| Western blot (WB): | 1:1000 |
| Immunohistochemistry (IHC): | 1:150 |

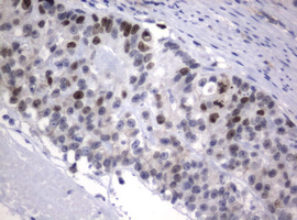
Immunohistochemical staining of paraffin-embedded Carcinoma of Human lung tissue using anti-MKI67 rat monoclonal antibody. (MA00254; heat-induced epitope retrieval by 10mM citric buffer, pH6.0, 120°C for 3min)

E.coli lysate (left lane) and E.coli lysate expressing human recombinant protein fragment corresponding to amino acids 1160-1493 of human MKI67 were separated by SDS-PAGE and immunoblotted with anti-MKI67.

Immunohistochemical staining of paraffin-embedded Adenocarcinoma of Human endometrium tissue using anti-MKI67 rat monoclonal antibody. (MA00254; heat-induced epitope retrieval by 10mM citric buffer, pH6.0, 120°C for 3min)

mmunohistochemical staining of paraffin-embedded Adenocarcinoma of Human breast tissue using anti-MKI67 rat monoclonal antibody. (MA00254; heat-induced epitope retrieval by 10mM citric buffer, pH6.0, 120°C for 3min)

Immunohistochemical staining of paraffin-embedded Adenocarcinoma of Human colon tissue using anti-MKI67 rat monoclonal antibody. (MA00254; heat-induced epitope retrieval by 10mM citric buffer, pH6.0, 120°C for 3min)

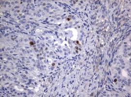
Immunohistochemical staining of paraffin-embedded Adenocarcinoma of Human ovary tissue using anti-MKI67 rat monoclonal antibody. (MA00254; heat-induced epitope retrieval by 10mM citric buffer, pH6.0, 120°C for 3min)

Immunohistochemical staining of paraffin-embedded Carcinoma of Human lung tissue using anti-MKI67 rat monoclonal antibody. (MA00254; heat-induced epitope retrieval by 10mM citric buffer, pH6.0, 120°C for 3min)

E.coli lysate (left lane) and E.coli lysate expressing human recombinant protein fragment corresponding to amino acids 1160-1493 of human MKI67 were separated by SDS-PAGE and immunoblotted with anti-MKI67.

Immunohistochemical staining of paraffin-embedded Adenocarcinoma of Human endometrium tissue using anti-MKI67 rat monoclonal antibody. (MA00254; heat-induced epitope retrieval by 10mM citric buffer, pH6.0, 120°C for 3min)

mmunohistochemical staining of paraffin-embedded Adenocarcinoma of Human breast tissue using anti-MKI67 rat monoclonal antibody. (MA00254; heat-induced epitope retrieval by 10mM citric buffer, pH6.0, 120°C for 3min)

Immunohistochemical staining of paraffin-embedded Adenocarcinoma of Human colon tissue using anti-MKI67 rat monoclonal antibody. (MA00254; heat-induced epitope retrieval by 10mM citric buffer, pH6.0, 120°C for 3min)

Immunohistochemical staining of paraffin-embedded Adenocarcinoma of Human ovary tissue using anti-MKI67 rat monoclonal antibody. (MA00254; heat-induced epitope retrieval by 10mM citric buffer, pH6.0, 120°C for 3min)





