mouse RAW264.7 whole cell lysates.
After electrophoresis, proteins were transferred to a membrane. Then the membrane was incubated with rabbit anti-IL-1 beta/IL1B antigen affinity purified polyclonal antibody (PB0055) at a dilution of 1:1000 and probed with a goat anti-rabbit IgG-HRP secondary antibody (Catalog # BA1054). The signal is developed using ECL Plus Western Blotting Substrate (Catalog # AR1197). A specific band was detected for IL-1 beta/IL1B at approximately 35 kDa. The expected band size for IL-1 beta/IL1B is at 31 kDa.

Western blot analysis of IL-1 beta/IL1B using anti-IL-1 beta/IL1B antibody (PB0055).
Lane 1: recombinant rat IL1B protein 10 ng,
Lane 2: recombinant rat IL1B protein 5 ng
After electrophoresis, proteins were transferred to a membrane. Then the membrane was incubated with rabbit anti-IL-1 beta/IL1B antigen affinity purified polyclonal antibody (PB0055) at a dilution of 1:1000 and probed with a goat anti-rabbit IgG-HRP secondary antibody (Catalog # BA1054). The signal is developed using ECL Plus Western Blotting Substrate (Catalog # AR1197). A specific band was detected for IL-1 beta/IL1B at approximately 17 kDa. The expected band size for IL-1 beta/IL1B is at 31 kDa.

IHC analysis of IL-1 beta/IL1B using anti-IL-1 beta/IL1B antibody (PB0055) .
IL-1 beta/IL1B was detected in a paraffin-embedded section of mouse spleen tissue. The tissue section was incubated with rabbit anti-IL-1 beta/IL1B Antibody (PB0055) at a dilution of 1:200 and developed using HRP Conjugated Rabbit IgG Super Vision Assay Kit (Catalog # SV0002) with DAB (Catalog # AR1027) as the chromogen.

IHC analysis of IL-1 beta/IL1B using anti-IL-1 beta/IL1B antibody (PB0055).
IL-1 beta/IL1B was detected in a paraffin-embedded section of rat spleen tissue. The tissue section was incubated with rabbit anti-IL-1 beta/IL1B Antibody (PB0055) at a dilution of 1:200 and developed using HRP Conjugated Rabbit IgG Super Vision Assay Kit (Catalog # SV0002) with DAB (Catalog # AR1027) as the chromogen.





